Kateterbasert lukking av åpen ductus arteriosus – de første 100 pasienter

    ()

    sporsmal_grey_rgb
    Abstract

    Behandling av åpen ductus arteriosus foregår nå i økende grad med kateterbaserte teknikker fremfor operasjon. Vi presenterer resultatene hos de første 100 pasienter behandlet for åpen ductus arteriosus med slike teknikker på Rikshospitalet.

    Mellom 1989 og september 1998 er 100 pasienter i alderen fra 0,6 til 31,4 år blitt behandlet initialt med en av disse lukkeinnretningene: Rashkinds paraply (60 pasienter), Cooks PDA-spiral (31 pasienter), eller Amplatzer-propp (ti pasienter). Ni pasienter med restshunt har fått gjentatt behandlingen, en med ny paraply, sju med spiral og en med propp.

    Den totale raten for komplett lukking av ductus, etter at ni pasienter fikk gjentatt behandlingen, er 90 %. Primær lukkerate var 100 % etter propp, og, etter reintervensjonene, 85 % ved bruk av Rashkinds paraply og 96,7 % ved bruk av spiral. Bare e…n spiral av 40 emboliserte (2,5 %). Den ble fjernet med kateterteknikk uten komplikasjoner. Ductus ble senere lukket med propp. Det har ikke vært komplikasjoner utover dette.

    Resultatene av lukking av ductus med kateterteknikk tåler godt sammenlikning med tradisjonell kirurgisk lukking. Slik behandling er derfor nå den foretrukne metode. Etter at Amplatzer-proppen ble introdusert for utprøvende behandling, er det heller ingen øvre grense for den størrelsen man kan behandle.

    Abstract

    Background. Patent ductus arteriosus is increasingly treated with catheter based techniques. We present our results as by the end of 1998 of the first 100 patients given such treatment.

    Material and methods. The 100 patients between 0.6 and 31.4 years were initially treated with one of these devices: The Rashkind umbrella (60 patients), Cook PDA coils (31 patients) or Amplatzer ductal occluders (ten patients). Seven umbrella patients were treated twice, one with an additional umbrella, six with coils; two coil patients twice, one with another coil and one – after embolisation – with a peg.

    Results. The overall complete closure rate for all groups was 90 % after nine patients had been treated a second time. The primary complete closure rate in pegs was 100 %, after reintervention 85 % in umbrella and 97 % in coil patients. Neither umbrellas nor pegs have embolised. One coil embolised in the course of implantation of 40 coils (2.5 %). No other complication has occurred.

    Interpretation. The closure of the arterial duct with catheter techniques compares favorably with surgery and is now established as the method of choice. Following the investigational introduction of pegs there is no longer an upper limit in the size of ducts suitable for such treatment.

    Artikkel

    Åpen ductus arteriosus som persisterer etter fødselen og gir kontinuerlig bilyd, er en vanlig medfødt hjertefeil. Avhengig av størrelse gir dette mer eller mindre volumbelastning av venstre ventrikkel og ingen eller mer og mindre symptomer, men det representerer alltid en endokardittfare. Det er derfor enighet om at slike feil, som vanligvis oppdages ved at bilyden blir tilfeldig påvist, skal behandles både av hemodynamiske og infeksjonsmessige grunner. Siden sist i 1930-årene er slike shunter blitt lukket kirurgisk, siden 1950-årene også i Norge, ved deling eller underbinding gjennom en venstresidig torakotomi. Dette medførte et sykehusopphold på minst en uke, smerter i forbindelse med inngrepet og det postoperative forløp, rekonvalesens, samt et livslangt arr. Kateterbehandling har en nærmest poliklinisk tilnærming, med sykehusopphold høyst natten før og natten etter, knapt smerter, ingen rekonvalesenstid og et ubetydelig arr i lysken. Slik behandling ville derfor være langt å foretrekke hvis resultatene viste seg å være sammenliknbare.

    Da Rashkinds paraplyteknikk (1) ble utviklet for slik lukking, kom derfor forsøksvis katetermetoden til anvendelse, især i Europa (2). De første implantasjoner hos oss skjedde i 1989 (3). Nye teknikker for ductuslukking er blitt utviklet (4), utstyret er minimalisert og en av teknikkene er nå i første rekke egnet for større ductuser (5).

    Hensikten med denne artikkelen er å presentere vår erfaring med og resultatene av intervensjonell lukking av ductus hos de første 100 pasienter ved Rikshospitalet.

