En kvinne i 70-årene med redusert allmenntilstand, dyspné og utbredte smerter

    ()

    sporsmal_grey_rgb
    Artikkel

    En kvinne i 70-årene ble innlagt i sykehus med nedsatt allmenntilstand, aktivitetsdyspné og generaliserte kroppssmerter, spesielt uttalt i leggene. I forløpet utviklet pasienten svikt i flere organsystemer.

    Pasienten hadde kjent myelodysplastisk syndrom (MDS) i form av ringsideroblastanemi (RARS) uten blastøkning, påvist ti år tidligere. Foruten laktoseintoleranse var hun ellers somatisk frisk. Hun hadde gått regelmessig til kontroll ved hematologisk avdeling ved universitetssykehuset omtrent hver 4. uke de siste åtte årene før den aktuelle innleggelsen. På grunn av hyperglykemi påvist ved en slik kontroll ble hun innlagt i medisinsk avdeling i lokalsykehuset. Hun beskrev da flere måneder med nedsatt allmenntilstand, dyspné ved lett aktivitet, tørrhet i øyne og munn og generaliserte smerter, mest uttalt i leggene. Hun hadde hatt flere infeksjoner i luft- og urinveier. De siste to ukene før innleggelsen hadde hun vært sengeliggende. Hun hadde knapt tatt til seg væske eller mat grunnet uttalt kvalme, og hadde hatt et ledsagende vekttap på 6 kg.

    Ved klinisk undersøkelse på sykehuset hadde hun svært tørre slimhinner, stående hudfolder og var gul på sclera. Hun ble ansett som sirkulatorisk stabil, med liggende blodtrykk 135/90 mm Hg, puls 80 regelmessige slag/min, øretemperatur 36,6 °C og SaO₂ på 97 %. Det var normale funn over collum, cor og pulmones, og hun hadde slanke, velsirkulerte ekstremiteter. Det var ingen sikre funn ved undersøkelse av abdomen. Ved kun lett palpasjon av tykkleggen bilateralt fikk hun sterke smerter. Hun hadde ingen tegn til blødninger. Blodgassundersøkelse var upåfallende. Blodprøver viste blodsukker 32,6 mmol/l (4,0 – 6,0 mmol/l, fastende), Hb 10,3 g/100 ml (11,7 – 15,3 g/100 ml), ferritin 3 550 µg/l (10 – 200 µg/l), natrium 126 mmol/l (137 – 145 mmol/l), kalium 4,6 mmol/l (3,5 – 5,0 mmol/l), kreatinin 50 µmol/l (50 – 90 µmol/l), urinstoff 4,1 mmol/l (3,0 – 8,0 mmol/l), bilirubin 44 µmol/l (5 – 25 µmol/l), ASAT 70 U/l (15 – 35 U/l), ALAT 71 U/l (10 – 45 U/l), ALP 125 U/l (35 – 105 U/l) og albumin 43 g/l (34 – 45 g/l).

    Initialt ble det satt søkelys på det høye blodsukkernivået, vekttapet på 6 kg og det høye bilirubinnivået samt den lette økningen i leverprøvene. Blodsukkernivået var forenlig med diabetes mellitus, av foreløpig usikker type, og kunne forklare pasientens siccasymptomer, vekttap og reduserte allmenntilstand. Leverprøvene, og da spesielt bilirubinnivået, ga mistanke om lever-/gallesykdom.

    Det ble bestilt ultralyd abdomen og røntgen thorax og startet væske- og insulinbehandling. Røntgen thorax viste grensestort hjerte. Ultralydundersøkelse av lever, galleveier og pancreas viste et stort galleblærekonkrement med usikker signifikans, og det ble derfor utført magnetisk resonanskolangiopankreatografi som ledd i den videre utredning. Denne viste en distendert galleblære med et stort solitært konkrement og som resultat av dette en mulig funksjonell stenose i choledochus. Pasienten ble henvist videre til endoskopisk retrograd kolangiopankreatografi (ERCP). I mellomtiden hadde videre analyser av bilirubinet vist at det meste var ukonjugert. INR-verdien var spontant forhøyet til 1,6. ERCP-undersøkelsen ble stilt i bero, da gallestase nå syntes mindre sannsynlig.

