Vascular parkinsonism

    ()

    sporsmal_grey_rgb
    Article

    Parkinsonism can have many causes, among them cerebrovascular disease. Vascular parkinsonism can be caused by infarction or haemorrhage in the nigrostriatal pathway, resulting in hemiparkinsonism, or by widespread small vessel disease in the white matter, leading to the gradual development of bilateral symptoms in the lower extremities. Compared to patients with Parkinson's disease, individuals with vascular parkinsonism have earlier onset of gait disturbance, are more likely to have urinary incontinence and cognitive impairment, and have poorer treatment response and prognosis; however, they are less likely to have tremor. With its unclear pathophysiology, varying clinical picture and overlap with other diseases, vascular parkinsonism remains a little known and somewhat controversial diagnosis.

    Parkinsonism is a clinical diagnosis characterised by reduced mobility in the form of bradykinesia in combination with resting tremor and/or rigidity (1). The most common cause of parkinsonism is Parkinson's disease, but it can also be caused by other neurodegenerative diseases such as multisystem atrophy, progressive supranuclear palsy, and Lewy body dementia. Secondary forms of parkinsonism include drug-induced parkinsonism and vascular parkinsonism. Vascular parkinsonism was first introduced as a diagnosis almost 100 years ago (2) and is estimated to account for 2.5–5 % of all cases of parkinsonism (3). However, in our experience, the diagnosis rate is much lower. Vascular parkinsonism differs from Parkinson's disease in terms of clinical presentation and findings on imaging; patients with vascular parkinsonism also have poorer treatment response and prognosis. In this clinical review, we will discuss the diagnosis of vascular parkinsonism based on a non-systematic literature review and our own experience.

    Pathophysiology and clinical picture

    Pathophysiology and clinical picture

    The basal ganglia are involved in the control of movement, cognition and affective functions (4). Dopaminergic neurons in the substantia nigra project to the basal ganglia to form the nigrostriatal pathway. The loss of a substantial proportion of these dopaminergic neurons is the main cause of the motor symptoms observed in Parkinson's disease.

    Vascular parkinsonism occurs due to changes in brain vascular function. In subtype 1, ischaemic or haemorrhagic events in the nigrostriatal pathway give rise to acute or subacute contralateral hemiparkinsonism. Subtype 2, which is far more common, is caused by small vessel disease in the white matter (5). The latter is the result of conventional vascular risk factors, and usually causes narrowing of arterioles, damage to the blood–brain barrier, and disruption of waste and fluid drainage. This in turn leads to ischaemia and inflammation with subsequent parenchymal damage (6).

    Patients with subtype 2 usually experience a gradual onset of bilateral motor symptoms in the lower extremities, and the condition has therefore been referred to as lower body parkinsonism (7). Difficulty walking is often the presenting symptom, with slow and shuffling gait, short steps, freezing, postural instability, and falls (8, 9). These symptoms are likely due to vascular changes in neural pathways that control gait and posture, such as those in the frontal lobe, corpus callosum, and periventricular regions (8, 10, 11). In addition to difficulty walking, patients often experience rigidity, cognitive impairment and urinary incontinence (12–14). In one patient cohort, all patients were found to have bradykinesia and 96 % to have rigidity, while 76 % experienced falls, 50 % had urinary incontinence, and 39 % had dementia (14).

