Nyreaffeksjon ved systemisk vaskulitt hos barn

    ()

    sporsmal_grey_rgb
    Abstract
    BAKGRUNN

    BAKGRUNN

    Primær systemisk vaskulitt hos barn er en sjelden tilstand, som ofte har et gradvis progredierende forløp med diffust symptombilde og derfor er lett å overse. Tidlig igangsatt behandling kan forhindre alvorlig nyreskade. Målet med denne studien var å kartlegge omfanget av nyreaffeksjon hos barn med systemisk vaskulitt ved Oslo universitetssykehus, Rikshospitalet.

    MATERIALE OG METODE

    MATERIALE OG METODE

    Vi har gjort en observasjonell retrospektiv studie der journalnotater, laboratoriesvar og nyrebiopsier fra første innleggelse til siste kontroll ved Oslo universitetssykehus, Rikshospitalet, i perioden 2000 – 14 ble gjennomgått.

    RESULTATER

    RESULTATER

    66 barn (35 gutter) under 18 år ble behandlet for primær systemisk vaskulitt ved sykehuset i perioden. Objektive funn på nyreaffeksjon ble funnet hos 39 (59 %) ved første konsultasjon og hos 42 (64 %) under sykdomsforløpet. 29 pasienter (44 %) ble nyrebiopsert. Hos 12 av de 41 pasientene med påvist nyreaffeksjon som var i live ved siste kontroll var denne fortsatt behandlingskrevende. Tre pasienter hadde gjennomgått nyretransplantasjon, 18 var i remisjon med immunsuppressiv eller antihypertensiv behandling, mens nyreaffeksjonen var i remisjon uten medisinering hos 11 pasienter.

    FORTOLKNING

    FORTOLKNING

    Forekomsten av nyreaffeksjon ved systemisk vaskulitt hos barn behandlet ved Oslo universitetssykehus, Rikshospitalet, er høy. Ved siste kontroll har majoriteten vedvarende behov for behandling og oppfølging av nyresykdommen.

    Main findings

    HOVEDBUDSKAP

    I alt 66 barn ble behandlet for primær systemisk vaskulitt ved Oslo universitetssykehus, Rikshospitalet, i perioden 2000 – 14

    Omkring to tredeler av pasientene hadde affeksjon av nyrene

    De fleste av disse oppnådde remisjon, men tre pasienter måtte nyretransplanteres

    Artikkel
    Innledning

    Primær systemisk vaskulitt, der inflammasjon i karveggen rammer flere organsystemer, er en sjelden tilstand hos barn. Tilstanden deles inn i undergrupper avhengig av det kliniske bildet og hvilke kar som er rammet. IgA-vaskulitt (tidligere kalt Henoch-Schönleins purpura) er den hyppigst forekommende, etterfulgt av Kawasakis sykdom, antinøytrofile cytoplasmiske antistoffer (ANCA)-assosiert vaskulitt (granulomatøs polyangitt, tidligere kalt Wegeners granulomatose, og mikroskopisk polyangitt), Takayasus arteritt og polyarteritis nodosa (1).

    IgA-vaskulitt er vanligvis lett å identifisere, på grunn av et typisk utslett, mens det ved andre typer systemisk vaskulitt kan være vanskeligere, grunnet et gradvis progredierende forløp med diffuse symptomer som tretthet, vekttap og muskel- og leddsmerter.

    De renale manifestasjonene avhenger av størrelsen på karene som er rammet. Ved småkarsykdom, som ANCA-assosiert vaskulitt, får pasienten ofte et symptombilde med nefritt eller hurtig progredierende nyresvikt, mens det ved mellomkar- og storkarvaskulitt, som Takayasus arteritt, ses renal iskemi og hypertensjon (1). Grad av nyreaffeksjon er en viktig faktor for langtidsprognosen (2). Systemisk vaskulitt bør være en differensialdiagnose ved flerorgansykdom, slik at en eventuell nyreskade oppdages tidlig og effektiv behandling kan settes i gang.

