Fremmedlegeme i koronarkar

    ()

    sporsmal_grey_rgb
    Artikkel

    En kvinne i 60-årene gjennomgikk et hjerteinfarkt, og ble behandlet med innsettelse av tre medikamentavgivende stenter i koronarkarene. Inngrepet forløp ukomplisert. Hun døde imidlertid uventet fem dager etter utskrivning. Ved obduksjon ble det funnet en okkluderende trombe i en av stentene og dette ble ansett som sannsynlig dødsårsak.

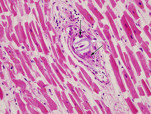
    Ved mikroskopisk undersøkelse av hjertemuskulaturen fant man flere små intramurale arteriegrener okkludert av et basofilt fremmedlegememateriale slik pilen på bildet viser. I de fleste affiserte karene var det flerkjernede kjempeceller rundt materialet (svarte piler). I noen kar var det også en mer utbredt betennelsesreaksjon med lymfocytter og plasmaceller rundt de flerkjernede kjempecellene. Funnet passet med hydrofile polymergelemboluser (1, 2).

    Polymerbelegg brukes på ulike intravaskulære instrumenter, inkludert katetre og medikamentavgivende stenter, blant annet for å gjøre manipulasjon enklere, og det er antatt å bidra til å redusere komplikasjoner (1). Bruk av polymerbelegg er imidlertid ikke risikofritt, det kan løsne og gi emboluser. Det er beskrevet funn av polymergelemboluser i flere forskjellige organer (1, 3), og det kan føre til alvorlige komplikasjoner som lungeinfarkt, hjerneslag, arytmier og til og med dødsfall (1). Polymergelemboluser i små intramurale arteriegrener i hjertet er en sjelden komplikasjon, men er også beskrevet i litteraturen (4). Selv om stenttrombosen ble ansett som den umiddelbare dødsårsaken hos vår pasient, kan man etter vår oppfatning ikke se bort fra at fremmedlegemeembolusene kan ha hatt betydning.

    Pasientens pårørende har gitt samtykke til at artikkelen blir publisert. Vi takker overlege Helge Scott ved Avdeling for patologi, Oslo universitetssykehus for analysering av prøven, og Tore Bøhmer Halvorsen, pensjonert overlege i patologi ved St. Olavs hospital, for verdifulle kommentarer.

    Kommentarer  ( 0 )
    PDF
    Skriv ut

    Anbefalte artikler