Cerebral venous thrombosis with venous infarction

    ()

    sporsmal_grey_rgb
    Article

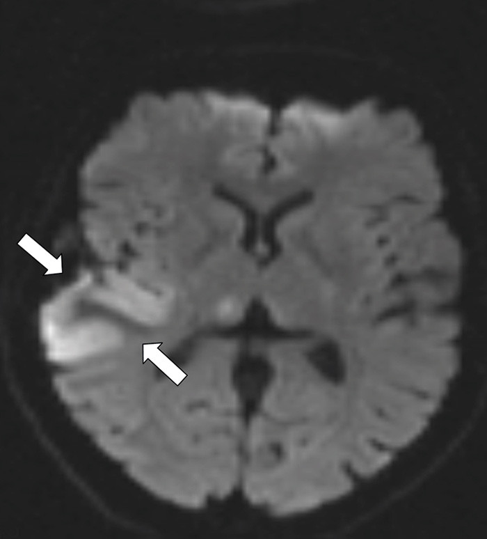
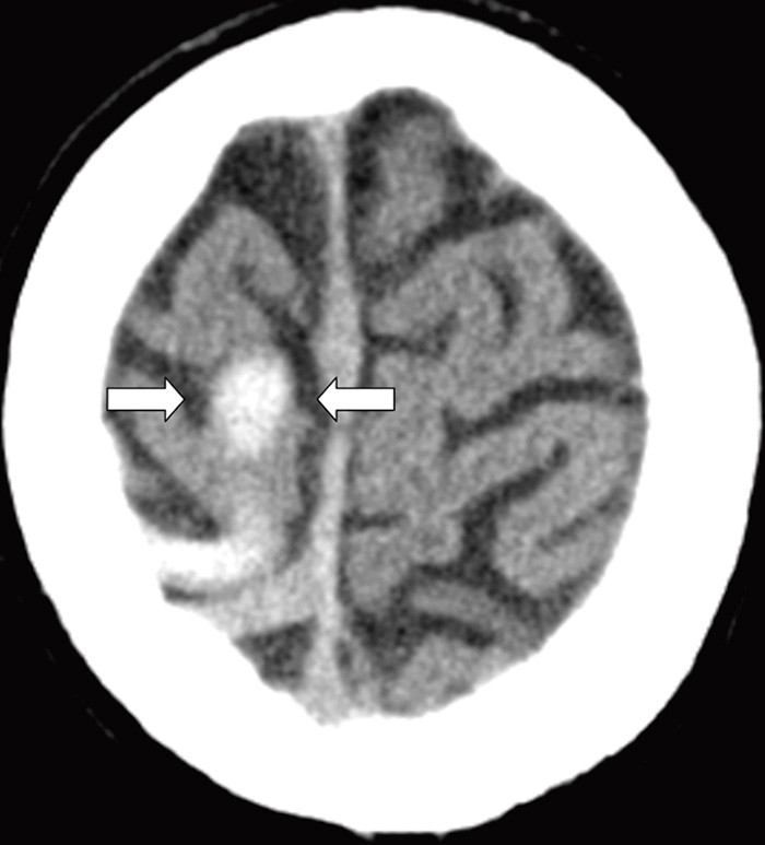
    A previously healthy woman in her 40s suffered morning headache and vomiting the day before admission. She was a non-smoker and used no medicines or hormones. On the following day she developed acute left facial paresis, left arm paresis and dysarthria. She experienced transient spasms in the left part of her face. Cerebral CT performed at the local hospital showed a high-attenuation lesion in the right temporoparietal lobe (see online version for picture). D-dimer was 0.8 mg/l (normal < 0.4). A vascular event in the right hemisphere was suspected. Cerebral MR venography at the university hospital the following day revealed an intraluminal venous thrombus corresponding to the right vein of Trolard (left picture). Diffusion-weighted cerebral MRI showed a mix of vasogenous and cytotoxic oedema in the temporoparietal region, typical of a venous infarction (right picture). Tests of thrombocoagulation system function revealed activated protein C resistance 0.66 (normal 0.85 – 1.15). The patient received anticoagulant therapy and six days later follow-up cerebral MR venography showed normalisation. She was discharged without sequelae.

    Cerebral venous thrombosis often presents with severe headache and may cause focal neurological impairment and epileptic attacks in the presence of an infarction. Activated protein C resistance predisposes for cerebral venous thrombosis, which is a rare (0.5 – 1 %) cause of cerebral infarction (1). Early diagnosis and treatment are essential for a good clinical outcome. CT and MR venography enable non-invasive visualisation of venous cerebral thrombosis with a high degree of sensitivity and specificity.

    The patient has consented to the publication of the article. One of the pictures is found only in the online issue of this journal.

    Comments  ( 0 )
    PDF
    Print

    Recent Articles