Koronarangiografi ved et sentralsykehus

    ()

    sporsmal_grey_rgb
    Abstract

    Ved Nordland Sentralsykehus har vi utført koronare angiografier siden 1973. Siden vårt sykehus er det eneste sentralsykehus som har utført koronarangiografi over en lengre tidsperiode, ønsket vi å sammenlikne komplikasjonsratene ved våre undersøkelser med resultatene fra andre sykehus.

    Opplysninger om indikasjon for angiografi, funn og eventuelle komplikasjoner ble hentet retrospektivt fra journalene til 837 pasienter som har vært til koronarangiografi ved vårt sykehus i løpet av de siste ti årene. Antall undersøkelser per år varierte fra 30 til 125.

    Halvparten av de undersøkte pasientene hadde alvorligste form for koronar hjertesykdom, med stenose i venstre koronararteries hovedstamme og/eller stenose i alle tre hovedgrener av koronararteriene. Mindre enn 10 % av angiografiene var normale (ingen klaffefeil eller signifikant stenose i koronararteriene). Komplikasjoner oppstod ved 4,8 % av undersøkelsene. Ni pasienter (1,1 %) fikk hjerteinfarkt eller hjerneslag, og tre pasienter (0,4 %) døde i tilslutning til angiografien. I siste del av undersøkelsesperioden gikk antall alvorlige komplikasjoner ned.

    Komplikasjonsraten er noe høyere enn i materialer fra andre sykehus i Norge og internasjonalt. Dette kan skyldes det høye antall pasienter i materialet vårt med alvorligste form for koronar hjertesykdom, men også at antall undersøkelser per år har vært for lavt hos oss til å gi dem som utfører undersøkelsen og hjelpepersonellet tilstrekkelig rutine. I tiden fremover vil vi følge opp resultatene nøye for å optimalisere undersøkelsesteknikken og rutinene omkring angiografiene.

    Abstract

    Background. At a county hospital in northern Norway, coronary angiographies have been performed for more than 25 years. We wanted to compare our complication rates with results from larger hospitals.

    Material and methods. Data concerning indication for angiography, findings and complications were collected retrospetively from the files of 837 patients who underwent coronary angiography at our hospital during the last ten years. The number of procedures per year has varied from 30 to 125.

    Results. 50 % of the patients had three-vessel and/or left main coronary artery stenosis. Less than 10 % of the patients had no significant coronary stenosis or valvular disease at angiography. The total complication rate was 4.8 %. Nine patients (1.1 %) had myocardial infarction or stroke with sequelae; three patients died (0.4 %).

    Interpretation. Our complication rates are higher than those from other larger hospitals in Norway and internationally, but they have decreased over time.The high percentage of serious coronary pathology among our patients may have contributed significantly to the complication rate. In addition, the annual number of exams may have been too low to give sufficient operator training. The results require a continuing evaluation of our practice.

    Artikkel

    Da vi ved Nordland Sentralsykehus startet med koronarangiografi i november 1973, var universitetsmiljøet i Nord-Norge i etableringsfasen. Hjertepasientene i Nordland hadde et meget begrenset tilbud om invasiv utredning i egen helseregion. Ved Nordland Sentralsykehus hadde vi et sterkt fagmiljø innen kardiologi og radiologi, og vi startet med invasiv koronarutredning for å gi pasientene et bedre tilbud i nærmiljøet.

    Siden vi er det eneste sentralsykehus i landet som har utført koronarangiografi over en lengre tidsperiode, ønsket vi å analysere funn og komplikasjoner ved våre undersøkelser og sammenlikne med tilsvarende data fra andre sykehus.

    Materiale og metode

    Materiale og metode

    Undersøkelsen er retrospektiv og omfatter alle pasienter undersøkt med koronarangiografi ved sentralsykehuset i perioden 1.1. 1990 – 31.12. 1999. Pasientene er identifisert både fra sykehusets pasientadministrative datasystem og fra manuelt førte protokoller. Data er hentet inn ved gjennomgang av samtlige pasientjournaler og røntgenjournaler.

    Indikasjon for angiografi var anstrengelsesutløste brystsmerter, stum iskemi ved arbeids-EKG-test etter hjerteinfarkt, aortaklaffefeil uten klinisk hjertesvikt og risikovurdering før større kirurgiske inngrep hos pasienter med kjent iskemisk hjertesykdom. Frem til 1.1. 1993 undersøkte vi også pasienter med brystsmerter i hvile (ustabil angina pectoris) og pasienter med tilbakefall av angina pectoris etter koronar bypassoperasjon. Etter 1.1. 1997 er oppegående pasienter uten tilleggssykdommer blitt undersøkt poliklinisk.

