Migrene og hjerneslag

    ()

    sporsmal_grey_rgb
    Abstract
    BAKGRUNN

    BAKGRUNN

    Migrene er en vanlig nevrologisk sykdom som medfører betydelig belastning for den enkelte som rammes, og store helseøkonomiske kostnader for samfunnet. Migrene er forbundet med økt risiko for hjerneslag. Formålet med denne artikkelen er å gi en oversikt over sammenhengen mellom migrene og hjerneslag: både hjerneinfarkt og hjerneblødning, mulige underliggende mekanismer, kliniske implikasjoner og behovet for videre forskning innen feltet.

    KUNNSKAPSGRUNNLAG

    KUNNSKAPSGRUNNLAG

    Denne oversikten er basert på litteratursøk i PubMed med definert søkestreng supplert med et pyramidesøk i søkemotoren McMaster PLUS med ordene «migraine» og «stroke», samt gjennomgang av artiklenes referanselister.

    RESULTAT

    RESULTAT

    Migrene med aura er assosiert med en dobling av risikoen for hjerneinfarkt, men det er ingen sikker økt risiko blant personer med migrene uten aura. Røyking, p-pillebruk og hyppige migreneanfall øker risikoen. Det ser også ut til å være en noe høyere forekomst av hjerneblødning hos personer med migrene med og uten aura.

    FORTOLKNING

    FORTOLKNING

    Sammenhengen mellom migrene og hjerneslag er kompleks. Det er med bakgrunn i økt risiko for hjerneinfarkt ved migrene med aura anbefalt at modifiserbare risikofaktorer som røyking, hypertensjon og p-pillebruk kartlegges grundig og behandles.

    Artikkel

    Migrene er en vanlig nevrologisk sykdom, med prevalens på 15 % i den voksne befolkningen, som medfører store sosiale, økonomiske og psykologiske belastninger (1–3). Kvinner er oftere affisert enn menn. Migrene debuterer ofte i tenårene og har høyest prevalens i alderen 20 til 50 år (2, 4).

    Komorbide tilstander kan bidra betydelig til sykelighet i migrenepopulasjonen. En rekke studier har vist økt risiko for hjerneinfarkt ved migrene, spesielt hos unge og middelaldrende kvinner (5). Formålet med denne artikkelen er å gi en oppdatert oversikt over sammenhengen mellom migrene og hjerneslag: både hjerneinfarkt og hjerneblødning, mulige underliggende mekanismer, kliniske implikasjoner og behovet for videre forskning.

    En oversiktsartikkel med samme tittel ble publisert i Tidsskriftet i 1998 (6). Siden den gang er det blitt utført en rekke nye studier. I disse har man blant annet klarlagt skillet mellom migrene med og uten aura, studert betydningen av anfallshyppighet og sett på sammenhengen mellom migrene og hjerneblødning. Man har også søkt etter årsaksforklaringer gjennom radiologiske og genetiske studier.

    Kunnskapsgrunnlag

    Kunnskapsgrunnlag

    Vi søkte i PubMed for perioden fra og med 2000 til og med august 2016 med følgende søkestreng: Migraine Disorders [Mesh] OR migraine [Title/Abstract] AND Stroke [Mesh] OR stroke OR strokes [Title/Abstract]) AND 2000/01/01 [PDat]: 2016/08/08 [PDat] AND English [lang] OR Norwegian [lang] OR Danish [lang] OR Swedish [lang].

