Renal involvement in paediatric systemic vasculitis

    ()

    sporsmal_grey_rgb
    Abstract
    BACKGROUND

    BACKGROUND

    Primary systemic vasculitis is a rare condition in children, which often has a slowly progressive course with diffuse symptoms and is therefore easily overlooked. Early initiation of treatment can prevent severe kidney disease. The aim of this study was to survey the extent of renal involvement in children with systemic vasculitis at Oslo University Hospital, Rikshospitalet.

    MATERIAL AND METHOD

    MATERIAL AND METHOD

    This observational retrospective study was based on a review of medical records, laboratory results and renal biopsies from first admission to last check-up at Oslo University Hospital, Rikshospitalet, for the period 2000–14.

    RESULTS

    RESULTS

    A total of 66 children (35 boys) under 18 years of age were treated at the hospital for primary systemic vasculitis in the period in question. Objective signs of renal involvement were found in 39 (59 %) at the first consultation and in 42 (64 %) over the course of the disease. Twenty-nine patients (44 %) underwent renal biopsy. Of the 41 patients with proven renal involvement that were still alive at the time of the last check-up, 12 continued to require treatment for renal impairment. Three patients had undergone renal transplantation, 18 were in remission on immunosuppressive or antihypertensive treatment, while 11 patients had achieved medication-free renal remission.

    INTERPRETATION

    INTERPRETATION

    There is a high prevalence of renal involvement in paediatric patients treated for systemic vasculitis at Oslo University Hospital, Rikshospitalet. At their final check-up, the majority of patients continue to require treatment and follow-up for kidney disease.

    Main findings

    MAIN POINTS

    A total of 66 children were treated for primary systemic vasculitis at Oslo University Hospital, Rikshospitalet, in the period 2000–14

    Approximately two-thirds of the patients had renal involvement

    Most of the patients with proven renal involvement achieved remission, but three patients had to undergo renal transplantation

    Article
    Introduction

    Primary systemic vasculitis, in which inflammation of vessel walls affects multiple organ systems, is a rare condition in children. The disorder is divided into subgroups based on the clinical picture and the particular vessels that are affected. IgA vasculitis (formerly Henoch-Schönlein purpura) is the most common, followed by Kawasaki disease, anti-neutrophil cytoplasmic antibody (ANCA)-associated vasculitis (granulomatosis with polyangiitis – formerly Wegener's granulomatosis – and microscopic polyangiitis), Takayasu's arteritis, and polyarteritis nodosa (1).

    IgA vasculitis is usually easily identified owing to a characteristic rash. However, other types of systemic vasculitis may be more difficult to diagnose on account of their slowly progressive course and diffuse symptoms, including fatigue, weight loss, and muscle and joint pain.

    The renal manifestations depend on the size of the vessels that are affected. In small-vessel disease, such as ANCA-associated vasculitis, the patient often develops symptoms consistent with nephritis or rapidly progressive renal failure, whereas medium- and large-vessel vasculitis, such as Takayasu's arteritis, are accompanied by renal ischaemia and hypertension (1). The degree of renal involvement is an important factor in long-term prognosis (2). Systemic vasculitis should be a differential diagnosis in cases of multiple organ disease, to ensure that any kidney disease is detected early so that effective treatment can be initiated.

    An overview of Norwegian children with primary systemic vasculitis is currently lacking. The aim of this study was to survey the number of children with primary systemic vasculitis admitted to Oslo University Hospital, Rikshospitalet, as well as their degree of renal involvement, and eventual outcomes.

    Material and method

    Material and method

    This is a retrospective review of medical records of patients under 18 years of age treated for primary systemic vasculitis in the period January 2000 to December 2014 in the Paediatric Clinic and Paediatric Rheumatology Unit of the Department of Rheumatology, Oslo University Hospital, Rikshospitalet.

    Patients with IgA vasculitis (D69.0), granulomatosis with polyangiitis (M31.3), microscopic polyangiitis (M31.7), Takayasu's arteritis (M31.4), polyarteritis nodosa (M30.0) and other necrotising vasculopathies (M31.8 and M31.9) were identified in the medical archives with help from the Department of Activity Data and Analysis, Oslo University Hospital. Kawasaki disease does not cause kidney damage and was therefore excluded.

    Seventy-five sets of medical records were examined. Nine were excluded – due to incorrect coding (n = 6), missing records (n = 2) and transfer to the adult rheumatology department (n = 1). For the remaining 66, notes, charts, renal biopsy results and laboratory results from first to last hospitalisation/outpatient consultation were reviewed with respect to sex, age, renal and extrarenal manifestations, treatment and outcomes. The study was approved by the Data Protection Officer at Oslo University Hospital.