    Pasienter

    Fra september 1989 til september 1998 ble i alt 100 pasienter behandlet med kateterbasert ductuslukking. Pasientene i de tre ulike behandlingsgruppene skilte seg ikke fra hverandre, verken i alder eller ved funn ved undersøkelsen før behandling. Medianpasienten var 3,5 år (0,6 – 31,4 år) og veide 14,1 kg (5,8 – 90 kg). Det var 71 piker og 29 gutter. Dette er den forventede fordeling. I tiden frem til avsluttet oppfølging ultimo 1998 fikk ni pasienter gjentatt lukking med en annen eller den samme prosedyren. De seks pasientene der en påbegynt prosedyre ble avsluttet uten implantasjon, er ikke medregnet. Hos fire av dem var ductus så liten, 0 – 0,5 mm, at det ikke var indikasjon for behandling. Hos de to andre tidlig i paraplyserien ble implantasjonsforsøket avbrutt av tekniske grunner fordi operatøren var uøvd.

    Hos de fleste av pasientene var det ingen symptomer som sikkert kunne relateres til hjertelidelsen, men to av dem som senere ble behandlet med propp, viste tegn på hjertesvikt. Pasientene som ble behandlet med propp, hadde også mye større ductuser enn i de andre to gruppene. De to med symptomer hadde ductuser på henholdsvis 6,8 og 7,0 mm diameter. Tallene er gjengitt i tabell 1.

    Tabell 1

    Minste vidde av ductus (mm) hos de første 100 pasienter som har fått lukket ductus arteriosus med kateterteknikk ved Rikshospitalet. Pasienter der prosedyren er gjentatt, figurerer to ganger i tabellen. De er gruppert etter hvilken lukkeinnretning som er blitt brukt

    Alle

    Paraply

    Spiral

    Propp

    Antall

    109

    61

    38

    10

    Median (mm)

     1,9

     1,9

     1,3

    3,2

    Middel (mm)

     2,0

     2,0

     1,5

    3,8

    Standardavvik (mm)

    1,00

    0,65

    0,62

    1,7

    Minimum (mm)

     0,5

     0,7

     0,5

    2,1

    Maksimum (mm)

     7,0

     3,6

     3,0

    Behandlingsmetode

    Det ble brukt tre forskjellige teknikker: først utelukkende Rashkinds paraplyer fra september 1989, senere med tillegg av Cooks ductusspiraler fra mai 1996 og Amplatz" ductuspropp fra november 1997. Pasientene kom til sykehuset dagen før lukkingen til endelig undersøkelse. Kateteriseringen foregikk med få unntak i generell anestesi. Sedasjon og lokalbedøvelse ble alternativt brukt hos noen voksne, men også hos enkelte barn i de få tilfeller der det var problemer med anestesiologisk dekning og barnet var samarbeidsvillig. Optimalt foregår prosedyren med steril deltakelse av to leger og en sykepleier. Cephalotin 30 mg/kg gis intravenøst før implantasjonen og etter åtte og 16 timer. Det er rutinemessig kvalifisert oppfølging med klinisk undersøkelse, EKG, ekkokardiografi og røntgen dagen etter implantasjonen før utskrivelsen, og etter en, tre og 12 måneder, uavhengig av metodevalg. Hvis det er komplett lukking etter ett år, avsluttes kontrollene. Dersom restshunten er signifikant, fortsettes kontrollene inntil ny prosedyre finner sted. Endokardittprofylakse opprettholdes i seks måneder, som etter kirurgisk behandling.

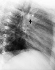
    Rashkinds paraplymetode for ductuslukking er nøye beskrevet tidligere (1 – 3). I prinsippet er det en tre- eller firearmet dobbelt automatparaply kledd med hver sin duk av polyuretanskum. Implantasjonen skjer ad venøs vei via en 8 eller 11 french innføringsskjede. Den distale paraply havner i ductusinfundibulum og klemmes sammen til en kjegle. Den andre åpnes i pulmonalarterien (fig 1). Både før og etter at paraplyen er frigjort fra innføringssystemet utføres aortografi med injeksjon av kontrastmiddel i aortabuen.

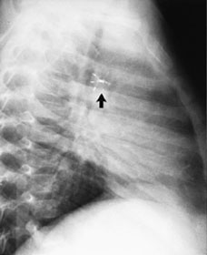
    Lukking av ductus med spiral er en nyere teknikk (4). Vi har benyttet Cooks fiberbelagte stålspiraler for bruk i ductus (fig 2) og applikert dem perkutant, i de aller fleste tilfeller antegrad gjennom et 5 french innføringskateter. Størrelse og antall vindinger blir bestemt etter forutgående aortografi. Spiralen er skrudd fast på føringsvaieren, og kan derfor trekkes inn i føringskateteret igjen og omplasseres til posisjonen er tilfredsstillende. De fleste vindingene av spiralen settes i ductus" infundibulum. Deretter utvikles de siste én til halvannen vindinger på pulmonalarteriesiden. Etter tilfredsstillende angiografisk kontroll skrur man spiralen fra føringsvaieren.

