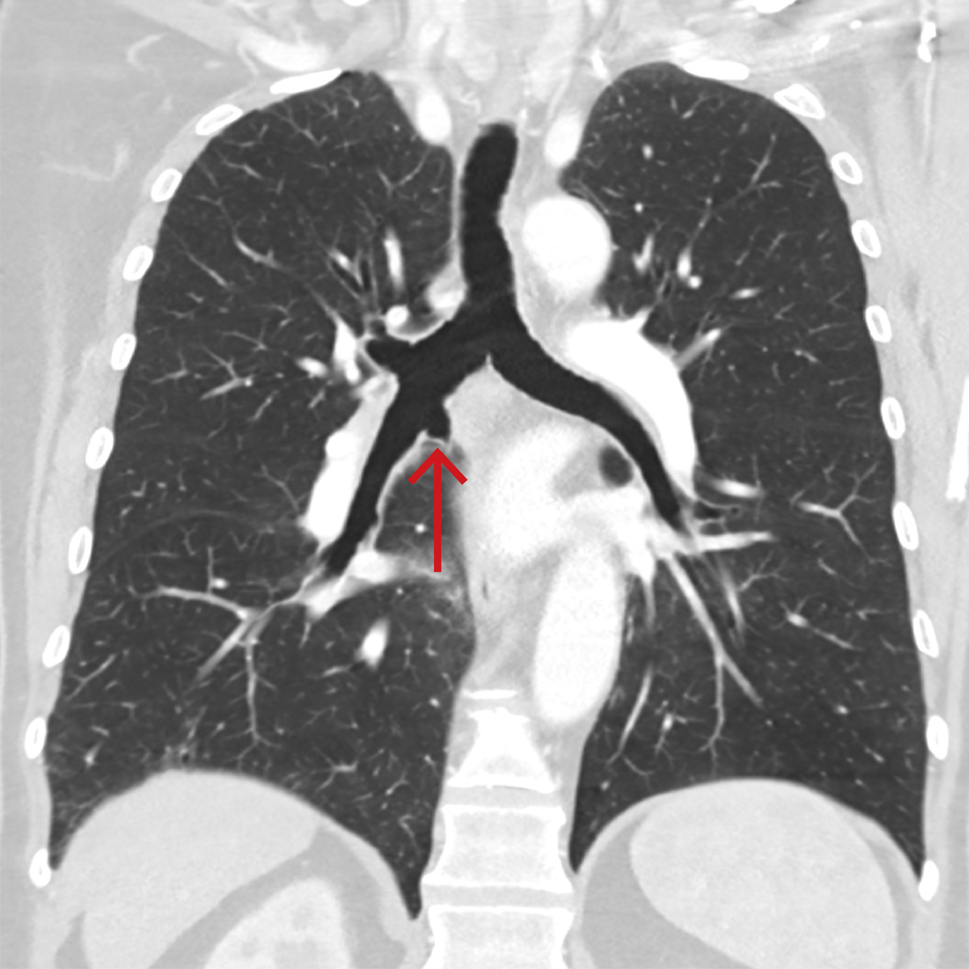
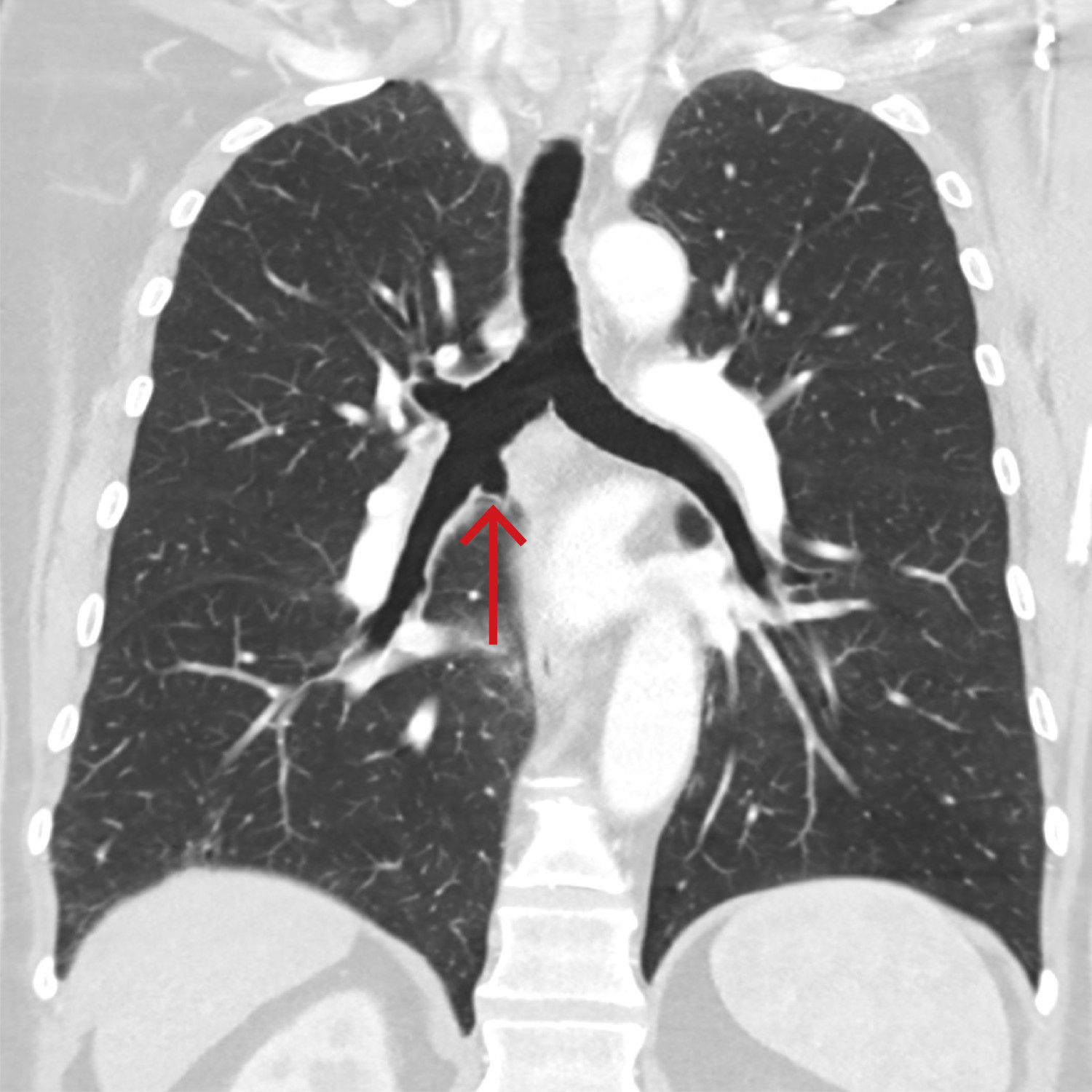
Rettelse Rettelse: Anatomisk variant i bronkialtreet Sigrid Anna Aalberg Vikjord, Even Hovig Fyllingen, Michael Krauss-Schilling Om forfatterne Se alle artikler Sigrid Anna Aalberg Vikjord Se alle artikler Even Hovig Fyllingen Se alle artikler Michael Krauss-Schilling Kommentert artikkel () sporsmal_grey_rgb Artikkel Tidsskr Nor Legeforen 2024; 144. doi: 10.4045/tidsskr.24.0383 I figuren skulle pilen være plassert her: (Rettet 20.12.2024) Relaterte artikler Anatomisk variant i bronkialtreet Kommentarer ( 0 ) Dette kommentarfeltet modereres, men kommentarer blir ikke redaksjonelt behandlet ut over å sikre at de følger retningslinjer for vårt kommentarfelt. Denne artikkelen ble publisert for mer enn 12 måneder siden, og vi har derfor stengt for nye kommentarer. Publisert: 20. desember 2024 Tidsskr Nor Legeforen 20. desember 2024 Vol. 144. doi: 10.4045/tidsskr.24.0680 Opphavsrett: ©️️ Tidsskriftet 2026 PlumX Publisert: 20. desember 2024 Tidsskr Nor Legeforen 2024 Vol. 144. doi: 10.4045/tidsskr.24.0680 Opphavsrett: ©️️ Tidsskriftet 2026 Plum Print visual indicator of research metrics PlumX Metrics PDF Får du ikke vist PDF-filen eller vil lagre filen, kan du høyreklikke på PDF-ikonet. Velg «Lagre mål/fil som..» og hent så opp PDF-filen i for eksempel Acrobat Reader. Skriv ut Anbefalte artikler