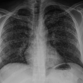
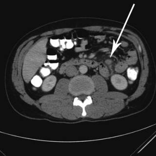
28.01.2010:
HACEK er et akronym som refererer til en gruppe taksonomisk ulike bakterier med en rekke fellestrekk. Det står for Haemophilus parainfluenzae, Aggregatibacter (A aphrophilus, A actinomycetemcomitans), Cardiobacterium spp., Eikenella corrodens og Kingella kingae (1, 2). Alle disse har en tendens til å forårsake endokarditt, men de var tidligere lite kjent fordi de er vanskelige å få til å vokse. HACEK-endokarditt havnet derfor i gruppen kulturnegative endokarditter. Fremdeles forblir mange av disse endokardittene kulturnegative. Bakteriene er små, gramnegative staver tilhørende den...