    Angiografiene ble utført med transfemoral tilgang etter Judkins prosedyre (1) med 6 french-katetre. Innføringshylse ble brukt rutinemessig de fire siste år i undersøkelsesperioden. 40 ml av det ikke-ioniske kontrastmidlet Iohexol, 350 mg jod per ml (Omnipaque, Nycomed Amersham), 16 ml per sekund, ble sprøytet inn i venstre ventrikkel med autoinjektor via grisehalekateter. Kontrasten ble injisert for hånd i koronararteriene via selektivkatetere. Frem til 1.1. 1997 fikk alle pasientere 300 mg acetylsalisylsyre peroralt kvelden før undersøkelsen. Senere ble det ikke gitt emboliprofylakse. Ved sterk angst og uro fikk pasientene 10 mg diazepam peroralt eller intravenøst, ellers var det ingen premedikasjon. Undersøkelsene ble utført av radiolog med assistanse av radiograf og kardiologisk intensivsykepleier som gjennomførte EKG- og blodtrykksregistreringer. Tre radiologer deltok frem til 1.1. 1993, deretter var det to, og etter 1.1. 1997 er alle undersøkelsene utført av en lege.

    Hemostase i lysken etter avsluttet undersøkelse ble oppnådd med 10 – 15 minutters manuell kompresjon etterfulgt av kompresjon med sandsekk på ca. 2 kg i fire timer. I første del av undersøkelsesperioden holdt pasientene sengen til neste dag, senere fikk de stå opp etter 5 – 6 timer. Polikliniske pasienter ble tilsett av kardiolog fem timer etter avsluttet kompresjon og reiste deretter hjem dersom det ikke var tilstøtt komplikasjoner.

    Statistisk sammenlikning av ulike grupper er utført med Fishers eksakte test eller khikvadrattest.

    Tabell 1  

    Koronarangiografiske funn hos 837 pasienter

    Funn

    Kvinner

    Menn

    Antall totalt

    (%)  

    Stenose i en koronararterie

    42

     80

    122

    (14,8)

    Stenose i to koronararterier

    44

    147

    191

    (22,8)

    Stenose i tre koronararterier og/eller hovedstammestenose i venstre koronararterie

    83

    334

    417

    (49,8)

    Normale funn (Ingen klaffefeil eller signifikante stenoser i koronararteriene)

    49

     34

     83

     (9,9)

    Aortaklaffefeil

    16

     40

     56

     (6,7)

    Mitralklaffefeil med lekkasje

    14

     21

     35

     (4,2)

    Resultater

    Resultater

    Vi undersøkte i alt 837 pasienter, 228 kvinner (27 %) og 609 menn (73 %). Hovedindikasjonene for undersøkelsen var anstrengelsesinduserte brystsmerter (84 %) og aortaklaffefeil (6,3 %). To undersøkelser var donorutredning hos pasienter med opphevet cerebral sirkulasjon og er holdt utenfor i vurderingen av komplikasjonsratene. Funn ved koronarangiografi er vist i tabell 1.

    Komplikasjoner

    Komplikasjoner

    Av de 837 undersøkte fikk seks pasienter hjerteinfarkt, tre av dem døde. De er senere omtalt som kasuistikker. Av de tre som overlevde infarktene, hadde to trekarsykdom med alvorlig affeksjon av høyre koronararterie. Begge fikk mindre, ukompliserte nedreveggsinfarkter og ble senere vellykket bypassoperert. Den tredje hadde normale koronararterier, men fikk spasme i en liten høyre koronararterie med lett verdistigning av CK-MB (myokardfraksjon av kreatinkinase) til maksimalt 23 U/l (referanseverdi< 10 U/l), uten endringer i EKG.

    Åtte pasienter fikk arytmier etter kontrastinjeksjon i høyre koronararterie. Fire fikk ventrikkelflimmer, to fikk sinusrytme etter prekordialt slag, mens to måtte defibrilleres. To pasienter fikk atrieflimmer, en konverterte spontant til sinusrytme under angiografien, den andre etter medikamentell behandling. En pasient fikk asystoli, en annen totalt atrio-ventrikulært blokk, begge disse fikk spontan sinusrytme etter fjerning av kateteret fra høyre koronararterie. Ingen av arytmipasientene fikk noen form for sekvele.

