Background.
CT colonography is a new method for the detection of colorectal cancer and polyps.
Material and methods.
The article is based upon a review of the literature in PubMed (1994 – 2005) for CT colonography, as well as the authors’ own experience.
Results.
The seven largest publications show 55 – 94 % sensitivity and 92 – 98 % specificity for polyps ≥ 10 mm. Compared to conventional CT examinations, the method has different requirements for patient preparation and technique. Our own experience so far is limited, but promising.
Interpretation.
CT colonography seems to be a good alternative to the barium enema examination and a suitable supplement to incomplete colonoscopy. Hands-on training of radiologists is required before optimal results can be obtained.
Bruk av computertomografi (CT) for dedikert diagnostikk av kreft og polypper i tykktarm ble først beskrevet i 1994 (1) og er siden kjent som virtuell koloskopi, CT-koloskopi og den mest presise betegnelsen CT-kolografi. Metoden kan nå betraktes som et reelt alternativ til koloskopi og tradisjonell røntgen colon med dobbeltkontrastteknikk. Dette skyldes i stor grad de betydelige fremskritt som er gjort innenfor multidetektor-CT (MDCT) med tilpasset programvare og ikke minst økt kunnskap om metoden blant engasjerte radiologer.
I Norge er det økende interesse for de nye mulighetene som CT-kolografi gir. Kolorektal kreftsykdom er den hyppigst forekommende kreftform i Norge for menn og kvinner sett under ett (2), og bruk av koloskopi ved mistanke om dette legger beslag på betydelige ressurser.
Vi presenterer her en oversikt over metoden og resultatene ved bruk av CT-kolografi basert på en litteraturstudie. I tillegg gjøres det rede for de første egne erfaringer med metoden.
Metode
Artikkelen er basert på litteraturgjennomgang etter søk i PubMed (1994 – september 2005) med søkeord «CT colonography» og på forfatternes egne erfaringer. Søket i PubMed gav 506 treff.
CT-kolografi som metode
Indikasjonen for CT-kolografi er mistanke om kolorektal kreftsykdom og polypper. Kontraindikasjonene er de samme som for røntgen colon. Det kreves ingen sedasjon eller intravenøst kontrastmiddel. Forutsetningene for en teknisk vellykket undersøkelse er i første rekke optimal forhåndstømming og god dilatasjon av tykktarmen med luft før bildeopptak. Det er vist at tømming med salinske laksantia (natriumfosfat) i stedet for polyetylenglykol signifikant reduserer innhold av residualvæske i tykktarmen (3). Generelt anses også tømming med salinske laksantia å medføre mindre besvær for pasienten. Det instilleres romluft eller CO₂ via rectumsonde med manuell teknikk opp til pasientens tålegrense, eller til angitt trykk ved bruk av mekanisk pumpe. CO₂ antas å gi mindre luftbesvær i etterkant av undersøkelsen, fordi den i noen grad absorberes av tykktarmslimhinnen, men dette er foreløpig kun vist for koloskopi og røntgen colon (4). Bruk av spasmolytikumet butylbromid (Buscopan) kan redusere ubehaget ved luftinstillasjon og kan også bedre tarmrelaksasjonen og dermed dilatasjonen (5).
Med forrige generasjons CT-teknikk (konvensjonell spiral-CT) gav én rotasjon av røntgenrøret rundt pasienten ett bilde, og bildene kunne betraktes som en serie av transversale enkeltsnitt gjennom et valgt område av pasienten. Moderne multidetektor-CT kan generere opptil 64 bilder per rotasjon og gir et volumopptak av informasjon som kan rekonstrueres til et hvilket som helst plan med samme bildekvalitet. Det er også mulighet for tredimensjonale fremstillinger, og den høye bildeopptakshastigheten begrenser bevegelsesartefakter til et minimum. Bildeopptak ved CT-kolografi gjøres i rygg- og bukleie mens pasienten holder pusten. Med to ulike pasientleier sikres best mulig dilatasjon av de enkelte tarmsegmentene og endrer beliggenhet av væskerester som potensielt kan kamuflere patologi. Tarmslimhinne og gass i tarmlumen har svært forskjellig røntgentetthet, og det er derfor tilstrekkelig med en lav stråledose for å kunne skille slimhinne og gass fra hverandre. Det er vist at effektiv rørstrøm på 10 mAs, som medfører en pasientdose på rundt 2 mSv, gir god sensitivitet for deteksjon av polypper ≥ 10mm (6). Derfor er det et potensial for en betraktelig lavere stråledose enn ved konvensjonell CT-undersøkelse av abdomen, der rørstrøm typisk er 15 – 20 ganger høyere. Snittykkelse anvendt ved moderne CT-kolografi er 2,5 mm eller mindre.
