Foreign body in coronary vessel

    ()

    sporsmal_grey_rgb
    Article

    A woman in her ‘60s suffered a cardiac infarct, and was treated by insertion of three drug-eluting stents into the coronary vessels. The procedure was without complications. However, the patient died unexpectedly five days after discharge. Autopsy revealed thrombotic occlusion at the site of one of the stents, which was deemed to be the most probable cause of death.

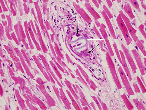
    Microscopic examination of the cardiac muscle revealed a number of small intramural branches of the coronary arteries occluded by basophilic foreign body material, as shown by the arrows in the picture. In most of the affected vessels, multinucleated giant cells were visible round the material (black arrows). In some vessels there was also a more widespread inflammatory response with lymphocytes and plasma cells round the multinucleated giant cells. The finding was consistent with hydrophilic polymer gel emboli (1, 2).

    Polymer coatings are used on various intravascular instruments, including catheters and drug-eluting stents, among other things to make manipulation easier; it is also assumed to reduce the risk of complications (1). The use of polymer coatings is not without risk, however, as they can loosen and give rise to emboli. There have been descriptions of findings of polymer gel emboli in a number of different organs (1, 3), which may lead to serious complications such as pulmonary infarction, stroke, arrhythmia and even death (1). Polymer gel emboli in small intramural branches of the coronary arteries are a rare complication, but are also described in the literature (4). Although the stent thrombosis was deemed to be the immediate cause of death in our patient, in our view the foreign body emboli should not be excluded as a possible contributory factor.

    The patient’s relatives have given their consent to the publication of this article. We should like to thank Helge Scott, senior consultant at the Department of Pathology, Oslo University Hospital, for analysing the sample, and Tore Bøhmer Halvorsen, retired senior consultant pathologist at St. Olavs Hospital, for his valuable comments.

    Comments  ( 0 )
    PDF
    Print

    Recent Articles