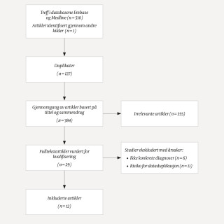
05.03.2018:
Av alle muskel- og skjelettplager er kneplager blant de hyppigste. Flertallet av pasientene har en atraumatisk knelidelse (1). Smertereseptorer kan ikke påvises i leddbrusk, men er rikelig til stede i andre strukturer, inkludert leddbånd, synovium, subkondralt ben og omgivende bløtdeler. Erfaringsmessig vil det imidlertid ved atraumatiske knesmerter ofte være tvil om smertenes utgangspunkt, selv etter grundig utredning. Plager som ofte ledsager knesmerter er stivhet, låsninger, kraftsvekkelse og instabilitet. I en intervjuundersøkelse med personer over 20 år bosatt i Nord-Trøndelag oppga...