    Ukonjugert hyperbilirubinemi og forhøyet INR-verdi tydet på leversyntesesvikt. Mangel på konjugert hyperbilirubinemi og bare lett forhøyet ALP-verdi talte imot gallestase.

    To uker etter innleggelsen, etter oppstart av insulin- og væskebehandling, var blodsukkernivået stabilisert og allmenntilstanden bedre, men pasienten hadde fortsatt siccasymptomer. I tillegg var hun svimmel og kvalm. Leverprøvene var ikke normalisert. Hun var vedvarende hyponatrem, hadde moderat hypokalsemi med ionisert kalsium på 1,0 mmol/l (1,15 – 1,35 mmol/l) og sterke smerter, spesielt i leggene.

    Pasienten hadde mange symptomer og funn som det var vanskelig å få til å passe med én enkelt diagnose. Siccasymptomene pekte mot Sjögrens syndrom, hyponatremien og den dårlige allmenntilstanden mot binyrebarksvikt. Slapphet, hyponatremi og ekstremitetssmerter kunne representere hypotyreose, og muskelslapphet, ubehag, hypokalsemi og økt ALP-nivå kunne være forårsaket av vitamin D-mangel. Ingen av tilstandene kunne utelukkes på daværende tidspunkt. I tillegg måtte det gjøres en bred utredning for leversvikt. Hun hadde kjent høyt ferritinnivå, som man visste skyldtes multiple transfusjoner.

    Schirmers test og sialometri var patologiske, med henholdsvis 0 mm/5 min (normalt 15 mm/5 min) og 1,4 ml/15 min (normalt 5 – 6 ml/15 min), men immunologiske prøver var normale. TSH-nivået var 17,54 mIE/l (0,2 – 4,5 mIE/l) og FT4-verdien 10,6 pmol/l (8,0 – 22,0 pmol/l). Anti-TPO og tyreotropinreseptorantistoff (TRAS) var negative. Hun hadde moderat hypokalsemi, nivå av 25-OH-vitamin D på 29 nmol/l (37 – 131 nmol/l) og parathyreoideahormonnivå (PTH) i øvre normalområde – 8,6 pmol/l (1,4 – 8,6 pmol/l). Urin-Na i spoturin var 12 mmol/l (< 20 mmol/l), noe som tydet på ekstrarenalt tap av natrium og hypovolemi. Binyrebarkfunksjonsprøver var normale. Autoantistoffer (ANCA-analyser og antinukleære antistoffer, revmatoid faktor (RF) og anti-CCP), immunglobuliner og virusprøver (parvovirus B19, hepatitt B, hepatitt C samt hiv) var normale. Det var ingen mistanke om alkoholbruk hos pasienten.

    Pasienten hadde altså hypotyreose og vitamin D-mangel, og vi startet substitusjonsbehandling for dette og involverte ernæringsfysiolog. Den moderate hyponatremien sammen med nedsatt urin-Na i spoturin passet med hypovolemi. Hypotyreosen og pasientens lave saltinntak bidro nok også til hyponatremien. Leversyntesesvikten var uforklart – normale autoantistoffer, immunglobuliner og virusprøver. Siden pasienten var ukjent for oss, ville vi forsikre oss om at diagnosen myelodysplastisk syndrom var korrekt.

