Vaskulær parkinsonisme

    ()

    sporsmal_grey_rgb
    Artikkel

    Parkinsonisme kan ha mange årsaker, inkludert cerebrovaskulær sykdom. Vaskulær parkinsonisme skyldes infarkt eller blødning i den nigrostriatale banen med påfølgende hemiparkinsonisme eller utbredt småkarsykdom i hvit substans med gradvis utvikling av bilaterale symptomer i underekstremitetene. Sammenlignet med Parkinsons sykdom har pasientene tidligere debut av gangforstyrrelser, hyppigere urininkontinens og kognitiv svikt og dårligere behandlingsrespons og prognose, men sjeldnere tremor. Vaskulær parkinsonisme er imidlertid en lite kjent og til dels omstridt diagnose grunnet uklar patofysiologi, varierende klinisk bilde og overlapp med andre sykdommer.

    Parkinsonisme er en klinisk diagnose med redusert bevegelighet i form av bradykinesi i kombinasjon med hviletremor og/eller rigiditet (1). Den vanligste årsaken er Parkinsons sykdom, men andre nevrodegenerative sykdommer som multisystematrofi, progressiv supranukleær parese og lewylegemedemens kan også gi parkinsonisme. Sekundære former inkluderer medikamentindusert og vaskulær parkinsonisme. Vaskulær parkinsonisme ble introdusert som diagnose for nærmere hundre år siden (2). Tilstanden antas å utgjøre 2,5–5 % av alle tilfeller av parkinsonisme (3), men vår erfaring er at diagnosen stilles langt sjeldnere. Vaskulær parkinsonisme har en annen klinisk presentasjon og andre billedfunn enn Parkinsons sykdom samt dårligere behandlingsrespons og prognose. Vi vil i denne kliniske oversikten redegjøre for diagnosen med utgangspunkt i ikke-systematisk litteratursøk og egen erfaring.

    Patofysiologi og klinisk bilde

    Patofysiologi og klinisk bilde

    Basalgangliene er involvert i kontroll av bevegelse, kognisjon og affektive funksjoner (4). Dopaminerge nevroner i substantia nigra påvirker basalgangliene gjennom den nigrostriatale banen. Ved Parkinsons sykdom foreligger et betydelig tap av disse dopaminerge nevronene, og dette er den viktigste årsaken til de motoriske symptomene.

    Vaskulær parkinsonisme forårsakes av ulike vaskulære forandringer i hjernen. Ved vaskulær parkinsonisme subtype 1 kan iskemiske eller hemoragiske forandringer i den nigrostriatale banen gi akutt eller subakutt debut av kontralateral hemiparkinsonisme. Subtype 2 er langt vanligere og skyldes småkarsykdom i hvit substans (5). Småkarsykdom er resultat av konvensjonelle vaskulære risikofaktorer og gir trolig avsmalning av arterioler, skade på blod–hjerne-barrieren og forstyrrelser i drenasje av avfallsstoffer og væske. Dette fører til iskemi og inflammasjon med påfølgende parenkymskade (6).

    Pasienter med subtype 2 opplever som regel en gradvis utvikling av bilaterale motoriske symptomer i underekstremitetene, og tilstanden har blitt kalt lower body parkinsonism (7). Gangvansker er ofte debutsymptom, med treg og subbende gange, korte steg, tilfrysninger, postural instabilitet og fall (8, 9). Trolig skyldes symptomene vaskulære forandringer i nervebaner som påvirker gange og kroppsholdning, slik som i frontallappen, hjernebjelken og periventrikulært (8, 10, 11). I tillegg til gangvansker sees ofte rigiditet, kognitiv affeksjon og urininkontinens (12–14). I en pasientkohort var alle pasientene preget av bradykinesi og 96 % av rigiditet, mens 76 % opplevde fall, 50 % urininkontinens og 39 % demens (14).