Merking av fekalia kan være et nyttig hjelpemiddel (7). Pasienten inntar kontrastvæske som del av sin flytende diett ved komplett tarmtømming eller som en del av en lavfiberholdig diett i forkant av et lettere tømmingsregime. Med spesialdesignet programvare kan man eventuelt i etterkant subtrahere merket avføring og væske fra bildene, slik at man unngår væske som kamuflerer og avføring som imiterer polypper (8).
Bildene kan primært granskes enten slik de blir presentert i transversalplanet eller også med reformateringer til andre todimensjonale plan. Eventuelt kan bildedata rekonstrueres til en tredimensjonal virtuell koloskopi, som gir en bedre romlig gjengivelse av slimhinnen. Slik kan polypper lettere skilles fra strukturer som kan representere potensielle feilkilder, for eksempel slimhinnefolder (9). Det er dessuten vist at polypper måles med større nøyaktighet ved tredimensjonal fremstilling (10).
Resultater
I tabell 1 (10) – (16) vises sensitivitet og spesifisitet av CT-kolografi for mindre og større kolorektale polypper i de sju største publiserte studiene. Gullstandarden har i alle studiene vært koloskopi.
Tabell 1
Resultater fra de største studiene med CT-kolografi
| Polypper 6 – 9 mm |
Polypper ≥ 10 mm |
||||||
| Forfatter,år (referanse) |
Pasient (n) |
Senstivitet (%) |
Spesifisitet (%) |
Senstivitet (%) |
Spesifisitet (%) |
||
| Rockey et al 2005 (11) |
614 |
55 |
89 |
59 |
96 |
||
| Cotton et al 2005 (12) |
600 |
39 |
91 |
55 |
96 |
||
| van Gelder et al 2004 (13) |
249 |
78 |
70 |
84 |
92 |
||
| Pickhardt et al 2003 (10) |
1 233 |
89 |
80 |
94 |
96 |
||
| Johnson et al 2003 (14) |
703 |
– |
– |
48 |
98 |
||
| Pineau et al 2003 (15) |
205 |
84 |
83 |
90 |
95 |
||
| Yee et al 2001 (16) |
300 |
– |
– |
90 |
– |
||
En metaanalyse av 33 studier med til sammen 6 393 pasienter er utført (17). Denne inkluderte også studier utført med eldre CT-teknikk (enkeltdetekor spiral-CT), hvilket bidrog til et heterogent materiale. Resultatene viste også betydelig spredning. Sensitivitet per pasient for polypper > 9 mm var 85 % (95 % KI 79 – 91), for polypper 6 – 9 mm 70 % (55 – 84 %) og for polypper < 6 mm 48 % (25 – 70 %). For de tre kategoriene var spesifisitet henholdsvis 97 % (95 % KI 96 – 97), 93 % (91 – 95 %) og 92 % (89 – 96 %). Studiene som viste best sensitivitet, brukte multidetektor-CT, tredimensjonal fremstilling og tynne snitt. For hver millimeter økning i snittykkelse falt sensitivitet for polypper med cirka 5 %.