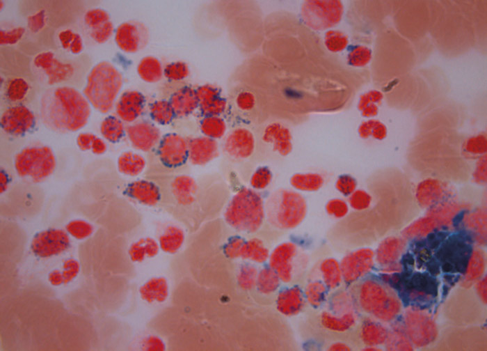
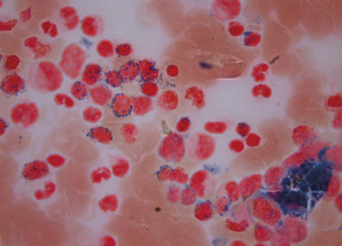
    Etter vurdering av beinmargsaspirat samt nylig beinmargsbiopsi, -karyotyping og -strømningscytometri var diagnosen refraktær anemi med ringsideroblaster («ringsideroblastanemi») bekreftet (fig 1).

    Sykdommene som grupperes som myelodysplastiske syndromer har det til felles at det er en eller flere cytopenier og signifikant dysplasi i en eller flere cellerekker vurdert i blodutstryk og beinmargsutstryk, og det er en tendens til at pasientene utvikler akutt myelogen leukemi. Mange dør også av beinmargssvikt, i form av blødninger og infeksjoner, uten å utvikle leukemi (1). Pasienter med ringsideroblastanemi har god prognose (1), men er ofte transfusjonstrengende og kan motta store mengder blod over mange år. Dette gjaldt også vår pasient.

    Initialt ble pasienten bedre av insulin- og væskebehandlingen, men den tredje uken etter innleggelsen ble hun gradvis dårligere. Hun fikk store generaliserte ødemer og økende smerter. Blodprøver viste bilirubinstigning fra 34 µmol/l til 99 µmol/l (hovedsakelig ukonjugert), albuminnivået sank til 26 g/l og INR-verdien var fortsatt lett forhøyet på 1,4 (0,9 – 1,2) – alt forenlig med leversyntesesvikt. Samtidig steg ferritinnivået til ca. 8 000 µg/l, en akutt økning forenlig med skade av leverceller. I tillegg begynte pasienten å bli svært tungpustet og fikk flere anfall med rask atrieflimmer. Røntgen thorax viste nå venstresidig atelektase med pleuravæske og lett stuvningskomponent. Ekkokardiografi ble utført og viste dilatert kardiomyopati med ejeksjonsfraksjon (EF) 20 – 25 % (normalt > 50 %). Pro-BNP var 500 pmol/l (0 – 60 pmol/l).

    Pasienten hadde utviklet venstresidig hjertesvikt og leversyntesesvikt. Hun hadde nyoppdaget diabetes mellitus, hypotyreose og siccasyndrom. Det var naturlig å tenke systemisk sykdom. Blodprøver viste ikke tegn til autoimmun sykdom, og det hadde i forløpet ikke vært mistanke om alvorlig infeksjon. Ved uklare sykdomsbilder må man også tenke på forgiftninger og paraneoplastiske syndromer. Utredningen hadde ikke gitt noen mistanke om fokal kreftsykdom, og anamnesen gjorde ikke forgiftning sannsynlig. Et neste alternativ var avleiringssykdom, og for første gang tenkte vi at tranfusjonsbetinget hemosiderose, reflektert i hennes høye ferritinnivå, kunne være årsaken. Leversyntesesvikt, diabetes, hjertesvikt og hypotyreose er klassiske tegn på hemokromatose. For å sannsynliggjøre denne årsakssammenhengen ble det viktig å oppsummere hvor mange transfusjoner hun hadde fått og i hvilken grad hun hadde fått jernkelerende behandling.

