Akutt hjerneinfarkt med okklusjon i a. basilaris er en alvorlig tilstand forbundet med høy letalitet og betydelig sekvele. Behandlingsalternativene til nå har hatt liten effekt. Intravenøs trombolytisk behandling med alteplase (rekombinant fremstilt vevsplasminogenaktivator, tPA) kan være aktuelt ved akutt hjerneinfarkt (1).
Den vitenskaplige basis for trombolytisk behandling er i hovedsak tre randomiserte placebokontrollerte studier (NINDS, ECASS og ECASS II) (2 – 4). Metaanalyse av alle tilgjengelige trombolysestudier viser en klar positiv effekt av alteplase (5). I Norge har Senter for medisinsk metodevurdering konkludert med at slik behandling ikke bør brukes rutinemessig i Norge og bare i slagenheter med spesiell kompetanse og kun definert forskningsprotokoll og med løpende dokumentasjon av virkning og bivirkninger (6, 7).
Ved Nevrologisk avdeling, Haukeland Sykehus, er trombolytisk behandling innen tre timer etter symptomdebut etablert som behandling for selekterte pasienter med akutt hjerneinfarkt (8). Ved Nevrologisk avdeling, Regionsykehuset i Trondheim, tilbys denne behandling til selekterte infarktpasienter og i henhold til den prosedyre som er nedfelt i konsensusdokumentet av februar 1999 utarbeidet av Cerebral trombolysegruppe (9).
Vi beskriver her tre pasienter med akutt okklusjon i a. basilaris som ble gitt trombolytisk behandling, alteplase 0,9 mg per kilo kroppsvekt, en tidel som bolus og resten sakte over en time.
Pasient 1. En 71 år gammel kvinne hadde fire dager forut for det aktuelle en episode med nummenhet rundt munnen og parese i venstre arm. Innleggelsesdagen hadde hun fluktuerende venstresidige pareser. Ved innleggelse hadde hun persisterende pareser.
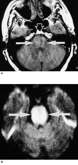
Cerebral CT halvannen time etter sykdomsdebut viste infarktforandringer i høyre parietalområde. Ultralydundersøkelse av a. basilaris viste lav blodstrømshastighet i proksimale avsnitt, forenlig med en distal obstruksjon. To og en halv time etter symptomdebut ble det gitt intravenøs trombolytisk behandling. Etter tre kvarter gikk den venstresidige hemiparalysen tilbake i løpet av minutter og hun ble nærmest symptomfri. I løpet av natten reokkluderte imidlertid a. basilaris og hun utviklet et komplett ”locked-in syndrome” (fig 1). Etter to dager var hun bevisstløs. Hun gjenvant ikke bevisstheten og døde ti dager etter sykdomsdebut.
Pasient 2. En 25 år gammel kvinne hevdet i ettertid å ha fått manipulasjonsbehandling mot nakken ti dager forut for det aktuelle. Innleggelsesdagen ble hun plutselig svimmel med varierende bevissthetsnivå. Ved innleggelse hadde hun redusert bevissthet, paralyse i høyre arm og bein, blikkdeviasjon mot høyre og varierende lammelser i venstre arm og bein. Symptomene talte for en bilateral, men overveiende venstresidig pontinlesjon (inkomplett ”locked-in syndrome”), og gav således sterk mistanke om basilarisokklusjon. MR-angiografi bekreftet trombosering i distale del av a. basilaris.
Fem timer og femti minutter etter symptomdebut ble det gitt alteplase, deretter heparinbehandling 48 timer i en dosering som gav dobling til tredobling av pasientens initiale cefotest, dvs. til en cefotest tilsvarende 70 – 80 %. Den kliniske tilstanden bedret seg samme ettermiddag og kveld, og etter 7 – 8 timer reagerte hun på tiltale, den initiale blikkdeviasjon var forsvunnet og hun beveget på oppfordring alle ekstremiteter, venstre sides ekstremiteter dog fortsatt bedre enn høyre. Hun forsatte med peroral antikoagulasjonsbehandling i 17 dager. Behandlingen ble seponert etter blødning i abdomen i forbindelse med innleggelse av perkutan endoskopisk gastrostomisonde.
Ett og et halvt år senere var hun mentalt adekvat, kommuniserte med hviskestemme og hadde redusert svelgekraft. Hun hadde noe svakhet i venstre skulder. Hun hadde en spastisk teraparese, men med rimelig god funksjon i venstre sides arm og bein. Hun kunne gå noen få skritt med støtte.
Pasient 3. En 54 år gammel tidligere frisk mann ble innleggelsesdagen svimmel. Han ble observert oppegående, men en halv time senere ble han funnet bevisstløs. Ved innleggelsen hadde han redusert bevissthet, åpnet øynene på kommando, reagerte ikke på smertestimuli, og var spastisk i beina. Cerebral CT to timer etter symptomdebut viste infarkter i venstre lillehjernehemisfære.
