Karbamazepinindusert hepatitt

    ()

    sporsmal_grey_rgb
    Abstract

    Leverskade er en velkjent bivirkning av karbamazepinbehandling. Vi ønsker å minne om dette og presenterer derfor tre pasienter som i forbindelse med bruk av karbamazepin utviklet et klinisk hepatittbilde og hadde utfall i leverprøvene forenlig med leverskade. Andre årsaker til hepatitt ble utelukket.

    Hos alle pasientene inntraff klinisk og biokjemisk bedring umiddelbart etter seponering av karbamazepin. Leverbiopsi ble utført og bekreftet hepatittdiagnosen hos to av pasientene.

    Sykdomsbildene drøftes i lys av tidligere rapporter om denne tilstanden. Med utgangspunkt i at leveren er det viktigste organ for metabolisering av legemidler, diskuteres mulige årsaksmekanismer til medikamentindusert leverskade. Det poengteres at nøye medikamentanmnese er viktig ved ethvert tilfelle av hepatitt eller annen leversykdom. Prognosen ved karbamazepinindusert hepatitt er vanligvis god, men fatale tilfeller er beskrevet.

    Abstract

    Background

    . Hepatotoxic reactions associated with carbamazepine therapy are well recognised, and it is important that clinicians are aware of this adverse effect.

    Material and methods.

    We present the clinical course in three patients with carbamazepine-induced hepatitis.

    Results.

    All three patients had clinical and biochemical signs of hepatitis; improvement occurred immediately after carbamazepine therapy was discontinued. Other causes of hepatitis were excluded.

    Interpretation.

    Previous reports concerning this adverse effect are reviewed. Focusing on the liver as the major organ for drug metabolism, we discuss possible pathophysiological mechanisms of drug-induced hepatic injury. A thorough medication history is mandatory in all patients with hepatitis and other liver diseases. The prognosis of carbamazepine-induced hepatitis is usually excellent, but fatal cases have been reported.

    Artikkel

    Svært mange legemidler kan gi leverskade, og listen over disse midlene blir stadig lengre. Leverpåvirkning av karbamazepin er velkjent fra litteraturen, og flere tilfeller av granulomatøs hepatitt er rapportert (1 – 8). For å minne om tilstanden refererer vi tre kasuistikker som illustrerer denne bivirkningen. Patofysiologiske trekk og mulige årsaksmekanismer drøftes.

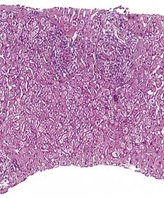
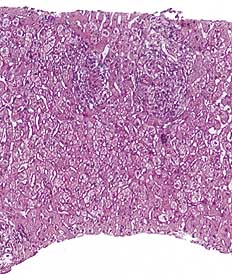
    Pasient 1 . 50 år gammel kvinne. Frisk inntil januar 1999. Etter dette to epileptiske anfall med noen måneders mellomrom. Behandling med karbamazepin (Trimonil Retard ) ble iverksatt og over to uker gradvis opptrappet til 300 mg ⋅ 2. Hun brukte ingen andre medikamenter. 18 dager etter oppstart med karbamazepin ble pasienten febril og følte seg slapp, etter hvert ble hun plaget av hodepine, kvalme og oppkast. Symptomene var økende, og fem dager senere ble hun innlagt i medisinsk avdeling. Ved innkomst var hun våken og klar, ikke nakkestiv, intet utslett. BT 150/85 mm Hg, puls 84 regelmessig, temperatur 38,2  ˚C. Normal organstatus. Spinalvæskeundersøkelse var upåfallende. Blodprøver viste leverpåvirkning forenlig med akutt parenkymatøs leverskade (tab 1). Karbamazepin ble mistenkt som mulig årsak og derfor seponert. Etter få dager ble pasienten symptomfri. Det ble utført leverbiopsi, som viste akutt og kronisk betennelse med granulomer (fig 1). Det var ikke holdepunkt for viral hepatitt eller autoimmun leversykdom, idet både virusserologiske undersøkelser (antistoff mot hepatitt A-virus, hepatitt B-virus, hepatitt C-virus, cytomegalovirus og Epstein-Barr-virus) og autoantistoffer (antinukleært antistoff (ANA), antistoff mot glatt muskel og antistoff mot mitokondrier) var negative. Immunglobulinene (IgA, IgG og IgM) var også innenfor normalområdet. Ultralyd lever viste intet patologisk. Blodprøver tre måneder senere viste full normalisering av leverenzymer.