    Det finnes ingen oversikt over norske barn med primær systemisk vaskulitt. Målet med denne studien var å kartlegge antall barn med primær systemisk vaskulitt, graden av nyreaffeksjon samt utfall hos barn innlagt i Oslo universitetssykehus, Rikshospitalet.

    Materiale og metode

    Materiale og metode

    Dette er en retrospektiv gjennomgang av journalene til pasienter under 18 år med primær systemisk vaskulitt i perioden januar 2000–desember 2014 behandlet ved Barneklinikken og Barnerevmatologisk enhet ved Revmatologisk avdeling, Oslo universitetssykehus, Rikshospitalet.

    Pasienter med IgA-vaskulitt (D69.0), granulomatøs polyangitt (M31.3), mikroskopisk polyangitt (M31.7), Takayasus arteritt (M31.4), polyarteritis nodosa (M30.0) og andre uspesifiserte vaskulitter (M31.8 og M31.9) ble identifisert i journalarkivet med hjelp fra Avdeling for aktivitetsdata og analyse, Oslo universitetssykehus. Kawasakis sykdom gir ikke nyreskade og er derfor utelatt.

    Totalt ble 75 journaler gransket. Ni ble ekskludert – på grunn av feilkoding (n = 6), manglende journal (n = 2) og overføring til voksenrevmatologisk avdeling (n = 1). Av de resterende 66 ble journalnotater, kurveark, nyrebiopsisvar og laboratoriesvar fra første til siste innleggelse/polikliniske konsultasjon gjennomgått med henblikk på kjønn, alder, renale og ekstrarenale manifestasjoner, behandling og utfall. Studien er godkjent av personvernombudet ved Oslo universitetssykehus.

    De vanligste symptomer og funn fra hud, luftveier, gastrointestinaltractus, muskel og skjelett ble registrert som til stede eller ikke til stede/ikke nevnt, ut fra klassifikasjonskriteriene til revmatologiorganisasjonene EULAR/PRINTO/PRES (3). Vitale markører og behandling gitt i løpet av sykdomsforløpet ble notert.

    Sykdomsdebut ble definert som første gang et symptom/funn ble observert av pasient/foresatt eller henvisende lege. Tid fra sykdomsdebut til diagnosetidspunkt ble notert. Oppfølgingstid ble definert som tid fra første til siste konsultasjon ved vårt sykehus.

    Nyreaffeksjon ble i denne studien definert som forekomsten av to eller flere av følgende fem kriterier: proteinuri ≥ 2+ på urinstiks, protein-kreatinin-ratio ≥ 30 mg/mmol, redusert nyrefunksjon definert som estimert glomerulær filtrasjonsrate (eGFR) < 90 ml/min/1,73 m2, funn på urinmikroskopi med hematuri og sylindruri eller hypertensjon (4, 5). Kronisk nyreskade ble definert som en eGFR-verdi < 60 ml/min/1,73 m2 i tre måneder eller lenger, mens en eGFR-verdi på < 30 ml/min/1,73 m2 ble definert som alvorlig nyreskade (6). Remisjon av nyreaffeksjon betegnes som fravær av objektive tegn på nyreskade.

    Behandlingstrengende proteinuri ble vurdert etter medisinsk skjønn av behandlende lege. Proteinuri ble gradert med protein-kreatinin-ratio, hvor mikroalbuminuri er definert som en protein-kreatinin-ratio i området 3 – 30 mg/mmol, proteinuri 30 – 300 mg/mmol og nefrotisk proteinuri > 300 mg/mmol (7).

    Lysmikroskopi, immunfluorescens og elektronmikroskopi fra alle biopsiene ble gjennomgått på nytt.