Den største og så langt mest positive publikasjonen inkluderte 1 233 personer med middels risiko for kolorektal kreftsykdom og som fikk utført CT-kolografi som screening (9) (fig 1). Det ble benyttet et tømmingsregime med fosforalløsning, manuell innblåsning av romluft, fekal merking, multidetektor-CT og gransking primært med tredimensjonal virtuell koloskopi utført av erfarne radiologer. Sensitivitet per pasient for adenomatøse polypper ≥ 8 mm var 94 %. 55 polypper ≥ 5 mm ble påvist av kun CT-kolografi primært og verifisert først ved annen gangs koloskopi. De fleste av disse var lokalisert bak en tarmfold eller nær anus. Totalt sett var det ingen signifikant forskjell i sensitivitet mellom CT-kolografi og koloskopi for adenomatøse polypper ≥ 8 mm. To av polyppene var maligne. CT-kolografi påviste begge, mens en 11 mm stor malign polypp ble oversett ved første gangs koloskopi. For såkalte flate adenomer isolert sett var sensitiviteten ved CT-kolografi 80 %. Pasienttiden ved CT-kolografi var i gjennomsnitt 14,1 minutter og ved koloskopi 31,5 minutter.
Felles for de fleste studiene er at oppmerksomheten i første rekke er rettet mot hvor egnet metoden er til å påvise polypper, hvor malignitetsrisikoen som kjent korrelerer med størrelsen. I disse studiene er det i liten grad gjort analyser av hvor sensitiv CT-kolografi er for kreftsykdom. En metaanalyse av 2 610 pasienter ekstraherte en sensitivitet for kreftsykdom på 95,9 % (95 % KI 91,4 – 98,5) (18).
En fordel med CT-kolografi er at anatomien også utenfor tarmlumen fremstilles, og det er rapportert viktige tilleggsfunn hos 5 – 11 % av pasientene, blant annet abdominal tumor og aortaaneurisme (9, 19, 20).
I et materiale på drøyt 600 pasienter gav CT-kolografi signifikant mindre ubehag enn røntgen colon og samme grad av ubehag som koloskopi (21). En annen studie konkluderte med at røntgen colon gav mer ubehag for pasienten enn både CT-kolografi og koloskopi (22). CT-kolografi er også vist å kunne gi mindre ubehag enn koloskopi (23). Det er så langt ikke rapportert om alvorlige komplikasjoner med metoden.
Egne erfaringer
Ved Sykehuset Østfold ble det fra november 2002 til oktober 2003 undersøkt 15 pasienter med CT-kolografi. Pasientene ble selektert på bakgrunn av henvisning til koloskopi for spesifikk mistanke om kreft eller polypper i tykktarm. Samtlige fikk polyetylenglykolløsning (Laxabon) til forhåndstømning av tarmen. Det ble via rectumsonde instillert romluft med manuell pumpe til pasientens tålegrense. Todimensjonale bilder i både aksial- og koronalplan ble gransket av to leger under utdanning til spesialiteten radiologi (GR og HH) først individuelt, deretter i konsensus. Ingen hadde noen tidligere praktisk erfaring med metoden. Virtuell koloskopi ble ikke benyttet. Undersøkelsen ble etterfulgt av vanlig koloskopi senere på dagen uten at endoskopøren hadde kjennskap til resultatet av CT-undersøkelsen. Ved CT-kolografi ble det påvist to polypper ≥ 10 mm og begge ble bekreftet ved koloskopi. Ved CT ble det funnet ni polypper med diameter 5 – 10 mm, og fem av disse ble koloskopisk verifisert. Det ble ikke gjort funn av kreftsykdom, heller ikke av viktig patologi utenfor colon. Ingen polypper ble oversett ved CT-undersøkelsen.
Pasienttid ved CT-laboratoriet var i gjennomsnitt 23 (spredning 20 – 32) minutter, koloskopi med eventuell polyppektomi i gjennomsnitt 44 (20) – 85) minutter. Postprosessering av CT-bildene tok sju minutter og gransking 9,4 ((6) – (15) minutter per pasient. Gjennomsnittlig tidsbruk for CT-kolografi totalt sett ble dermed 39,4 minutter.
På spørsmål om hvilken undersøkelse som samlet sett medførte mest ubehag, svarte tre pasienter CT-kolografi, åtte koloskopi og tre «samme ubehag». En pasient svarte ikke.