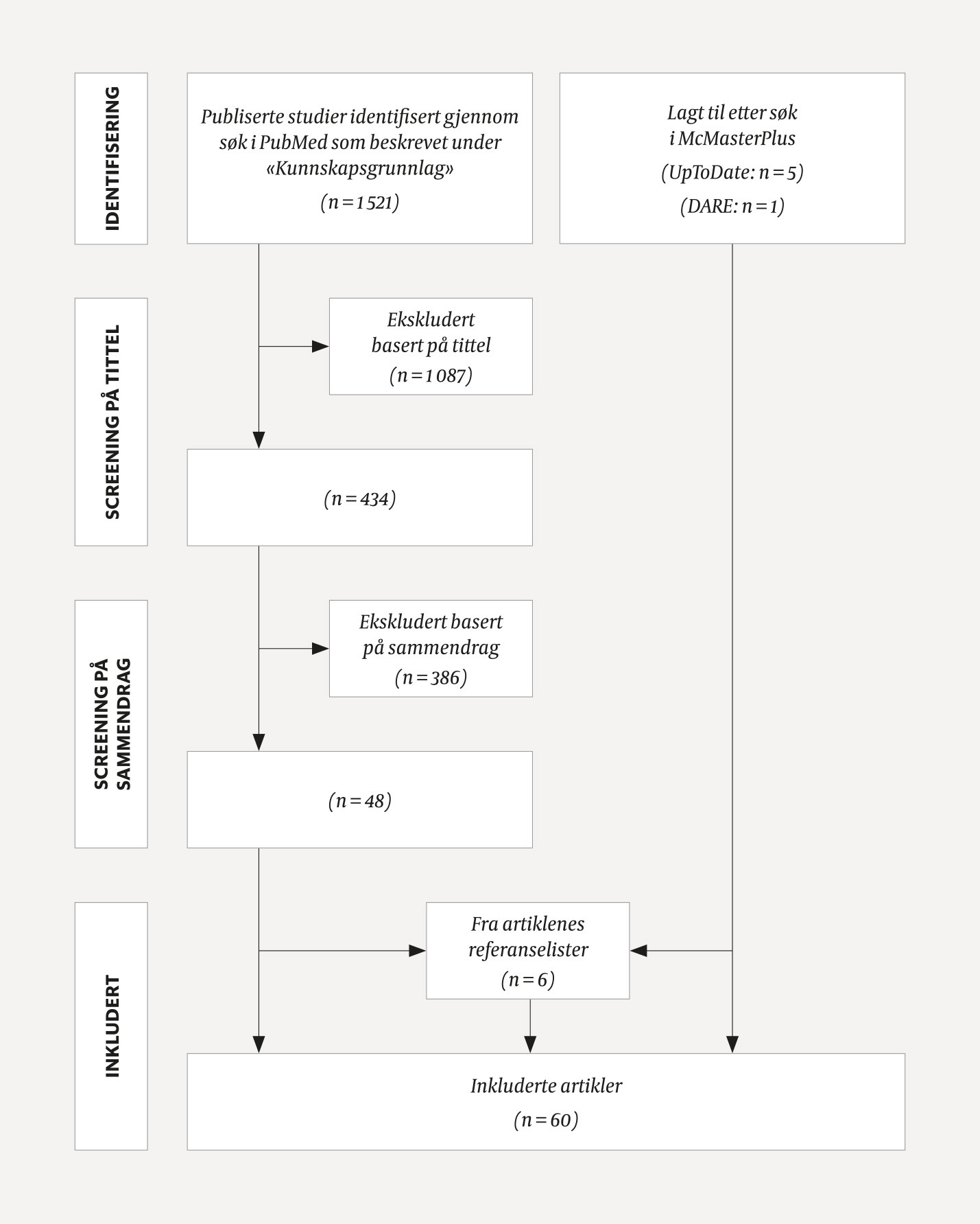
    Dette resulterte i totalt 1 521 artikler. En påfølgende eksklusjonsprosess ut fra en skjønnsmessig vurdering reduserte antallet først til 434 basert på tittel, deretter 48 basert på sammendrag. Det ble også supplert med pyramidesøk i søkemotoren McMaster PLUS via Helsebiblioteket med ordene «migraine» og «stroke» kombinert med AND, hvor seks artikler ble inkludert (fem fra UpToDate og én fra DARE). Dette resulterte i til sammen 54 original- og oversiktsartikler. Etter gjennomgang av disse artiklenes referanselister ble ytterligere seks artikler inkludert. Denne oversikten er basert på disse 60 artiklene (fig 1). Søket i McMaster PLUS og PubMed ble avsluttet 8.8.2016.