    Diagnostikk

    Diagnostikk

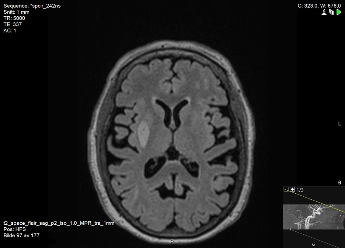
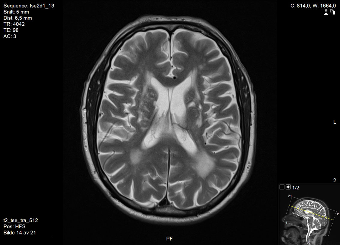
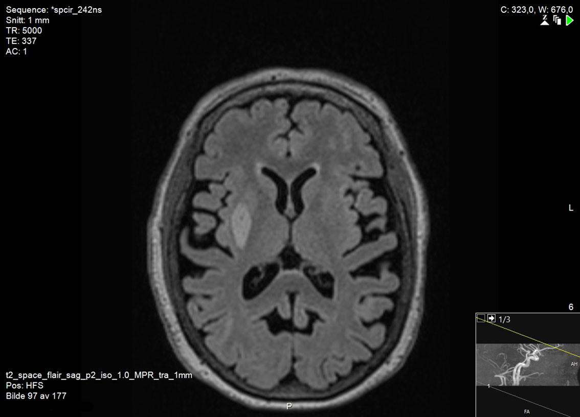
    Det er ingen allment vedtatte retningslinjer for diagnostisk avklaring av vaskulær parkinsonisme, men basert på kliniske funn og patologi har Zijlmans og medarbeidere foreslått følgende kriterier: a) parkinsonisme, b) cerebrovaskulær sykdom påvist ved MR eller CT og c) en sammenheng mellom a) og b), enten i form av akutt hemiparkinsonisme fra infarkt eller blødning i den nigrostriatale banen (subtype 1) eller småkarsykdom i hvit substans med en gradvis utvikling av parkinsonisme (subtype 2) (15). Som regel er MR av hjernen nødvendig for å avgjøre om det foreligger skade i den nigrostriatale banen (figur 1) eller småkarsykdom i hvit substans (figur 2). CT av hjernen er mindre egnet for å stille diagnosen på grunn av lavere sensitivitet for lakunære infarkter og småkarsykdom (5).

    Vaskulær parkinsonisme og Parkinsons sykdom har ulik prognose og behandlingsrespons, og det er derfor viktig å skille de to diagnosene. Pasientene med vaskulær parkinsonisme debuterer oftest med gangvansker, men med mindre fleksjon i trunkus, hofter og knær og bedre medsving av armer enn dem med Parkinsons sykdom (16). Pasienter med Parkinsons sykdom debuterer typisk med asymmetriske symptomer i overekstremitetene. Kognitiv svikt og urininkontinens er vanligere ved vaskulær parkinsonisme (17), mens hviletremor og forstyrret luktesans er vanligere ved Parkinsons sykdom (9, 18).

    Subtype 2 av vaskulær parkinsonisme skiller seg prognostisk fra Parkinsons sykdom med tidligere og oftere behov for gangassistanse (3, 5) og ifølge en prospektiv kohortstudie betydelig kortere forventet levetid (19). I tillegg er effekten av dopaminerge medikamenter dårligere enn ved Parkinsons sykdom, men noe bedre for subtype 1 enn for subtype 2 (12, 13, 20).

    Det er også billeddiagnostiske ulikheter mellom vaskulær parkinsonisme og Parkinsons sykdom. Ved vaskulær parkinsonisme viser MR av hjernen infarkter, blødninger eller tegn på småkarsykdom. Ved Parkinsons sykdom kan MR-undersøkelsen vise helt normale funn, men eldre pasienter kan ha vaskulære forandringer som tilfeldige funn, dog i langt mindre grad enn ved vaskulær parkinsonisme (20, 21). DaTSCAN (dopamine transporter scan) er en nukleærmedisinsk undersøkelse som viser forandringer i hjernens dopaminaktivitet, og som kan brukes til å påvise svinn av nigrostriatale nerveender. Undersøkelsen gir alltid patologiske funn ved Parkinsons sykdom, mens ved vaskulær parkinsonisme vil DaTSCAN ofte gi normale funn hvis den nigrostriatale banen ikke er direkte affisert (5).

    Til tross for forskjellene mellom vaskulær parkinsonisme og Parkinsons sykdom blir mange pasienter trolig feildiagnostisert. I en post-mortem-studie med 28 pasienter med vaskulær parkinsonisme hadde kun 6 blitt korrekt diagnostisert (14). I en obduksjonsstudie av 39 pasienter med parkinsonisme hadde 5 vaskulær etiologi uten at dette var erkjent (22). Andre studier har indikert at vaskulær parkinsonisme kan være blant de vanligste differensialdiagnosene ved Parkinsons sykdom (23, 24).