    Nevrologiske komplikasjoner oppstod hos fem pasienter. Tre pasienter fikk vedvarende nevrologiske utfall, en fikk symptomer under angiografien, de andre to henholdsvis en halv og to timer etter avsluttet undersøkelse. Hos to av disse fant vi ferske infarktforandringer i hjernen ved CT-undersøkelse, mens den tredje hadde normal cerebral CT ved flere undersøkelser i uken etter angiografien. En av disse pasientene hadde aneurisme med tromber i venstre ventrikkel, en annen hadde diabetes mellitus. To pasienter fikk halvsidige sensibilitetsforstyrrelser og lette lammelser, med full tilbakegang etter henholdsvis en time og få minutter. Cerebral CT-undersøkelse var normal hos disse pasientene. En av pasientene som fikk transitorisk iskemisk attakk (TIA), hadde ikke fått acetylsalisylsyre før angiografien. De andre fire pasientene fikk nevrologiske utfall til tross for at emboliprofylakse var gitt kvelden før undersøkelsen.

    Tre pasienter fikk vedvarende brystsmerter etter angiografien, varighet fra to til seks timer. To av disse pasientene hadde hovedstammestenose og trekarsykdom, den tredje tokarsykdom. Alle kom seg fint etter medikamentell behandling, og ingen utviklet infarkt.

    I alt 16 pasienter fikk komplikasjoner på innstikksstedet i lysken. 13 fikk hematomer som resorberte spontant. En pasient fikk reblødning etter avsluttet kompresjon. Blødningen lot seg ikke stanse med fornyet kompresjon, og pasienten ble operert med sutur av lårarterien og evakuering av hematom. To pasienter fikk pseudoaneurismer, en ble operert, den andre ble behandlet med ultralyd- og dopplerveiledet kompresjon til aneurismet tromboserte, og resthematomet resorberte deretter spontant uten varige sekveler.

    En pasient fikk symptomer på embolier til 1. – 3. venstre tå, mulig forårsaket av kolesterolembolier. Innstikket var i høyre lyske. Pasienten ble behandlet med dekstran 40, 100 mg per ml (Rheomakrodex, Pharmalink) og fikk ingen sekveler. En pasient fikk en lett kontrastmiddelreaksjon.

    Kasuistikker for pasientene som døde

    Kasuistikker for pasientene som døde

    Pasient 1. 65 år gammel kvinne, tre års sykehistorie med anstrengelsesutløste brystsmerter, kjent hyperkolesterolemi, ellers frisk. Arbeids-EKG-test gav mistanke om hovedstammestenose i venstre koronararterie. Pasienten hadde lett, ukarakteristisk ubehag i brystet mens hun lå på undersøkelsesbordet før angiografien startet, men hun hadde god effekt av nitroglyserin sublingvalt. Etter innleggelse av grisehalekateter i aorta fikk pasienten en vasovagal reaksjon. Hun ble behandlet med atropin intravenøst, og dopamininfusjon (7,5 µ g/kg/min), og systolisk blodtrykk stabiliserte seg på ca. 110 mm Hg. I samråd med kardiolog valgte radiologen å fortsette undersøkelsen.

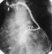
    Venstre ventrikkel fungerte normalt. I venstre koronararterie var det en uttalt stenose med svært uregelmessig restlumen ved avgangen fra aorta (fig 1a). I tillegg hadde pasienten trekarsykdom med uttalte sentrale stenoser i alle grener.

    Etter fjerning av kateteret fra venstre koronararterie ble det registrert en liten kontrastansamling i veggen i hovedstammen (fig 1b), men arterien tømte seg raskt for kontrast, og pasienten hadde ingen brystsmerter eller EKG-forandringer.

    Etter avsluttet undersøkelse ble pasienten flyttet over i seng, kateteret ble fjernet og kompresjon anlagt i lysken. Etter ca. fem minutters kompresjon fikk pasienten svære smerter i brystet og begge armer, kritisk fall i puls og blodtrykk og mistet bevisstheten. Kardiopulmonal resuscitasjon ble forsøkt, uten resultat.

    Dødsårsak ifølge obduksjonsrapport: Hjerteinfarkt på grunn av sårdanning og blodpropp i venstre koronararterie.

