Background.
Head trauma of varying severity may induce diffuse axonal injury. More attention is now given to this important type of injury, as examinations of head-injured patients with MRI have given us more knowledge.
Material and methods
. We present a review of diffuse axonal injury with the main focus on clinical presentation and radiology, based on a Pubmed search and own experience.
Results and interpretation
. Axons seldom rupture at the moment of injury. It is more common that it takes hours or a few days until the axons are detached. Areas most commonly affected are white matter in the hemispheres, corpus callosum and the brain stem. Half of the patients with severe head injury have diffuse axonal injury, but this type of injury also occurs in patients with moderate and mild head injury. The clinical presentation and prognosis will therefore vary. Diffuse axonal injury can present with typical signs revealed by CT, but the CT scan may also be normal, especially when there is no bleeding. New MRI techniques are more sensitive and show that diffuse axonal injury occurs more often than previously assumed. MRI is therefore necessary to give the patients correct diagnoses and adequate rehabilitation and follow-up.
Hodeskader inndeles klinisk etter alvorlighetsgrad. I Skandinavia brukes ofte Head Injury Severity Scale (1), og skaden graderes da i kategoriene minimal, lett, moderat og alvorlig. Klassifikasjonen er i hovedsak basert på skår etter Glasgow Coma Scale (GCS), og opplysninger om bevissthetstap og/eller amnesi (tab 1). En pasient med GCS-skår 3 er dypt bevisstløs og reagerer ikke på smerte, mens en pasient som har GCS-skår 15, er helt våken, klar og orientert og kan utføre bevegelser på oppfordring. Et hodetraume kan føre til fokal skade, diffus skade eller til en kombinasjon av disse to. Fokale skader omfatter epidurale og subdurale hematomer, kontusjonsblødninger og traumatiske intracerebrale hematomer. Diffuse skader innbefatter diffus aksonal skade, diffust hjerneødem og hypoksisk hjerneskade (2). Diffus aksonal skade forekommer i et kontinuum med økende alvorlighetsgrad fra lett til alvorlig skade, og er en viktig, men lite kjent skadetype. Formålet med artikkelen er å gi en oversikt over denne skadetypen.
Tabell 1
Head Injury Severity Scale (HISS). Modifisert etter Stein & Spettell (1)
| HISS-kategori |
Kliniske karakteristika |
| Minimal hodeskade |
GCS-skår 15. Intet bevissthetstap |
| Lett hodeskade |
GCS-skår 14 eller 15. Kortvarig (< 5 minutter) bevissthetstap eller amnesi/nedsatt hukommelse eller nedsatt reaksjonsevne |
| Moderat hodeskade |
GCS-skår 9 – 13 eller bevissthetstap ≥ 5 minutter eller fokalnevrologiske utfall |
| Alvorlig hodeskade |
GCS-skår 3 – 8 |
Historikk
Traumatisk aksonskade som resultat av skjærende traume (shearing injury), ble første gang grundig beskrevet av Strich i 1950-årene (3, 4). Hun antok at det forekom en mekanisk overrivning av aksoner i skadeøyeblikket (primær aksotomi). Videre påviste hun utvikling av gliose og degenerasjon av aksoner (wallersk type) i hvit substans i løpet av månedene etter skaden.
Diffus aksonal skade
I 1982 introduserte Adams og medarbeidere begrepet «diffus aksonal skade» (5). Mikroskopiske undersøkelser av hjernevev etter alvorlig hodeskade viste skade av aksoner i cerebrale hemisfærer, corpus callosum, hjernestamme og av og til også i cerebellum (5, 6). Senere studier har vist at primær aksotomi forekommer sjelden. Oftere vil aksonene ødelegges timer til flere døgn etter skaden. Aksonet har da gjennomgått en oppsvulming som følges av en avsnøring distalt for oppsvulmingen, slik at aksonet deles i to (sekundær aksotomi) (7, 8). Strekkskaden kan også være begrenset slik at den ikke resulterer i aksotomi, og det vil da kun oppstå reversibel oppsvulming av aksoner med påvirket intracellulær transport (2, 8).
