22.11.2016:
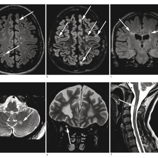
En kvinne fikk forverring av en hodepine som hadde debutert flere måneder i forveien. Hun utviklet deretter uvanlige kognitive symptomer og ble innlagt i sykehus. Pasienten, som var i 40-årene, hadde fra tidligere astma og var slankeoperert med gastrisk bypass. Det siste halvåret før innleggelsen hadde hun vært sykmeldt grunnet en oksipital, bilateral hodepine som oppsto under en arbeidskonflikt, men vedvarte trass i omplassering i ny stilling. Hodepinen hadde et fluktuerende forløp, med hodepinefrie dager. Den siste måneden var imidlertid hodepinen blitt konstant, og kvinnen hadde tatt...