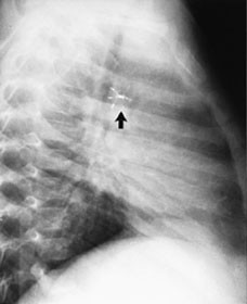
    Amplatzer-proppen for lukking av ductus, som vi har benyttet siden november 1997, består av et spunnet nett av tynne nitinoltråder i en forutbestemt form (fig 3). Den har en 7 mm lang, kon kjerne og en flat, sirkulær, skiveformet brem på aortasiden på 2 – 3 mm. Proppen inneholder polyesterfibrer som skal indusere koagulering. Proppen legges gjennom en 5 eller 6 french innføringsskjede som blir ført til aorta gjennom ductus. Vi har brukt proppen til ductuser der minste diameter er ca. 3 mm eller mer. En ductus på 2,1 mm ble likevel proppet etter at en spiral først hadde dislokert flere ganger, men fordi den fortsatt var festet på innføringsvaieren, kunne den lett fjernes. Likedan ble det satt inn en propp i en ductus på 2,4 mm etter at en spiral på 5 mm hadde embolisert til venstre a. pulmonalis.

    Metodevalg

    Siden man nå har tre ulike lukkeinnretninger, må det ligge et bevisst valg bak avgjørelsen om hvilken som skal brukes i det enkelte tilfelle. De viktigste faktorer for valg av metode er ductus" minste vidde samt ductusinfundibulums form og lengde. Nå betrakter vi en ductus med minste diameter under 2 mm som spiralenes enedomene. Amplatzer-proppen har erstattet den store paraplyen ved ductuser over 3 mm. I området mellom 2 og 3 mm vurderes ductus" detaljerte anatomi: En kort ductus med grunn infundibulum eller en symmetrisk kon ductustrakt vil nok egne seg best for en paraply, mens vi tror en lengre ductus eller en ductus med asymmetrisk infundibulum passer bedre for en spiral. Sannsynligvis vil man etter hvert trekke grensen for proppene lenger ned enn 3 mm og bruken av paraplyer vil avta.

    Statistikk

    Resultater

    Resultater

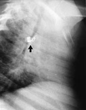
    Av de 100 første pasientene har 90 fått sin ductus komplett lukket, noen av dem først etter repetisjon av lukking med den samme eller en annen teknikk (fig 4). Lukkingsraten ved de tre metoder er summert i tabell 2. Den er ikke signifikant høyere i noen av gruppene, men man ser en tendens til at de som ble behandlet med spiral, har et bedre resultat enn paraplygruppen. Etter reintervensjonene er gruppene statistisk sett like. Dog må anføres at de siste 20 initiale prosedyrene med spiral har ført til komplett lukking hos alle, og at alle ductuser som er forsøkt lukket med Amplatzer-propp er tette. Men dette er åpenbart for små tall til å fanges opp med statistiske metoder.

    Tabell 2

    Komplett rate av lukking hos de første 100 pasienter behandlet med kateterprosedyrer for å lukke ductus arteriosus ved Rikshospitalet. Pasientene er gruppert etter den lukkeinnretning som ble brukt ved første prosedyre

    Etter én prosedyre

    Alle (%)

    Paraply (%)

    Spiral (%)

    Propp (%)

    83

    75

    90,3

    100

    Etter ny prosedyre

    90

    85

    96,7

    Vi forventet en sammenheng mellom restshunt og ductus" minste størrelse, men det ble bare vist for paraplyenes vedkommende, som var den eneste tilgjengelige metode i sju år. Siden de minste ductusene nå selekteres til spiralgruppen, er ductusene her signifikant mindre enn i de to andre gruppene. Tilsvarende hadde de ti pasientene som ble behandlet med propp, betydelig større ductuser enn de andre.

    Felles for alle intervensjonene er at de har vært uten betydningsfulle komplikasjoner. Bare én embolisering har forekommet: En fem kveils spiral med 5 mm diameter løsnet fra ductus og festet seg midtveis i venstre a. pulmonalis. Den ble hentet ut med kateterteknikk, og ductus ble senere lukket med propp. Denne pasienten ble deretter som «tidligere ubehandlet» tatt inn i gruppen av dem som ble behandlet med propp.

