20.09.2001:
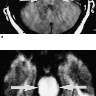
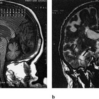
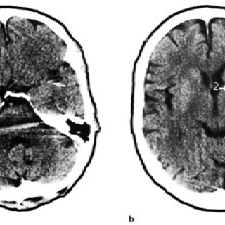
Gassemboli kan oppstå som følge av kirurgi, diagnostiske prosedyrer, traumer, lungeskader, bruk av hjerte-lunge-maskin og ved trykkfallssyke (1, 2). Gassemboli er en sjelden komplikasjon, men kan resultere i betydelig morbiditet, i verste fall død. Det er grunn til å tro at særlig iatrogen gassemboli i liten grad blir erkjent. Det er viktig at leger og sykepleiere i større grad blir oppmerksom på problemet, da de fleste pasientene vil kunne unngå sekvele med adekvat behandling. Med gassemboli menes vanligvis luftemboli, men med dagens bruk av andre gasser i medisinsk øyemed kan eksempelvis...