Bilateral carotid artery dissection

    ()

    sporsmal_grey_rgb
    Article

    A healthy and physically active man in his fifties went to see an ophthalmologist after experiencing during a skiing trip episodes of flickering and a feeling of pressure in his right eye, and transient tinnitus in his left ear. The week before this occurred, he had had a cold with intense coughing fits. Examination revealed a swollen eyelid and miosis of the right eye. The patient was admitted to the neurological department for further assessment.

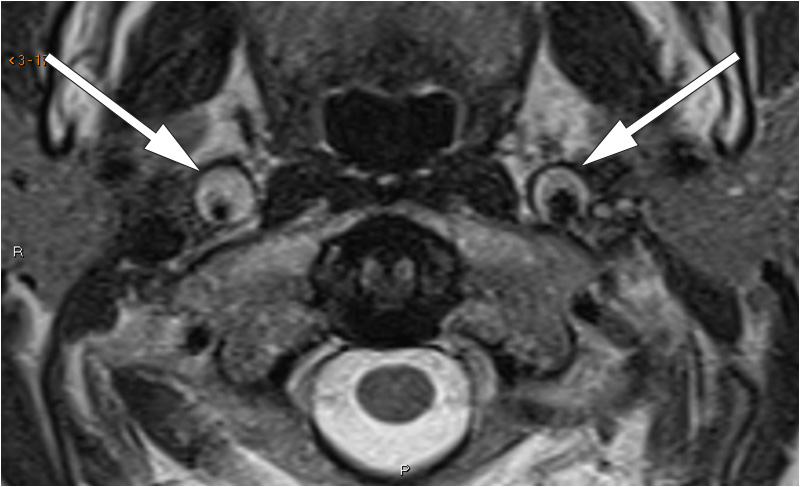
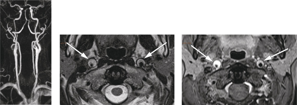
    The neurological workup revealed Horner’s syndrome. CT angiography showed thickening of the walls of both internal carotid arteries, most pronounced on the right, from just above the bifurcation to the base of the skull. MR angiography and T2-weighted images confirmed bilateral carotid artery dissection, with a minimal lumen diameter of 2 mm on the right side (images to left and centre). Fat-suppressed T1-weighted images (right) showed high signal intensity in the arterial walls, consistent with intramural haematomas.

    The coughing fits in combination with physical activity were considered to be the likely cause of the dissection. The risk of ischaemic stroke was considered high, and the patient was treated with aspirin 75 mg and clopidogrel 75 mg for four months, followed by aspirin monotherapy for two months. Treatment was discontinued when MRI showed complete normalisation of the cervical arteries. The patient was asymptomatic apart from slight anisocoria.

    The annual incidence of carotid artery dissection is said to be 1.7 per 100 000 (1). Bilateral dissection occurs less frequently. Dissection can lead to stroke or TIA. The patient often has localised pain in the throat or headache (60 – 90 % of cases) and Horner’s syndrome (approx. 25 % of cases) (1). The most common causes of dissection are minor trauma (40 %) or mechanical triggers in connection with physical activity (2). Early radiological diagnosis with CT or MR angiography and treatment with antiplatelets or anticoagulants are important to prevent stroke. Anticoagulants have not been shown to be superior to antiplatelets (3).

    The patient has consented to the publication of the article.

    Comments  ( 0 )
    PDF
    Print

    Recent Articles