Røntgen colon
Røntgen colon ved mistanke om kreft eller polypper er en godt innarbeidet metode med et betydelig erfaringsgrunnlag blant radiologer i Norge. Publikasjoner om CT-kolografi tyder imidlertid på at metoden på flere viktige områder er fordelaktig i forhold til røntgen colon. CT-kolografi med lavdoseteknikk gir ikke minst en atskillig lavere stråledose enn hva som er vist for røntgen colon (24). Ved Sykehuset Østfold gis det nå tilbud om CT-kolografi ved inkomplett koloskopi og som et alternativ til røntgen colon.
Diskusjon
Koloskopi regnes i dag som den beste undersøkelsen ved utredning av polypper og kreft i tykktarm. Undersøkelsen har god sensitivitet (79 – 100 %) for kolorektal kreftsykdom og polypper ≥ 1 cm i diameter (25). Den er imidlertid relativt ressurskrevende, og i noen tilfeller når ikke koloskopøren frem til coecum. Komplikasjoner kan også forekomme. Flere publikasjoner har vist at CT-kolografi har sensitivitet for kreft og polypper ≥ 10 mm omtrent på linje med koloskopi. For mindre polypper er sensitiviteten lavere.
Som metode er CT-kolografi fortsatt i utvikling. Den betydelige spredningen i resultater med hensyn til sensitivitet viser at resultatene ved CT-kolografi kan variere fra det helt middelmådige til det eksellente. Det er derfor behov for flere prospektive studier der metoden utført med moderne teknikk sammenliknes med diagnostisk koloskopi (26).
Det er en klar tendens til at resultatene er best når nyeste type CT-maskin er anvendt. Det foregår en rask utvikling av denne teknologien. Flere snitt per rotasjon av røntgenrøret gir bedre oppløsning, og i løpet av det siste året er det lansert multidetektor-CT som gir 64 snitt per rotasjon. Det er å forvente ytterligere forbedring av følsomheten for påvisning av små lesjoner ved studier som er utført med denne typen maskiner.
For å ta i bruk metoden er det viktig med fokus på optimalisering av pasientforberedelse og undersøkelsesteknikk. Radiologer som har bred erfaring med metoden, hevder også at erfaring med å granske vanlige CT-undersøkelser ikke er nok, men at dedikert opplæring i metoden er nødvendig (27).
De fleste tilfeller av kolorektal kreftsykdom utvikler seg fra polypper. Det er beregnet at screening med både koloskopi og CT-kolografi (med antatt lik sensitivitet for kreft og polypper) kan redusere insidensen av kolorektal kreftsykdom i USA med 46 – 54 % når 75 % av befolkningen over 50 år undersøkes (28). Både American College of Gastroenterology og National Cancer Society i USA anbefaler screening for kolorektale polypper hos alle over 50 år, men hittil ikke med CT-kolografi (29, 30). Til nå er det færre enn 50 % av personene i den aktuelle målgruppen som lar seg screene, og det er håp om at en totalt sett mindre grad av ubehag for pasienten ved CT-kolografi skal kunne øke deltakelsen. Dette har medført et særlig fokus på deteksjon av polypper hos asymptomatiske pasienter i studier med CT-kolografi. I USA pågår det for tiden en multisenterstudie, der 15 sentre deltar (ACRIN 6664). Hensikten er å validere bruk av CT-kolografi med nyeste teknikk på en screeningpopulasjon.
I Norge er vanlig praksis at kolorektal diagnostikk er basert på symptomer hos pasienten. Sannsynligvis vil en pasientpopulasjon med symptomer fra tykktarmen ha høyere risiko for polypper og kreftsykdom enn en screeningpopulasjon, hvilket vil medføre hyppigere behov for polyppektomi. I sin tur vil dette få betydning for kostnadene ved CT-kolografi og den totale belastningen for de aktuelle pasientene i forhold til at det henvises direkte til koloskopi. I en amerikansk screeningpopulasjon med middels risiko for kreftsykdom måtte det utføres endoskopisk polyppektomi på omtrent 1 av 13 pasienter når funn av polypp ≥ 10 mm ved CT-kolografi ble satt som terskelverdi (9). Dersom polypper vist på CT som er mindre enn 10 mm skal fjernes, vil det nødvendigvis bli behov for polyppektomi hos flere.