Tre timer etter symptomdebut ble det gitt 160 mg acetylsalisylsyre i sonde. Ca. seks timer etter symptomdebut ble det gitt intravenøs trombolytisk behandling. Heparinbehandling ble startet 24 timer etter og seponert ett og et halv døgn etterpå. Man fikk da ikke kontakt med ham. Etter fem døgn fikk han økende nevrologiske utfall. Cerebral CT viste hydrocephalusutvikling. Han ble behandlet med kranioplastikk og reseksjon av mediale inferiore del av cerebellære hemisfære, ble tilkoblet respirator i to døgn med dyp sedasjon og behandlet med mannitol. En og en halv uke etter ictus hadde han fremdeles redusert bevissthet, åpnet øynene på kommando, men beveget øynene kun i vertikal retning. Tilstanden bedret seg ikke. Etter økende apnéperioder døde han 24 dager etter sykdomsdebut.
Diskusjon
Det er uklart om trombolytisk behandling kan ha en positiv klinisk effekt ved okklusjon av a. basilaris. Tidsvinduet har hos våre pasienter varierte mellom to og en halv time og knappe seks timer fra akutt symptomdebut til behandlingsstart. Et vanlig akseptert tidsvindu for trombolytisk behandling i carotiskretsløpet er tre timer. I basilariskretsløpet mener mange at man har lengre tid til rådighet før blødningsrisikoen øker og før den terapeutiske gevinst er uttømt. Klinisk erfaring og patofysiologiske forhold tilsier allikevel at trombolytisk behandling bør iverksettes tidligst mulig (10), også ved okklusjoner i a. basilaris. Våre resultater indikerer at behandlingen har best effekt når den settes inn tidlig i sykdomsforløpet.
Våre pasienter ble behandlet etter noe ulike protokoller. Grunnen til ulike behandlingsprosedyrer er usikkerhet omkring verdien av og risikoen ved antikoagulasjonsbehandling og platehemmere sammen med trombolytisk behandling. Over tid er man blitt mer forsiktig med å kombinere ulike antikoagulantia på grunn av blødningsfaren. Dette skiller seg fra behandling av akutt hjerteinfarkt, der heparin gis både rett før og etter trombolytisk behandling. Det er nå etablert praksis ikke å gi heparin de første 24 timer etter trombolytisk behandling (11). Vår pasient med god klinisk bedring, men med reokklusjon noen timer senere, ville det vært aktuelt å gi heparin tidlig for å hindre reokklusjon (12). Pasienter med okklusjoner i basilariskretsløpet bør monitoreres klinisk og med ultralyd og behandling med heparin må vurderes i forløpet for å hindre reokklusjon.
Klinisk diagnostikk av trombotisk okklusjon i a. basilaris er vanskelig. Symptomene kan i starten være sparsomme, med svimmelhet og lette nevrologiske utfall som eneste tegn, men kan raskt utvikle seg til uttalte bilaterale funksjonsutfall med redusert bevissthet. Det typiske er at symptomene fluktuerer de første timer til dager. Våre pasienter illustrerer dette.
Supplerende diagnostikk er til dels krevende. Cerebral CT kan vise tidlige iskemiforandringer, men kan også være normal. Dopplerundersøkelse kan være en god støtte i den akutte vaskulære diagnostikken, men sensitiviteten og spesifisiteten kan være lav (13, 14). Diffusjonsvektet MR og MR-angiografi er nyttig ved tidlig diagnostikk av vertebrobasilære infarkter, idet metoden viser både lesjonens lokalisasjon og de arterielle patologiske forhold med stor grad av sikkerhet. MR er særlig aktuelt der man overveier trombolytisk behandling (15). Dopplerundersøkelse er nyttig ved monitorering av det videre forløpet og kan vise rekanalisering og eventuell reokklusjon (16).
Det naturlige forløpet etter en akutt okklusjon i a. basilaris kan variere, men letaliteten er gjennomgående signifikant høyere enn ved vaskulære katastrofer i hjernens fremre kretsløp. I studier med angiografisk dokumentert basilarisokklusjon var letaliteten 60 – 70 %. Risikoen øker hvis debutsymptomene er nedsatt bevissthet, tetraparese, pupillanomalier eller dysartri. Ubehandlet er derfor dødeligheten høy. Dette må man ha in mente når man vurderer trombolytisk behandling og risiko for komplikasjoner til denne behandlingen.
Komplikasjoner til trombolytisk behandling er i første rekke intracerebral blødning (17). Data fra metaanalyser konkluderer med at trombolytisk terapi signifikant øker symptomatisk og fatal intrakranial blødning (5, 4). Denne risikoen blir oppveid av en reduksjon i funksjonshemning blant de overlevende, slik at det samlet vurdert er en signifikant nettoreduksjon i andelen pasienter som dør eller blir avhengig av hjelp til daglige aktiviteter. Analysen omfattet hovedsakelig pasienter med infarkter i a. cerebri medias forsyningsområde. Data vedrørende blødninger i basilariskretsløpet er svært mangelfulle.