    Hos to pasienter rekanaliserte en initialt komplett paraplylukket ductus. En av dem lukket seg senere spontant. To av pasientene med restshunt etter paraply venter på ny intervensjon, fordi restshunten er uakseptabelt stor. De øvrige restshunter er så små at de verken representerer hemodynamisk belastning eller endokardittfare. Det er ikke oppdaget senkomplikasjoner.

    Observasjonstiden er mellom tre måneder og ni år.

    Tidsforbruket for prosedyrene har holdt seg innenfor akseptable verdier både når det gjelder total laboratorietid og gjennomlysningstid. Sistnevnte var typisk 12,2 min (tab 3). Det ble brukt mer gjennomlysningstid ved bruk av spiral og propp enn ved bruk av paraply. Men det er ingen statistisk forskjell. Hos tre av pasientene (30 %) som ble behandlet med propp, ble det først forsøkt spiral eller spiral og paraply før proppen ble applikert. Tiden man brukte til gjennomlysning ved disse innledende manipulasjoner ble ikke fratrukket, så i tiden som angis i tabellen er tiden for mislykkede andre prosedyrer inkludert. Hos de sju pasientene der andre prosedyrer ikke var forsøkt først, var gjennomlysningstiden 11,5 ± 5,6 min, median 8,9 min. Både middel og median ligger over 20 % lavere enn tiden benyttet for paraplyenes del. At dette ikke er noen signifikant forskjell, kan skyldes det lave antall.

    Tabell 3

    Røntgengjennomlysningstid (minutter) hos de første 100 pasienter behandlet med kateterprosedyrer for ductuslukking ved Rikshospitalet. Pasienter der prosedyren er gjentatt, figurerer to ganger i tabellen. De er gruppert etter hvilken lukkeinnretning som er blitt implantert

    Antall

    Alle

    Paraply

    Spiral

    Propp

    109

    61

    38

    10

    Median (min)

    12,2

    11,6

    13,7

    13,3

    Middel (min)

    15,5

    14,9

    16,0

    16,8

    Standardavvik (min)

     9,5

    10,5

     7,4

    10,6

    Minimum (min)

     5,8

     5,8

     6,4

     6,4

    Maksimum (min)

    69,8

    69,8

    34,5

    38,4

    Intervensjonene tok lengst tid der ductus var så trang at den var vanskelig å finne og passere med kateteret, der tekniske problemer oppstod og der legen var uøvd. Resultatene synes å være bedre blant de siste enn de første pasientene i så vel i paraplygruppen som i spiralgruppen.

    Diskusjon

    Diskusjon

    Fordelene med kateterbehandling er åpenbare: Torakotomi, med lengre sykehusopphold, mer smerter, rekonvalesens og et livslangt arr kontra en nærmest poliklinisk behandling med utskrivning dagen etter behandling uten plager til normal aktivitet. Derfor har perkutane kateterteknikker for behandling fått en økende betydning i pediatrisk kardiologi. Kateterbehandlinger av hjertefeil hos barn har også ved Rikshospitalet vist en kraftig økning. Slike prosedyrer utføres nå ved mer enn en tredel av alle hjertekateteriseringer hos oss, noe som utgjør over 100 intervensjoner per år. Forutsetningen for å tilby slik behandling er at komplikasjonsraten er lav og resultatene sammenliknbare med kirurgisk behandling. Et potensielt faremoment er røntgenbelastningen, og derfor må bruken av røntgen måles og holdes lavest mulig. Det er tilfredsstillende å se at vi har en median tidsbruk på bare 12,2 minutter, som ikke er mer enn ved en vanlig diagnostisk kateterprosedyre og ansett for vel innenfor akseptable rammer.

    Lukking av ductus er en av de vanligste intervensjonelle prosedyrer hos barn. Fra 1992 av har antall operasjoner for slike lidelser hos oss vært jevnt fallende, og tilsvarende antall intervensjoner jevnt økende. Etter 1996 er bare ett barn over ett år blitt operert for isolert ductus hos oss. Den pasienten hadde en meget stor ductus og ble operert før proppene ble tilgjengelige for utprøvning. Med denne nyeste teknikken har vi siden november 1997 også fått en god behandlingsmetode for de store ductusene over 3 mm. I juli 1998 fikk en symptomatisk, nesten sju måneder gammel pike på 5,8 kg lukket en ductus med 7 mm som minste diameter. Vi forventer å bevege oss nedover i alders- og vektklassene, men de premature med ductus er fortsatt kirurgenes domene. I øyeblikket vil vi ikke utelukke symptomatiske pasienter helt ned til 3 – 5 kg for kateterbehandling av ductus, selv om den prinsipielle grense ligger ved 8 – 10 kg ved elektive ductusinngrep.