    Migrene og risikoen for hjerneslag

    Migrene og risikoen for hjerneslag

    Epidemiologiske studier

    Epidemiologiske studier

    Migrene med aura er forbundet med en omtrent doblet risiko for hjerneinfarkt (5, 7, 8). Relativ risiko (RR) for hjerneinfarkt ved migrene med aura ble i en metaanalyse angitt til 2,16 (95 % konfidensintervall (KI) 1,53–3,03), men det var ingen økt risiko for migrene uten aura (relativ risiko 1,23, KI 0,90–1,69) (7). Assosiasjonen er sterkest hos kvinner under 45 år og hos dem med hyppige migreneanfall (7, 8). Målt i absolutte tall er imidlertid insidensen av hjerneinfarkt hos personer under 45 år beskjeden, med 19 per 100 000 per år for dem med migrene mot 6 per 100 000 per år for dem uten migrene (9).

    Nyere studier tyder på en økt risiko også for hjerneblødning (subaraknoidalblødning eller intracerebral blødning) (5, 8, 10). I en metaanalyse var risikoen for hjerneblødning forhøyet hos personer med migrene (relativ risiko 1,48, KI 1,16–1,88), men uten noen tydelig relasjon til aura (10). Røyking og p-pillebruk forsterker risikoen for hjerneinfarkt ved migrene med aura og gir i kombinasjon en syvdobling i risiko, sammenlignet med kvinner med migrene med aura som verken røyker eller bruker p-piller (11). Til tross for den økte risikoen for hjerneslag er det uklart om migrene er assosiert med økt dødelighet fra kardiovaskulær sykdom sett under ett (12, 13).

    De fleste hjerneinfarkt oppstår uavhengig av migreneanfall. Imidlertid er en sjelden komplikasjon til migrene såkalt migrenøst infarkt, et påvist infarkt som fremstår ved uvanlig langvarige (> 60 minutter) aurasymptomer hos en person med migrene med aura (14, 15). Migrenøse infarkt utgjør kun 0,5–1,5 % av alle akutte hjerneinfarkt totalt, men opptil 14 % av hjerneinfarkt hos personer yngre enn 45 år (14, 16).

    Radiologiske studier

    Radiologiske studier

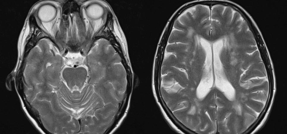
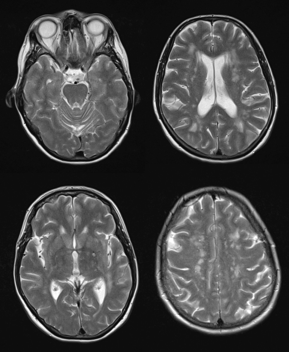
    Flere populasjonsbaserte studier med MR-undersøkelser har vist forhøyet forekomst av subkliniske infarkter hos personer med migrene, spesielt migrene med aura (17). I enkelte studier har man også funnet en forhøyet forekomst av uspesifikke hvitsubstanslesjoner i hjernen, mens andre ikke har gjenfunnet dette (18, 19) (fig 2). Man har imidlertid ikke kunnet påvise noen sammenheng mellom slike tilfeldig oppdagede radiologiske endringer og redusert kognitiv funksjon hos personer med migrene, og den kliniske betydningen av slike funn er usikker (20).

    Mulige biologiske mekanismer

    Mulige biologiske mekanismer

    Mekanismene bak assosiasjonen mellom migrene og hjerneslag er ikke fullt ut forstått, men ser ut til å være betinget i flere faktorer. Vi går igjennom de mest aktuelle forklaringsmodellene her.