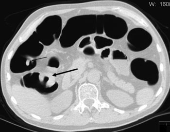
CT-kolografi synes å være spesielt godt egnet etter inkomplett koloskopi, helst utført samme dag. Pasienten vil i så fall allerede være forhåndstømt og ha en del gass i tykktarmen. Merbelastningen ved en CT-kolografi vil i så måte være beskjeden. I et materiale på 40 ufullstendige koloskopier ble det rapportert at CT-kolografi gav en fullstendig fremstilling av tykktarmen i over 90 % av tilfellene (31). Egne erfaringer som er gjort på denne type problemstilling, er også positive (fig 2). Når koloskopi er ufullstendig på grunn av strikturerende cancer, vil det kunne være hensiktsmessig at den supplerende CT-kolografiundersøkelsen utføres med tilpasset stråledose og intravenøs kontrast for eventuelt å påvise metastaser til lever og abdominale lymfeknuter.
Konklusjon
CT-kolografi er en ny metode for diagnostikk av kolorektal kreftsykdom og polypper. Flere publikasjoner viser sensitivitet på linje med koloskopi for kreft og polypper ≥ 10 mm. Det er imidlertid behov for flere prospektive studier, der nyeste teknikk anvendes. Metoden er velegnet som et supplement ved ufullstendig koloskopi og har i tillegg et potensial til å påvise patologi utenfor tykktarmen. I forhold til røntgen colon synes CT-kolografi å være fordelaktig også med hensyn til stråledose og grad av ubehag hos pasienten.
Oppgitte interessekonflikter: Ingen
- 1.
Vining DJ, Gelfand DW, Bechtold RE et al. Technical feasibility of colon imaging with helical CT and virtual reality (abstract). Am J Roentgenol 1994; 162: 104.
- 2.
Kreftregisteret. Kreft i Norge 2003. www.kreftregisteret.no (27.1.2005).
- 3.
Macari M, Lavelle M, Pedrosa I et al. Effect of different bowel preparations on residual fluid at ct colonography. Radiology 2001; 218: 274 – 7.
- 4.
Bretthauer M, Thiis-Evensen E, Huppertz-Hauss G et al. NORCCAP (Norwegian colorectal cancer prevention): a randomized trial to assess the safety and efficacy of carbon dioxide versus air insufflation in colonoscopy. Gut 2002; 50: 604 – 7.
- 5.
Taylor S, Halligan S, Goh V et al. Optimizing colonic distention for MDCT colonography: Effect of hyoscine butylbromide and rectal balloon catheter. Radiology 2003; 229: 99 – 108.
- 6.
Iannaccone R, Laghi A, Catalano C et al. Detection of colorectal lesions: Lower-dose MDCT colonography compared with conventional colonoscopy. Radiology 2003; 229: 775 – 81.
- 7.
Lefere P, Gryspeerdt S, Marrannes J et al. CT colonography after fecal tagging with a reduced cathartic cleansing and a reduced volume of barium. Am J Roentgenol 2005; 184: 1836 – 42.
- 8.
Pickhardt P, Choi JR. Electronic cleansing and stool tagging in CT colonography: advantages and pitfalls with primary three-dimensional evaluation. Am J Roentgenol 2003; 181: 799 – 805.
- 9.
Pickhardt P, Choi JR, Hwang I et al. Computed tomographic virtual colonoscopy to screen for colorectal neoplasia in asymptomatic adults. N Engl J Med 2003; 349: 2191 – 200.
- 10.
Pickhardt PJ, Lee AD, McFarland EG. Linear polyp measurement at CT colonography: In vitro and in vivo comparison of two-dimensional and three-dimensional displays. Radiology 2005; 236: 872 – 8.
- 11.
Rockey DC, Paulson E, Niedzwiecki D et al. Analysis of air contrast barium enema, computed tomographic colonography, and colonoscopy: prospective comparison. Lancet 2005; 365: 305 – 11.
- 12.