    Resultater

    Resultater

    Kjønn, alder, tid fra sykdomsdebut til diagnose og oppfølgingstid. 66 pasienter med primær systemisk vaskulitt ble identifisert, hvorav 35 (53 %) var gutter. IgA-vaskulitt utgjorde majoriteten (43/66), mens 17 hadde ANCA-assosiert vaskulitt (14 granulomatøs polyangitt og tre mikroskopisk polyangitt) og seks Takayasus arteritt. Ingen hadde polyarteritis nodosa (tab 1).

    Tabell 1

    Karakteristika og utvalgte kliniske markører hos 66 pasienter med systemisk vaskulitt innlagt ved Oslo universitetssykehus, Rikshospitalet, i årene 2000 – 14. Verdier oppgitt som medianer med variasjonsbredde i parentes

    IgA-vaskulitt

    ANCA-assosierte vaskulitter

    Takayasus arteritt

    n = 43

    n = 17

    n = 6

    Kjønn: gutter/jenter

    25/18

    8/9

    2/4

    Alder ved sykdomsdebut (år)

    6,7

    13,5

    14,5

    (0,2 – 14,7)

    (1,7 – 17,1)

    (0,4 – 15,6)

    Alder ved diagnose (år)

    6,7

    14

    14,8

    (0,6 – 14,9)

    (2,3 – 17,3)

    (0,5 – 17,3)

    Alder ved manifest nyreaffeksjon (år)1

    7,4

    14,1

    14,7

    (0,3 – 14,8)

    (3,0 – 17,3)

    (0,5 – 15,5)

    Tid fra symptomdebut til diagnose (md.)

    0

    6

    3,6

    (0,0 – 7,2)

    (0,0 – 39,6)

    (0,0 – 6,0)

    SR-nivå ved debut (<10 mm/t)

    20 (0 – 137)2

    38 (7 – 100)3

    27 (2 – 100)4

    CRP-nivå ved debut (<5 mg/l)

    8 (0 – 125)

    23 (0 – 199)

    50 (0 – 178)

    1Antall med nyreaffeksjon var 42: IgA-vaskulitt 23/43, ANCA-assosierte vaskulitter 15/17 og Takayasus arteritt 4/6

    2n = 27

    3n < 3

    4n = 5

    Ved ANCA-assosiert vaskulitt gikk det lengst tid fra sykdomsdebut til diagnose (tab 1). Median oppfølgingstid ved Oslo universitetssykehus, Rikshospitalet, for alle vaskulittyper var to måneder (variasjonsbredde 0 – 105 md.).

    Nyreaffeksjon. 42 av 66 pasienter fikk påvist nyreaffeksjon i sykdomsforløpet – IgA-vaskulitt 23/43, ANCA-assosiert vaskulitt 15/17 og Takayasus arteritt 4/6. 39 pasienter hadde nyreaffeksjon allerede ved første kontakt med sykehuset.

    Proteinuri. Det ble tatt urinstiks av 64 pasienter ved innkomst, og 34/64 hadde proteinuri ≥ 2+ på urinstiks og 24/64 pasienter både proteinuri og hematuri. Protein-kreatinin-ratio ble målt hos 36 pasienter ved innkomst. Median protein-kreatinin-ratio var 115 mg/mmol (variasjonsbredde 1 – 4 976 mg/mmol). Åtte pasienter hadde enten normal protein-kreatinin-ratio eller mikroalbuminuri, 17 hadde proteinuri og 11 nefrotisk proteinuri.

    Estimert glomerulær filtrasjonsrate. Medianverdi for eGFR var 123 ml/min/1,73 m2 (variasjonsbredde 12 – 181 ml/min/1,73 m2) ved innkomst. To pasienter hadde alvorlig nyreskade.