    Pasient 2 . 56 år gammel kvinne med insulinkrevende diabetes mellitus de siste 15 år. På grunn av mistanke om psykomotorisk epilepsi ble det startet behandling med karbamazepin (Trimonil Retard ). Dosen ble gradvis trappet opp til 450 mg ⋅ 2 i løpet av tre uker. Leverprøver var normale forut for dette. To uker etter behandlingsstart følte hun seg trett og slapp og fikk feber. Etter ytterligere to uker ble hun innlagt, virket da rotete, BT var 130/85 mm Hg, puls 82 regelmessig, temperatur 38,5 ˚C. Organstatus var ellers upåfallende. Hun brukte ingen andre medisiner enn karbamazepin og insulin. Blodprøver ved innkomst viste forhøyede leverenzymer (tab 1). Det var mistanke om at sykdomsbildet var utløst av karbamazepin, som derfor ble seponert. Pasienten ble feberfri i løpet av få dager, og allmenntilstanden bedret seg raskt. Fire dager senere var det fallende leverprøver, og disse var normalisert etter to måneder. Ultralydundersøkelse av leveren viste normale forhold. Det ble ikke påvist antistoffer mot hepatitt A-virus, hepatitt B-virus, hepatitt C-virus eller cytomegalovirus. Verdiene for immunglobulinene var normale. ANA var derimot sterkt forhøyet, med titer på 1 024, og subklassifisering viste positivitet for anti-RNP. Autoantistoff mot glatt muskel og autoantistoff mot mitokondrier ble ikke påvist. Leverbiopsi ble ikke utført. Ny blodprøve sju år senere viste normale leverprøver og negativ ANA.

    Tabell 1  

    Biokjemiske parametere, kliniske karakteristika og histologiske funn hos tre pasienter med karbamazepinindusert hepatitt. Pasient 3 har vært innlagt to ganger med samme sykdomsbilde med ca. sju års mellomrom

    Referanseverdier

    Pasient 1

    Pasient 2

    Pasient 3 1. gang

    Pasient 3 2. gang

    ASAT

    < 35 U/l

    208

    144

    455

    508

    ALAT

    < 35 U/l

    392

    573

    850

    834

    ALP

    80 – 275 U/l

    586

    623

    460

    482

    GT

    < 50 U/l

    518

    586

    338

    556

    Bilirubin

    3 – 25 µ mol/l

      6

      9

    162

    122

    NT

    65 – 150 %

    > 150

     75

     42

     43

    Albumin

    35 – 50 g/l

     38

     33

    N

     36

    Antinukleære antistoffer (ANA)

    Negativ

    Positiv

    Positiv

    Positiv

    B-eosinofile

    < 0,4 × 10 9 /l

    0,41

    0,14

    N

    0,19

    S-karbamazepin

    15 – 45 µ mol/l

    35

    13

    Ikke målt

    13

    Feber

    Ja

    Ja

    Nei

    Nei

    Allmennsymptomer

    Ja

    Ja

    Nei

    Ja

    Artralgi eller eksantem

    Nei

    Nei

    Ja

    Nei

    Behandlingstid til symptomer (dager)

    18

    14

    170

    620

    Leverbiopsi

    Akutt og kronisk betennelse med granulomer Ikke utført Ikke utført

    Akutt og kronisk betennelse med fibrose, nekrose av parenkymceller og kolestase

    Diskusjon

    Diskusjon

    Medikamentell hepatitt er ofte en eksklusjonsdiagnose. Våre pasienter ble undersøkt for en rekke kjente leversykdommer uten at noen ble påvist. Det var ikke mistanke om overforbruk av alkohol hos noen av pasientene. Etter oppstart med karbamazepin var det for pasient 1 og pasient 2 latenstid på henholdsvis 18 og 14 dager før symptomene meldte seg. Hos alle pasientene var det rask tilbakegang av symptomer og normalisering av biokjemiske parametere etter at medikamentet ble seponert. Ingen hadde s-karbamazepin over terapeutisk område, to av pasientene var febrile og en hadde artralgier. Ingen hadde eosinofili, men i en av de to leverbiopsiene som ble utført, ble det påvist granulomer (fig 1). Disse funn er forenlig med det som er referert tidligere i litteraturen (6, 8).

    Medikamentelle leverskader kan ut ifra biokjemiske parametere og histologi klassifiseres som parenkymatøse, kolestatiske eller som en kombinasjon av dette (1, 9). Ved gjennomgang av et stort antall rapporter om karbamazepinrelatert leverskade finner Stricker og medarbeidere alle disse formene representert (8). Vi fant at pasient 3 frembød et kolestatisk mønster, mens de to andre kan karakteriseres ved parenkymatøs leverskade. To av våre pasienter fikk påvist sterkt positiv ANA-titer, og en av dem hadde i tillegg forhøyet IgG-fraksjon i serum. Både ANA og andre autoantistoffer er blitt påvist i sammenheng med medikamentelle hepatitter (9, 10). Dette oppfattes som en aktivering av immunsystemet og at immunologiske mekanismer kan ha betydning for leverskader som er utløst av medikamenter. Hos våre pasienter ble ANA negativ (pasient 2) eller titer ble kraftig redusert (pasient 3) etter seponering av karbamazepin.