    Vi valgte umiddelbart å starte med intensiv jernkelerende behandling. Ifølge journalen ved universitetssykehuset fikk hun sin første blodtransfusjon ti måneder etter sykdomsdebuten. Hun ble da transfundert med to enheter SAG-erytrocytter omtrent hver åttende uke i rundt to år, for deretter å bli transfundert hver 2. – 4. uke frem til to år før innleggelsen. Ferritinnivået holdt seg stabilt rundt 650 µg/l (10 – 200 µg/l) de første årene av sykdommen, men etter 2,5 år var det steget til > 1 500 µg/l slik at jernkeleringsbehandling i form av deferoksamin ble igangsatt. Behandlingen ble gitt i uregelmessige intervaller, både fordi pasienten syntes den var krevende og fordi det var sprikende internasjonal konsensus og usikkerhet rundt indikasjonen. Åtte år etter sykdomsdebut ble det igjen valgt å prøve kelering pga. vedvarende ferritinverdier > 2 000 µg/l, denne gang med deferasiroks. Til tross for stigende ferritinverdier ble dette imidlertid seponert to måneder senere på grunn av bivirkninger i form av kvalme og uvelhet. Man gikk tilbake til deferoksamin, men dette ble kort tid etter seponert grunnet usikkerhet rundt viktigheten av behandling. De siste to årene før den aktuelle innleggelsen var det behov for transfusjon annenhver uke.

    Det har i lengre tid vært diskutert om pasienter med myelodysplastisk syndrom lever lenge nok til å få jerntoksisitet. Dette kan nok forklare at keleringen hos denne pasienten ble gjennomført noe halvhjertet. I det nordiske handlingsprogrammet for myelodysplastisk syndrom har det imidlertid fra 2003 vært anbefalt kelering ved ferritinnivåer > 1 500 – 2 000 µg/l (2). De siste årene er det blitt bedre dokumentert at pasienter med transfusjonsbehov og god prognose for øvrig har klinisk nytte av behandlingen (3).

    Vi startet med kelerende behandling med deferoksamin 3,5 g/døgn i kontinuerlig intravenøs infusjon. På grunn av hjertesvikten og pasientens dårlige kliniske tilstand la vi til peroral jernkelering med deferipron 1 750 mg tre ganger daglig. Det ble også startet konvensjonell hjertesviktbehandling med ACE-hemmer, digitoksin, betablokker og slyngediuretika.

    I henhold til det nordiske handlingsprogrammet var det også indikasjon for å prøve erytropoetinbehandling, definert ved en erytropoetinverdi < 500 U/l (2).

    Det ble gjort et åtte ukers forsøk med kombinasjonen darbopoietin 300 µg en gang i uken som subkutan injeksjon og filgrastim 100 µg tre ganger i uken som subkutan injeksjon for å heve hemoglobinnivået uten transfusjoner. Dette hadde ikke vært forsøkt tidligere. Det var begrenset effekt av dette og pasienten forble transfusjonstrengende hver 2. – 3. uke.

    Vi hadde nå en klar mening om at årsaken til pasientens symptomer var funnet. Leversyntesesvikt, diabetes, hjertesvikt og hypotyreose er alle klassiske tegn på hemokromatose. For ordens skyld ble det gjort hemokromatosegentest, og denne var negativ for C282Y-mutasjonen. Da jerntoksisitet ved transfusjoner for myelodysplasi er uvanlig, måtte vi så godt det lot seg gjøre få gjort objektive målinger av jerninnholdet i kroppen. Leverbiopsi, CT-undersøkelse lever, T2-vektet MR-undersøkelse av hjertet og kvantitativ venesectio er anerkjente metoder for å gjøre dette. På det tidspunktet var det ikke tilbud om T2-vektet MR-undersøkelse av lever, men dette er nok i dag den mest anerkjente metoden (4). Venesectio var naturligvis uaktuelt hos denne pasienten.

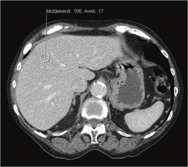
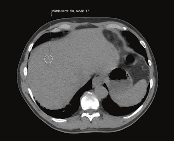
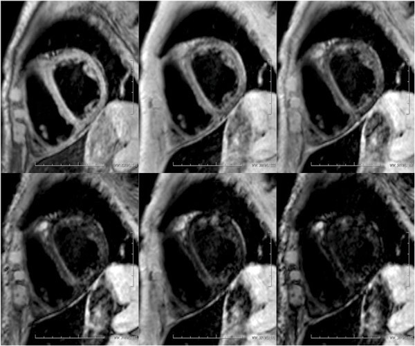
    Det ble utført CT-undersøkelse av leveren, som viste patologisk forhøyet signal med gjennomsnittlig tetthet 100 HU (Hounsfield Units) (fig 2, fig 3), klart forenlig med jernavleiring i lever. På bakgrunn av dette ble sannsynligheten for toksisk oppladning i leveren vurdert som så stor at risikoen ved en leverbiopsi ikke var rettferdiggjort. Det ble også gjort MR cor ved universitetssykehuset, der T2-vektet bilde viste maksimalt patologiske verdier på < 10 ms (> 20 ms), forenlig med jernavleiring i myokard (fig 4). Vi fant ingen validert måte å måle jernavleiring i pancreas og thyreoidea på.

