Plugs of the air passages

    ()

    sporsmal_grey_rgb
    Article

    A woman in her late thirties was hospitalised owing to cough and dyspnoea. She had previously been examined by her general practitioner, who suspected bronchial asthma. Upon admission, she was judged to have infection-induced asthma exacerbation, and antibiotic and anti-obstructive treatment were initiated. Shortly afterwards she developed severe respiratory failure, and was intubated and transferred to the intensive care department of a university hospital. Owing to difficulty in achieving adequate mechanical ventilation, veno-venous extracorporeal membrane oxygenation (ECMO) was started. During ECMO, bronchoscopy revealed a rubbery material in the trachea. This extended distally into the branches of the bronchial trees of both lungs, with obstruction of large parts of the lumen. The material was removed during the bronchoscopy, from the left lung almost in a single piece. It was found to comprise a rubbery cast of the bronchial tree with a firmer consistency than ordinary mucous plugs (Image 1).

    The descriptive diagnosis was plastic bronchitis, which may arise secondary to diseases of the lungs, heart or lymphatic system. A protein- and lipid-rich fluid leaks into the bronchi and forms casts of the bronchial tree (1). The condition is rare, but can occur in all ages and in both sexes. Asthma and atopy are the most commonly associated conditions, second only to surgical correction of congenital heart disease (particularly Fontan surgery). Mortality is estimated at 6–60 %, and the most common cause of death is central airway obstruction (1). The diagnosis is typically made via bronchoscopy. Acute treatment is removal of the cast, either via bronchoscopy or via the patient expectorating the material. The presumed precipitating factor must also be treated.

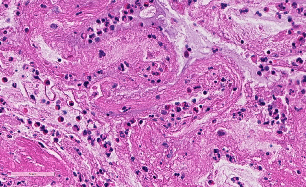
    Microscopy revealed a fibrinous material with abundant eosinophilic granulocytes, but also neutrophilic granulocytes, lymphocytes and plasma cells (Image 2, online). Plastic bronchitis with eosinophilic casts is associated with asthma/atopy or infection with Aspergillus (allergic bronchopulmonary aspergillosis/Aspergillus tracheobronchitis) (2). In addition to treatment for presumed asthma, our patient also received broad-spectrum antimicrobial treatment, including antifungal coverage. However, no microbes were ever detected, nor any other precipitating factor for plastic bronchitis. The patient's condition improved after removal of the cast. ECMO was discontinued and she was weaned off mechanical ventilation. At follow-up appointments, she has had no respiratory symptoms and has been using no inhaled medicines. Pulmonary function tests yield normal results and bronchoscopy reveals no sign of recurrence. The cause of plastic bronchitis with eosinophilic casts in this patient remains unclear.

    The patient has consented to the publication of this article, including images.

    Comments  ( 2 )
    PDF
    Print

    Recent Articles