Migraine and stroke

    ()

    sporsmal_grey_rgb
    Abstract
    BACKGROUND

    BACKGROUND

    Migraine is a common neurological disease that entails a significant burden for those affected, and great health economic costs for society. Migraine is linked to a higher risk of stroke. The purpose of this article is to provide a review of the association between migraine and stroke: both ischaemic and haemorrhagic stroke, possible underlying mechanisms, clinical implications and the need for further research in this field.

    METHOD

    METHOD

    This review is based on literature searches in PubMed using a defined search string, supplemented by a pyramid search using the search engine McMaster PLUS on the words 'migraine' and 'stroke', as well as a review of the articles' reference lists.

    RESULTS

    RESULTS

    Migraine with aura is associated with a doubling of the risk of stroke, but there is no certain increased risk of stroke among persons with migraine without aura. Smoking, the use of contraceptive pills and frequent migraine attacks increase the risk. There also appears to be a somewhat higher incidence of cerebral haemorrhage among persons with migraine with and without aura.

    INTERPRETATION

    INTERPRETATION

    The association between migraine and stroke is complex. In light of the higher risk of stroke in patients with migraine with aura, it is recommended that modifiable risk factors such as smoking, hypertension and the use of contraceptive pills should be thoroughly surveyed and treated.

    Article

    Migraine is a common neurological disease, and with a prevalence of 15 % in the adult population, the source of a major social, economic and psychological burden (1–3). Women are more frequently affected than men. Onset is often in the teens, and prevalence is highest in the ages 20 to 50 years (2, 4).

    Comorbidity can contribute significantly to the morbidity of the migraine population. A number of studies have shown an increased risk of cerebral infarction in migraine sufferers, particularly among young and middle-aged women (5). The purpose of this article is to provide an updated review of the connection between migraine and both ischaemic and haemorrhagic stroke, possible underlying mechanisms, clinical implications and the need for further research in this field.

    A review article with the same title was published in the Journal of the Norwegian Medical Association in 1998 (6). Since then, a number of new studies have been conducted. They have established the distinction between migraine with and without aura, studied the significance of attack frequency and investigated the connection between migraines and cerebral haemorrhage. Radiological and genetic studies have also been carried out in search of explanations of the cause.

    Method

    Method

    We searched PubMed for the period from and including 2000 up to and including August 2016, using the following search string: Migraine Disorders [Mesh] OR migraine [Title/Abstract] AND Stroke [Mesh] OR stroke OR strokes [Title/Abstract]) AND 2000/01/01 [PDat]: 2016/08/08 [PDat] AND English [lang] OR Norwegian [lang] OR Danish [lang] OR Swedish [lang].

    This identified a total of 1 521 articles. A subsequent exclusion process based on a discretionary assessment reduced the number first to 434, on the basis of title, then to 48, on the basis of the abstract. This search was supplemented with a pyramid search using the search engine McMaster PLUS via the Norwegian Electronic Health Library on the words "migraine" and "stroke" combined with AND, which turned up six articles (five from UpToDate and one from DARE). This resulted in a total of 54 original and review articles. After going through the reference lists of these articles, a further six were included. The present review is based on these 60 articles (Fig. 1). The searches in McMaster PLUS and PubMed were concluded on 8 August 2016.

    Figure 1 Flow chart showing the method for this review article, which is based on 60 articles. The searches in McMaster PLUS…
    Figure 1 Flow chart showing the method for this review article, which is based on 60 articles. The searches in McMaster PLUS and PubMed were concluded on 8 August 2016.
    Migraine and the risk of stroke

    Migraine and the risk of stroke

    Epidemiological studies

    Epidemiological studies

    Migraine with aura is associated with an approximately doubled risk of stroke (5, 7, 8). The relative risk (RR) of stroke in patients with migraine with aura was found in a metaanalysis to be 2.16 (95 % confidence interval (CI) 1.53–3.03), but there was not an increased risk for migraine without aura (relative risk 1.23, CI 0.90–1.69) (7). The association is strongest in women under the age of 45 and in those with frequent migraine attacks (7, 8). Measured in absolute figures, however, the incidence of stroke in persons under the age of 45 is modest: 19 per 100 000 annually for those with migraine compared with 6 per 100 000 annually for those without migraine (9).

    Recent studies indicate a higher risk also of cerebral haemorrhage (subarachnoidal haemorrhage or intracerebral haemorrhage) (5, 8, 10). A metaanalysis calculated the risk of cerebral haemorrhage to be higher in persons with migraine (relative risk 1.48, CI 1.16–1.88), but with no clear link to aura (10). Smoking and the use of contraceptive pills heighten the risk of stroke in the population with migraine with aura and in combination raise the risk sevenfold compared with women with migraine with aura who neither smoke nor use contraceptive pills (11). Despite the increased risk of stroke, it is not clear whether migraine is associated with higher mortality due to cardiovascular disease as a whole (12, 13).

