Trouble with soup

    ()

    sporsmal_grey_rgb
    Article

    A man in his early seventies attended the accident and emergency department with chills and reduced general condition. His temperature was 40.6 °C, and blood tests showed a CRP level of 115 mg/l (< 5) and leukocytes 12.9 . 108 (4.1–9.8 . 108). Two days before, he had undergone electrical cardioversion due to atrial fibrillation, the onset of which occurred five days before the event in question. This condition was already known, but the patient had been symptom-free since an ablation was performed two years previously.

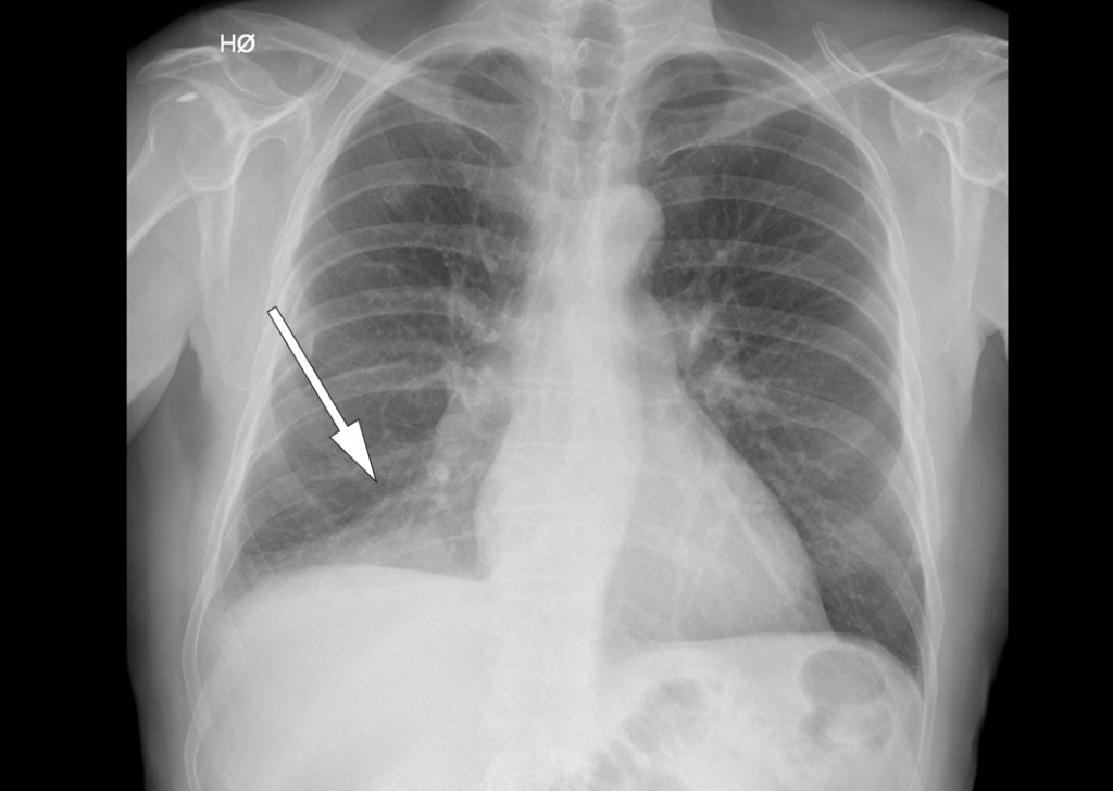
    Due to clinical suspicion of pneumonia, a chest x-ray was performed (see x-ray image), which showed a consolidation in the right lower lobe. It gradually emerged that several weeks earlier, the patient had eaten meat soup with vegetables and that during the meal he had become aware that ‘something’ had disappeared down his trachea.

    The patient’s history now raised the question of a foreign body, and the patient was hospitalised in the pulmonary department for treatment with intravenous penicillin and further examination. A CT thorax was performed prior to bronchoscopy (see CT image) and showed an alteration 8 mm in diameter in the proximal right lower lobe bronchus. This resulted in almost complete lumen occlusion and caused atelectasis of the distal right lower lobe.

    A bronchoscopy was performed (see endoscopy image) and a pea was located as described at the CT examination and subsequently removed (see video). The pea was intact with a diameter of approximately 10 mm. The patient was fever- and symptom-free in a little less than a week, and a chest x-ray eight weeks later showed complete remission of the atelectasis. A further bronchoscopy also revealed normal findings.

    Aspiration of lentils or peas with subsequent pneumonia is not a new problem. The condition was reported at irregular intervals in the late 20th century (1), usually as isolated case histories. Despite mild symptoms and slow development, the illness frequently ended fatally and was only confirmed at autopsy. This was related to the fact that the most vulnerable were small children, adults with cognitive impairment, or elderly or bedridden care patients.

    We wish to thank our colleagues Anders Rosvoldaunet and Mona Størseth at the accident and emergency department in Trondheim.

    The patient has consented to the publication of this article.

    One of the authors is an editor of the Journal of the Norwegian Medical Association. The manuscript has therefore been reviewed by an external editor.

    Comments  ( 0 )
    PDF
    Print

    Recent Articles