    The most common symptoms and signs affecting the skin, respiratory tract, gastrointestinal tract, muscles and skeleton were recorded as present or not present/not mentioned, based on the classification criteria of the rheumatology organisations EULAR/PRINTO/PRES (3). Vital markers and treatment administered over the course of the disease were also noted.

    Disease onset was defined as the first time a symptom/sign was observed by the patient/guardian or referring doctor. The time from disease onset to diagnosis was recorded. The follow-up time was defined as time from first to last consultation at the hospital.

    Renal involvement was defined as fulfilment of two or more of the following five criteria: proteinuria ≥ 2+ on urine dipsticks, protein-creatinine ratio ≥ 30 mg/mmol, renal impairment defined as estimated glomerular filtration rate (eGFR) < 90 ml/min/1.73 m2, microscopic haematuria and cylindruria, or hypertension (4, 5). Chronic kidney disease was defined as eGFR < 60 ml/min/1.73 m2 for three months or longer, while eGFR < 30 ml/min/1.73 m2 was considered to represent severe kidney disease (6). Renal remission was defined as the absence of objective signs of kidney disease.

    Management of proteinuria was at the discretion of the treating physician. Proteinuria was graded using the protein-creatinine ratio, with microalbuminuria defined as a protein-creatinine ratio in the range of 3–30 mg/mmol, proteinuria 30–300 mg/mmol, and nephrotic proteinuria > 300 mg/mmol (7).

    Light microscopy, immunofluorescence and electron microscopy results for all biopsies were re-examined.

    Results

    Results

    Sex, age, time from disease onset to diagnosis, and follow-up time. Sixty-six patients with primary systemic vasculitis were identified, of whom 35 (53 %) were boys. The majority had IgA vasculitis (43/66), while 17 had ANCA-associated vasculitis (14 granulomatosis with polyangiitis and three microscopic polyangiitis) and six had Takayasu's arteritis. There were no cases of polyarteritis nodosa (Table 1).

    Table 1

    Characteristics and selected clinical markers in 66 patients with systemic vasculitis admitted to Oslo University Hospital, Rikshospitalet, in the period 2000–14. Values are median (range)

    IgA vasculitis

    ANCA-associated vasculitides

    Takayasu's arteritis

    n = 43

    n = 17

    n = 6

    Sex: male/female

    25/18

    8/9

    2/4

    Age at disease onset (years)

    6.7

    13.5

    14.5

    (0.2–14.7)

    (1.7–17.1)

    (0.4–15.6)

    Age at diagnosis (years)

    6.7

    14

    14.8

    (0.6–14.9)

    (2.3–17.3)

    (0.5–17.3)

    Age at manifest renal involvement (years)1

    7.4

    14.1

    14.7

    (0.3–14.8)

    (3.0–17.3)

    (0.5–15.5)

    Time from symptom onset to diagnosis (months)

    0

    6

    3.6

    (0.0–7.2)

    (0.0–39.6)

    (0.0–6.0)

    SR-level at symptom onset (<10 mm/hr)

    20 (0–137)2

    38 (7–100)3

    27 (2–100)4

    CRP-level at symptom onset (<5 mg/l)

    8 (0–125)

    23 (0–199)

    50 (0–178)

    1Number with renal involvement was 42: IgA vasculitis 23/43, ANCA-associated vasculitides 15/17 and Takayasu's arteritis 4/6

    2n = 27

    3n < 3

    4n = 5

    The longest delay between disease onset and diagnosis occurred for ANCA-associated vasculitis (Table 1). Median follow-up at Oslo University Hospital, Rikshospitalet, for all types of vasculitis was two months (range 0–105 months).

    Renal involvement. Renal involvement was demonstrated in 42 of 66 patients over the course of the disease – IgA vasculitis 23/43, ANCA-associated vasculitis 15/17 and Takayasu's arteritis 4/6. Thirty-nine patients had existing renal involvement upon first contact with the hospital.

    Proteinuria. Sixty-four patients were tested with urine dipsticks upon admission: 34/64 had proteinuria ≥ 2+ on urine dipsticks and 24/64 had both proteinuria and haematuria. The protein-creatinine ratio was measured in 36 patients upon admission, with the median found to be 115 mg/mmol (range 1–4 976 mg/mmol). Eight patients had either a normal protein–creatinine ratio or microalbuminuria, 17 had proteinuria and 11 had nephrotic proteinuria.

    Estimated glomerular filtration rate. Median eGFR was 123 ml/min/1.73 m2 (range 12–181 ml/min/1.73 m2) upon admission. Two patients had severe kidney disease.

