A ball of worms

    ()

    sporsmal_grey_rgb
    Article

    Massive infestation of the large intestinal roundworm (Ascaris lumbricoides) in the small bowel may cause mechanical ileus when a large quantity of worms forms a cluster and obstructs the intestinal lumen.

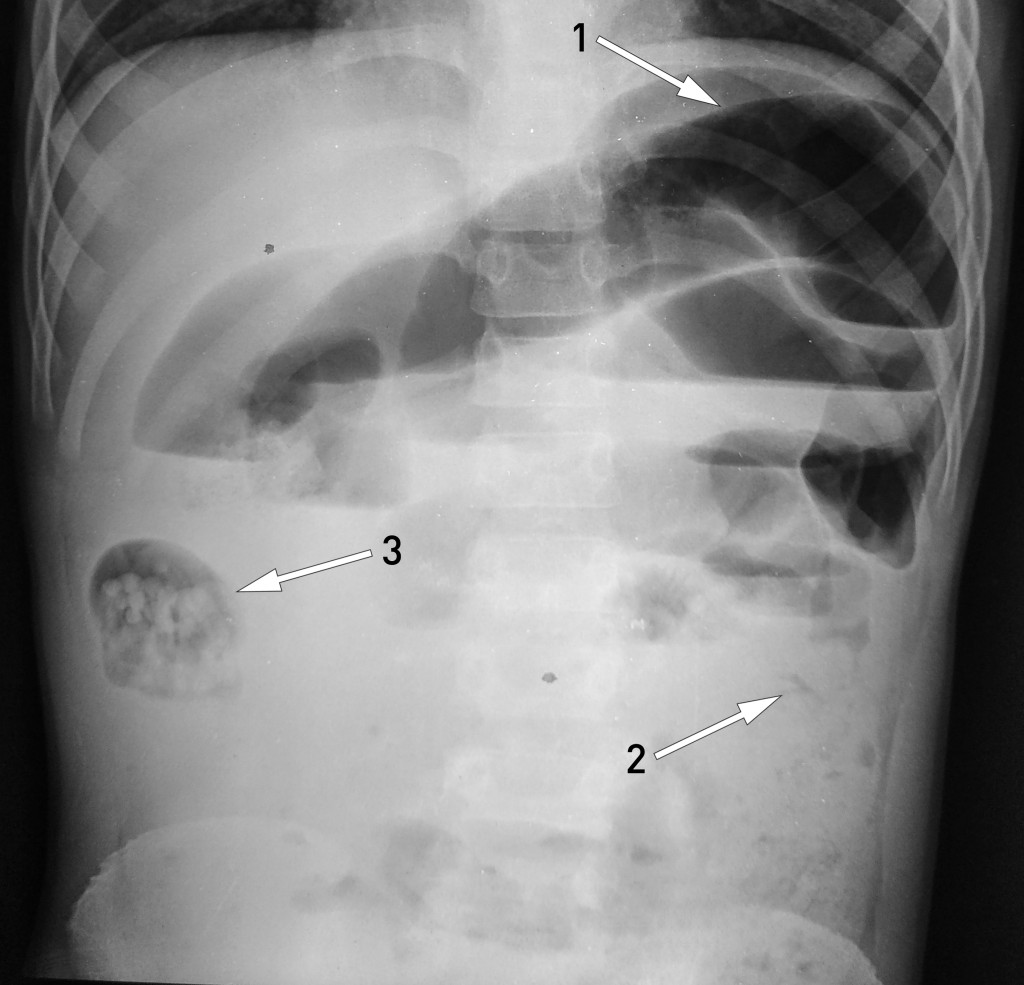
    A ten-year-old boy was admitted as an emergency patient to a hospital in a poor region of Nepal. He had significant growth retardation, and had suffered from stomach pain, vomiting and a distended abdomen for the previous three days. He had not produced any stool but had excreted two live roundworms per rectum. Erect abdominal x-ray (x-ray image) showed distended intestinal loops (arrow 1), but a normal colon (arrow 2), hence findings that were consistent with mechanical intestinal obstruction. We suspected that an accumulation of roundworms in a segment of the intestine in the right flank (arrow 3) – most likely in the small intestine or right hemi-colon – had caused an ileus.

    Initially the boy was in fair general condition, and conservative treatment of ileus caused by roundworms was tried, i.e. fasting, intravenous fluid, antibiotics, piperazine through a nasogastric tube, and glycerol and liquid paraffin emulsion enemas (1). Eight hours after admission, the boy's condition deteriorated with increasing pain, abdominal circumference and need for supplemental oxygen. A laparotomy was therefore performed. A distended small bowel was found, and an incision was performed approximately in the mid-jejunum. A vast number of dead roundworms were extruded from both the proximal and distal part of the bowel (photo). The incision in the bowel was then closed. The postoperative course was without complications, and the boy was discharged in good condition after a few days.

    Nepal has a national programme for 'deworming', whereby all young schoolchildren should receive 400 mg albendazole every six months at school. However, compliance is limited. We do not know whether the massive infestation in our patient was due to lack of compliance or significant infection pressure with reinfestation following the treatment. Growth retardation is extremely widespread in the region, and in our patient it may well have been caused by a considerable, prolonged parasitic burden. Close to 50 % of children in Nepal have roundworm (2).

    In a wealthy country such as Norway, infestation with intestinal worms is no longer a significant health problem. A search for 'roundworm' or 'ascaris' in the Journal of the Norwegian Medical Association's database gives very few hits, and none that deal with the clinical aspects of roundworm. This is despite the fact that to this day more than one billion people in the world have roundworm, and an infestation of this type may cause a large number of both acute and chronic complications (3). Taking the prevalence of roundworm into account, life-threatening complications are not common but are nevertheless important to be aware of.

    The patient's parents have consented to the publication of this article and the images it includes.

    Comments  ( 0 )
    PDF
    Print

    Recent Articles