    På klinisk grunnlag kan vaskulær parkinsonisme også være vanskelig å skille fra multisystematrofi. Begge tilstandene vil typisk gi gangvansker, falltendens og vannlatingsforstyrrelser. Pasientene med multisystematrofi vil imidlertid ha parkinsonisme i overekstremitetene og ofte utvikle tilleggssymptomer som dystoni i nakkemuskler med fremoverbøyd hode og svelg- og pustevansker (25).

    Kontroverser

    Kontroverser

    Det er flere faktorer som gjør vaskulær parkinsonisme til en omstridt diagnose. Asymptomatiske infarkter i basalgangliene og hvit substans er svært vanlig. Blant 219 voksne pasienter som oppsøkte medisinsk hjelp for mulig cerebrovaskulær sykdom, hadde 40,2 % gjennomgått stumme infarkter i disse områdene, påvist ved MR-undersøkelse (26). Dessuten har mange med Parkinsons sykdom vaskulære forandringer i hjernen (17). Det er uvisst om dette bidrar til sykdomsutviklingen, og grensen mellom vaskulær parkinsonisme og Parkinsons sykdom kan i enkelte tilfeller være uklar. Vi vet heller ikke med sikkerhet hvilke patologiske forandringer som egentlig ligger bak høysignalforandringer på MR (27). Slike forandringer betraktes gjerne som ledd i småkarsykdom, men inflammasjon med demyelinisering og nevrodegenerasjon kan gi tilsvarende endringer (28). Til slutt bidrar det til forvirringen at vaskulær parkinsonisme kan overlappe i klinisk presentasjon med tilstander som normaltrykkshydrocefalus og vaskulær leukoencefalopati. Begge kan gi kombinasjon av parkinsonisme, kognitiv svikt og urininkontinens. Enkelte har derfor hevdet at vaskulær parkinsonisme ikke er en selvstendig diagnose (8, 9, 29). Imidlertid kan normal ventrikkelstørrelse og intakt kognisjon bidra til å skille pasienter med vaskulær parkinsonisme fra dem med henholdsvis normaltrykkshydrocefalus og vaskulær leukoencefalopati.

    Behandling

    Behandling

    Levodopa er den mest studerte terapiformen ved vaskulær parkinsonisme. En metaanalyse viste at omtrent 30 % hadde god levodoparespons (30). Vår erfaring tyder på at det er pasienter med subtype 1 som har best nytte av medikamenter. Trolig skyldes det at disse pasientene har vaskulære forandringer i den nigrostriatale banen med påfølgende dopaminmangel, mens pasientene med småkarsykdom i hvit substans hovedsakelig har dysfunksjonell talamokortikal bane uten dopaminforstyrrelser. Dessverre er det ingen annen etablert behandlingsmetode enn levodopa for begge subtypene.

    Det har hittil ikke blitt gjennomført kliniske studier som undersøker slagforebyggende behandling ved vaskulær parkinsonisme (30). På grunn av sammenhengen mellom vaskulære risikofaktorer og cerebrovaskulær småkarsykdom, vil dette kunne ha effekt. Det er for eksempel kjent fra tidligere at behandling av hypertensjon bremser utviklingen av vaskulære forandringer i hvit substans (31). Dermed er det tenkelig at en reduksjon av vaskulære risikofaktorer kan bidra til å bremse sykdomsprogresjonen samt forbedre prognosen ved vaskulær parkinsonisme.

    Oppsummering

    Oppsummering

    Både tilgjengelig litteratur og vår erfaring tyder på at vaskulær parkinsonisme er en underdiagnostisert tilstand. Tilstanden bør mistenkes ved karakteristisk kombinasjon av klinisk presentasjon, billedfunn og behandlingsrespons. Det kliniske bildet er dominert av symmetriske symptomer og gangvansker tidlig i forløpet, kognitiv affeksjon og vannlatingsproblemer. MR av hjernen viser vaskulære forandringer, mens DaTSCAN ofte er normal. Pasientene har dårligere levodoparespons, raskere progresjon av sykdommen og kortere levetid enn pasienter med Parkinsons sykdom. Det finnes ingen spesifikk behandlingsform for vaskulær parkinsonisme, og vi anbefaler derfor at levodopa forsøkes.

    Artikkelen er fagfellevurdert.

    Kommentarer  ( 0 )
    PDF
    Skriv ut

    Anbefalte artikler