10.04.2000:
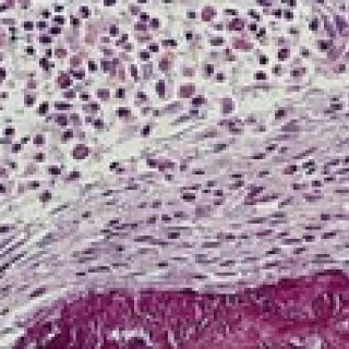
Artikkelen bygger delvis på en undersøkelse publisert i European Journal of Dermatology (13) Insidens og i noe mindre grad dødelighet av malignt melanom i hud har økt betydelig i Norge og mange andre land de siste 30 år (1 – 3). Høyt antall føflekker, dysplastiske føflekker, familiær forekomst av melanom, lys hudtype som lett blir solbrent og sjelden brun, intermitterende soleksposisjon og solforbrenninger, spesielt i ung alder, er viktige risikofaktorer for denne formen for hudkreft (1, 4, 5). Tidlig diagnose og behandling er avgjørende for prognosen (6, 7). Derfor er det viktig at pasienten...