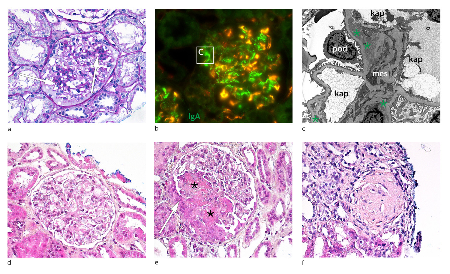
    Nyrebiopsier. Det ble foretatt totalt 35 nyrebiopsier fra 29 av pasientene – fra 15 av de 43 pasientene med IgA-vaskulitt og fra 14 av de 17 pasientene med ANCA-assosiert vaskulitt. Nyrebiopsiene fra dem med IgA-vaskulitt viste typisk bilde for IgA-nefropati – økt mengde celler i mesangiumområdene (mesangioproliferativ glomerulonefritt) med nedslag av IgA og tilsvarende mesangiale elektrontette nedslag ved immunfluorescens og elektronmikroskopi (fig 1a-c).

    Biopsier fra pasientene med ANCA-assosiert vaskulitt viste glomerulonefritt med halvmåner eller fibrinoide nekroser uten celleøkning eller immunnedslag (fig 1d-e). 25 % av biopsiene fra pasienter med ANCA-assosiert vaskulitt viste nefrontap > 10 % i form av skleroserte glomeruli, mens ingen fra pasientene med IgA-vaskulitt hadde slike forandringer (fig 1f).

    De tre pasientene som utviklet nyresvikt med påfølgende nyretransplantasjon hadde alle ANCA-assosiert vaskulitt av typen granulomatøs polyangitt. Det var også denne subgruppen som hadde høyeste andel halvmåner/nekroser, som tegn på høy sykdomsaktivitet (fig 2).

    Ekstrarenale symptomer og funn. De dominerende symptomer og funn ved innkomst var hudaffeksjon med purpura (55 pasienter), muskel- og leddsmerter (44 pasienter), ødemer (39 pasienter) og gastrointestinal affeksjon (39/66 pasienter) (tab 2). Luftveisaffeksjon forekom hos 27 pasienter ved innkomst og var hyppigst ved ANCA-assosiert vaskulitt (16 av17 pasienter).

    Tabell 2

    Oversikt over antall og andel pasienter – antall (%) – med ekstrarenale symptomer og funn ved første kontakt med Oslo universitetssykehus, Rikshospitalet

    IgA-vaskulitt

    ANCA-assosierte vaskulitter

    Takayasus arteritt

    n = 43

    n = 17

    n = 6

    Systemiske symptomer

    Redusert allmenntilstand

    16 (37)

    9 (53)

    3 (50)

    Feber

    19 (44)

    11 (65)

    3 (50)

    Vekttap

    4 (9)

    6 (35)

    2 (33)

    Ødemer

    36 (84)

    3 (18)

    0

    Hypertensjon

    20 (50)1

    9 (53)

    3 (50)

    Hud- og slimhinnesymptomer

    41 (95)

    12 (71)

    2 (33)

    Muskel- og leddsmerter

    30 (70)

    12 (71)

    2 (33)

    Gastrointestinal affeksjon

    31 (72)

    5 (29)

    3 (50)

    1n = 40

    Behandling. Behandling ble gitt i henhold til diagnosegrupper og anbefalinger (tab 3).

    Tabell 3

    Oversikt over antall pasienter (n) som fikk behandling i løpet av sykdomsforløpet

    IgA-vaskulitt

    ANCA-assosiert vaskulitt

    Takayasus arteritt

    n = 43

    n = 17

    n = 6

    Steroider1

    23

    17

    6

    Cytostatika2

    3

    16

    5

    Immunsuppressiv behandling3

    3

    12

    < 3

    Annen behandling4

    0

    8

    0

    Ekstrakorporeal behandling5

    0

    4

    0

    Nyretransplantasjon

    0

    3

    0

    1Prednisolon, metylprednisolon

    2Syklofosfamid, metotreksat

    3Azatioprin, mykofenolat, ciklosporin

    4Rituksimab

    5Plasmaferese, dialyse

    Nyrerelatert utfall. 29 av de 42 pasientene med nyreaffeksjon oppnådde remisjon. Ved siste kontroll brukte 18 fortsatt immunsuppressiver eller antihypertensiver. 13 pasienter hadde vedvarende behandlingstrengende proteinuri. Fire pasienter fikk kronisk nyresvikt, hvorav tre ble nyretransplantert.

