Cerebral venetrombose med venøst infarkt

    ()

    sporsmal_grey_rgb
    Artikkel

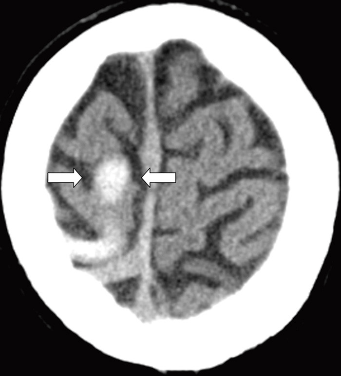
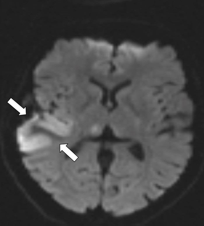
    En tidligere frisk kvinne i 40-årsalderen hadde fra dagen før innleggelsen morgenhodepine og oppkast. Hun var ikke-røyker og brukte ingen medisiner eller hormoner. Innleggelsesdagen utviklet hun akutt parese i venstre ansiktshalvdel, venstresidig armparese og dysartri. Hun hadde forbigående rykninger i venstre ansiktshalvdel. Cerebral CT utført ved lokalsykehuset viste en høyattenuerende lesjon i høyre temporoparietallapp (bilde kun på nett). D-dimer var 0,8 mg/l (normalt < 0,4). Man mistenkte vaskulær hendelse i høyre hemisfære. Cerebral MR-venografi ved universitetssykehuset dagen etter viste en intraluminal venøs fyllingsdefekt svarende til høyre vena Trolard (bildet til venstre). Diffusjonsvektet cerebral MR viste en blanding av vasogent og cytotoksisk ødem temporoparietalt, typisk for venøst infarkt (bildet til høyre). Testing av forstyrrelser i trombose-koagulasjonssystemet viste aktivert protein C-resistens 0,66 (normalt 0,85 – 1,15). Pasienten fikk antikoagulasjonsbehandling og seks dager etter initiering av antikoagulasjon var ny cerebral MR-venografi normalisert. Hun ble utskrevet uten sekvele.

    Cerebral venetrombose gir ofte hodepine, og kan gi nevrologiske utfall og epileptiske anfall ved samtidig infarktutvikling. Aktivert protein C-resistens disponerer for cerebral venetrombose, som er en sjelden (0,5 – 1 %) årsak til hjerneslag (1). Rask diagnostikk og behandling er vesentlig for prognosen. CT- og MR-venografi kan med høy sensitivitet og spesifisitet ikke-invasivt visualisere venøse cerebrale tromber.

    Pasienten har gitt tillatelse til at artikkelen blir publisert.

    Kommentarer  ( 0 )
    PDF
    Skriv ut

    Anbefalte artikler