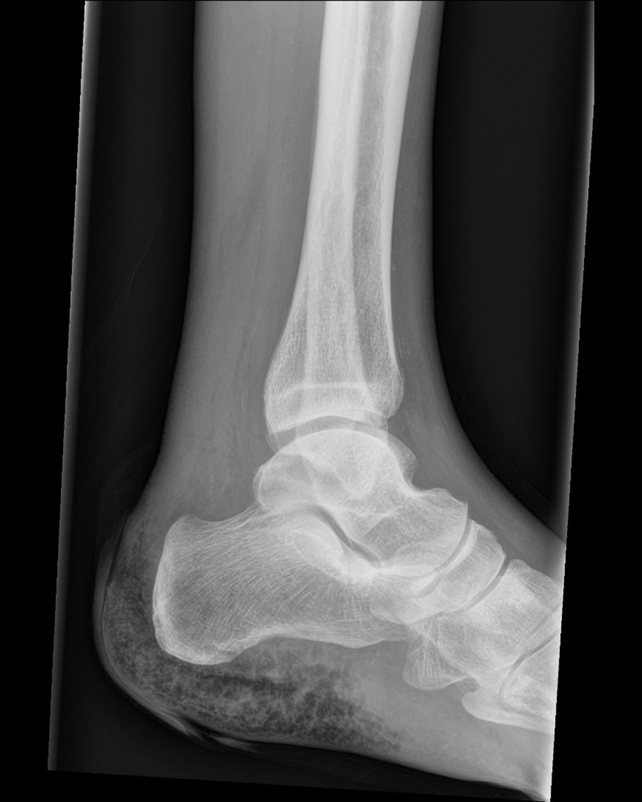
Gas in soft tissue

    ()

    sporsmal_grey_rgb
    Article

    This X-ray image of the left ankle shows gas in the soft tissue around the heel. The patient, a man in his seventies, was admitted to the emergency department with fever and pain in the left foot. He was known to have colon cancer with spread to the peritoneum and lungs. Four years prior to this admission, he had undergone right hemicolectomy, but had declined any further curative treatment. Three days prior to admission, he developed pain in the left ankle and, according to his spouse, he became confused and his condition declined further. There was no information about trauma, recent wounds or rash.

    On arrival, the patient was confused (Glasgow Coma Scale score of 14), febrile (38.8 °C rectal temperature) and tachycardic (140 bpm), but he had normal blood pressure (129/68 mmHg). Blood test results showed CRP 166 mg/L (reference range <5) and leukocytes 20.3 × 109/L (3.5–10 × 109/L). The findings of examination of the left ankle were unremarkable, but an intact blister over the heel was noticed, as well as an erythematous rash over the medial side of the left calf. In addition to intravenous fluid administration, treatment for suspected cellulitis was initiated with cloxacillin 2 g four times daily and intravenous gentamicin 5 mg/kg body weight once daily.

    The following day, there was growth of Clostridium septicum in two anaerobic blood culture bottles. At this time, the blister over his heel spontaneously ruptured, releasing extremely foul-smelling fluid. There was no definite palpable crepitus. X-ray of the left ankle revealed soft tissue emphysema around the heel. Antibiotic treatment was switched to intravenous piperacillin/tazobactam 4 g/0.5 g four times daily. One and a half days after admission, the patient underwent supramalleolar guillotine amputation as a life-saving procedure under general anaesthesia, and vacuum-assisted closure therapy was initiated. One week later, definitive below-knee amputation of the left limb was performed with primary closure. After a further week of observation, the condition of the amputation stump was unremarkable. The patient was discharged for a short-term admission in a municipal institution and referred for rehabilitation to have a prosthesis fitted.

    Clostridia are gram-positive, anaerobic, spore-forming bacteria, which are widespread in the environment, as well as in the gastrointestinal tract of healthy humans and animals. Clostridial myonecrosis, or gas gangrene, has a high mortality rate, and early surgical intervention and antibiotic treatment are essential (1, 2). There are two types of gas gangrene – traumatic and spontaneous. C. perfringens is the most common species in traumatic gas gangrene, while C. septicum is the predominant agent in spontaneous gas gangrene (2). Underlying disease or an iatrogenic procedure in the gastrointestinal tract is a prerequisite for the haematogenous spread of bacteria to the muscle system. Infections with C. septicum are associated with malignancy, particularly in the gastrointestinal tract, and this diagnosis should therefore be kept in mind when patients with colon cancer develop sepsis and soft tissue disorders (1, 2).

    In this case, the blood culture findings were crucial, but palpable crepitus is considered to be the most important clinical finding for early diagnosis.

    The patient has consented to the publication of the article.

    The article has been peer-reviewed.

    Comments  ( 0 )
    PDF
    Print

    Recent Articles