Ved de fleste større nevrologiske sentre, spesielt i USA og Tyskland, ansees i dag lokal, intraarteriell trombolytisk behandling som den beste behandling ved akutt basilarisokklusjon. Flere studier har vist signifikant og drastisk reduksjon i letalitet og morbiditet. Forsatt er det usikkerhet omkring hva som er det beste medikament, den beste applikasjonsmodus (intravenøs eller intraarteriell) og/eller den optimale dose (15). Studier av systemisk og lokal trombolytisk behandling ved basilarisokklusjon omfatter få pasienter og er ikke randomiserte. Pasientbeskrivelser av denne typen kan derfor med fordel bli samlet i et internasjonalt trombolyseregister. Et slikt register er under oppbygging (18).
- 1.
Grond M, Rudolf J, Schmulling S, Stenzel C, Neveling M, Heiss WD. Early intravenous thrombolysis with recombinant tissue-type plasminogen activator in vertebrobasilar ischemic stroke. Arch Neurol 1998; 55: 466 – 9.
- 2.
Hacke W, Kaste M, Fieschi C, Toni D, Lesaffre E, von Kummer R et al. Intravenous thrombolysis with tissue plasminogen activator for acute hemispheric stroke; the European Cooperative Acute Stroke Study (ECASS). JAMA 1995; 274: 1017 – 25.
- 3.
Hacke W, Kaste M, Fieschi C, von Kummer R, Davalos A, Meier D et al. Randomised double-blind placebo-controlled trial of thrombolytic therapy with intravenous alteplase in acute ischemic stroke (ECASS II). Lancet 1998; 352: 1245 – 51.
- 4.
The National Institute of Neurological Disorders and Stroke rt-PA Stroke Study Group. Tissue plasminogen activator for acute stroke. N Engl J Med 1995; 333: 1581 – 7.
- 5.
Wardlaw JM.Thrombolysis for acute ischaemic stroke (Cochrane review). I: del Zoppo GYT, red. The Cohrane Library 3. 2000. Oxford: Update Software, 2000.
- 6.
Morland B, Aarli JA, Lund E, Myhre HO, Indredavik B. Er trombolytisk behandling effektivt ved hjerneslag? Tidsskr Nor Lægeforen 2000; 120: 929 – 30.
- 7.
Behandling av hjerneslag med trombolyse. Rapport nr. 2/1999. Oslo: Senter for medisinsk metodevurdering, 1999.
- 8.
Thomassen L, Waje-Andreassen U, Maintz C. Trombolytisk behandling ved akutt hjerneinfarkt – en studie ved organiseringen av et nytt behandlingstilbud. Tidsskr Nor Lægeforen 1999; 119: 2978 – 81.
- 9.
Cerebral trombolysegruppe. Norsk forening for hjerneslagsykdommer. Retningslinjer for cerebral trombolyse. Konsensusdokument. 11.02.99. Bergen: Nevrologisk avdeling, Haukeland Sykehus, 1999.
- 10.
Zivin JA. Thrombolytic stroke therapy: past, present, and future. Neurology 1999; 53: 14 – 9.
- 11.
Bath PM, Iddenden R, Bath FJ. Low-molecular-weight heparins and heparinoids in acute ischemic stroke: a meta-analysis of randomized controlled trials. Stroke 2000; 31: 1770 – 8.
- 12.
Kuker W, Friese S, Vogel W, Schmidt F, Weller M. Incomplete resolution of basilar artery occlusion after intra-arterial thrombolysis: abciximab and heparin prevent early rethrombosis. Cerebrovasc Dis 2000; 10: 484 – 6.
- 13.
Demchuk AM, Christou I, Wein TH, Felberg RA, Malkoff M, Grotta JC et al. Accuracy and criteria for localizing arterial occlusion with transcranial Doppler. J Neuroimaging 2000; 10: 1 – 12.
- 14.
Brandt T, Knauth M, Wildermuth S, Winter R, von Kummer R, Sartor K et al. CT angiography and Doppler sonography for emergency assessment in acute basilar artery ischemia. Stroke 1999; 30: 606 – 12.
- 15.
Nighoghossian N, Derex L, Turjman F, Honnorat J, Lucain P, Berthenzene Y et al. Hyperacute diffusion-weighted MRI in basilar occlusion treated with intraarterial t-PA. Cerebrovasc Dis 1999; 9: 351 – 4.
- 16.
Alexandrov AV, Demchuk AM, Felberg RA, Christou I, Barber PA, Burgin WS et al. High rate of complete recanalization and dramatic clinical recovery during tPA infusion when continuously monitored with 2-MHz transcranial doppler monitoring. Stroke 2000; 31: 610 – 4.
- 17.
Patel SC, Mody A. Cerebral hemorrhagic complications of thrombolytic therapy. Prog Cardiovasc Dis 1999; 42: 217 – 33.