Pneumoparotitis

    ()

    sporsmal_grey_rgb
    Article

    A girl of primary school age was hospitalised with a suspected acute soft tissue infection in the left side of her face. She had been generally healthy previously.

    Upon admission, swelling, pain on palpation, and redness of the skin in the left parotid region and around the left eye were found. An ultrasound examination was performed to assess the formation of an abscess, and this showed artefacts consistent with air. The patient was in good general condition and afebrile. CRP and leukocytes were negative, but antibiotic treatment was nevertheless initiated due to the possibility of severe localised soft tissue infection.

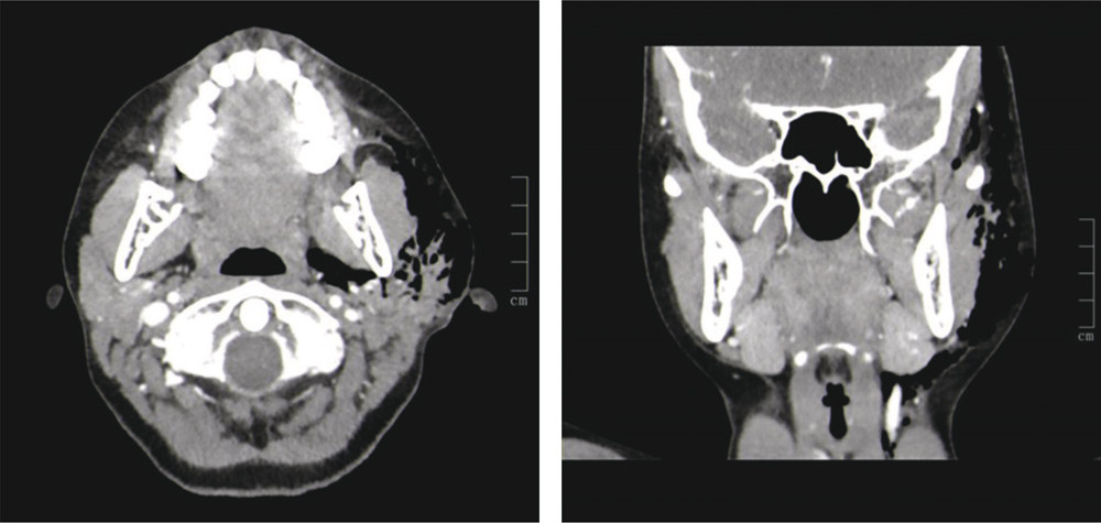
    A CT scan with intravenous contrast was performed, since rapidly developing necrotising fasciitis was suspected due to the ultrasound finding. This showed pronounced emphysema throughout the left side of the face, but no sign of inflammation or abscess formation (photos – axial and coronal plane, air seen in black). The patient had increasing pain, swelling and redness the next day and was examined under anaesthetic with puncture, aspiration and probing of the parotid duct, without findings of anything pathological apart from air. This was amenable to aspiration, and the swelling was rapidly reduced. The girl spontaneously improved the following day and antibiotic treatment was discontinued. The condition was considered to be pneumoparotitis. She has since experienced several recurrences, from which she has spontaneously recovered.

    Pneumoparotitis often occurs spontaneously and is a recurring and self-limiting condition typically seen in glassblowers and children with mental disorders (1). The theory is that the patient overcomes the pressure gradient leading to the parotid duct, air is captured in the parotid gland and diffuses into subcutaneous tissue (2). A few days before the day in question, our patient had spent much time blowing on a paper trumpet and sucking on water bottles. The recurrences had no obvious triggering factors. The condition is benign, but may predispose to sialectasis, parotitis and emphysema. Treatment consists of eliminating triggering factors. A last resort would be surgical closure of the parotid duct to prevent relapse (2).

    The patient has given her consent to the publication of this article.

    Comments  ( 0 )
    PDF
    Print

    Recent Articles