Frontoetmoidale meningoencefaloceler

    ()

    sporsmal_grey_rgb
    Abstract

    Frontoetmoidalt meningoencefalocele er en sjelden, medfødt misdannelse hvor intrakranialt innhold er herniert fra fremre skallegrop gjennom en beinet midtlinjedefekt ved foramen coecum og inn i ansiktsskjelettet. Alle pasientene har i varierende grad en medfødt hevelse omkring neseroten. Det er svært sjelden at celet mangler huddekking. Ansiktet er lengre enn normalt, neseroten er breddeforøket, nesen er ofte lang og pasienten har telecanthus. Den psykomotoriske utvikling er som regel normal. Tilstanden kan ledsages av intracerebrale misdannelser og behandlingstrengende hydrocephalus. Spinalvæskelekkasje kan gi bakteriell meningitt i tidlig alder. Anosmi er sjeldent. Pasientene kan ha en rekke oftalmologiske tilleggslidelser.

    Barn med medfødt meningoencefalocele bør vurderes av nevrokirurg kort tid etter fødselen med tanke på lukking av defekten. Tilstanden er kompleks og krever multidisiplinær tilnærming. Vi presenterer to pasienter med denne tilstanden.

    Artikkel

    Et meningoencefalocele er en medfødt misdannelse hvor intrakranialt vev er herniert ut gjennom en kraniedefekt. Utposningen kan bestå av hjernehinner (meningocele), eventuelt også hjernevev (meningoencefalocele). Insidensen i den vestlige verden er omkring 1,2 per 40 000 levendefødte, og tilstanden er langt mer sjelden enn meningomyeloceler (1). Cephalocelene deles inn i oksipitale, parietale, basale og frontale. Defekten sitter nesten alltid i midtlinjen. Det er betydelige geografiske forskjeller mht. celets lokalisasjon (1). I Vest-Europa, Nord-Amerika, Australia og Japan er to av tre meningoencefaloceler lokalisert oksipitalt, mens det i Sørøst-Asia er en betydelig overvekt av frontale celer (2, 3).

    Frontale celer er en herniering av intrakranialt innhold fra fremre skallegrop gjennom en beinet midtlinjedefekt og inn i ansiktsskjelettet (4). Frontale celer inndeles videre i frontoetmoidale, interfrontale og kraniofaciale spalter (5). Vi vil i det følgende redegjøre for patoembryologiske, morfologiske og kirurgiske aspekter ved frontoetmoidale meningoencefaloceler, og presenterer to pasienter med denne lidelsen.

    Patoembryologi

    Patoembryologi

    Ved frontoetmoidale celer finnes alltid den indre beinete defekt ved foramen coecum, dvs. mellom os frontale, som er del av nevrokraniet, membranpreformert og forbeinet ved intramembranøs ossifikasjon, og os ethmoidale, som er del av kondrokraniet, bruskpreformert og forbeinet ved endokondral ossifikasjon. Det finnes to modeller for celenes patogenese, «spaltemodellen» og «blowout-modellen».

    I fosterlivet ligger nevralrøret an mot primitiv ektoderm ved fonticulus frontalis, som senere lukkes og blir til foramen coecum (1, 6). Etter lukkingen av fremre nevralrørsåpning dannes primitiv mesoderm mellom nevral ektoderm og overflateektoderm og skiller dermed disse to lagene. Mesoderm vil kranialt danne nevrokraniet, mens det basalt vil danne kondrokraniet, som siden blir til skallebasis, og viscerokraniet, som siden danner ansiktsskjelettet (7).

    Ifølge spaltemodellen skyldes frontale celer manglende lukking av fonticulus frontalis eller «åpentstående foramen coecum». Dersom forbindelsen mellom nevral ektoderm og overflateektoderm ikke brytes, f.eks. på grunn av forsinket lukking av nevralrøret, vil det dannes en defekt eller spalte i mesodermlaget, hvorigjennom intrakranialt innhold protruderer (1, 8, 9). Blowoutmodellen går ut på at celet presser seg gjennom en svakhet mellom os frontale og os ethmoidale (4, 10, 11).