    Forekomst

    Forekomst

    Forhøyede leverenzymer etter bruk av karbamazepin er relativt vanlig (8). Både økt konsentrasjon av gamma-GT og CYP 450-enzymer kan forklares av enzyminduksjon som følge av alkohol og en rekke ulike medikamenter (8). Det er imidlertid ikke vist at øvrige leverenzymer er induserbare på tilsvarende måte. Et relevant, men foreløpig ubesvart spørsmål blir derfor om en lett enzymøkning er uttrykk for lettgradig skade av hepatocyttene som over tid kan føre til mer alvorlig leverskade. I klinisk praksis godtas ofte en enzymstigning til to-tre ganger over øvre referanseområde dersom det ikke samtidig er symptomer på leversykdom (11). Ved bruk av karbamazepin er enzymstigning alene langt mer vanlig enn klinisk erkjennbar hepatitt, men sistnevnte tilstand er kanskje underdiagnostisert. Generelt er medikamentindusert leverskade et betydelig problem. I USA regner man med at 25 % av alle tilfeller med fulminant leversvikt kan relateres til medikamenter (11).

    Patofysiologi

    Patofysiologi

    Medikamentelle leverskader kan inndeles etter flere prinsipper (9, 11, 12). I Tidsskriftet har Spigset gitt en fin oversikt over temaet (13).

    Forløpet av en medikamentell hepatitt kan være akutt, subakutt eller kronisk. Granulomatøs hepatitt er ofte knyttet til et hypersensitivitetssyndrom med ledsagende eosinofili, artralgier, eksantem og feber. Refleksjoner over etiologiske faktorer gir ytterligere grunnlag for inndeling. Leveren er det viktigste organ for omsetning av medikamenter, og mange metabolitter av legemidler vil være svært reaktive. Det er derfor lett å tenke seg at en «ukontrollert metabolisme» vil kunne skade hepatocyttene. Hovedprinsippet ved eliminasjon av mer eller mindre lipofile legemidler er å gjøre dem mer vannløselige.

    Fase 1-reaksjon innebærer en kjemisk omdanning (oksidasjon, reduksjon eller hydrolyse). CYP P450-systemet, som utgjør nærmere 300 ulike enzymer, er hovedkatalysator for disse reaksjonene (12). Fase 2-reaksjon innebærer konjugering med et annet molekyl (acetylering, glukoronidering, sulfatering m.m.), også på denne måten blir metabolitten mer hydrofil. En viss genetisk variabilitet preger begge disse reaksjonsveiene. CYP P450-aktiviteten påvirkes også i stor grad av medikamentinteraksjoner, alkoholinntak og sigarettrøyking (14). Det er først og fremst gjennom fase 1-reaksjon at reaktive eller toksiske metabolitter dannes. For å unngå celleskade er hepatocyttene også utstyrt med en avansert detoksifiseringsberedskap, hvor bl.a. glutation, vitamin E og superoksiddismutase inngår (9, 15).

    Vi vil i det følgende omtale to viktige mekanismer ved medikamentell leverskade.

    Toksisk skade av hepatocyttene . Intoksikasjon med paracetamol er et typisk eksempel på denne mekanismen. Modersubstansen er ofte relativ harmløs, mens en eller flere metabolitter er reaktive eller toksiske, med direkte celleskade til følge. Til en viss grad foreligger et fast dose-respons-forhold som gir forutsigbarhet, men grad av levercelleskade vil kunne variere med genetiske og ervervede forhold (9, 11, 12).

    Immunologisk skade av hepatocyttene . Antakelig innbefatter dette flere ulike mekanismer. Reaktive metabolitter kan danne kovalente bindinger med cellulære proteiner. Ved hepatitt forårsaket av halotan er det vist at en av metabolittene fungerer som hapten og således aktiverer en spesifikk immunrespons (12).

    Pessayre foreslår en modell hvor immunsensitiviseringen forsterkes av stadig pågående, lettgradig celleskade som følge av reaktive metabolitter. Således dannes det et bindeledd mellom direkte toksisitet og spesifikk immunaktivering (9). Andre faktorer som blir viktige i en slik modell er CYP 450-aktiviteten, hepatocyttenes detoksifiseringskapasitet og individets HLA-status. Nettopp svikt i detoksifisering av reaktive metabolitter er satt i sammenheng med utvikling av karbamazepinrelatert hepatitt (10, 15, 16).