Skademekanisme
Diffus aksonal skade ses oftest etter trafikkulykker, og sjeldnere etter fallulykker, da fallet trolig må være fra en viss høyde (5, 6, 9, 10). Vi har også sett denne type skade hos pasienter som har vært utsatt for skiulykker eller andre sportsulykker. Skaden er resultat av en akselerasjons-/deselerasjonsbevegelse med samtidig rotasjon av hjernen (6, 11). Den samme mekanismen er foreslått å forårsake den klassiske tilstanden hjernerystelse. Traumet antas da å gi mindre bevegelse av hjernen slik at en kun får forbigående fysiologisk dysfunksjon (2, 12). Imidlertid har postmortemundersøkelse etter lett hodeskade, vist diffus aksonal skade også hos slike pasienter (13).
Hjernen er delvis fiksert innenfor den harde skallen, slik at den dype og den overflatiske delen av hjernen kan bevege seg med ulik fart (14). Videre kan det oppstå skade i overgangen mellom hvit og grå substans fordi vevet har ulik konsistens og vil bevege seg forskjellig. Falx vil hindre bevegelse av hemisfærene over midtlinjen, men siden corpus callosum er forbindelsen mellom de mer bevegelige hemisfærene, antas denne strukturen og andre midtlinjestrukturer å være spesielt utsatt for skjærekreftene (13, 15).
Klinisk presentasjon
Diffus aksonal skade ses oftere hos unge pasienter enn hos eldre (16). Om lag halvparten av pasientene med alvorlig hodeskade har diffus aksonal skade, og det er den vanligste årsaken til dårlig funksjon etter hodeskader (6, 12). Symptomene vil imidlertid variere fordi pasientene utgjør en heterogen gruppe med skade i ulike strukturer i hjernen. Utfallene vil derfor være avhengige av hvor stor graden av strekkskade har vært, antall aksoner som er affisert og lokalisasjon (2). Mange pasienter vil ha andre intrakraniale skader i tillegg, og dermed eventuelt symptomer også fra fokale lesjoner (8).
Kliniske faser
Pasientene har ofte et forløp med tre kliniske faser: Etter en periode med bevisstløshet følger en periode med desorientering, såkalt posttraumatisk amnesi, og til slutt ses en fase med fullstendig eller delvis gjenvinning av kognitiv funksjon (8). Imidlertid vil over halvparten av pasientene som har en alvorlig diffus aksonal skade, dø i løpet av den første fasen (12). Varigheten av fasene øker med alvorlighetsgraden av skade, slik at man i de mest alvorlige tilfellene gjerne vil se et langtrukkent forløp. Noen pasienter vil etter koma gå inn i en vegetativ tilstand for deretter eventuelt å gå over i en såkalt minimalt bevisst tilstand (8). Vi har likevel observert at de fleste som overlever, vil gjenvinne bevissthet og en form for kommunikasjonsevne, selv om det foreligger omfattende kognitive utfall.
Diffus aksonal skade forekommer imidlertid også ved moderate og lette hodeskader (13, 17, 18). Vår erfaring med pasienter med GCS-skår 11 – 13 og kortvarig bevisstløshet, er at de ofte har fluktuerende bevissthet de første dagene med posttraumatisk amnesi og uttalt tretthet. Dette er pasienter som tidligere trolig ville fått diagnosen «kraftig hjernerystelse». Videre er det også beskrevet diffus aksonal skade hos pasienter med GCS-skår på 14 og 15 (13, 18, 19).
Andre kliniske funn og symptomer
Pupilldilatasjon som ikke skyldes herniering, kan ses ved alvorlig diffus aksonal skade (10, 17, 20). Videre kan økt sympatisk aktivitet, som hypertensjon, takykardi, økt svetting og feber, forekomme på grunn av skade i hjernestammen og i hypothalamus (12, 21). Lesjoner som affiserer pyramidebanene i capsula interna og i hjernestammen kan gi pareser og spastisitet.
Moderate og alvorlige hodeskader vil medføre kognitive utfall hos mange pasienter, imidlertid er det få studier der man spesifikt har undersøkt pasienter med diffus aksonal skade (22, 23). Det er vist redusert hastighet for å bearbeide informasjon (22), og pasientene kan oppleve at de bruker lengre tid på mentale oppgaver, ikke klarer å gjøre flere ting samtidig og blir lettere mentalt slitne. Som hos andre hodeskadepasienter, ser man ofte hukommelsesproblemer og utfall innen eksekutive funksjoner (som for eksempel redusert arbeidshukommelse og redusert evne til planlegging og problemløsning) (23, 24).