    Etter nesten ti uker i avdelingen begynte pasienten å bli såpass bra at vi startet hjemreiseforberedelser. Blodsukkernivået var stabilisert, ekkokardiografi viste normalisering av venstre ventrikkels diameter og funksjon og ingen tegn til pulmonal hypertensjon, og ødemene var omtrent borte. Leverfunksjonen var i gradvis bedring. Hun var blitt sondeernært siden uken etter innleggelsen, men spiste gradvis mer selv og ble langsomt mobilisert ut av sengen. Allmenntilstanden var fortsatt nedsatt og hun var noe plaget med smerter, men i langt mindre grad enn tidligere. Hun ble utskrevet etter 12 uker. Hun sto da fortsatt på jernkelering subkutant, 12 timer tre dager i uken, samt peroral behandling med deferipron. Hun ble fulgt opp med hjemmesykepleie daglig og kontroller ved medisinsk poliklinikk.

    Pasienten har etter utskrivning vært til jevnlige kontroller både ved hematologisk poliklinikk, ved diabetespoliklinikken og hos fastlegen. Lever- og galleverdiene er normalisert. Blodsukkernivået er stabilt med insulinbehandling, og både MR-undersøkelse og ekkokardiografi har vist god ventrikkelfunksjon samtidig som pro-BNP-nivået har sunket fra 500 pmol/l til 76 pmol/l (0 – 60 pmol/l). Hun behandles fremdeles med enalapril og metoprolol retard. Digitoksin er seponert, da hun ikke har atrieflimmer lenger. Thyreoideafunksjonen har gradvis tatt seg opp med substitusjonsbehandling, og hun har nå en TSH-verdi på 3,16 mIE/l og en FT4-verdi på 12,4 pmol/l.

    Pasienten har trengt transfusjon hver tredje uke. Behandlingen med kombinasjon av to jernkelatorer ble opprettholdt en stund, før vi gikk over til deferoksamin subkutant tre ganger per uke. Ferritinnivået holdt seg stabilt på rundt 1 000 µgram/l, den laveste verdien pasienten hadde hatt på ti år. Hun hadde gjennom flere år hatt lavt hemoglobinnivå. For å optimalisere allmenntilstanden transfunderte vi pasienten ukentlig en periode for å få henne opp på hemoglobinnivåer på 10 – 11 g/100 ml. Ved siste polikliniske kontroll følte hun seg svært bra. Hun får nå transfusjoner omtrent hver annen uke, med transfusjonsgrense på 10 g/100 ml. I tillegg får hun deferipron 1 500 mg × 3 per dag. Deferoksamin er seponert.

    Diskusjon

    Diskusjon

    Pasienten vår hadde myelodysplastisk syndrom i form av refraktær anemi med ringsideroblaster. Hun hadde over mange år fått et samlet volum på opp mot 500 enheter SAG-erytrocytter og kun intermitterende jernkeleringsbehandling. Hun hadde vært i relativt god allmenntilstand frem til det siste halvåret før hun, 11 år etter sykdomsdebuten, ble innlagt hos oss med kliniske tegn på svikt i en rekke parenkymatøse organer og meget nedsatt allmenntilstand.