    Diagnosis

    Diagnosis

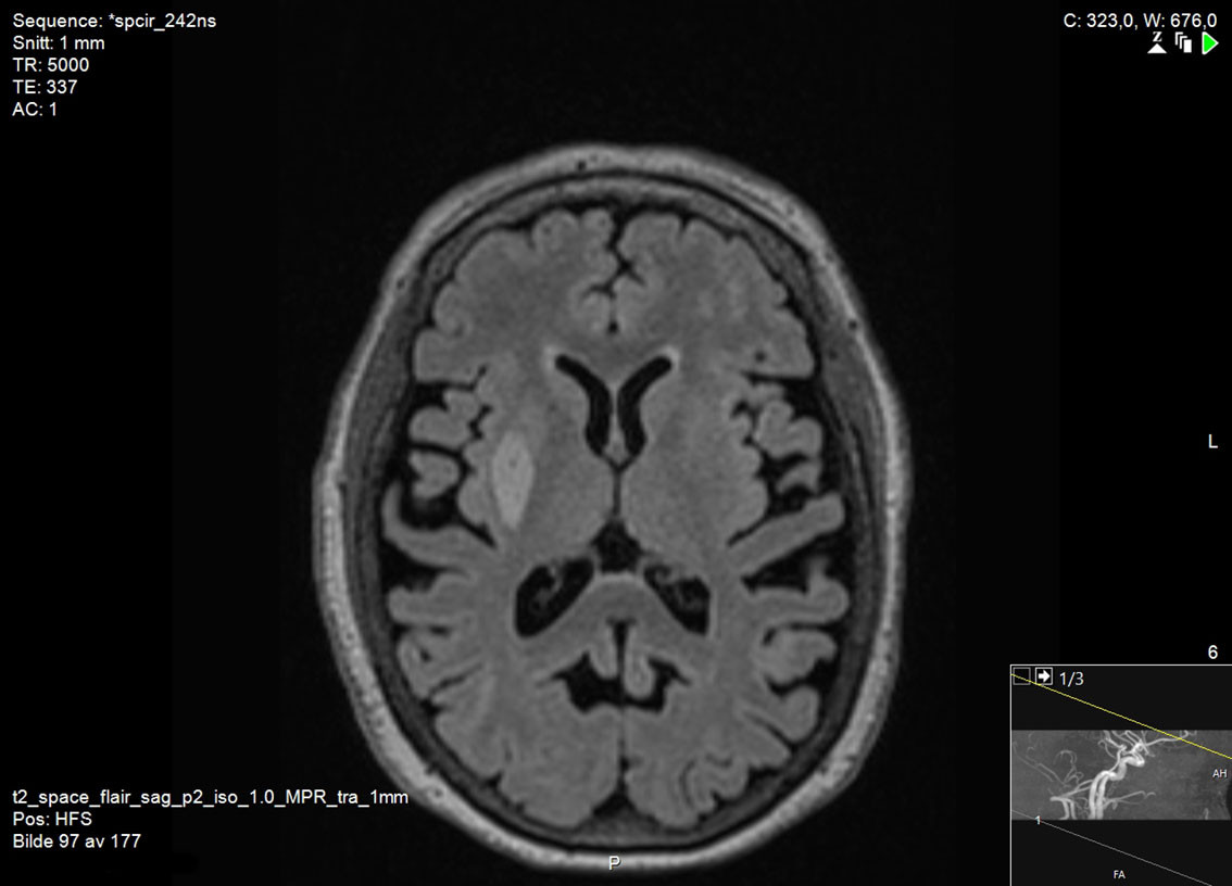
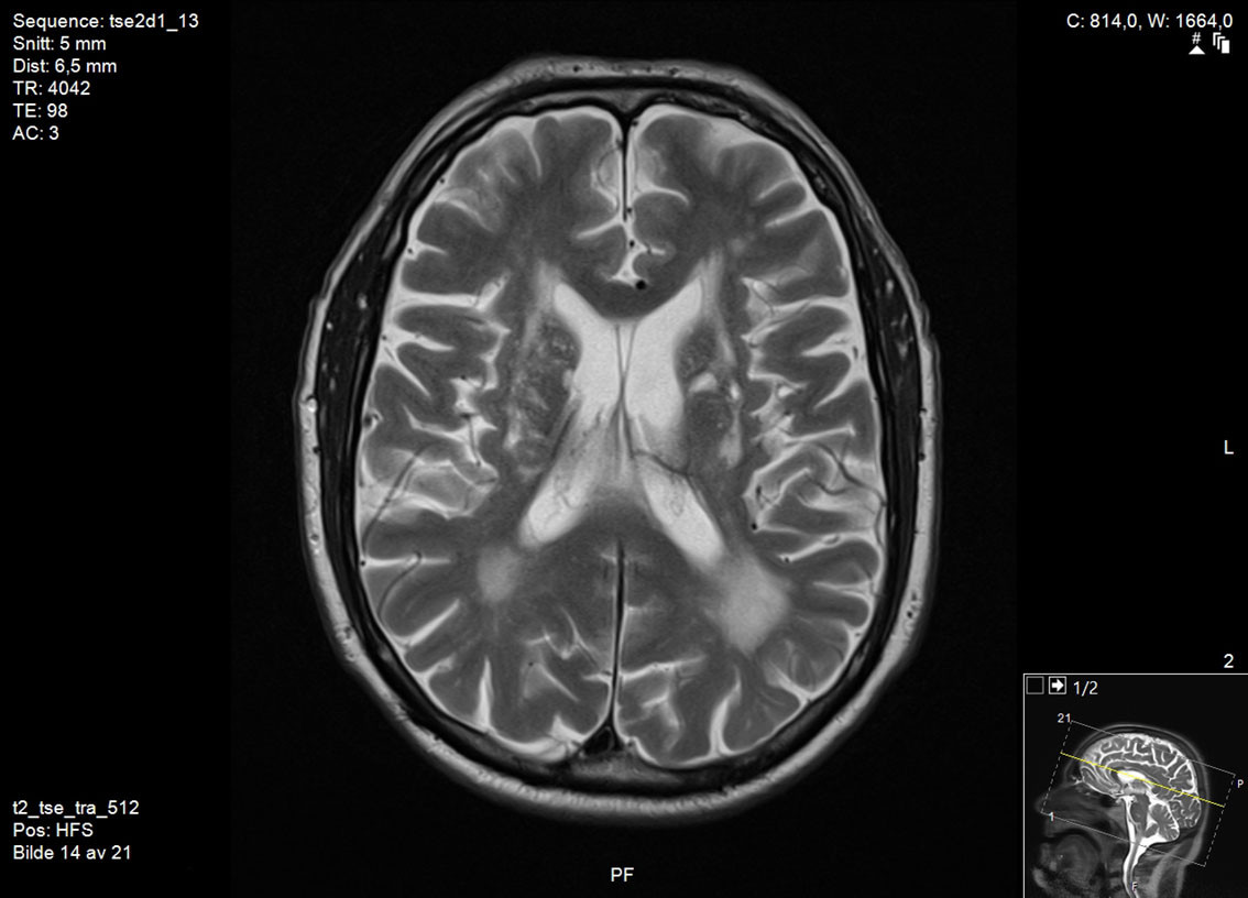
    There are no universally accepted guidelines for the diagnosis of vascular parkinsonism, but based on clinical findings and pathology, Zijlmans et al. have proposed the following criteria: a) parkinsonism, b) cerebrovascular disease visible on MRI or CT, and c) a relation between a) and b), either in the form of acute hemiparkinsonism resulting from infarction or haemorrhage in the nigrostriatal pathway (subtype 1), or small vessel disease in the white matter with gradual development of parkinsonism (subtype 2) (15). Typically, brain MRI is necessary to determine whether there is damage to the nigrostriatal pathway (Figure 1) or small vessel disease in the white matter (Figure 2). CT scans of the brain are less suitable for making the diagnosis due to their lower sensitivity for lacunar infarcts and small vessel disease (5).