    Most strokes occur independently of migraine attacks. However, a rare complication of migraine, so-called migrainous infarction, is detected infarction found to occur with aura symptoms of unusually long duration (> 60 minutes) in a person with migraine with aura (14, 15). Migrainous infarction accounts for only 0.5–1.5 % of all cases of acute stroke, but up to 14 % of stroke cases in persons under 45 years old (14, 16).

    Radiological studies

    Radiological studies

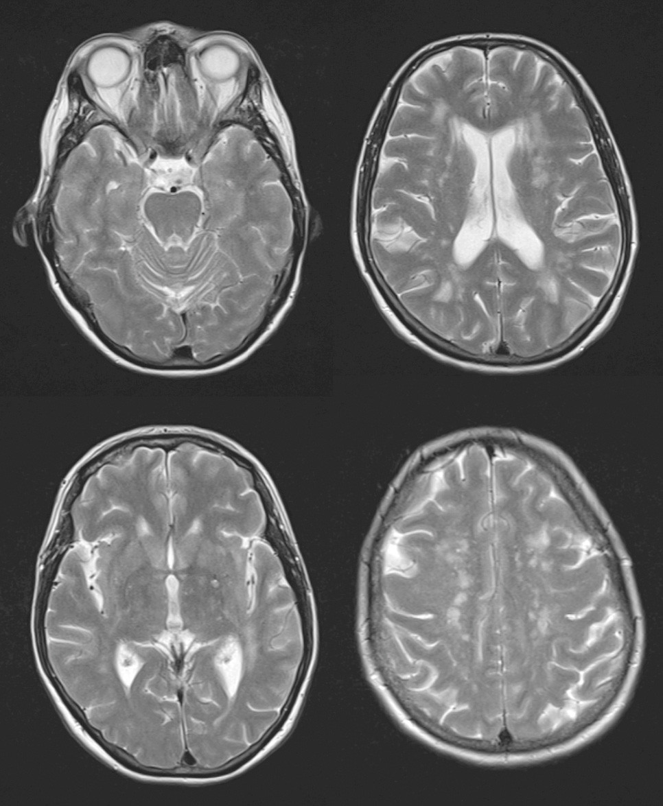
    Several population-based studies using MRI scans have revealed an elevated incidence of subclinical stroke in persons with migraine, particularly migraine with aura (17). Some studies have also found an elevated occurrence of non-specific white matter lesions in the brain, while others have not (18, 19) (Fig. 2). However, it has not been possible to show any connection between randomly detected radiological changes of this nature and reduced cognitive function in persons with migraine, and the clinical significance of these findings is uncertain (20).

    Figure 2 Axial T2-weighted images show multiple, in part confluent, non-specific white matter lesions periventricularly and…
    Figure 2 Axial T2-weighted images show multiple, in part confluent, non-specific white matter lesions periventricularly and subcortically. Images by Unilabs Røntgen Majorstuen, Oslo
    Possible biological mechanisms

    Possible biological mechanisms

    The mechanisms underlying the association between migraine and stroke are not fully understood, but appear to be contingent on several factors. We consider the most likely explanatory models below.

    Cortical spreading depression (CSD)

    Cortical spreading depression (CSD)

    There is general agreement that the neurophysiological basis for migraine aura is cortical spreading depression (CSD) (21). This consists of a strong depolarising wave that spreads slowly (about 3 mm/min) across the cerebral cortex. It is accompanied by brief hyperperfusion followed by a period of 1–2 hours with a 20–30 % reduction in cerebral blood circulation which is not, however, sufficient to cause ischaemia (8).

    Studies indicate that migraine with aura is associated with a lower triggering threshold for cortical spreading depression (22). Cortical spreading depression can be triggered by a number of factors, including ischaemia, hypoperfusion and embolisms (8, 21, 22). One possible explanation for the connection between migraine with aura and stroke is that minor ischaemic events, which remain undetected in others, more often trigger a "secondary" migraine aura in persons subject to migraine with aura, leading to contact with the health service and diagnosis (8). Support for this is provided by the particular risk of minor strokes, and strokes that result in a low grade of functional impairment, which are increased in individuals with migraine with aura (8). However, a causal mechanism of this kind can only explain stroke that is closely related temporally to a migraine attack (8).