Cotton PB, Durkalski VL, Pineau BC et al. Computed tomographic colonography (virtual colonoscopy): A mulitcenter comparison with standard colonoscopy for detection of colorectal neoplasia. JAMA 2004; 291: 1713 – 9.
- 13.
van Gelder RE, Birnie E, Florie J et al. CT colonography and colonoscopy: assessment of patient preference in a 5-week follow-up study. Radiology 2004; 233: 328 – 37.
- 14.
Johnson CD, Harmsen WS, Wilson LA et al. Prospective blinded evaluation of computed tomographic colonography for screen detection of colorectal polyps. Gastroenterology 2003; 125: 311 – 9.
- 15.
Pineau BC, Paskett ED, Chen GJ et al. Virtual colonoscopy using oral contrast compared with colonoscopy for the detection of patients with colorectal polyps. Gastroenterology 2003; 125: 304 – 10.
- 16.
Yee J, Akerkar GA, Hung RK et al. Colorectal neoplasia: performance characteristics of CT colonography for detection in 300 patients. Radiology 2001; 219: 685 – 92.
- 17.
Mulhall B, Veerappan G, Jackson J. Meta-analysis: Computed tomographic colonography. Ann Intern Med 2005; 142: 635 – 50.
- 18.
Halligan S, Altman DG, Taylor SA et al. Computed tomographic colonoscopy (virtual colonoscopy) for detection of colorectal polyps and cancer: meta-analysis. Eur Radiol 2004; 14 (suppl): 15.
- 19.
Gluecker TM, Johnson CD, Wilson LA et al. Extracolonic findings at CT colonography: evaluation of prevalence and cost in a screening population. Gastroenterology 2003; 124: 911 – 6.
- 20.
Hara AK, Johnson CD, MacCarty RL et al. Incidental extracolonic findings at CT colonography. Radiology 2000; 215: 353 – 7.
- 21.
Gluecker TM, Johnson CD, Harmsen W et al. Colorectal cancer screening with CT colonography, colonoscopy, and double-contrast barium enema examination: Prospective assessment of patient perceptions and preferences. Radiology 2003; 227: 378 – 84.
- 22.
Taylor S, Halligan S, Saunders B et al. Acceptance by patients of multidetector CT colonography compared with barium enema examinations, flexible sigmoidoscopy, and colonoscopy. Am J Roentgenol 2003; 181: 913 – 21.
- 23.
Svensson M, Svensson E, Lasson A et al. Patient acceptance of CT colonography and colonoscopy: Prospective comparative study in patients with or suspected of having colorectal disease. Radiology 2002; 222: 337 – 45.
- 24.
Olerud H, Saxebøl G. Diagnostic radiology in Norway from 1983 to 1993- examination frequency and collective effective dose to patients. Radiat Prot Dosimetry 1997; 74: 247 – 60.
- 25.
De Zwart I, Griffioen G, Shaw MP et al. Barium enema and endoscopy for the detection of colorectal neoplasia: Sensitivity, specificity, complications and its determinants. Clinical Radiology 2001; 56: 401 – 9.
- 26.
Halligan S, Atkin W. Unbiased studies are needed before virtual colonoscopy can be dismissed. Lancet 2005; 365: 275 – 6.
- 27.
Mendelson R, Ramsay D, Edwards J et al. Virtual colonoscopy: Issues in implementation. Australas Radiol 2005: 49: 8 – 14.
- 28.
Ladabaum U, Song K, Fendrick AM. Colorectal neoplasia screening with virtual colonoscopy: when, at what cost, and with what national impact? Clin Gastroenterol Hepatol 2004; 2: 554 – 63.
- 29.
Rex D, ACG board of trustees. American College of Gastroenterology action plan for colorectal cancer prevention. Am J Gastroenterol 2004; 99: 574 – 7.
- 30.
Smith RA, Cokkinides V, Eyre HJ. American Cancer Society guidelines for the early detection of cancer, 2003. CA Cancer J Clin 2003; 53: 27 – 43.
- 31.
Morrin MM, Kruskal JB, Farrel RJ et al. Endoluminal CT colonography after an incomplete endoscopic colonoscopy. Am J Roentgenol 1999; 172: 913 – 8.