25.10.2016:
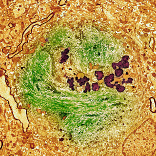
En mann i 50-årene ble innlagt i lokalsykehus grunnet ryggsmerter og generelt redusert allmenntilstand. Blodprøver på lokalsykehus viste følgende verdier: Hb 8,2 g/dl (13,4 – 17,0), trombocytter 57 ×10⁹/l (145 – 348), leukocytter 15,5 ×10⁹/l (3,5 – 11,0) og kreatinin 204 μmol/l (60 – 105). Pasienten hadde altså anemi, trombocytopeni, leukocytose og nyresvikt. Maskinell differensialtelling av hvite blodceller lyktes ikke ettersom maskintellingen ikke klarte å kategorisere de ulike leukocyttfraksjonene. Dette kan være uttrykk for atypiske celler i blodet, og det ble derfor rekvirert blodutstryk...