    Pasient 2. 59 år gammel mann, aortokoronart bypassoperert 16 og 12 år før det aktuelle. Siste halvår raskt økende angina pectoris. Ved arbeids-EKG-test fikk pasienten iskemi og brystsmerter ved lav belastning, liten pulsøkning og blodtrykksfall, samt forandringer i ST-segmentet i EKG, som sammen med smertene vedvarte i mer enn fem minutter etter avsluttet belastning.

    Ventrikulografien viste velfungerende venstre ventrikkel. Selektiv angiografi viste lukket ramus descendens anterior, sentral 90 %-stenose i ramus circumflexus og i høyre koronararterie. Kateterisering av et åpent venetransplantat viste at dette først gikk til en stor marginalgren fra ramus circumflexus, deretter videre til periferien av ramus decsendens anterior. Det var to sentrale 90 %-stenoser i venetransplantatet (fig 2) og en 75 %-stenose mellom transplantatet og ramus descendens anterior. Etter injeksjon i venegraftet fikk pasienten brystsmerter og uttalte senkninger i ST-segmentet i flere EKG-avledninger. Han ble behandlet med nitroglyserin sublingvalt og oksygen, med noe bedring.

    Etter avsluttet kompresjon i lysken ble han overflyttet til hjerteovervåkingen og behandlet med morfin og nitroglyserininfusjon intravenøst, uten at han ble helt smertefri.

    Ti timer etter angiografien fikk han økende brystsmerter, blodtrykksfall og korte perioder med ventrikkeltakykardi. På grunn av blodtrykksfall ble dopamin infundert, men pasienten fikk ventrikkelflimmer, og forsøk på resuscitasjon var mislykket.

    Obduksjonen viste betydelige ateromatøse forandringer med trombemasser ved den midtre stenose i venetransplantatet og embolisering til anastomosen mellom venetransplantatet og marginalgrenen, med delvis lukning av transplantatet.

    Pasient 3. 74 år gammel mann med kjent moderat nyresvikt. Tidligere fire hjerteinfarkter, og flere innleggelser i månedene før angiografien på grunn av ustabil angina pectoris og lett hjertesvikt. Etter behandling av hjertesvikt og stabilisering av angina pectoris ble koronar angiografi utført. Denne viste markert nedsatt funksjon av venstre ventrikkel, flere stenoser i venstre koronararteries ramus circumflexus, sentral lukning av ramus descendens anterior (fig 3) og av høyre koronararterie. Pasienten fikk smerter i brystet under siste del av undersøkelsen, og ble smertefri etter nitroglyserin sublingvalt og morfin intravenøst. Pasienten fikk stigning i CK-MB-nivå til 60 U/l, forenlig med et relativt lite hjerteinfarkt. I tillegg fikk pasienten abdominalsmerter etter angiografien. Kirurg fant ikke holdepunkter for mesenterial emboli/trombose. Pasienten ble likevel behandlet med heparin 5 000 IE ⋅ 2 subkutant. Ubehaget i øvre abdomen fortsatte i dagene etterpå, og pasienten utviklet et nytt hjerteinfarkt med største CK-MB-verdi på 134 U/l tre dager etter angiografien. Han fikk feber og stigning i CRP, og da røntgen thorax viste lungestuvning og mulig pneumoni, fikk han antibiotikabehandlig. Etter hvert fikk pasienten tiltakende multiorgansvikt, og han ble respiratorbehandlet fra dag 4 etter angiografien. Til tross for maksimal behandling, døde han 5. dag etter angiografien.

    Dødsårsaken var betydelig koronar hjertesykdom og nyresvikt på arteriosklerotisk grunnlag. Hjerteinfarkt etter angiografi med progredierende nyre- og hjertesvikt. Pasienten ble ikke obdusert.

    Tabell 2  

    Funn og komplikasjonsrate i vårt materiale sammenliknet med andre publiserte undersøkelser om koronar angiografi

    Nordland Sentralsykehus

    Bolz, Trondheim (7)

    Tveit og medarbeidere, Trondheim (3)

    Levorstad og medarbeidere, Rikshospi-talet (2, 6)

    Davidson og medarbeidere Duke university (4)

    Abrams & Adams, USA (5, 8)

    Antall angiografier

    835

    1 622

    916

    5 339

    8 517

    135 525

    Tidsperiode

    1990 – 99

    1984 – 88

    1988 – 90

    1982 – 87

    1987 – 89

    1975 – 80

    Type undersøkelse

    Retrospektiv

    Retrospektiv

    Retrospektiv

    Prospektiv

    Prospektiv

    Samlemate riale

    Kontrastmiddel

    Ikke-ionisk

    Ionisk/ ikke-ionisk

    Ionisk

    Ikke-ionisk

    Ikke-ionisk

    Ionisk

    Andel trekarsykdom og/eller hovedstammestenose (%)

