A potentially dangerous malformation of the inner ear

    ()

    sporsmal_grey_rgb
    Article

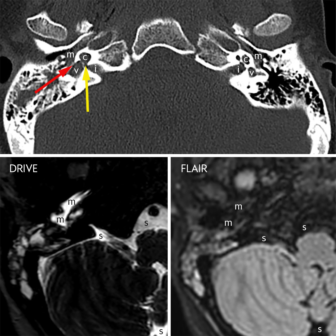
    The top image is a slice from a standard head CT scan with volume acquisition, shown here with bone algorithm and bone window at the level of the inner ear. The indication was a critically unwell child with impaired consciousness. The middle ear (m), cochlea (c), vestibule (v) and internal auditory canal (i) are labelled bilaterally. The left inner ear is normal. There is a congenital malformation of the right inner ear. The dimensions of the cochlea are normal, but it has a cystic appearance and is lacking internal architecture. There is a wide communication (yellow arrow) between the base of the cochlea and the internal auditory canal. The vestibule is enlarged, but can be differentiated from the cochlea.

    The malformation is consistent with incomplete partition type 1, previously known as cystic cochleovestibular malformation (1). The majority of patients with this malformation have severe neurogenic ipsilateral hearing loss. Some patients will also have leakage of cerebrospinal fluid from the internal auditory canal to the middle ear via a fistula through the inner ear. The image shows material in the right middle ear laterally to the oval window (red arrow). This is a non-specific finding, but it may be cerebrospinal fluid and/or infection, for example.

    The two images below are from an MRI scan taken ten days after the CT scan. In the intervening period, the patient had been treated for pneumococcal meningitis. They are slices from two sequences, 3D-T2-DRIVE and fat-suppressed 3D-T2-FLAIR, at the level of the lower part of the middle ear. Only the right side is shown. There is material in the middle ear (m) with a very high signal on the DRIVE sequence and suppressed signal on the FLAIR sequence. The same signal pattern is seen in the cerebrospinal fluid in the subarachnoid space (s) around the brainstem and cerebellum. This is an indication that cerebrospinal fluid is present in the middle ear and is an indirect sign that there may be a cerebrospinal fluid fistula (2). This can be verified with a positive beta-2-transferrin test, provided that sufficient fluid can be collected for analysis (2). A cerebrospinal fluid fistula to the middle ear entails a risk of recurrent bacterial meningitis and can be treated with surgical closure (1).

    The patient and the patient's parents consented to the publication of the article.

    The article has been peer-reviewed.

    Comments  ( 0 )
    PDF
    Print

    Recent Articles