Spontaneous pneumomediastinum

    ()

    sporsmal_grey_rgb
    Article

    Spontaneous pneumomediastinum is an uncommon but benign and self-limiting condition that most often presents with chest pain, sometimes combined with dyspnoea, in young men. Chest radiography is usually sufficient for the diagnosis, and further diagnostic procedures are generally not necessary.

    Spontaneous pneumomediastinum is usually caused by alveolar rupture resulting from a sudden increase in the thoracic pressure, where the air dissects along the bronchovascular structures into the mediastinum. The precipitating factor may be forceful coughing or retching but pneumomediastinum may also occur without precipitating factors. Pulmonary disease and smoking may predispose individuals to the condition (1).

    Findings on clinical examination may be a rasping sound synchronous with the heartbeat (Hamman's sign), and subcutaneous emphysema (2). Further assessment is not indicated unless secondary causes of pneumomediastinum, such as oesophageal perforation, gas-forming bacteria or trauma, are suspected (1–4).

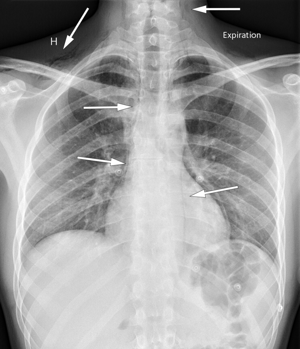
    The chest x-ray shown is of a man in his twenties who experienced acute chest pain with accompanying dyspnoea while resting. The pain radiated to both shoulders and to the back, and was exacerbated by inspiration. He had stable vital parameters and blood tests were normal.

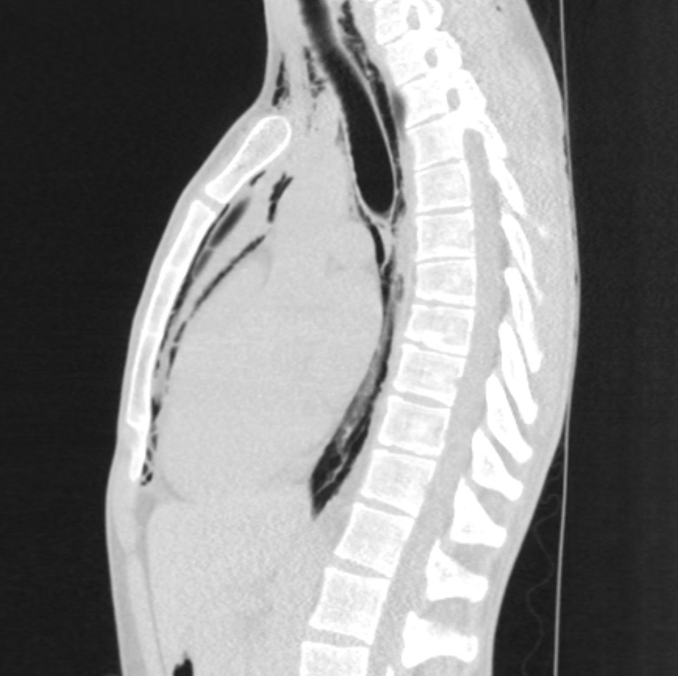
    The chest x-ray showed air in the soft tissue of the neck and bilaterally in the supraclavicular region, along the trachea, heart, and along the aortic contour laterally. A thoracic CT without intravenous contrast confirmed pneumomediastinum and excluded pneumothorax. At clinical examination three weeks later the patient no longer had symptoms, and chest x-ray showed complete regression of the pneumomediastinum.

    The patient has consented to the publication of this article.

    Comments  ( 2 )
    PDF
    Print

    Recent Articles