    Diskusjon

    Diskusjon

    IgA-vaskulitt er den vanligste typen vaskulitt hos barn i Europa (1) og var hyppigst forekommende også i vårt materiale. ANCA-assosiert vaskulitt er i utgangspunktet en sjelden tilstand, men den høye forekomsten i vår gjennomgang kan skyldes at Oslo universitetssykehus, Rikshospitalet, har en selektert pasientpopulasjon. Som i annen litteratur var median debutalder i vår studie for ANCA-assosiert vaskulitt og Takayasus arteritt i tidlig tenårene, for IgA-vaskulitt i tidlig skolealder (8, 9).

    Nyreaffeksjon er vanlig ved alle typer systemisk vaskulitt som er undersøkt i vår studie. Det er en potensielt alvorlig tilstand, der effektiv behandling må starte så tidlig som mulig for å hindre videre progrediering av nyreskaden (10).

    Tiden fra symptomdebut til diagnose var kortest for IgA-vaskulitt. Dette skyldes nok i hovedsak at tilstanden er vanligere og lettere å gjenkjenne på grunn av det typiske kliniske bildet med purpura, magesmerter og leddsmerter. IgA-vaskulitt kan være aggressiv, og nefritt med høygradig proteinuri indikerer dårligere prognose med tanke på utvikling av kronisk nyresvikt (1, 11). Ingen av pasientene med IgA-vaskulitt i vår studie utviklet kronisk nyresvikt, men nefritt kan oppstå opptil flere måneder etter første symptom. Pasientene trenger derfor regelmessig oppfølging til de er helt friske.

    Som i annen litteratur var forekomsten av nyreaffeksjon hos pasienter med ANCA-assosiert vaskulitt høy, og ingen av disse var i remisjon uten behandling ved siste kontroll (12, 13). Nyrebiopsiene viste høy sykdomsaktivitet med halvmåner og nekroser som tegn på akutt glomerulær skade, noe som ubehandlet vil føre til glomerulosklerose og etter hvert nefrontap. Flere pasienter gikk lenge med symptomer før diagnosen ble satt, og nyrebiopsiene viste høy sykdomsaktivitet.

    Forekomsten av hypertensjon ved Takayasus arteritt var lavere i vårt materiale enn i noen andre studier (2, 9). Takayasus arteritt kan ha høy mortalitet, og langtidsprognosen avhenger av hvilke kar som er påvirket samt graden av hypertensjon (9).

    Metodologiske betraktninger

    Metodologiske betraktninger

    En svakhet ved denne studien er at den er basert på et selektert pasientmateriale fra et regionsykehus med sentral funksjon for Sør- og Østlandet for barn med vaskulitt og nyreaffeksjon og landsdekkende funksjon ved tilfeller som er vanskelige å behandle. Pasientene kan derfor ha et mer alvorlig sykdomsbilde og oftere nyreaffeksjon enn ellers.

    Dette er en retrospektiv studie basert på journalnotater som kan være påvirket av den behandlende legens tolkning og tentative diagnose. Dessuten kan enkelte variabler basert på anamnestiske opplysninger fra pasient, foresatt eller henvisende lege, for eksempel sykdomsdebut, være beheftet med en del usikkerhet. For enkelte variabler, som for eksempel vitale markører, var det begrenset dokumentasjon ved siste kontroll. Det er imidlertid usannsynlig at viktige funn ikke ville vært nevnt.

    En styrke ved studien er den høye andelen nyrebiopsierte pasienter. En liberal biopsiindikasjon kan sikre diagnostikk av nyreforandringer selv ved sparsomme laboratoriefunn, slik at klassifiseringen og den videre behandling blir korrekt (14).

    Kommentarer  ( 0 )
    PDF
    Skriv ut

    Anbefalte artikler