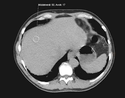
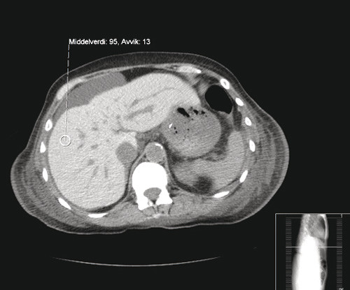
Rettelse En kvinne i 70-årene med redusert allmenntilstand, dyspné og utbredte smerter Kiarash Tazmini, Heidi Nygaard Bakken, Fredrik Hellem Schjesvold Om forfatterne Se alle artikler Kiarash Tazmini Se alle artikler Heidi Nygaard Bakken Se alle artikler Fredrik Hellem Schjesvold () sporsmal_grey_rgb Artikkel Tidsskr Nor Legeforen 2012; 132: 1969 – 72 I Tidsskriftet nr. 17/2012, side 1971 er det feil bilde i figur 3. Her viser vi både figur 2 og riktig figur 3. Figur 2 CT abdomen uten kontrastmiddel fra pasient uten patologiske forandringer Figur 3 CT abdomen uten kontrastmiddel. Bildet viser høy attenuasjon i lever, som ved jernavleiring (dette til sammenlikning med figur 2) Vi beklager feilen, den er rettet i nettutgaven. Kommentarer ( 0 ) Dette kommentarfeltet modereres, men kommentarer blir ikke redaksjonelt behandlet ut over å sikre at de følger retningslinjer for vårt kommentarfelt. Denne artikkelen ble publisert for mer enn 12 måneder siden, og vi har derfor stengt for nye kommentarer. Publisert: 30. oktober 2012 Utgave 20, 30. oktober 2012 Tidsskr Nor Legeforen 30. oktober 2012 doi: 10.4045/tidsskr.12.1152 Opphavsrett: ©️️ Tidsskriftet 2026 PlumX 132 : 2260 Publisert: 30. oktober 2012 Utgave 20, 30. oktober 2012 Tidsskr Nor Legeforen 2012 132 : 2260 doi: 10.4045/tidsskr.12.1152 Opphavsrett: ©️️ Tidsskriftet 2026 Plum Print visual indicator of research metrics PlumX Metrics PDF Får du ikke vist PDF-filen eller vil lagre filen, kan du høyreklikke på PDF-ikonet. Velg «Lagre mål/fil som..» og hent så opp PDF-filen i for eksempel Acrobat Reader. Skriv ut Anbefalte artikler