Bildediagnostikk med CT
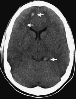
Ved hodeskader vil CT-undersøkelse av hjernen være førstevalg siden undersøkelsen i akuttfasen er en rask og effektiv teknikk for å påvise frakturer, blødninger og ødem (25). Funn ved cerebral CT hos pasienter med skjærende skade ble først beskrevet i slutten av 1970-årene (9). Pasientene hadde alvorlig klinisk status, men CT viste likevel ikke en signifikant intrakranial blødning som kunne forklare bevisstløsheten. Typiske CT-funn ved diffus aksonal skade er små, punktformede blødninger i overgangen mellom grå og hvit substans i storhjernen og sjeldnere i corpus callosum, blod i ventrikkelsystemet og blod i subaraknoidalrommet rundt mesencephalon (fig 1) (10, 17, 20, 26). Ikke-hemoragiske lesjoner er vanskelige å påvise ved CT (25). CT vil derfor undervurdere forekomst og omfang av den diffuse aksonale skaden. Pasienter med slik skade kan ha normal CT (18). I senfasen vil CT i de mest alvorlige tilfellene kunne vise atrofi med økt ventrikkelstørrelse (9).
Bildediagnostikk med MR
MR-undersøkelse er den bildediagnostiske metoden som gir et best grunnlag for å vurdere subakutte og kroniske traumatiske hjerneskader (26), men undersøkelsen har nå også fått en viktig rolle i den mer akutte fasen etter at pasienten er stabilisert. MR gir en klart bedre kontrastoppløsning enn CT og er en mer sensitiv undersøkelse for å påvise både hemoragiske og ikke-hemoragiske hjerneparenkymskader (25).
MR-gradering
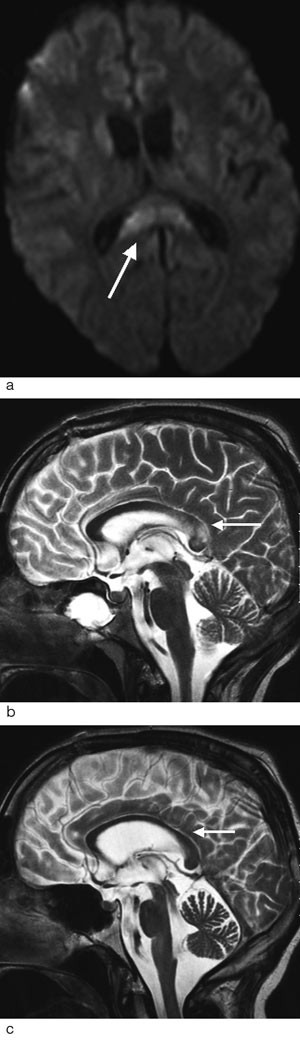
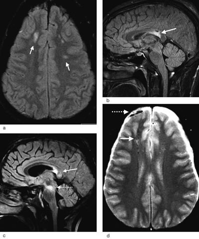
Diffus aksonal skade er ikke nødvendigvis diffus i sin utbredelse. Tvert imot forekommer disse lesjonene med et ganske typisk distribusjonsmønster. De fleste lesjoner er små (5 – 15 mm) og lokalisert til hvit substans og overgangen mellom grå og hvit substans i frontallappene og temporallappene (fig 2a). Ved kraftigere traumer kan det i tillegg påvises lesjoner i corpus callosum og i hjernestammen (fig 2b og c). Avhengig av hvilke strukturer som er omfattet av skaden, kan diffus aksonal skade graderes i grad 1 – 3 (tab 2) (25).