    Defekten, enten den er et resultat av spalting eller blow-out, persisterer når man senere i fosterlivet får forbeining av nevrokraniet og forbruskning av kondrokraniet. Ettersom forbeiningen av brusk skjer på et senere tidspunkt enn ved intramembranøs ossifikasjon, er det ansiktsskjelett og skallebasis som blir affisert ved frontoetmoidale celer. Lamina cribrosa av os ethmoidale er skråstilt fremover, og fremre kant ligger under planum sphenoidale, slik at det dannes et dypt søkk i fremre skallegrop (fig 1). Ledsagende skjelettdeformiteteter i ansiktsskjelettet kan skyldes celets romoppfyllende effekt. Hvor celet kommer ut i ansiktsskjelettet, er bestemt av ruten det tar «gjennom» kondrokraniet.

    Ytre beinet defekt

    Ytre beinet defekt

    Frontoetmoidale meningoencefaloceler inndeles i tre subtyper, avhengig av den ytre beinete defekt (5).

    • – Ved den nasofrontale typen finnes den ytre beinete defekten ved neseroten, dvs. mellom os frontale og os nasale (fig 2a). Nesebeinene er forskjøvet nedover og defekten er tilnærmet sirkulær (4, 12).

    • – Ved den nasoetmoidale typen er den ytre defekten mellom os nasale og nesebrusken (fig 2b). Septumbrusken er forskjøvet nedover og bakover. Nesebeinene er som regel misdannede og brede (fig 3). Nese-panne-vinkelen er opphevet av et frontonasalt fremspring.

    • – Ved den naso-orbitale typen sitter defekten i mediale orbitavegg (fig 2c). Pasienten har normale forhold frontalt i midtlinjen, mens orbitahulen kan være svært forstørret på grunn av økt vevsinnhold som følge av celet.

    I de fleste publiserte serier er den nasoetmoidale typen hyppigst forekommende, mens den nasofrontale typen er sjelden. Mange frontoetmoidale meningoencefaloceler er en kombinasjon av de nasoetmoidale og nasoorbitale subtypene (1, 3, 13).

    Ansiktsdysmorfologi

    Ansiktsdysmorfologi

    Pasienten har en medfødt hevelse omkring neseroten. Hver subtype har sin karakteristiske lokalisasjon: Ved nasofrontale celer sitter hevelsen i midtlinjen ved glabella, ved nasoetmoidale celer sitter den uni- eller bilateralt ved siden av neseroten, og ved frontoorbitale celer er hevelsen lokalisert like lateralt for mediale orbitavegg (1). Konsistensen varierer fra bløt til fast, avhengig av fordelingen mellom cerebrospinalvæske og hjernevev i celet. Overflaten er jevn og vanligvis dekket av normal, hårløs hud, men huden kan også være arrete og dyspigmentert. Det er svært sjelden at den hernierte hjernen mangler huddekking (1, 3, 8, 12). Celene kan være gjennomskinnelige og pulsatile og forstørres ved gråt og kompresjon av vena jugularis.

    Ansiktsskjelettet er lengre enn normalt, men dette er ofte vanskelig å kvantifisere ved vanlig kefalometrisk undersøkelse, ettersom en del beinete landemerker mangler, spesielt i glabellaregionen (3, 4, 12). Nesen er ofte deformert, siden apertura piriformis er misdannet, og den er ofte breddeforøket og lavtliggende. En del pasienter har økt tåreflod samt plager med dakryocystittblefaritt på grunn av deformert tårekanal (3, 12, 14, 15). Lekkasje av spinalvæske fra nesen (rhinoré) er sjeldent, men nesetetthet kan være et problem (16). Få pasienter har anosmi, men dette er vanskelig å undersøke preoperativt siden pasientene opereres tidlig (3, 12, 15).