    Pirmohamed og medarbeidere (10) beskriver også et tilfelle med karbamazepinrelatert hepatitt hvor det påvises et autoantistoff rettet mot et hepatisk mikrosomalt protein, og tar dette til inntekt for spesifikk immunaktivering. To andre kasuistiske rapporter med karbamazepinrelatert hepatitt beskriver residiv etter reeksponering, og latenstiden hadde da falt fra tre uker til noen dager (1, 2). Også dette kan støtte hypotesen om at det foreligger spesifikk immunsensitivisering. Vår pasient 3 skiller seg fra de fleste tilfeller som er rapportert om karbamazepinindusert hepatitt (8), i og med at latenstiden var uvanlig lang, første gang seks måneder og ved reeksponering 21 måneder. Dette kan tale for en annen patogenese.

    Bortsett fra ved toksisk hepatitt er vår forståelse av patogenesen ved medikamentell hepatitt svært mangelfull, og det er ikke mulig å forutsi hvilke individer som vil reagere med leverskade. Sannsynligvis vil kunnskap om individspesifikk sårbarhet knyttet til metabolismeprofil, detoksifiseringskapasitet, HLA-type og andre genetiske og miljømessige faktorer gi mer innsikt i dette feltet (9, 15).

    Konklusjon

    Konklusjon

    Vi har presentert tre pasienter som med stor sannsynlighet hadde karbamazepinindusert hepatitt. Ved ethvert tilfelle av hepatitt eller annen leversykdom er det viktig med en grundig medikamentanamnese, ettersom et stort antall farmakologiske og naturmedisinske preparater kan forårsake leverskade (12). Ved seponering av karbamazepin er prognosen som regel god, men fatale tilfeller er beskrevet (4, 7).

    Pasient 3 . 30 år gammel kvinne. Hun fikk meningitt fire år gammel og fra tiårsalderen epilepsi. Det ble startet behandling med fenytoin, som pasienten brukte frem til hun var 22 år gammel. Man skiftet da til karbamazepin. Seks måneder senere ble hun innlagt i medisinsk avdeling. Hun hadde da vært ikterisk i seks dager, men var for øvrig uten allmennsymptomer. Resultatet av blodprøvene er vist i tabell 1. Det ble mistenkt medikamentell hepatitt, og karbamazepin ble seponert. ANA ble påvist svakt positiv, og ved serumelektroforese var det polyklonal økning i gammaregionen. Paul-Bunnells prøve og antistoffundersøkelse med hensyn på hepatitt A-virus og hepatitt B-virus var negative. Behandling med fenytoin ble gjenopptatt etter utskrivningen, men seks år senere ble fenytoin igjen seponert til fordel for karbamazepin på grunn av manglende anfallskontroll. 21 måneder etter dette ble hun så på nytt innlagt i medisinsk avdeling. I motsetning til første gang hadde hun nå følt seg slapp, kvalm og uvel i ti dager. Hun hadde anoreksi med gjentatte brekninger. Ved innkomst var hun afebril, BT 105/80 mm Hg og puls 64 regelmessig. Hun var i god allmenntilstand, men tydelig ikterisk, for øvrig var det intet påfallende ved klinisk undersøkelse. Blodprøver viste også denne gangen patologiske leververdier (tab 1). Karbamazepin ble igjen seponert, pasienten kom seg gradvis. Forløpet av blodprøvene er vist i figur 2. ANA var sterkt positiv, med en titer på 1 024 som var uforandret to måneder etter utskrivningen. IgG var forhøyet, med en verdi på 24,9 g/l (referanseområde: 6,9 – 15,7 g/l), og var fortsatt forhøyet ved kontroll to måneder senere, med en verdi på 23,6 g/ l. Verdiene for IgA og IgM var hele tiden normale. Leverbiopsi ble utført og viste akutt og kronisk betennelse med fibrose, tegn til nekrose av parenkymceller og kolestase. Ultralyd lever og galleveier viste mulig ødem i galleblæreveggen med omliggende fibrotiske forandringer, men ingen konkrementer. Antistoff mot hepatitt A-virus eller hepatitt B-virus ble ikke påvist, og det var normale verdier for ceruloplasmin og alfa-1-antitrypsin. 12 år senere viste nye blodprøver fortsatt forhøyet ANA, med en titer 256, og IgG-fraksjon i serum på 17,5 g/l.

    Kommentarer  ( 0 )

    Anbefalte artikler