Tabell 2
MR-gradering ved diffus aksonal skade (24)
| Grad 1 |
Lesjoner i storhjernehemisfærer |
| Hvitsubstanslesjoner og/eller mikroblødninger i parasagittale deler av frontallapper og periventrikulære områder av temporallapper. |
|
| Eventuelt i capsula interna, capsula externa eller cerebellum |
|
| Grad 2 |
Lesjoner i corpus callosum |
| Hyppigst i bakre del av truncus og i splenium |
|
| Grad 3 |
Lesjoner i hjernestammen |
| Typisk i dorsolaterale øvre kvadrant av mesencephalon og øvre del av pons. |
|
| Eventuelt i øvre cerebellare pedunkler |
Lesjonene er vanligvis multiple, ofte så mange som 15 – 20, og kan deles i hemoragiske og ikke-hemoragiske (25, 27). De ikke-hemoragiske lesjonene som forekommer hyppigst, representerer ødem i hjernevevet, mens de hemoragiske skadene trolig skyldes lekkasje av blod fra små kar som forløper langs aksonene og som rives over ved traumet. Blødningene er typisk punktformede, og de minste betegnes gjerne mikroblødninger (fig 2d).
MR-teknikker ved diffus aksonal skade
Hurtige T2-vektede spinnekkosekvenser og FLAIR-sekvenser er MR-teknikker som er følsomme for å påvise endringer i hjernens vanninnhold, og økt vanninnhold vises som områder med høyt signal. Ved FLAIR-sekvensen blir signalet fra det frie vannet i cerebrospinalvæsken undertrykket, og dette øker sensitiviteten for å oppdage ødem i hjernevevet ved diffus aksonal skade (fig 2a og c) (28).
Gradientekko T2*-vektede bilder (såkalt hemosekvens) er velegnet for å påvise blodnedbrytingsprodukter, og lesjoner med blodprodukter fremtrer som signaltomme områder (fig 2d) (25). Størrelsen på disse områdene er betydelig større enn selve blodansamlingen. Dette skyldes at de paramagnetiske blodproduktene forstyrrer magnetfeltet i et større område. Mens lesjonene forårsaket av ødem kan forsvinne etter dager eller uker, vil lesjonene som er forårsaket av mikroblødninger kunne bestå i måneder til år da nedbrytingsproduktene innleires i hjernevevet (14, 25).
Nye MR-teknikker
Diffusjon. Diffusjonsvektet MR er en relativt ny teknikk som viser termisk bevegelse av vannmolekyler i vevet. Ved diffus aksonal skade inntrer endringer i vanndiffusjonen da aksonskade med kollaps av cellestrukturen kan gi endring av vannmolekylenes bevegelighet (29). Områder i hjernevevet med redusert diffusjon tyder på en irreversibel celleskade som vil føre til vevsnekrose (fig 3). Studier har vist at diffusjonsvektet MR er en mer følsom teknikk enn de tradisjonelle MR-sekvensene (27, 30). Siden blant annet mikroblødninger vil være lettere å påvise med andre MR-sekvenser, må diffusjonssekvenser likevel benyttes som et tillegg til, og ikke som erstatning for, de konvensjonelle teknikkene.
Diffusjonstensorteknikk. Diffusjonstensor-MR er en videreutvikling av diffusjonsvektet MR, hvor man i tillegg til å se på graden av vanndiffusjon i vevet, også kartlegger retningen av diffusjonen. I hjernens hvite substans er vanndiffusjonen mye større på langs av aksonfibrene enn den er på tvers, og metoden kan derfor benyttes til å kartlegge aksonarkitekturen. Ved diffus aksonal skade blir aksonveggene skadet, slik at de ikke lenger hindrer vannmolekylenes diffusjonsbevegelser (31). Tidlige studier viser at diffusjonstensor-MR kan være en svært følsom teknikk for å påvise diffus aksonal skade (31) – (33), og at man kan se forandringer selv ved lette hodeskader (19).
Indikasjoner for MR-undersøkelse
Ved hodetraumer anbefales MR brukt i tidlig fase ved diskrepans mellom CT-funn og kliniske funn (26). Det er foreslått at alle pasienter med alvorlig eller moderat hodeskade bør få utført MR innen to uker (14, 25). Dette kan være av betydning for å vurdere pasientens prognose. Lesjoner som påvises de to første ukene, er ikke alltid synlige senere i forløpet.