    Pasientene kan ha en rekke oftalmologiske lidelser som amaurosis, strabisme, proptose, dystopi, mikrooftalmi eller anoftalmi (3, 12, 14, 15). Mange pasienter har telecanthus, med medial interkantalavstand langt over 97,5-percentilen, mens de som regel har normal lateral interkantalavstand (3, 12). Ved den naso-orbitale typen har pasienten en ekspansjon medialt i orbitahulen og interkantalavstanden kan være asymmetrisk økt.

    Cerebral anomali

    Cerebral anomali

    Den cerebrale komponenten av frontoetmoidale meningoencefaloceler er hyppigst dannet av begge frontalpolene, og vevet er gliotisk og presumptivt ikke-fungerende. De fleste pasientene har normal psykomotorisk utvikling (1, 4, 15 – 18).

    Frontoetmoidale meningoencefaloceler kan ledsages av bl.a. araknoidalcyster, hydrocephalus (3, 14, 17, 19), mikrokefali, syndaktyli (1) og epilepsi (4, 14).

    Operativ behandling

    Operativ behandling

    Den operative behandling har tre mål, nemlig å bevare hjernens funksjon ved å unngå at celet vokser og ytterligere hjernevev forskyves ut i celet, å unngå cerebrospinalvæskelekkasje og ledsagende bakteriell meningitt, samt oppnå et kosmetisk akseptabelt resultat (20).

    Celet fjernes via en transkranial tilgang, hvor man gjør en bikoronal sikksakkincisjon og tar ut os frontale og et orbitafragment som frie beinlapper. Celet i fremre skallegrop fridissekeres og fjernes. Deretter gjøres neseplastikk og eventuelt også en orbitaplastikk. Så tilpasses og festes orbitafragmentet og den bifrontale beinlappen, og huden lukkes lagvis. Til slutt utfører man facial plastikkirurgi, som f.eks. eksidering av hudoverskudd på neseryggen.

    Tidspunktet for operasjon vil i vesentlig grad være bestemt av encefalocelets natur. Ved lekkasje av cerebrospinalvæske, manglende huddekking, blødning og truet visus bør pasientene opereres så raskt som mulig (16, 21). Best kosmetisk resultat oppnås ellers ved en ettstegs kirurgisk behandling innen utgangen av de tre første levemåneder (2, 4, 22). Dersom det foreligger en hypertelorisme hvor man må translokere hele orbitahulen medialt, vil man i noen tilfeller vente med å behandle hypertelorismen inntil tre års alder og kun operere selve celet tidlig (16, 23).

    Sykehistorier

    Sykehistorier

    Pasient 1. 11 år gammel jente av filippinsk avstamning som kom til Norge da hun var ti år. Hun ble født tre måneder prematurt med en vekt på ca. 2 kg. Ved fødselen hadde hun en betydelig hevelse over neseroten og var amaurotisk på høyre øye. Defekten ble lukket på Filippinene som en ren eksisjon lokalt like etter fødselen. Pasienten hadde forsinket psykomotorisk utvikling: hun gikk da hun var 1,5 år gammel og snakket tre år gammel. Hun har ikke fått skolegang på Filippinene. Pasienten beskrives av moren som rastløs og umoden. Hun har stort sett vært frisk, og har ikke hatt meningitt. Etter at hun kom til Norge har hun lært seg litt norsk, men hun forstår mer enn hun kan snakke selv. Hun går nå i 4. klasse på norsk skole.

    Hun ble undersøkt ved lokalsykehusets barneavdeling og vurdert til mentalt å fungere som en 6 – 8-åring. Cerebral CT viste utvidet ventrikkelsystem samt et nasoetmoidalt meningoencefalocele.