    Vascular parkinsonism and Parkinson's disease differ in terms of prognosis and treatment response, and therefore it is important to distinguish between them. Patients with vascular parkinsonism usually present with difficulty walking, but show less flexion of the trunk, hips and knees, and better forward arm swing than patients with Parkinson's disease (16). Patients with Parkinson's disease typically present with asymmetric symptoms in the upper extremities. Cognitive impairment and urinary incontinence are more common in cases of vascular parkinsonism (17), whereas resting tremor and olfactory impairment are more common in Parkinson's disease (9, 18).

    Vascular parkinsonism subtype 2 differs from Parkinson's disease in terms of prognosis, with earlier and more frequent need for walking aids (3, 5) and, according to a prospective cohort study, significantly shorter life expectancy (19). In addition, dopaminergic medications are less effective in vascular parkinsonism than in Parkinson's disease, although responses are somewhat better in subtype 1 than subtype 2 (12, 13, 20).

    Differences between vascular parkinsonism and Parkinson's disease are also seen on brain imaging. In cases of vascular parkinsonism, brain MRI will reveal infarction, haemorrhage, or signs of small vessel disease. In Parkinson's disease, brain MRI can appear completely normal, although elderly patients may have vascular changes as incidental findings; however, these will be much less abundant than in cases of vascular parkinsonism (20, 21). A dopamine transporter scan (DaTSCAN) is a nuclear medicine procedure that shows changes in brain dopaminergic activity, and that can be used to detect degeneration of nigrostriatal nerve endings. DaTSCAN always shows pathological changes in Parkinson's disease, whereas in cases of vascular parkinsonism DaTSCAN is often normal if the nigrostriatal pathway is not directly affected (5).

    Despite the differences between vascular parkinsonism and Parkinson's disease, many patients are probably misdiagnosed. In a post-mortem study of 28 patients with vascular parkinsonism, only six had been correctly diagnosed (14), while an autopsy study of 39 patients with parkinsonism found that five had vascular aetiology that had gone unrecognised antemortem (22). Other studies have suggested that vascular parkinsonism may be among the most common differential diagnoses of Parkinson's disease (23, 24).

    Vascular parkinsonism can also be difficult to distinguish clinically from multiple system atrophy. Both conditions typically cause difficulty walking, falls and urinary dysfunction. However, patients with multiple system atrophy will have parkinsonism in the upper extremities and will often develop additional symptoms such as dystonia in the neck muscles, with antecollis, dysphagia and dyspnoea (25).

    Controversies

    Controversies

    Vascular parkinsonism is a controversial diagnosis for a number of reasons. One is that asymptomatic infarcts in the basal ganglia and white matter are very common. Among 219 adults who sought medical attention for possible cerebrovascular disease, 40.2 % were found to have silent infarcts in these regions on MRI (26). Moreover, many patients with Parkinson's disease also have cerebral vascular lesions (17). It is uncertain whether these contribute to disease development, and the boundary between vascular parkinsonism and Parkinson's disease can in some cases be unclear. In addition, we do not know for certain what pathological changes underlie the hyperintensities seen on MRI (27). Such changes are often considered to reflect small vessel disease, but inflammation accompanying demyelination and neurodegeneration can give rise to similar changes (28). Finally, the clinical presentation of vascular parkinsonism may overlap with that of conditions such as normal pressure hydrocephalus and vascular leukoencephalopathy. These latter conditions can both give rise to the combination of parkinsonism, cognitive impairment and urinary incontinence. Some have therefore argued that vascular parkinsonism is not an independent diagnosis (8, 9, 29). However, normal ventricular size and preserved cognition can help distinguish patients with vascular parkinsonism from those with normal pressure hydrocephalus and vascular leukoencephalopathy, respectively.

    Treatment

    Treatment

    The treatment that has been studied most frequently in vascular parkinsonism is levodopa. A meta-analysis found that about 30 % of patients have a good levodopa response (30). Our experience suggests that patients with subtype 1 benefit the most from medication. This is probably because these individuals have vascular lesions in the nigrostriatal pathway, resulting in dopamine deficiency, whereas patients with small vessel disease in the white matter mainly have dysfunctional thalamocortical pathways with no changes in dopamine levels. Unfortunately, there are no other treatments available for either subtype besides levodopa.

    Medications used for stroke prevention have yet to be tested in clinical trials in patients with vascular parkinsonism (30). However, given the association between vascular risk factors and cerebrovascular small vessel disease, it is possible that such agents could be effective. For example, it has previously been shown that treating hypertension slows the development of vascular lesions in the white matter (31). It is therefore conceivable that reducing vascular risk factors may help slow disease progression and improve prognosis in vascular parkinsonism.

    Summary

    Summary

    The existing literature and our own experience both suggest that vascular parkinsonism is likely to be underdiagnosed. The condition should be suspected in individuals who have the typical clinical features, findings on imaging, and treatment response. The clinical picture is dominated by symmetrical symptoms and difficulty walking from early in the disease course, as well as cognitive impairment and difficulties with urination. Brain MRI shows vascular lesions, whereas DaTSCAN is often normal. Compared to patients with Parkinson's disease, individuals with vascular parkinsonism have a poorer response to levodopa, faster disease progression, and a shorter lifespan. As there is no specific treatment for vascular parkinsonism, we recommend that patients should be tried on levodopa.

    This article has been peer-reviewed.

    Comments  ( 0 )
    PDF
    Print

    Recent Articles