Praktiske ulemper med MR er at undersøkelsen er tidkrevende og pasienten bør ligge helt i ro. Det siste kan være vanskelig for hodeskadepasienter som ofte er urolige og forvirret. Et annet problem er at mange av pasientene er multitraumatiserte, og noen kan derfor ha eksterne fiksasjoner og annet utstyr som ikke er MR-kompatibelt. Det kan også være komplisert å overvåke intensivpasienter i MR-maskinen.
Ved lette skader finnes det ikke klare indikasjoner for bruk av MR (26). Foreløpig finnes det få studier der man har tatt i bruk de nye og mest sensitive teknikkene som kan påvise diffus aksonal skade også hos enkelte pasienter i denne kategorien (19, 26). Dersom forskning viser sammenheng mellom posttraumatiske symptomer og lesjoner påvist ved MR, bør man imidlertid vurdere å øke bruken av MR i akuttfasen også ved lette skader.
Behandling
Akuttbehandling
Det finnes ingen spesifikk behandling for pasienter med diffus aksonal skade. Vi vet at primær aksotomi forekommer sjelden, og i fremtiden vil vi derfor forvente nye angrepspunkter for behandling for å begrense sekundær aksotomi. Omfanget av den diffuse aksonale skaden vil dermed kunne reduseres (8, 12).
I akuttbehandling av pasienter med alvorlig hodeskade som skyldes diffus aksonal skade, vil vanlige retningslinjer følges: Primært, adekvat oksygenering og sirkulasjon, og videre monitorering av intrakranialt trykk (34). Mange av disse pasientene har ikke forhøyet intrakranialt trykk (35), mens andre kan ha uttalt ødem (20).
Rehabilitering
Ettersom diffus aksonal skade ses hos pasienter med ulike kliniske forløp og alvorlighetsgrad, må rehabiliteringsopplegget være tilpasset funksjonsnivået til hver enkelt pasient. Det er viktig å være oppmerksom på at skaden kan være utbredt og påvirke potensielt flere funksjonelle nettverk i hjernen (36). Alle pasienter med påvist diffus aksonal skade ved bildediagnostikk, bør henvises til en rehabiliteringsinstitusjon med kompetanse på traumatiske hjerneskader. De som har alvorlige skader, bør tilbys tidlig intensiv rehabilitering, mens pasienter med mindre alvorlige skader like gjerne kan ha en poliklinisk basert utredning med nevropsykologisk vurdering og rehabilitering (37, 38). Langvarig oppfølging er viktig, fordi bedringsprosessen kan ta tid. Personer med hodeskade vil møte stadig nye utfordringer etter som de gjenvinner funksjon og blir møtt med større krav fra omgivelsene.
Prognostiske faktorer
Høy alder (16, 20), lav GCS-skår og lang varighet av posttraumatisk amnesi (8, 16) er negative prognostiske faktorer som ved hodeskader generelt. Videre er pupilldilatasjon (17), samt kirurgisk masselesjon i tillegg til diffus aksonal skade, ofte dårlige tegn (39, 40). Pasienter med ikke-hemoragiske lesjoner har bedre prognose enn pasienter med hemoragiske lesjoner (39, 41). Det er vist korrelasjon mellom størrelse på corpus callosum-skade og klinisk sluttresultat (42). Likevel er det også vår erfaring at noen pasienter med skade i corpus callosum kan oppnå full restitusjon (39). MR-graderingen er til en viss grad relatert til prognose, og pasienter med hjernestammelesjon har oftere, men ikke alltid, et dårlig resultat (39). Sensitive bildeteknikker som for eksempel diffusjon, kan tidlig i forløpet indikere graden av vevsskade, men foreløpig er ikke korrelasjonen mellom disse bildefunnene og det kliniske forløpet godt dokumentert (27, 30).
Konklusjon
Diffus aksonal skade kan påvises hos en større andel av hodeskadepasientene enn man har vært klar over tidligere. Økende bruk av MR med stadig mer sensitive teknikker har ført til at man er blitt mer oppmerksom på diffus aksonal skade også ved lette og moderate hodeskader. MR vil ofte være nødvendig for å diagnostisere diffus aksonal skade og bør derfor benyttes hyppigere hos pasienter med hodeskade. Dette kan føre til en mer adekvat rehabilitering og oppfølging.
Oppgitte interessekonflikter: Ingen
- 1.
