14.01.2010:
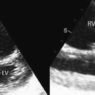
Akutt sirkulasjonsstans er utfordrende både diagnostisk og terapeutisk. Vi presenterer her en kasuistikk som omhandler en ung dyspneisk pasient som utviklet sirkulasjonsstans, med behov for langvarig resuscitering og med liten nytte av medikamentell behandling. I forløpet ble det utført både akutt kirurgi og terapeutisk hypotermi. En 20 år gammel kvinne besvimte på stasjonen etter en cirka to timers togreise. I akuttmottaket var hun blek, satt høyt på båren, var uttalt motorisk urolig, dyspneisk og klaget over brystsmerter. Systolisk blodtrykk var 140 mm Hg, puls regelmessig ca. 80 slag/min og...