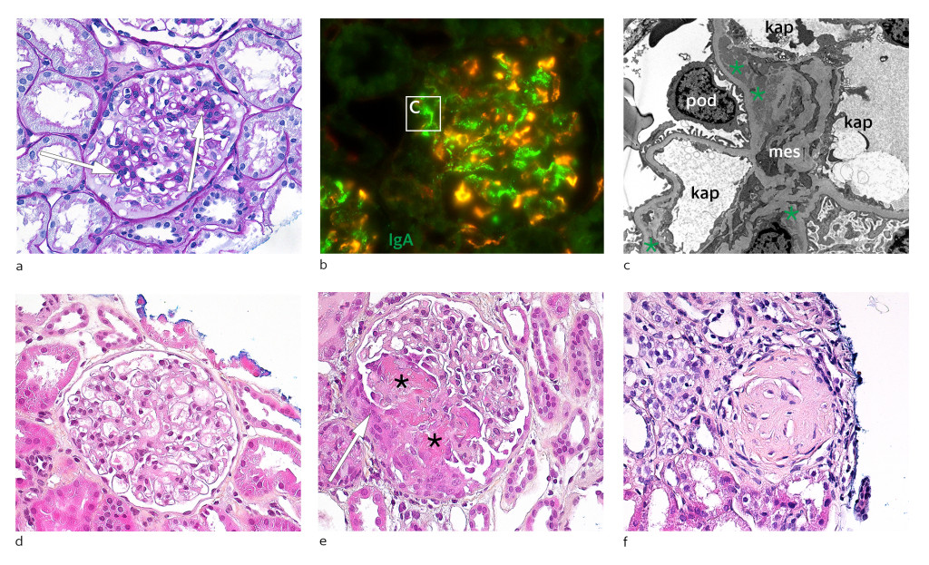
    Renal biopsies. A total of 35 renal biopsies were taken from 29 of the patients, specifically from 15 of the 43 patients with IgA vasculitis, and 14 of the 17 patients with ANCA-associated vasculitis. The renal biopsies from those with IgA vasculitis showed features consistent with IgA nephropathy: increased mesangial cellularity (mesangioproliferative glomerulonephritis) with IgA deposits and corresponding mesangial electron-dense deposits on immunofluorescence and electron microscopy (Fig. 1a-c).

    Figure 1 a-c ) IgA vasculitis. d-f) ANCA-associated vasculitis. a) Mesangioproliferative glomerulonephritis with increased…
    Figure 1 a-c ) IgA vasculitis. d-f) ANCA-associated vasculitis. a) Mesangioproliferative glomerulonephritis with increased mesangial cellularity (arrows). b) IgA-deposits revealed by immunofluorescence (coloured green). c) Mesangial electron-dense deposits revealed by electron microscopy (asterisks). d) Normal glomerulus. e) Glomerulus with crescent (arrow) and fibrinoid necrosis (asterisks). f) Sclerotic glomerulus (kap = capillary lumen, mes = mesangium, pod = podocyte)

    Biopsies from the patients with ANCA-associated vasculitis showed glomerulonephritis with crescents or fibrinoid necrosis without an increase in cellularity or immunodeposition (Fig. 1d-e). Twenty-five per cent of the biopsies from patients with ANCA-associated vasculitis showed nephron loss > 10 % in the form of sclerotic glomeruli, whereas none of the patients with IgA-vasculitis had such changes (Fig. 1f).

    The three patients who developed renal failure necessitating renal transplantation all had ANCA-associated vasculitis of the type granulomatosis with polyangiitis. This subgroup also had the highest proportion of crescents/necroses, indicating high disease activity (Fig. 2).

    Figure 2 Percentage of glomeruli with active lesions (crescents/necroses). Each point represents a biopsy from a patient,…
    Figure 2 Percentage of glomeruli with active lesions (crescents/necroses). Each point represents a biopsy from a patient, the column shows the median. Three patients developed renal failure and required subsequent renal transplantation (red circle)

    Extrarenal symptoms and signs. The predominant symptoms and signs upon admission were skin involvement with purpura (55 patients), muscle and joint pain (44 patients), oedema (39 patients) and gastrointestinal involvement (39/66 patients) (Table 2). Respiratory tract involvement was found in 27 patients upon admission and most frequently affected those with ANCA-associated vasculitis (16 of 17 patients).