    Cardiovascular factors

    Cardiovascular factors

    Migraine is associated with classic cardiovascular risk factors such as hyperlipidaemia and insulin resistance (23, 24). However, the connection with stroke is clearest in persons with few such risk factors, which indicates an independent mechanism (8). One possible contributory explanation for the association between stroke and migraine is cervical artery dissection, which occurs more frequently in persons with migraine and is one of the main causes of stroke in young people (25). A major genetic study of cervical artery dissection found several of the same genetic components as for migraine (26), which may indicate a partial shared genetic basis. Paradoxal embolisation through an open foramen ovale was proposed as a possible cause, after several studies described a higher prevalence of open foramen ovale in persons with migraine with aura. However, doubt was cast on this after a metaanalysis that took account of study quality did not find any such higher prevalence (27). Nor was the closing of an open foramen ovale found to have any effect on migraine with aura (28).

    Genetics

    Genetics

    In recent years, several genetic components have been found to be related to the common forms of migraine. The largest of these studies encompassed 59 700 persons with migraine, and found 38 such components (29). Interestingly enough, these pointed to genes expressed in vascular and smooth muscle, and the findings therefore support a partially vascular causal basis for migraine (29). The genetic components for migraine and stroke have also been found to partially overlap (30).

    Several genetic syndromes characterised by the occurrence of both migraine and stroke strengthen the hypothesis of a genetic connection. This applies to rare metabolic diseases such as cerebral autosomal dominant arteriopathy with subcortical infarctions and leukoencephalopathy (CADASIL) and mitochondrial myopathy, encephalopathy, lactic acidosis and stroke-like episodes (MELAS) (8).

    Contraceptive pills

    Contraceptive pills

    The oestrogen in contraceptive pills increases the risk of stroke, but the risk associated with the low-dose pills used today is modest (31). Nonetheless, the World Health Organization (WHO) advises women with migraine with aura and women over 35 years old with migraine without aura against using combination pills containing oestrogen. Pills containing only gestagen are recommended instead (32, 33). Women under the age of 35 with migraine without aura and with no other stroke risk factors can use pills with low-dose oestrogen. Migraine subjects who begin to use contraceptive pills should also be monitored for a change in the severity and frequency of the attacks (32).

    Hormone substitution therapy

    Hormone substitution therapy

    The risk of stroke in connection with hormone substitution therapy with a low oestrogen dose is limited. Many persons with migraine experience frequent attacks in peri- and postmenopausal age and can be treated with hormone substitution therapy if no exacerbation of aura symptoms occurs (33).

    Pregnancy

    Pregnancy

    For most women with migraine, the frequency of the attacks abates during pregnancy (34). However, women with migraine have an increased risk of pregnancy-related hypertension, preeclampsia and stroke compared with those without migraine (35).

    Drugs

    Drugs

    Migraine-specific drugs such as ergotamines and triptans may cause cerebral vasoconstriction, and in theory could conceivably increase the risk of stroke. Ergotamine is no longer marketed in Norway. Observation studies have not found any definite increase in the risk of stroke associated with the use of triptans (36), but they are nonetheless relatively counterindicated for patients with vascular disease, and should be avoided completely by patients with stroke or manifest coronary disease (32).

    Betablockers are first-line drugs for prophylactic migraine therapy, but are not recommended as a first choice for persons aged over 60 or smokers (32). This is particularly true of non-selective betablockers (37).

    Discussion

    Discussion

    Migraine with aura is associated with an increased risk of stroke, particularly in women under 45. However, the absolute risk of stroke is low. It is important to make a thorough study of and treat classic cardiovascular risk factors such as hypertension and hypercholesterolaemia in this patient group, and to advocate smoking cessation (5, 8). Women with migraine with aura ought primarily to use gestagen-containing contraceptive pills as needed for oral contraception. Frequent migraine attacks appear to increase the risk of stroke, but it has not been shown to date that improved attack control reduces the risk of stroke (38).

    The complex relationship between migraine and stroke may present diagnostic challenges. It is sometimes difficult to determine whether the symptoms of acute neurological events are attributable to cerebral ischaemia or to migraine aura. The most important clinical distinction between a migraine aura and stroke is that the former typically develops gradually, while the onset of stroke symptoms is acute. A migraine aura or migraine-like headache may also occur during a stroke, however, and then it is very important that a diagnosis be made rapidly, so that the patient receives effective revascularising therapy. In the middle-aged in particular, migraine symptoms may be atypical and present diagnostic challenges (39).

    Frequent migraine attacks appear to be associated with an increased risk of stroke, and future studies should investigate whether better control of migraine attacks reduces the risk of stroke. It is also important to determine the causal mechanisms underlying the increased risk of stroke in this patient group, so that targeted strategies can be developed to prevent these events.

    Comments  ( 0 )
    PDF
    Print

    Recent Articles