    49,8

    1

    22

    Minst én signifikant koronar- arteriestenose (%)

    87

    64

    Lyskehematomer (%)

    1,9 

    1,4

    Vedvarende brystsmerter (%)

    0,3 

    1,2

    0,3 

    Ventrikkelflimmer (%)

    0,5 

    0,1

    0,02 

    0,06

    0,76

    Hjerteinfarkt (%)

    0,7 

    0

    0,075

    0,08

    0,18

    Nevrologiske komplika-

    sjoner (%)

      TIA

    0,2 

    0

    0,13 

    0,02

      Apopleksi

    0,36

    0,1

    0,075

    0,06

    Død (%)

    0,4 

    0

    0,1

    0,037

    0,02

    0,17

    Andre komplikasjoner (%)

    0,7 

    0,39

    0,1

    0,2 

    • Ikke angitt

    Diskusjon

    Diskusjon

    Vi har sammenliknet våre koronarangiografiske funn og komplikasjoner med norske og noen få utenlandske studier, som for oversiktens skyld er fremstilt i tabell 2 (2 –8 ).

    En direkte sammenlikning mellom vårt materiale og andre norske (2, 3) og nyere internasjonale (4, 5) undersøkelser er ikke enkel, da flere av undersøkelsene hadde et annet formål enn vår. Det er også forskjeller i dataregistrering og presentasjon av resultatene. I tillegg kan det bli noe misvisende å sammenlikne med gjennomsnittlige komplikasjonsrater, fordi sykehus med gode resultater ofte vil være overrepresentert i publikasjoner.

    Bare to andre norske sentre som utfører koronare angiografier har publisert sine resultater, og disse undersøkelsene er ikke av helt ny dato. Det er vanskelig å si hvor representative tallene fra Rikshospitalet (2, 6) og Regionsykehuset i Trondheim (4, 7) er for den totale koronarangiografivirksomheten i Norge i dag.

    I størstedelen av undersøkelsesperioden har vi ikke angiografert tidligere bypassopererte pasienter eller pasienter med ustabil angina pectoris, ellers er det liten forskjell i indikasjonene for angiografi mellom vårt materiale og andre publikasjoner der dette er oppgitt (2 – 4, 6). Alle har lavere komplikasjonsrate enn oss.

    Våre pasienter hadde betydelig høyere andel av alvorlig koronarkarpatologi enn den ene undersøkelsen (4) hvor angiografiske funn er angitt (p< 0,0001). Siden komplikasjonsrisikoen ved koronarangiografi må antas å øke med graden av koronar hjertesykdom, er det trolig avgjørende å ta hensyn til undersøkelsesresultatene når komplikasjonsrater skal sammenliknes. Den store andelen pasienter med alvorlig koronar hjertesykdom i vårt materiale og at bare 10 % av undersøkelsene var uten signifikante funn, kan være et uttrykk for at bare de sykeste undersøkes og at komplikasjonsrisikoen dermed er økt tilsvarende.

    De to retrospektive undersøkelsene fra Regionsykehuset i Trondheim (3, 7) har i likhet med vår undersøkelse forholdsvis små pasientmaterialer, men funn ved angiografiene er ikke angitt. Det er derfor usikkert om vi undersøkte de samme pasientgrupper. Bolz (7) registrerte kardiale komplikasjoner som krevde assistanse fra kardiolog eller anestesi, reversible eller irreversible nevrologiske utfall og blødninger eller hematomer på innstikksstedet som krevde kirurgisk tilsyn eller behandling. Tveit og medarbeidere (3) registrerte samme type komplikasjoner, men tok også med pasienter som fikk brystsmerter under eller etter angiografien. I dette materialet døde én pasient (0,1 %) på grunn av hjerteinfarkt etter alvorlig kontrastmiddelreaksjon. Begge undersøkelsene fra Regionsykehuset i Trondheim har lavere komplikasjonsrate enn vårt materiale.

