16.11.2006:
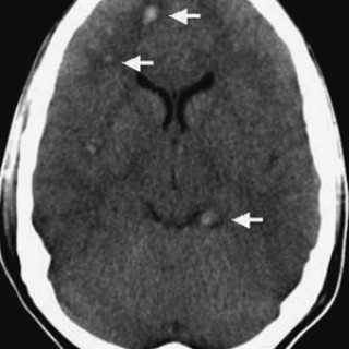
Hodeskader inndeles klinisk etter alvorlighetsgrad. I Skandinavia brukes ofte Head Injury Severity Scale (1), og skaden graderes da i kategoriene minimal, lett, moderat og alvorlig. Klassifikasjonen er i hovedsak basert på skår etter Glasgow Coma Scale (GCS), og opplysninger om bevissthetstap og/eller amnesi (tab 1). En pasient med GCS-skår 3 er dypt bevisstløs og reagerer ikke på smerte, mens en pasient som har GCS-skår 15, er helt våken, klar og orientert og kan utføre bevegelser på oppfordring. Et hodetraume kan føre til fokal skade, diffus skade eller til en kombinasjon av disse to. Fokale...