    «Cortical spreading depression» (CSD)

    Det er bred enighet om at den nevrofysiologiske basisen for migreneaura er «cortical spreading depression» (CSD) (21). Dette består i en kraftig depolariserende bølge som sprer seg sakte (ca. 3 mm/min) over hjernebarken. Den er ledsaget av kortvarig hyperperfusjon, etterfulgt av en periode på 1–2 timer med 20–30 % reduksjon i cerebral blodsirkulasjon, noe som imidlertid er utilstrekkelig til å gi iskemi (8).

    Studier tyder på at migrene med aura er assosiert med en lavere terskel for at «cortical spreading depression» utløses (22). «Cortical spreading depression» kan utløses av en rekke stimuli, deriblant iskemi, hypoperfusjon og embolier (8, 21, 22). En mulig forklaring på sammenhengen mellom migrene med aura og hjerneslag er at mindre iskemiske hendelser, som hos andre forblir uoppdaget, hos personer med migrene med aura oftere utløser «sekundær» migreneaura, påfølgende kontakt med helsevesenet, og diagnose (8). Til støtte for dette er det særlig risikoen for mindre infarkter, og infarkter som medfører lav grad av funksjonsnedsettelse, som er økt hos individer med migrene med aura (8). En slik årsaksmekanisme kan imidlertid kun forklare hjerneslag som inntreffer i nær tidsmessig relasjon til et migreneanfall (8).

    Kardiovaskulære forhold

    Migrene er assosiert med klassiske kardiovaskulære risikofaktorer som hyperlipidemi og insulinresistens (23, 24). Sammenhengen med hjerneinfarkt er imidlertid tydeligst hos personer med få slike risikofaktorer, noe som tyder på en uavhengig virkningsmekanisme (8). En mulig bidragende forklaring til assosiasjonen mellom hjerneinfarkt og migrene er halskardisseksjon, som forekommer hyppigere hos personer med migrene og er en av hovedårsakene til hjerneinfarkt hos unge (25).

    I en stor genetisk studie av halskardisseksjon fant man flere av de samme genetiske komponentene som for migrene (26), noe som kan tyde på en delvis felles genetisk basis. Paradoksal embolisering gjennom åpent foramen ovale ble foreslått som mulig årsak, etter at man i flere studier beskrev en forhøyet forekomst av åpent foramen ovale hos personer med migrene med aura. Dette ble det imidlertid sådd tvil om etter at man i en metaanalyse, som tok hensyn til studiekvalitet, ikke gjenfant noen slik forhøyet forekomst (27). Man fant heller ingen effekt på migrene med aura av å lukke åpent foramen ovale (28).

    Genetikk

    I senere år har man påvist flere genetiske komponenter relatert til de vanlige formene for migrene. Den største av disse studiene omfattet 59 700 personer med migrene, og påviste 38 slike komponenter (29). Interessant nok pekte disse mot gener med funksjon i blodkar og glatt muskulatur, og funnene understøtter derfor en delvis vaskulær årsaksbasis for migrene (29). Man har også vist at genetiske komponenter for migrene og hjerneinfarkt delvis overlapper (30).

    Flere genetiske syndromer kjennetegnet av forekomst av både migrene og hjerneslag styrker hypotesen om en genetisk sammenheng. Dette gjelder sjeldne metabolske sykdommer som cerebral autosomalt dominant arteriopati med subkortikale infarkter og leukoencefalopati (CADASIL) og mitokondriell myopati, encefalopati, laktacidose og slaglignende episoder (mitokondrie-encephalopathy, lactacidose and strokelike episodes, MELAS) (8).

    P-piller

    P-piller

    Østrogeninnholdet i p-piller gir en risikoøkning for hjerneinfarkt, men ved lavdose p-piller som brukes i dag, er denne risikoen beskjeden (31). Verdens helseorganisasjon (WHO) fraråder likevel at kvinner med migrene med aura og kvinner over 35 år med migrene uten aura bruker kombinasjonspiller med østrogen. Man anbefaler heller å bruke p-piller som kun inneholder gestagen (32, 33). Kvinner under 35 år med migrene uten aura og fravær av andre risikofaktorer for hjerneslag kan bruke p-piller med lavdose østrogen. Personer med migrene som begynner å bruke p-piller, bør også overvåkes med tanke på endret alvorlighetsgrad og hyppighet av anfallene (32).

