A woman in her seventies with reduced general condition, dyspnoea and generalised pain

    ()

    sporsmal_grey_rgb
    Article

    A woman in her seventies was admitted to hospital with reduced general condition, exertion dyspnoea and generalised pain, particularly pronounced in her calves. During the course of events the patient developed multisystem organ failure.

    The patient had known myelodysplastic syndrome (MDS) in the form of refractory anaemia with ringed sideroblasts (RARS) without excess blasts, diagnosed ten years previously. Apart from lactose intolerance, she was somatically healthy. She had been going regularly for check-ups at the Department of Haematology at the university hospital about every four weeks for the eight years prior to the hospitalisation in question. Because of hyperglycaemia detected at one such check-up, she was admitted to the Department of Internal Medicine of the local hospital. She then described several months with reduced general condition, dyspnoea in connection with slight exertion, dry eyes and mouth and generalised pain, most pronounced in the calves. She had had several airway and urinary tract infections. She had been bed-ridden the last two weeks before admission. She had scarcely taken fluid or food because of pronounced nausea, and had lost 6 kg.

    A clinical examination at the hospital revealed that she had very dry mucous membranes; a pinch test revealed dehydration and there was yellow discolouration of the sclera. She was regarded as having stable circulation; blood pressure lying down 135/90 mm Hg, pulse 80 regular beats/minute, ear temperature 36.6°C and SaO of 97 %. Findings for neck, heart and lungs were normal, and she had slender extremities with good circulation. Abdominal examination yielded no definite findings. She suffered severe pain merely on light palpation of the calf muscle bilaterally. She had no signs of haemorrhaging. Blood gas tests were normal. Blood tests showed blood sugar 32.6 mmol/l (4.0 – 6.0 mmol/l, fasting), Hb 10.3 g/100 ml (11.7 – 15.3 g/100 ml), ferritin 3 550 µg/l (10 – 200 µg/l), sodium 126 mmol/l (137 – 145 mmol/l), potassium 4.6 mmol/l (3.5 – 5.0 mmol/l), creatinine 50 µmol/l (50 – 90 µmol/l), urea 4.1 mmol/l (3,0 – 8,0 mmol/l), bilirubin 44 µmol/l (5 – 25 µmol/l), AST 70 U/l (15 – 35 U/l), ALT 71 U/l (10 – 45 U/l), ALP 125 U/l (35 – 105 U/l) and albumin 43 g/l (34 – 45 g/l).

    The initial focus was on the high blood sugar level, weight loss of 6 kg and high biliruvalues. The blood sugar level was consistent with diabetes mellitus of an as yet uncertain type, and could explain the patient's sicca symptoms, weight loss and reduced general condition. The liver tests, particularly the bilirubin level, aroused suspicion of diseased liver/gall bladder.

    Abdominal ultrasound and chest X-ray were ordered and fluid and insulin therapy were started. Chest X-ray showed a marginally large heart. Ultrasound of liver, bile ducts and pancreas showed a large gall bladder concrement of uncertain significance, and magnetic resonance cholangiopancreatography was performed as part of the further assessment. This revealed a distended gall bladder with a large, solitary concrement and as a result of this a possible functional stenosis of the choledochus. The patient was referred for an endoscopic retrograde cholangiopancreatogram (ERCP). In the meantime, further analyses of the bilirubin had shown that it was mostly unconjugated. The INR value was spontaneously elevated to 1.6. The ERCP examination was put on hold, as gall bladder stasis now appeared less probable.

    Unconjugated hyperbilirubinaemia and elevated INR value indicated liver synthesis failure. The absence of conjugated hyperbilirubinaemia and an only slightly elevated ALP value weighed against gallbladder stasis.

    Two weeks after admission, following the start-up of insulin and fluid therapy, her blood sugar level was stabilised and general condition improved, but the patient still had sicca symptoms. In addition she was dizzy and nauseous. The liver test results were not normalised. She had persistent hyponatraemia, moderate hypocalcaemia with ionised calcium of 1.0 mmol/l (1.15 – 1.35 mmol/l) and severe pain, particularly in the calves.

    The patient had many symptoms and findings were inconsistent with a single diagnosis. The sicca symptoms pointed to Sjögren's Syndrome, the hyponatraemia and the poor general condition to adrenal cortex failure. Lethargy, hyponatraemia and pain in the extremities could represent hypothyroidism, and muscular weakness, unwellness, hypocalcaemia and elevated ALP level could be due to vitamin D deficiency. None of these conditions could be excluded at that point in time. Thorough testing for liver failure also had to be carried out. She had known high ferritin which was due to multiple transfusions.