    I den andre del av spektret finnes de aller minste ductuser. De lager ikke ductusbilyd, og defineres kun ut fra et avvikende signal på et fargedopplerbilde. Disse ductuser, som er på mm eller mindre, har vi i tråd med literaturen regnet som en «ikke-sykdom» kun påvist ved (for) sensitiv teknikk (6), og ser ingen indikasjon for behandling, endokardittprofylakse eller oppfølging (7). Det er ikke belegg i litteraturen for at en erkjent «stum» ductus har ført til endokarditt. Det er ikke kjente tilfeller av endokarditt i en restductus av denne størrelsen etter at lukkeinnretningen er blitt endotelialisert. Disse pasientene har vi etter hvert lært å skille ut klinisk og ekkokardiografisk.

    Den totale frekvensen av komplett lukking er 90/100 etter at ni pasienter er behandlet to ganger. Bare to pasienter har nå en restshunt av betydning, og disse vil bli tatt inn til endelig lukking. Dette er på linje med andres resultater, det er rapportert en total lukkefrekvens på omkring 90 % (4). Spiralene og proppene har en høyere lukkerate enn dette gjennomsnittet.

    De første paraplyene gav en betenkelig stor grad av restshunt, det var bare ti helt tette av de første 21 (47,6 %). På bakgrunn av denne erfaringen modifiserte vi prosedyren hos de følgende pasienter (8), og manipulerte en av paraplyens armer til å peke rett mot aortas blodstrømsretning. Etter denne modifikasjonen steg frekvensen av komplett lukking hos de neste 40 til 34/40 (85 %)(p < 0,01).

    Komplett lukking av ductus med kirurgisk metodikk angis til 77 – 94 % (9). Helt fra starten av har våre resultater vært klart sammenliknbare med dette. De siste 34 prosedyrer før denne studien ble avsluttet ultimo 1998 hadde en lukkerate på 100 %. Dette tror vi er et uttrykk for at teknikken er forfinet med erfaringen, og at antall gjennomførte prosedyrer har betydning for utfallet. At også de store ductuser som er behandlet med Amplatzer-propp er blitt komplett lukket, er nok i første rekke betinget av den nye design, men også av erfaring, seleksjon og teknikk.

    Alle de tre metodene som vi suksessivt har innført har gitt gode og etter hvert ytterligere forbedrede resultater hos oss, og har vist seg å være en trygg behandling. En embolisering hos 100 behandlede pasienter med 110 implantater (0,9 %) er lavt (også selv om tallet bare relateres til spiralene, 2,5 %). I andre serier er det rapportert inntil 20 % (10) . I Tidsskriftet beskrev Norgård og medarbeidere (11) tre emboliseringer av spiraler hos 35 pasienter (8,6 %) i materialet fra Brompton Hospital i London. Det går ikke klart frem hvor mange av pasientene som hadde restshunt etter prosedyrene.

    Vi mener at vi delvis har unngått embolisering av paraplyer på grunn av nye detaljer i implantasjonsprosedyren (12). Også der spiral er blitt brukt, er resultatene blitt meget tilfredsstillende på grunn av en nitid rutine i prosedyrene. Naturligvis har det også bidratt at det er de minste ductuser som er blitt behandlet med spiral.

    Felles for teknikkene er at de krever trening og rutine. Det gjelder ikke bare for legen som utfører implantasjonene, men for hele teamet. Ikke bare legens manuelle ferdigheter og laboratorierutinene, men især de vurderinger som gjøres underveis er viktige for resultatet. Siden lukkefrekvensen har økt med økende antall prosedyrer, synes det å vise at det også her gjelder at resultatene blir bedre jo flere ganger man utfører en prosedyre. Dette taler etter vår mening for bare å utføre slike prosedyrer ved sentre der man kan få et tilstrekkelig erfaringsgrunnlag.

    Etter at denne studien ble avsluttet, er over 50 nye pasienter behandlet med kateterteknikk for åpen ductus ved Rikshospitalet. Paraplyene er nå helt ute av bruk. Resultatene er gode, med omtrent 100 % komplett lukking, og verken ytterligere emboliseringer eller andre komplikasjoner har forekommet.

    Arbeidet er økonomisk støttet av Foreningen for hjertesyke barn.

    Kommentarer  ( 0 )

    Anbefalte artikler