    Ved vårt sykehus har vi ikke tilgang på akutt hjertekirurgi. Av de pasientene som døde i tilslutning til angiografien, døde en (pasient 1) helt akutt, og en annen (pasient 3) hadde uttalt nyresvikt i tillegg til alvorlig koronar hjertesykdom. Det er tvilsomt om noen av disse to ville ha overlevd om de var blitt operert akutt. Den tredje pasienten (pasient 2) var imidlertid stabil så lenge at han kunne vært transportert til nærmeste regionsykehus og koronaroperert, med muligheter for et positivt resultat. Til tross for at han var sirkulatorisk stabil, hadde han vedvarende ubehag i brystet. Man anså derfor at risikoen ved å transportere ham til hjertekirurgisk avdeling var større enn å forsøke å stabilisere hans angina pectoris med konservativ behandling lokalt. Dette skjedde i 1990, og vurderingen hadde kanskje vært annerledes i dag, ettersom vi har fått bedre muligheter for transport og behandling underveis. Etter dødsfallene i første del av perioden ble utvelgelsen av pasienter lagt om, slik at vi etter 1993 bare har undersøkt pasienter med stabil angina pectoris som ikke er bypassoperert eller behandlet med perkutan transluminal koronar angioplastikk (PTCA) og/eller stenting tidligere.

    I de senere år har det vært mye diskusjon omkring sammenhengen mellom antall behandlede pasienter og komplikasjonsrisiko ved invasive undersøkelser. American Heart Association/American College of Cardiology utgav i 1986 en veiledning om opplæring i hjertekaterisering (9). Ifølge denne bør utdanningskandidaten ha utført minst 300 koronare angiografier, hvorav minst 200 som førsteoperatør i løpet av et år, for å kunne ansees skikket til å utføre koronare angiografier selvstendig. Disse retningslinjene er primært myntet på kardiologer uten tidligere erfaring med arterielle angiografier. For radiologer som også utfører andre typer selektive arteriografier, kan det være rimelig å redusere anbefalt antall koronare angiografier. Senere er det kommet retningslinjer for PTCA og stenting i koronararteriene både fra USA (10, 11) og Storbritannia (12). Det anbefales minst 125 selvstendige prosedyrer i en opplæringsfase, og deretter minst 75 prosedyrer per år for å vedlikeholde kunnskapene. Anbefalingene bygger på en rekke undersøkelser som har vist at operatører som utfører færre enn 90 – 100 PTCA og/eller stentinger per år, har høyere komplikasjonsrate enn gjennomsnittet. Klein og medarbeidere (13) viste imidlertid at selv små avdelinger med mange operatører, hver med et lavt antall prosedyrer, kunne ha meget lav komplikasjonsrate. Tallene er altså ikke entydige. De fleste publikasjonene kommer fra store sykehus med høyt antall undersøkelser per år, og i alle fall i Storbritannia har det vært vanskelig å få data fra de små sentrene (12).

    I vårt materiale oppstod de mest alvorlige komplikasjonene i første del av undersøkelsesperioden, da hadde vi tre operatører i aktivitet. To av dem hadde utført mindre enn 100 koronare angiografier, men de hadde 8 – 10 års generell angiografierfaring med mer enn 600 undersøkelser, ca. halvparten var selektive cerebrale angiografier. I løpet av første del av undersøkelsesperioden sluttet to, inkludert den mest erfarne. I siste del av perioden er angiografiene utført av én radiolog, og antall undersøkelser har vært omkring 100 per år. Dette er innenfor de anbefalte rammene fra AHA/ACC. I denne perioden, som omfatter halvparten av materialet, har vi ikke hatt komplikasjoner som har gitt varige sekveler. Fallet i komplikasjonsrate kan være uttrykk for en lærekurve hos operatøren og det omgivende team. I tiden fremover vil vi følge opp resultatene nøye og legge opp til et nært samarbeid med det lokale regionsykehus for å optimalisere undersøkelsesteknikken og rutinene omkring angiografiene.

    Konklusjon

    Konklusjon

    Komplikasjonsraten ved våre undersøkelser har vært høyere enn i andre publiserte materialer. En nærliggende årsak til de kardiale komplikasjonene kan være at så mange av pasientene i materialet hadde alvorligste form for koronar hjertesykdom. Noe av forklaringen kan også ligge i at antall undersøkelser per år har vært for lavt til å gi operatører og hjelpepersonell tilstrekkelig rutine. I siste del av undersøkelsesperioden hadde vi en klar nedgang i antall komplikasjoner. Endringen kan være uttrykk for bedret opplæring, men viser også at det med god organisering og utvelgelse av riktig type pasienter kan være forsvarlig å utføre koronare angiografier ved et sentralsykehus.

    Kommentarer  ( 0 )

    Anbefalte artikler