    Først etter et par ukers innleggelse og ytterligere forverring av tilstanden fikk pasientens ferritinnivå mer enn overfladisk oppmerksomhet. Grunnen til dette var nok manglende tro på sammenhengen mellom transfusjonshemosiderose og parenkymatøs sykdom hos pasienter med myelodysplastisk syndrom og at man ut fra den mangeårige journalen følte seg sikker på årsaken til det høye nivået. Forsinkelsen i diagnose og behandling kunne potensielt vært kompliserende for pasienten, som i denne fasen utviklet alvorlig hjertesvikt.

    Behandling av økt jerninnhold i kroppen kan gjøres på to måter. Venesectio brukes hos pasienter med arvelig hemokromatose, men dette er vanskelig når pasienten har et transfusjonsbehov. Alternativet er kelerende behandling, som består i å gi et medikament som binder jern og fjerner det via urin eller feces (5). Det finnes både parenterale og perorale medikamenter.

    Det har i lang tid vært internasjonal debatt og uenighet rundt temaet jernkelering hos pasienter med myelodysplastisk syndrom. Uenigheten har bestått i om disse lever lenge nok til å kunne få jerntoksisitet, om de vil ha nytte av kelerende behandling, og om nytten oppveier kostnadene og potensielle bivirkninger (6). Bivirkninger man er spesielt oppmerksomme på er syns- og hørselsskade, nøytropeni og nyre-/leverskade. Den vanligste behandlingen har vært subkutan kelering 8 – 12 timer fem dager i uken, noe som selvfølgelig kan være tungvint for eldre pasienter. Nye perorale medikamenter kan gjøre behandlingen lettere. Like fullt, i en studie i Storbritannia ble det konkludert med at kostnad-nytte-forholdet taler for jernkelerende behandling etter dagens indikasjon (7).

    De fleste med myelodysplastisk syndrom blir etter hvert transfusjonsavhengige pga. symptomatisk anemi, med risiko for påfølgende transfusjonshemosiderose og jernavleiring, noe som kan føre til hjerte- og leverdysfunksjon og endokrin dysfunksjon (8). Hvis en pasient får to enheter med blod i måneden i fire år estimeres jernoverskuddet til 20 – 25 g, et nivå som kan ha klinisk betydning (9). Det er blitt rapportert at en rekke pasienter med ervervet anemi har fått mindre cytopeni etter oppstart av jernkelerende behandling. Dette manifesterer seg klinisk ved at pasientens behov for blodtransfusjon avtar eller forsvinner. Dette kan forekomme hos opptil 9 % av pasienter med myelodysplastisk syndrom (8).

    Kelering av jern har andre gunstige effekter, som redusert risiko for infeksjon, bedre overlevelse etter allogen hematopoetisk stamcelletransplantasjon og forsinket leukemisk progrediering (3). De gjeldende nordiske retningslinjer anbefaler jernkelering for transfusjonstrengende pasienter med en viss forventet levetid og for pasienter som skal gjennomgå allogen stamcelletransplantasjon. Det er anbefalt å starte kelerende behandling når s-ferritinnivået er > 1 500 µg/l eller etter omtrent 25 enheter med SAG-erytrocytter. Målverdien for behandling av forhøyet jernlager er s-ferritin < 1 000 µg/l (2).

    Vi mener at det er sannsynlig at den jernkelerende behandlingen er bidragende til at denne pasientens kliniske tilstand er blitt mye bedre. Det er imidlertid ikke publisert noen kontrollerte randomiserte fase 3-studier om kelerende behandling hos pasienter med myelodysplastisk syndrom. Det som finnes av slik dokumentasjon, er gjort hos talassemipasienter. Retrospektive studier og mindre prospektive fase 2-studier hos pasienter med myelodysplastisk syndrom tyder imidlertid på gunstige effekter, som nevnt over.

    Vår pasient illustrerer det potensielle problemet i å la være å kelere pasienter med myelodysplastisk syndrom med god prognose og stort transfusjonsbehov. Det pågår for tiden en randomisert multinasjonal studie for bedre å dokumentere effekten.

    Pasienten har gitt samtykke til at artikkelen blir publisert.

    Kommentarer  ( 3 )
    PDF
    Skriv ut

    Anbefalte artikler