    Schirmer's test and sialometry were pathological, at 0 mm/5 mm (normal 15 mm/5 min) and 1.4 ml/15 min (normal 5 – 6 ml/15 min), but immunological test results were normal. The TSH level was 17.54 mIE/l (0.2 – 4.5 mIE/l) and the FT4 value 10.6 pmol/l (8.0 – 22.0 pmol/l). Anti-TPO and thyrotropin receptor antibodies (TRAs) were negative. She had moderate hypokalaemia, a level of 25-hydroxy vitamin D of 29 nmol/l (37 – 131 nmol/l) and parathyroid hormone level (PTH) in the upper normal range – 8.6 pmol/l (1.4 – 8.6 pmol/l). Spot Na in urine was 12 mmol/l (< 20 mmol/l), which indicated extra-renal loss of sodium and hypovolaemia. Adrenal cortex function tests were normal. Autoantibodies (ANCA analyses and antinuclear antibodies, rheumatoid factor (RF) and anti-CCP), immunoglobulins and virus tests (parvovirus B19, hepatitis B, hepatitis C and HIV) were normal. There was no suspicion of alcohol abuse on the part of the patient.

    The patient thus had hypothyroidism and vitamin D deficiency, and we started substitution treatment for this and involved a nutritional physiologist. The moderate hyponatraemia together with reduced urine Na in spot urine were consistent with hypovolaemia. Hypothyroidism and the patient's low salt intake also contributed to hyponatraemia. The liver synthesis failure remained unexplained – there were normal autoantibodies, immunoglobulins and virus tests. Since the patient was unknown to us, we wanted to be assured that the diagnosis of myelodysplastic syndrome was correct.

    Following an evaluation of bone marrow aspirate and recent bone marrow biopsy, karyotyping and flow cytometry, the diagnosis of refractory anaemia with ringed sideroblasts was confirmed (Fig. 1).

    Figure 1  Iron-coloured bone marrow aspirate from the patient shows ringed sideroblasts
    Figure 1 Iron-coloured bone marrow aspirate from the patient shows ringed sideroblasts

    The diseases that are grouped as myelodysplastic syndromes have in common that there is one or more cytopaenias and significant dysplasia in one or more cell lines examined in a blood smear and bone marrow smear, and there is a tendency for patients to develop acute myelogenic leukaemia. Many also die of bone marrow failure, in the form of haemorrhaging and infections, without developing leukaemia (1). Patients with ringed sideroblastic anaemia have a good prognosis (1), but often require transfusions and may receive large quantities of blood for many years. This was the case with our patient.

    The patient initially improved on insulin and fluid therapy, but in the third week after admission she grew gradually worse. She developed extensive generalised oedema and increasing pain. Blood tests showed a rise in bilirubin from 34 µmol/l to 99 µmol/l (mainly unconjugated), her albumin level sank to 26 g/l and her INR value remained slightly elevated at 1.4 (0.9 – 1.2) – all consistent with liver synthesis failure. At the same time her ferritin level rose to about 8 000 ­µg/l, an acute increase consistent with liver cell damage. The patient also began to be very short of breath and had several attacks of rapid atrial fibrillation. A chest X-ray now showed left-side atelectasis with pleural fluid and a slight congestion component. An echocardiogram showed dilated cardiomyopathy with an ejection fraction (EF) of 20 – 25 % (normal > 50 %). Pro-BNP was 500 pmol/l (0 – 60 pmol/l).

    The patient had developed left-sided heart failure and liver synthesis failure. She had newly diagnosed diabetes mellitus, hypothyroidism and sicca syndrome. It was natural to think in terms of systemic disease. Blood tests showed no signs of autoimmune disease, and there had been no suspicion of serious infection during the course. In cases of unclear disease pictures one also has to think of intoxication and paraneoplastic syndromes. The examination had not aroused any suspicion of focal cancerous disease, and the patient's history did not make intoxication probable. The next possibility was an accumulation disease, and for the first time we thought that haemosiderosis induced by transfusion, reflected in her high ferritin level, could be the cause. Liver synthesis failure, diabetes, heart failure and hypothyroidism are classic signs of haemochromatosis. In order to demonstrate this causal relationship, it was important to determine how many transfusions she had had, and how much iron-chelation therapy.

    We immediately decided to start intensive iron-chelation therapy. According to her records at the university hospital, she received her first blood transfusion ten months after the onset of the disease. She then received two units of SAG erythrocytes about every eight weeks for about two years, and thereafter every two-four weeks until two years before her hospitalisation. Her ferritin level remained stable at around 650 µg/l (10 – 200 µg/l) for the first years of the disease, but after 2.5 years it had risen to > 1 500 µg/l so that iron chelation treatment in the form of deferoxamine was started. The therapy was administered at irregular intervals, both because the patient thought it was demanding and because there was a lack of international consensus and uncertainty concerning the indication. Eight years after the onset of the disease it was again decided to try chelation because of persistent ferritin levels of > 2 000 µg/l, this time with deferasirox. Despite rising ferritin values it was discontinued two months later, however, because of side effects in the form of nausea and unwellness. We then reverted to deferoxamine, but this was discontinued after a short time because of uncertainty regarding the importance of the therapy. The last two years before the current admission, transfusion was needed every two weeks.