    Table 2

    Overview of number and proportion of patients – number (%) – with extrarenal symptoms and signs upon first contact with Oslo University Hospital, Rikshospitalet

    IgA vasculitis

    ANCA-associated vasculitis

    Takayasu's arteritis

    n = 43

    n = 17

    n = 6

    Systemic symptoms

    Impaired general condition

    16 (37)

    9 (53)

    3 (50)

    Fever

    19 (44)

    11 (65)

    3 (50)

    Weight loss

    4 (9)

    6 (35)

    2 (33)

    Oedema

    36 (84)

    3 (18)

    0

    Hypertension

    20 (50)1

    9 (53)

    3 (50)

    Skin and mucosal symptoms

    41 (95)

    12 (71)

    2 (33)

    Muscle and joint symptoms

    30 (70)

    12 (71)

    2 (33)

    Gastrointestinal involvement

    31 (72)

    5 (29)

    3 (50)

    1n = 40

    Treatment. Treatment was administered in accordance with recommendations for each diagnostic subgroup (Table 3).

    Table 3

    Overview of the number of patients (n) that received treatment over the course of the disease

    IgA vasculitis

    ANCA-associated vasculitis

    Takayasu's arteritis

    n = 43

    n = 17

    n = 6

    Steroids1

    23

    17

    6

    Chemotherapy2

    3

    16

    5

    Immunosuppressive therapy3

    3

    12

    < 3

    Other treatment4

    0

    8

    0

    Extracorporeal therapy5

    0

    4

    0

    Renal transplantation

    0

    3

    0

    1Prednisolone, methylprednisolone

    2Cyclophosphamide, methotrexate

    3Azathioprine, mycophenolate, cyclosporine

    4Rituximab

    5Plasmapheresis, dialysis

    Kidney-related outcomes. Twenty-nine of the 42 patients with renal involvement achieved remission. At the last check-up, 18 were still taking immunosuppressive or antihypertensive medications. Thirteen patients had persistent proteinuria requiring treatment. Four patients developed chronic renal failure, three of whom underwent renal transplantation.

    Discussion

    Discussion

    IgA vasculitis is the most common type of vasculitis in children in Europe (1) and was also the most prevalent in our dataset. ANCA-associated vasculitis is generally a rare condition, but the high prevalence in our study may reflect the fact that Oslo University Hospital, Rikshospitalet, has a selected patient population. In common with other studies, the median age of onset in our study was the early teenage years for ANCA-associated vasculitis and Takayasu's arteritis, and early school-age for IgA vasculitis (8, 9).

    Renal involvement is common in all of the types of systemic vasculitis examined in our study. Effective treatment for this potentially serious condition must begin as early as possible to prevent further progression of kidney disease (10).

    The delay between symptom onset and diagnosis was shortest for IgA vasculitis. This is probably because this condition is more common and more easily recognisable owing to its characteristic clinical picture with purpura, abdominal pain and joint pain. IgA vasculitis can be aggressive, and nephritis with severe proteinuria indicates a poorer prognosis with respect to the development of chronic renal failure (1, 11). None of the patients with IgA vasculitis in our study developed chronic renal failure, but nephritis may occur up to several months after symptom onset. Patients therefore require regular follow-up until they are fully recovered.

    As in other studies, renal involvement was common in patients with ANCA-associated vasculitis, and none of these patients had achieved treatment-free remission by their last check-up (12, 13). Renal biopsies showed high levels of disease activity with crescents and necroses as signs of acute glomerular disease; if left untreated, this would lead to glomerulosclerosis and eventually nephron loss. Several patients had had symptoms for a long time prior to diagnosis, and their renal biopsies showed high disease activity.

    The prevalence of hypertension in cases of Takayasu's arteritis was lower in our dataset than in other studies (2, 9). Takayasu's arteritis can have high mortality, and long-term prognosis depends on which vessels are affected and the severity of the hypertension (9).

    Methodological considerations

    A weakness of this study is that it is based on a selected patient population from a regional hospital with overall responsibility for the treatment of children with vasculitis and renal involvement in Southern and Eastern Norway, and nationwide responsibility for the management of challenging cases. The patients in this study may therefore have more serious disease and more frequent renal involvement than is otherwise typical.

    This is a retrospective study based on a review of medical records, which may be affected by the treating doctor's interpretation and tentative diagnosis. Moreover, there may be a degree of uncertainty in relation to certain variables based on anamnestic information from the patient, guardian or referring doctor, such as time of disease onset. For other variables, such as vital markers, there was limited information available at the final check-up. However, it is unlikely that important findings would have been omitted.

    A strength of the study is the high percentage of patients that underwent renal biopsy. A liberal indication for biopsies allows renal involvement to be confirmed even with limited evidence from laboratory tests, ensuring that classification and further treatment are correct (14).

    Comments  ( 0 )
    PDF
    Print

    Recent Articles