    Hormonsubstitusjonsterapi

    Hormonsubstitusjonsterapi

    Risikoen for hjerneinfarkt ved hormonsubstitusjonsterapi med lav østrogendose er beskjeden. Mange med migrene opplever hyppige anfall i peri- og postmenopausal alder og kan behandles med hormonsubstitusjonsterapi dersom det ikke tilkommer forverring av aurasymptomer (33).

    Svangerskap

    Svangerskap

    Hos de fleste kvinner med migrene reduseres frekvensen av anfallene under svangerskapet (34). Kvinner med migrene har imidlertid økt risiko for svangerskapsrelatert hypertensjon, preeklampsi og hjerneslag sammenlignet med dem uten migrene (35).

    Medikamenter

    Medikamenter

    Migrenespesifikke medikamenter, som ergotaminer og triptaner, kan gi cerebral vasokonstriksjon og kan teoretisk tenkes å øke risikoen for hjerneinfarkt. Ergotamin er ikke lenger markedsført i Norge. Observasjonsstudier har ikke vist noen sikker økt risiko for hjerneinfarkt ved bruk av triptaner (36), men disse er likevel relativt kontraindisert hos pasienter med vaskulær sykdom, og bør unngås helt hos pasienter med hjerneinfarkt eller manifest koronarsykdom (32).

    Betablokker er et førstehåndspreparat ved migreneprofylaktisk behandling, men er ikke anbefalt som førstevalg for personer over 60 år og røykere (32). Det gjelder spesielt ikke-selektive betablokkere (37).

    Diskusjon

    Diskusjon

    Migrene med aura er forbundet med økt risiko for hjerneinfarkt, spesielt hos kvinner under 45 år. Den absolutte risikoen for hjerneinfarkt er imidlertid lav. Det er viktig å grundig kartlegge og behandle klassiske kardiovaskulære risikofaktorer slik som hypertensjon og hyperkolesterolemi hos denne pasientgruppen, og å oppfordre til røykeslutt (5, 8). Kvinner med migrene med aura bør primært bruke gestagenholdige p-piller ved behov for peroral antikonsepsjon. Hyppige migreneanfall ser ut til å øke risikoen for hjerneinfarkt, men det er foreløpig ikke vist at bedre anfallskontroll reduserer slagrisikoen (38).

    Den komplekse sammenhengen mellom migrene og hjerneslag kan innebære diagnostiske utfordringer. Ved akutte nevrologiske utfall vil det enkelte ganger være vanskelig å avklare om symptomer er betinget i cerebral iskemi eller migreneaura. Det viktigste skillet klinisk mellom migreneaura og hjerneslag er at førstnevnte typisk utvikler seg gradvis, mens symptomer fra hjerneslag oppstår akutt. Migreneaura eller migrenelignende hodepine kan imidlertid også forekomme i forløpet av et hjerneinfarkt, og det er da meget viktig at diagnosen raskt avklares slik at pasienten får effektiv revaskulariserende behandling. Spesielt hos middelaldrende kan migrenesymptomer være atypiske og by på diagnostiske utfordringer (39).

    Frekvensen av migreneanfall ser ut til å være assosiert med økt risiko for hjerneslag, og i fremtidige studier bør man undersøke om bedre anfallskontroll reduserer slagrisikoen. Det er også viktig å avklare årsaksmekanismene bak den økte slagrisikoen hos denne pasientgruppen, slik at man kan utvikle målrettede strategier for å forebygge slike hendelser.

    Kommentarer  ( 0 )
    PDF
    Skriv ut

    Anbefalte artikler