    The question of whether patients with myelodysplastic syndrome live long enough to develop iron toxicity has been discussed for a long time. This may explain why chelation was performed rather half-heartedly on this patient. However, since 2003 the Nordic action programme for myelodysplastic syndrome has recommended chelation when ferritin levels reach > 1 500 – 2 000 µg/l (2). In recent years there has been improved documentation that patients with a need for transfusion and an otherwise good prognosis benefit clinically from the therapy (3).

    We started chelation therapy with deferoxamine 3.5 g/day using continuous intravenous infusion. Because of the patient's heart failure and poor clinical condition, we added peroral iron chelation with deferiprone 1 750 mg three times a day. Conventional heart failure treatment was also started, with ACE inhibitor, digitoxin, beta-blockers and loop diuretics.

    In accordance with the Nordic action programme, there was also an indication for trying erythropoietin therapy, defined by an erythropoietin value of < 500 U/l (2).

    An eight-week trial was conducted with a combination of darbepoetin 300 µg once a week in the form of subcutaneous injection and filgrastim 100 µg three times a week as subcutaneous injection to raise the haemoglobin level without transfusions. This had not been attempted earlier. The effect was limited, and the patient continued to need a transfusion every 2 – 3 weeks.

    We now firmly believed that the cause of the patient's symptoms was found. Liver synthesis failure, diabetes, heart failure and hypothyroidism are classic signs of haemochromatosis. For the sake of clarity, a haemochromatosis gene test was performed, and this was negative for the C282Y mutation. Since iron toxicity is unusual in connection with transfusions for myelodysplasia, we had to make objective measurements of the iron content of the body to the best of our ability. Liver biopsy, CT examination of the liver, T2-weighted MRI examination of the heart and quantitative venesection are recognised methods of doing this. At that time T2-weighted MRI of the liver was not an option, but today this is the most recognised method (4). Venesection was naturally not an option for this patient.

    A CT examination of the liver was carried out that showed a pathologically elevated signal with average density 100 HU (Hounsfield units) (Fig. 2, Fig. 3), clearly consistent with iron accumulation in the liver. In the light of these findings, the probability of toxic overload in the liver was regarded as so great that the risk associated with a liver biopsy was not justified. An MRI cor was also carried out at the university hospital, where a T2-weighted image showed maximum pathological values of < 10 ms (> 20 ms), consistent with iron accumulation in the myocardium (Fig. 4). We found no validated method of measuring iron accumulation in the pancreas and thyroid.

    After almost ten weeks in the department, the patient began to be well enough for us to start preparations for her return home. Her blood sugar level was stabilised, echocardiography showed normalisation of the diameter and function of the left ventricle and no signs of pulmonary hypertension, and the oedema was almost gone. Her liver function was gradually improving. She had been fed through a tube since the week after her admission, but was gradually eating more herself and was being slowly mobilised out of bed. Her general condition was still reduced and she suffered some pain, but far less than previously. She was discharged after 12 weeks. She was then still on subcutaneous iron chelation, twelve hours three days a week, and peroral treatment with deferiprone. She was monitored with daily home nursing and follow-up at the medical clinic.

    Since her discharge, the patient has been to regular check-ups at the haematology clinic, the diabetes clinic and her primary doctor. Liver and bile values have normalised. Her blood sugar level is stable with insulin treatment, and MRI and echocardiography have both shown a good ventricle function, while at the same time her pro-BNP level has fallen from 500 pmol/l to 76 pmol/l (0 – 60 pmol/l). She is still being treated with enalapril and metoprolol retard. Digitoxin has been discontinued as she no longer hasatrial fibrillation. Her thyroid function has gradually picked up with substitution therapy, and she now has a TSH value of 3.16 mIE/l and an FT4 value of 12.4 pmol/l.

    The patient has needed a transfusion every three weeks. The treatment with a combination of two iron chelators was maintained for a while, before we switched to deferoxamine subcutaneously three times a week. Her ferritin level remained stable at around 1 000 µgram/l, the lowest value the patient had had for ten years. She had had a low haemoglobin level for several years. In order to optimise her general condition, we gave the patient a transfusion weekly for a period to bring her haemoglobin level up to 10 – 11 g/100 ml. At the last outpatient check-up she felt very well. She now gets transfusions about every second week, with a transfusion limit of 10 g/100 ml. In addition she gets deferiprone 1 500 mg, × 3 per day. Deferoxamine has been discontinued.