Stein SC, Spettell C. The Head Injury Severity Scale (HISS): a practical classification of closed-head injury. Brain Inj 1995; 9: 437 – 44.
- 2.
Gennarelli TA, Thibault LE, Graham DI. Diffuse axonal injury: an important form of traumatic brain damage. Neuroscientist 1998; 4: 202 – 15.
- 3.
Strich SJ. Diffuse degeneration of the cerebral white matter in severe dementia following head injury. J Neurol Neurosurg Psychiatry 1956; 19: 163 – 85.
- 4.
Strich SJ. Shearing of nerve fibres as a cause of brain damage due to head injury. A pathological study of twenty cases. Lancet 1961; 2: 443 – 48.
- 5.
Adams JH, Graham DI, Murray LS et al. Diffuse axonal injury due to nonmissile head injury in humans: an analysis of 45 cases. Ann Neurol 1982; 12: 557 – 63.
- 6.
Adams JH, Doyle D, Ford I et al. Diffuse axonal injury in head injury: definition, diagnosis and grading. Histopathology 1989; 15: 49 – 59.
- 7.
Povlishock JT, Becker DP, Cheng CL et al. Axonal change in minor head injury. J Neuropathol Exp Neurol 1983; 42: 225 – 42.
- 8.
Povlishock JT, Katz DI. Update of neuropathology and neurological recovery after traumatic brain injury. J Head Trauma Rehabil 2005; 20: 76 – 94.
- 9.
Zimmerman RA, Bilaniuk LT, Genneralli T. Computed tomography of shearing injuries of the cerebral white matter. Radiology 1978; 127: 393 – 96.
- 10.
Wang H, Duan G, Zhang J et al. Clinical studies on diffuse axonal injury in patients with severe closed head injury. Chin Med J (Engl) 1998; 111: 59 – 62.
- 11.
Gennarelli TA, Thibault LE, Adams JH et al. Diffuse axonal injury and traumatic coma in the primate. Ann Neurol 1982; 12: 564 – 74.
- 12.
Le Roux PD, Choudhri H, Andrews BT: Cerebral concussion and diffuse brain injuries. I: Cooper PR, Golfinos JG, red. Head injury. 2. utg. Baltimore: Williams & Wilkins, 2000: 175 – 99.
- 13.
Blumbergs PC, Scott G, Manavis J et al. Topography of axonal injury as defined by amyloid precursor protein and the sector scoring method in mild and severe closed head injury. J Neurotrauma 1995; 12: 565 – 72.
- 14.
Hammoud DA, Wasserman BA. Diffuse axonal injuries: pathophysiology and imaging. Neuroimaging Clin N Am 2002; 12: 205 – 16.
- 15.
Gentry LR, Thompson B, Godersky JC. Trauma to the corpus callosum: MR features. AJNR Am J Neuroradiol 1988; 9: 1129 – 38.
- 16.
Katz DI, Alexander MP. Traumatic brain injury. Predicting course of recovery and outcome for patients admitted to rehabilitation. Arch Neurol 1994; 51: 661 – 70.
- 17.
Levi L, Guilburd JN, Lemberger A et al. Diffuse axonal injury: analysis of 100 patients with radiological signs. Neurosurgery 1990; 27: 429 – 32.
- 18.
Mittl RL, Grossman RI, Hiehle JF et al. Prevalence of MR evidence of diffuse axonal injury in patients with mild head injury and normal head CT findings. AJNR Am J Neuroradiol 1994; 15: 1583 – 89.
- 19.
Inglese M, Makani S, Johnson G et al. Diffuse axonal injury in mild traumatic brain injury: a diffusion tensor imaging study. J Neurosurg 2005; 103: 298 – 303.
- 20.
Cordobés F, Lobato RD, Rivas JJ et al. Post – traumatic diffuse axonal brain injury. Analysis of 78 patients studied with computed tomography. Acta Neurochir (Wien) 1986; 81: 27 – 35.
- 21.
Meythaler JM, Peduzzi JD, Eleftheriou E et al. Current concepts: diffuse axonal injury – associated traumatic brain injury. Arch Phys Med Rehabil 2001; 82: 1461 – 71.
- 22.
