Porcelain heart

    ()

    sporsmal_grey_rgb
    Article

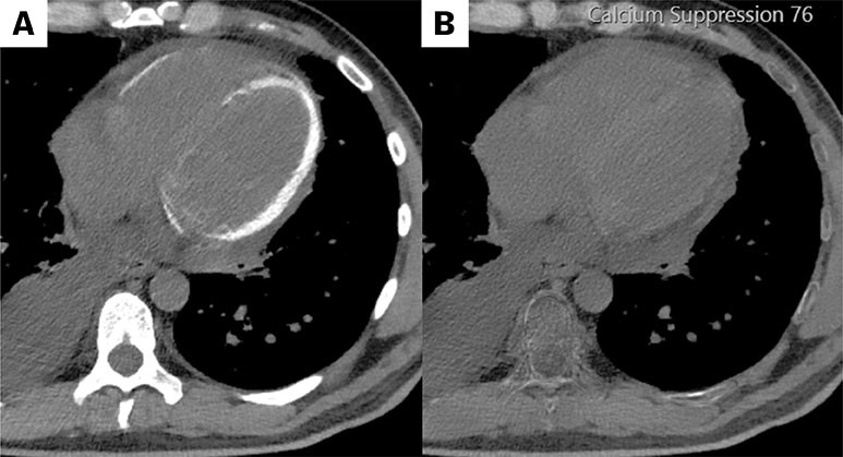
    The CT images are from a scan without intravenous contrast. The image on the left shows high attenuation in the left ventricular myocardium, and to a lesser extent in the right ventricle. The attenuation closely resembles the appearance of bone in the image, and the density can be consistent with calcification.

    The image was taken using spectral CT, which offers superior tissue differentiation. The machine utilises X-ray photon energy spectra, allowing it to differentiate between chemical elements like iodine and calcium based on their absorption levels, as both produce high attenuation. Calcium suppression, shown in the image on the right (B), confirms that the high attenuation in image (A) is due to the presence of calcium in the tissue.

    The images are of a man in his 40s with diet-controlled diabetes and no known chronic kidney or heart disease. Four weeks prior to the images being taken, he was admitted to hospital with E. coli sepsis, which resulted in multiple organ failure and intensive care with haemodialysis. The indication for chest CT was significant pleural effusion, and the finding of myocardial calcification was unexpected. Three weeks later, echocardiography showed substantially increased myocardial echogenicity, except in the septum (see video online). The myocardium was contracting, but the ejection fraction was reduced by an estimated 40 %, primarily longitudinally.

    The CT and echocardiography findings are consistent with diffuse myocardial calcification. This condition has been described in some case reports and can occur due to a disturbance in the calcium and phosphorus balance, chronic renal failure, or, as in this case, inflammatory damage to the myocardium following sepsis with kidney failure (1). The condition increases the risk of heart failure, and monitoring of the heart function is indicated (2). There is currently no targeted therapy for reducing calcification, but spontaneous regression was observed in another case report (3).

    The patient has consented to publication of the article.

    The article has been peer-reviewed.

    Comments  ( 2 )
    PDF
    Print

    Recent Articles