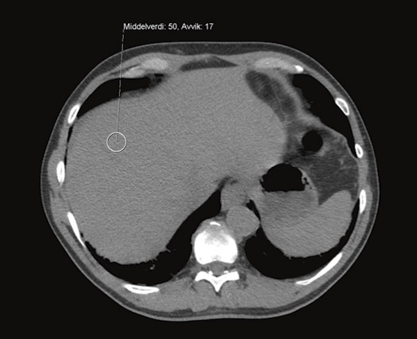
    Figure 2   CT abdomen without contrast from patient without pathological changes
    Figure 2 CT abdomen without contrast from patient without pathological changes
    Figure 3  CT abdomen without contrast. The image shows high attenuation in the liver, as with iron accumulation (in contrast…
    Figure 3 CT abdomen without contrast. The image shows high attenuation in the liver, as with iron accumulation (in contrast to Figure 2)
    Figure 4  T2-weighted MR cor images show (from top left to bottom right) iron accumulation in the myocardium. Pathological…
    Figure 4 T2-weighted MR cor images show (from top left to bottom right) iron accumulation in the myocardium. Pathological values are < 20 ms. The septum is measured, a curve constructed and the time under the curve calculated. The patient's value was < 10 ms, i.e. pathological
    Discussion

    Discussion

    Our patient had myelodysplastic syndrome in the form of refractory anaemia with ringed sideroblasts. Over a period of many years she had received a total volume of close to 500 units of SAG erythrocytes and only intermittent iron chelation therapy. She had been in relatively good general condition until the last six months before she was admitted to us, 11 years after the onset of the disease, with clinical signs of failure in a number of parenchymatous organs and a much reduced general condition.

    Only after a couple of weeks in hospital and a further worsening of her condition was more than superficial attention paid to the patient's ferritin level. The reasons for this were probably lack of belief in a connection between transfusion haemosiderosis and parenchymatous disease in patients with myelodysplastic syndrome, and that the cause of the high level was believed to be known from the patient's records, which covered many years. The delay in diagnosis and treatment could potentially have caused complications for the patient, who developed serious heart failure during this phase.

    Elevated iron content in the body can be treated in two ways. Venesection is used for patients with hereditary haemochromatosis, but this is difficult when the patient needs transfusions. The alternative is chelation treatment, which consists of administering a drug that binds iron and removes it via the urine or faeces (5). There are both parenteral and peroral drugs.

    There has long been international debate and disagreement on the subject of iron chelation in patients with myelodysplastic syndrome. The disagreement has been about whether they live long enough to be able to develop iron toxicity, whether they will benefit from chelation treatment, and whether the benefit outweighs the costs and potential side effects (6). The side effects particularly in focus are damage to sight and/or hearing, neutropaenia and kidney/liver damage. The most common treatment has been subcutaneous chelation 8 – 12 hours five days a week, which of course can be a burden for elderly patients. New peroral medicines can make treatment easier. A study in the UK concluded nonetheless that the cost-benefit ratio favours iron chelation therapy according to today's indication (7).

    Most people with myelodysplastic syndrome become dependent on transfusion after a while because of symptomatic anaemia, with a risk of subsequent transfusion haemosiderosis and iron overload, which can lead to heart and liver dysfunction and endocrine dysfunction (8). If a patient gets two units of blood each month for four years, the excess iron is estimated at 20 – 25 g, a level that can be clinically significant (9). A number of patients with acquired anaemia have been reported to have had less cytopaenia after the start of iron chelation therapy. The clinical manifestation is that the patient's need for blood transfusions abates or disappears. This can happen in up to 9 % of patients with myelodysplastic syndrome (8).

    Iron chelation has other beneficial effects, such as reduced risk of infection, higher survival after allogenic haematopoietic stem cell transplantation and delayed leukemia progression (3). The current Nordic guidelines recommend iron chelation for patients with a certain life expectancy who need transfusions and for patients who are going to have allogenic stem cell transplantation. It is recommended starting chelation treatment when the s-ferritin level is > 1 500 µg/l or about 25 units of SAG erythrocytes. The target value for iron overload therapy is s-ferritin < 1 000 µg/l (2).

    We find it probable that the iron chelation therapy is a contributory factor in the considerable improvement in this patient's clinical condition. However, no controlled randomised phase-3 studies have been published on chelation therapy for patients with myelodysplastic syndrome. Such documentation as is available concerns thalassaemia patients. However, retrospective studies and small prospective phase-2 studies on patients with myelodysplastic syndrome indicate beneficial effects, as mentioned above.

    Our patient illustrates the potential problem of failing to chelate patients with myelodysplastic syndrome with a good prognosis and a need for extensive transfusion. At present a randomised multinational trial is in progress to provide better documentation of the effect.

    The patient has consented to the publication of the article.

    Comments  ( 3 )
    PDF
    Print

    Recent Articles