Felmingham KL, Baguley IJ, Green AM. Effects of diffuse axonal injury on speed of information processing following severe traumatic brain injury. Neuropsychology 2004; 18: 564 – 71.
- 23.
Scheid R, Walther K, Guthke T et al. Cognitive sequelae of diffuse axonal injury. Arch Neurol 2006; 63: 418 – 24.
- 24.
Fork M, Bartels C, Ebert AD et al. Neuropsychological sequelae of diffuse traumatic brain injury. Brain Inj 2005; 19: 101 – 8.
- 25.
Gentry LR. Imaging of closed head injury. Radiology 1994; 191: 1 – 17.
- 26.
Parizel PM, Van Goethem JW, Ozsarlak O et al. New developments in the neuroradiological diagnosis of craniocerebral trauma. Eur Radiol 2005; 15: 569 – 81.
- 27.
Schaefer PW, Huisman TA, Sorensen AG et al. Diffusion-weighted MR imaging in closed head injury: high correlation with initial glasgow coma scale score and score on modified Rankin scale at discharge. Radiology 2004; 233: 58 – 66.
- 28.
Ashikaga R, Araki Y, Ishida O. MRI of head injury using FLAIR. Neuroradiology 1997; 39: 239 – 42.
- 29.
Liu AY, Maldjian JA, Bagley LJ et al. Traumatic brain injury: diffusion-weighted MR imaging findings. AJNR Am J Neuroradiol 1999; 20: 1636 – 41.
- 30.
Huisman TA, Sorensen AG, Hergan K et al. Diffusion – weighted imaging for the evaluation of diffuse axonal injury in closed head injury. J Comput Assist Tomogr 2003; 27: 5 – 11.
- 31.
Arfanakis K, Haughton VM, Carew JD et al. Diffusion tensor MR imaging in diffuse axonal injury. AJNR Am J Neuroradiol 2002; 23: 794 – 802.
- 32.
Huisman TA, Schwamm LH, Schaefer PW et al. Diffusion tensor imaging as potential biomarker of white matter injury in diffuse axonal injury. AJNR Am J Neuroradiol 2004; 25: 370 – 6.
- 33.
Ducreux D, Huynh I, Fillard P et al. Brain MR diffusion tensor imaging and fibre tracking to differentiate between two diffuse axonal injuries. Neuroradiology 2005; 47: 604 – 8.
- 34.
Maas AI, Dearden M, Teasdale GM et al. EBIC – guidelines for management of severe head injury in adults. European Brain Injury Consortium Acta Neurochir (Wien) 1997; 139: 286 – 94.
- 35.
Lee TT, Galarza M, Villanueva PA. Diffuse axonal injury (DAI) is not associated with elevated intracranial pressure (ICP). Acta Neurochir (Wien) 1998; 140: 41 – 6.
- 36.
Mesulam MM. Large-scale neurocognitive networks and distributed processing for attention, language, and memory. Ann Neurol 1990; 28: 597 – 613.
- 37.
Gordon WA, Zafonte R, Cicerone K et al. Traumatic brain injury rehabilitation. Am J Phys Med Rehabil 2006; 85: 343 – 82.
- 38.
Turner-Stokes L, Disler PB, Nair A et al. Multi-disciplinary rehabilitation for acquired brain injury in adults of working age. Cochrane Database Syst Rev 2005: CD004170.
- 39.
Paterakis K, Karantanas AH, Komnos A et al. Outcome of patients with diffuse axonal injury: the significance and prognostic value of MRI in the acute phase. J Trauma 2000; 49: 1071 – 5.
- 40.
Lubillo S, Bolanos J, Cardenosa JA et al. Diffuse axonal injury with or without an evacuated intracranial hematoma in head injured patients. Are they different lesions? Acta Neurochir Suppl 2000; 76: 415 – 8.
- 41.
Tong KA, Ashwal S, Holshouser BA et al. Diffuse axonal injury in children: clinical correlation with hemorrhagic lesions. Ann Neurol 2004; 56: 36 – 50.
- 42.
Takaoka M, Tabuse H, Kumura E et al. Semiquantitative analysis of corpus callosum injury using magnetic resonance imaging indicates clinical severity in patients with diffuse axonal injury. J Neurol Neurosurg Psychiatry 2002; 73: 289 – 93.