Fahr's disease or primary familial brain calcification?

    ()

    sporsmal_grey_rgb
    Article

    The practice of naming diseases after the doctors who originally identified them is in decline. In line with international medical terminology, the condition known as Fahr's disease should instead be referred to as 'primær familiær hjerneforkalkning' in Norwegian, the direct translation of primary familial brain calcification.

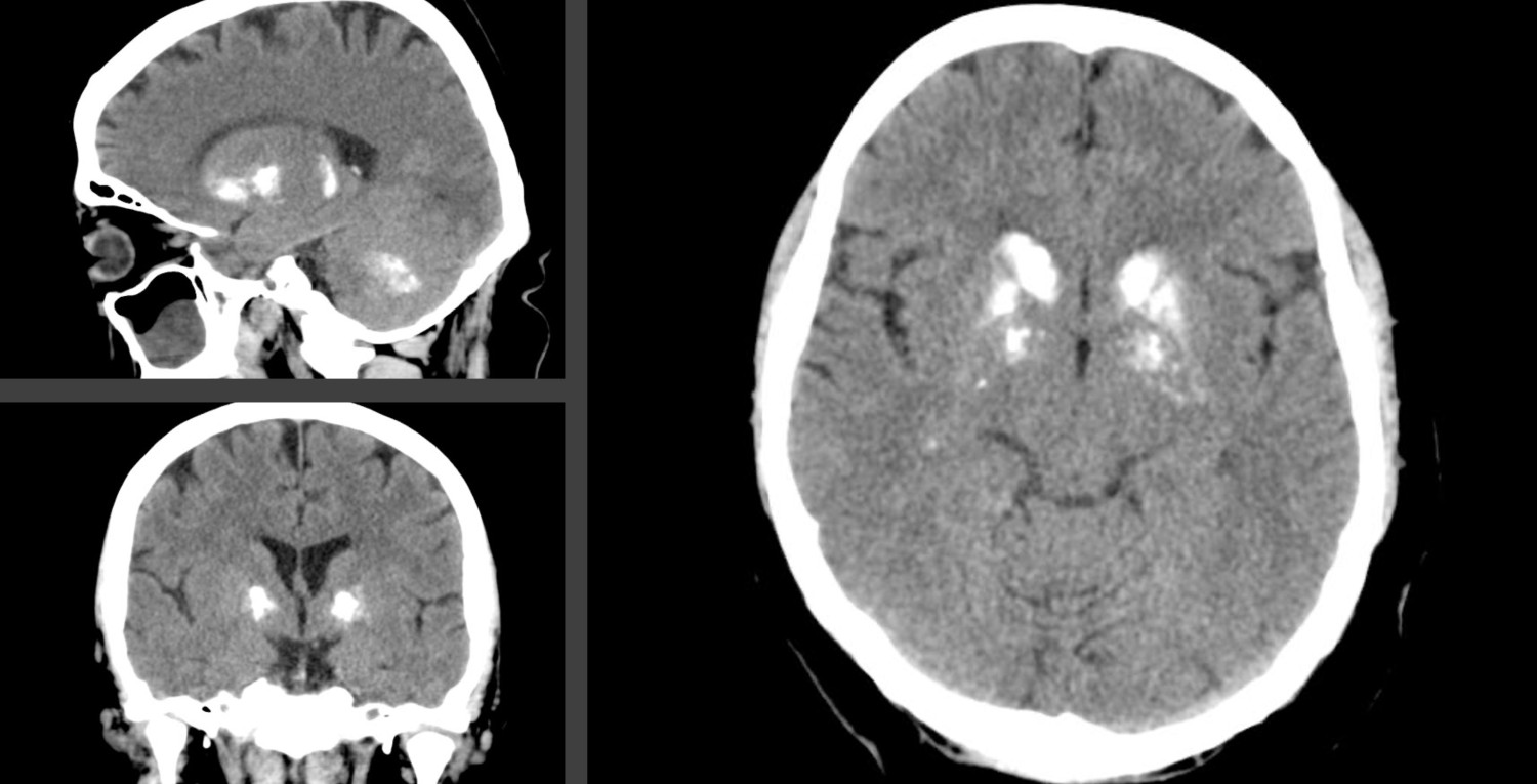
    Fahr's disease is a genetic condition characterised by dystonia, ataxia, parkinsonism and various neuropsychiatric symptoms, caused by symmetrical calcifications in the brain (Figure 1). Symptoms and clinical findings can range from minimal to life-threatening (1). There is currently no effective treatment for this progressive disease, but the latest research shows several medicinal avenues (2). Some studies also suggest that the condition may be more widespread than previously thought (3, 4). This brings up questions about what the disease should be called in Norwegian.

    Relevant disease terminology

    Relevant disease terminology

    The first known case of this disease was described by a French doctor by the name of A. Delacour in 1850, i.e. 80 years before the German doctor Karl Theodor Fahr (1877 - 1945) published his case report in 1930 (1, 5). However, based on current knowledge, Fahr's case report now appears to be a secondary manifestation of hypoparathyroidism (6) rather than a primary form of brain calcification.

    Eponyms can have a cultural value, but from a clinical perspective, it is more useful for disease names to convey pathophysiological disease mechanisms. In this case, it is also useful that the disease name differentiates the disease from secondary brain calcifications due to infection, metabolic disorders, or normal ageing (7).

    Fahr's disease has often been referred to as idiopathic basal ganglia calcification, i.e. calcifications located in the basal ganglia without a known cause. This term is a good description of the anatomical location of the calcifications, but the word 'idiopathic' is no longer adequate as the condition has now been shown to have a genetic cause. Furthermore, the calcifications can also occur in other areas of the brain, such as the subcortical white matter, thalamus and cerebellum (8).

    In recent years, the term primary familial brain calcification (in Norwegian, primær familiær hjerneforkalkning) seems to be the most commonly used in international medical literature. One advantage of this term is that it clearly refers to brain calcifications of genetic origin. A disadvantage is that it excludes cases arising from spontaneous mutations. Such cases can be referred to as primary bilateral brain calcification (5).

    Recent research findings

    Recent research findings

    Little is known about the consequences of calcifications in the brain. Recent research, including from Norway, has shown that the condition can be caused by pathogenic variants in several different genes (8-11). It has been suggested that the different genetic subtypes be referred to using the specific gene variant as a prefix (12), such as NAA60-PFBC, SLC20A2-PFBC, etc. Such precise nomenclature could contribute to more accurate diagnoses and explanations of diseases, which could have implications for future treatment choices. However, about half of all cases still lack a genetic explanation, and it is likely that additional gene variants will be identified. These should be incorporated into the screening panel on an ongoing basis to promote accurate diagnostics.

    What should the condition be called in Norwegian?

    What should the condition be called in Norwegian?

    In Norway, the condition is still referred to as Fahr's disease, including on the website of Norway's largest provider of health-related information, Norsk helseinformatikk (13) and until recently, also on the website of Frambu Resource Centre for Rare Diagnoses (14). Norwegian researchers have used the term 'primary familial brain calcification' in English-language scientific journals over the past 10 years (9-11).

    In our opinion, the condition should be referred to as 'primær familiær hjerneforkalkning' in Norwegian, as this would promote knowledge and translational research collaborations. It can be difficult to change well-established disease names, but this disease is rare and not well-known in the population. 'Calcification' is a familiar term, and 'brain calcification' is likely to be easily understood by most people. In patient communication, the disease can be referred to as, for example, a hereditary form of brain calcification.

    Comments  ( 0 )
    PDF
    Print
    Reply to article

    Recent Articles