    Hodeomkretsen var 56,3 cm, svarende til 97,5-percentilen. Hun hadde en uttalt hevelse over neseroten, hvor huden var fortykket, dyspigmentert og noe deformert. Hevelsen strakte seg over høyre øye. Hun hadde amaurose og mikrooftalmi på høyre øye, normalt visus venstre øye. Det forelå en betydelig telecanthus. Hun hadde ingen hjernenerveutfall og ingen nevrologiske utfall i ekstremitetene. Annen organstatus var uten anmerkninger.

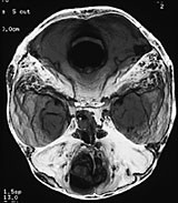
    Cerebral CT med 3D-rekonstruksjon samt cerebral MR viste defekt mellom os frontale og os nasale, en stor og dyp utvidelse av fremre skallegrop og utvidelse av intrakraniale hulrom.

    Pasienten ble vurdert av kraniofacialteamet og operert med kombinert ekstra- og intrakranial tilgang, som beskrevet over.

    Pasient 2. Seks måneder gammel pike, normalt svangerskap, født til termin, ukomplisert fødsel. Fra fødselen av hevelse over neseroten, spesielt mot høyre orbita. To dager gammel fikk hun infeksjon med feber og CRP-stigning, og ble vellykket antibiotikabehandlet. Man antok bakteriell etiologi uten at man kunne påvise sikkert infeksjonsfokus. Pasienten har hatt noe væsking fra øyet/økt tåreflod, men man har ikke hatt sikre holdepunkter for lekkasje av cerebrospinalvæske.

    CT kort tid etter fødselen viste oppfylling medialt i venstre orbitahule med dislokasjon av bulbus oculi, samt en beinet defekt mellom fremre skallegrop og orbita.

    Ved undersøkelsen var pasienten i god allmenntilstand og hadde normal psykomotorisk utvikling. Hodet hadde normal fasong, med en hodeomkrets på 42,3 cm, svarende til 25-percentilen. Fremre fontanelle var åpen med normal fylde. Neseroten var breddeforøket, og pasienten hadde en hevelse som strakte seg ned mot mediale canthus, mest uttalt venstre side (fig 4). Hevelsen var beinete over neseroten, men bløt og fluktuerende inn mot orbita på begge sider. Telecanthus og strabisme. Ingen hjernenerveutfall. Normal nevrologisk status. Annen organstatus uten anmerkninger.

    Cerebral CT med 3D-rekonstruksjon samt cerebral MR viste beindefekt mellom fremre skallegrop og mediale orbitavegg venstre side, samt en cystisk lesjon ca. 1,5 cm stor som dislokerte bulbus. Det var en stor og dyp utvidelse av fremre skallegrop. Normalt store ventrikler.

    Pasienten ble vurdert av kraniofacialteamet og operert med kombinert ekstra- og intrakranial tilgang (fig 5).

    Diskusjon

    Diskusjon

    Frontoetmoidale meningoencefalocele er en sjelden, medfødt misdannelse. Det er en alvorlig tilstand, dels pga. infeksjonsfaren og dels pga. en ofte svær ansiktsmisdannelse.

    Tilstanden er kompleks og krever multidisiplinær tilnærming. Barn med medfødt meningoencefalocele bør vurderes av nevrokirurg kort tid etter fødselen med tanke på ekstirpasjon (24). Pasientene må innlegges i nevrokirurgisk avdeling og gjennomgå en fullstendig nevrologisk undersøkelse. Videre blir alle undersøkt nevroradiologisk med cerebral CT uten og med 3D-rekonstruksjon samt cerebral MR. I tillegg undersøkes og vurderes pasientene poliklinisk av kjevekirurg, plastikkirurg, øre-nese-hals-kirurg og øyespesialist.

    Behandlingen av slike sjeldne tilstander krever høyt spesialiserte tjenester. Den bør derfor sentraliseres og utvikles innenfor rammen av et multidisiplinært kraniofacialt team, bestående i første rekke av barnenevrokirurg, plastikkirurg og kjevekirurg.

    Kommentarer  ( 0 )

    Anbefalte artikler