Ung kvinne med hjertestans

    ()

    sporsmal_grey_rgb
    Abstract

    A 20-year-old woman presented with dyspnoea in the Emergency department and subsequently suffered a cardiac arrest. The initial rhythm was PEA (pulseless electrical activity). She had intermittent return of spontaneous circulation. Transthoracic echocardiography showed a dilated hypokinetic right ventricle and a collapsed left ventricle. The tentative diagnosis was pulmonary embolism, but she remained hemodynamically unstable despite thrombolysis. 90 min after the collapse she was put on cardiopulmonary bypass and surgical embolectomy was performed. Large masses of thrombotic material were collected from central parts of the right and left pulmonary artery. Therapeutic hypothermia was applied for 24 hours postoperatively. The remaining hospital stay was uneventful and ten days after the presentation she was transferred to her local hospital. At this point she was without neurological sequelae. The patient had used oral contraceptives (ethinyl estradiol/ drospirenone).

    Artikkel

    Akutt sirkulasjonsstans er utfordrende både diagnostisk og terapeutisk. Vi presenterer her en kasuistikk som omhandler en ung dyspneisk pasient som utviklet sirkulasjonsstans, med behov for langvarig resuscitering og med liten nytte av medikamentell behandling. I forløpet ble det utført både akutt kirurgi og terapeutisk hypotermi.

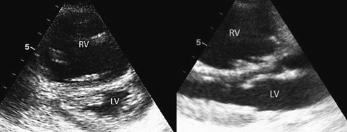
    En 20 år gammel kvinne besvimte på stasjonen etter en cirka to timers togreise. I akuttmottaket var hun blek, satt høyt på båren, var uttalt motorisk urolig, dyspneisk og klaget over brystsmerter. Systolisk blodtrykk var 140 mm Hg, puls regelmessig ca. 80 slag/min og pulsoksimetri viste verdier < 85 % (SpO₂). Etter kort tid inntraff det sirkulasjonskollaps med pulsløs elektrisk aktivitet. Det ble startet basal hjerte-lunge-redning og etter 3–4 minutter var det følbar egenpuls i a. carotis, men ikke i a. radialis. Hun våknet til og var svært urolig, men kunne svare bekreftende på p-pillebruk. Pasienten pustet spontant, men ble støttet med 100 % oksygen på maske. SpO2 var <85 %, men det var usikker måling pga. dårlig perifer pulsasjon. Ekkokardiografisk undersøkelse ca. ti minutter etter innkomst viste en hyperkinetisk venstre ventrikkel med svært redusert fylling. Høyre ventrikkel var betydelig dilatert og hypokinetisk. Ventrikkelseptum bukte inn i venstre ventrikkel. Det var ingen tegn til perikardvæske eller hjertetamponade (fig 1). EKG viste sinustakykardi med frekvens 140 slag/min, QRS-bredde 0,12 mm, høyre grenblokk-morfologi med akse + 90°, ST-elevasjon 3 til ca. 10 mm i standardavledninger II, III, aVF samt V2-V4 og ST-depresjon 2 mm i standardavledninger I og aVL (fig 2). Ny sirkulasjonsstans inntraff ca. 15 minutter etter innkomst, og hun ble intubert og hjerte-lunge-redning kontinuert.

    Hos vår pasient kunne EKG-funn og klinisk bilde være forenlig med et akutt hjerteinfarkt komplisert med ruptur av ventrikkelseptum eller papillemuskel. Pasientens alder gjorde et infarkt mindre sannsynlig og komplikasjoner ble utelukket ekkokardiografisk. Et isolert høyresidig hjerteinfarkt kunne imidlertid ikke utelukkes, men ble vurdert som mindre sannsynlig. Alvorlig myokarditt innbefatter sjelden bare høyre ventrikkel. Intoksikasjon ble initialt vurdert som en mulighet, men ble oppfattet å være mindre aktuelt da det verken ble observert funn etter venøse innstikk eller registrert alkoholisk føtor. Blodgassanalyse med utvidet svar utelukket alvorlig natrium- eller kaliumforstyrrelse. Hemoglobinverdien var normal, men dette utelukket ikke en blødning i tidlig stadium. Det ble ikke funnet ekkokardiografiske tegn til aortadisseksjon med eventuell perikardtamponade (Marfans eller Turners syndrom). Pasientens utseende var ikke syndromspreget. Cerebral katastrofe ble vurdert som mindre sannsynlig da hun initialt var cerebralt adekvat. Primær ventrikulær takyarytmi ble utelukket da pasienten var EKG-overvåket. Trykk-pneumothorax kan forekomme både spontant og etter traume, men det var ingen tegn til ytre skader og respirasjonslydene var sidelike. Dekompensert kronisk cor pulmonale kunne ikke utelukkes ekkokardiografisk, men var mindre aktuelt da denne tilstanden helst ses hos eldre pasienter med alvorlig lungesykdom.

    Den første arterielle blodgassanalysen viste en kombinert metabolsk og respiratorisk acidose (blodgass 2, tab 1). Overtrykksventilasjon med 100 % oksygen, brystkompresjoner og væskebehandling ble kontinuert. EKG- overvåking viste hele tiden komplekser, og tidvis hadde hun egensirkulasjon med systolisk blodtrykk 40–80 mm Hg målt i a. radialis. For å opprettholde perfusjonstrykk ble det gitt fenylefrin (0,2 mg x 5), adrenalin (1 mg x 3) og noradrenalin infusjon (0,5 µg/kg/min). Det ble etter hvert observert lysstive dilaterte pupiller.

    Tabell 1

    Oversikt over blodgassverdier. T0 er tidspunkt ved innkomst

    pH

    pCO2 (kPa)

    pO2 (kPa)

    BE mmol/l

    Laktat mmol/l

    1

    T0+10 min

    6,83

    7,7

    40,8

    –22

    14,0

    2

    T0+24 min

    7,09

    7,1

    46,2

    –12

    14,0

    3

    T0+32 min

    7,04

    9,5

    51,4

    –11

    13,4

    4

    T0+46 min

    Før transport St Elisabeth

    6,99

    9,4

    28,4

    –13

    10,8

    5

    T0+ 90 min

    Operasjon start

    6,98

    11,0

    12,2

    –11

    9,6

    6

    T0+200min

    Operasjon slutt

    7,32

    4,8

    15,4

    -6,5

    6,2

    Ved kardiogent sjokk og/eller hypotensjon som ikke svarer på adekvat væskebehandling, er det indisert med vasoaktive medikamenter for å opprettholde perfusjonstrykket.

    Ut fra alder, p-pillebruk, betydelig hypoksi og ekkokardiografiske funn vurderte vi lungeemboli som den mest sannsynlige diagnosen. Lungeemboli gir varierende grad av blodstrømobstruksjon gjennom lungearteriene. Dette kan gi redusert fylling (preload) til venstre ventrikkel, og ekkokardiografisk vil det kunnes påvises en hyperdynamisk og tom venstre ventrikkel (fig 1). Hjerteminuttvolumet vil reduseres og kunne føre til blodtrykksfall og sirkulasjonskollaps.

    Vi fant indikasjon for å gi fibrinolytisk behandling. 38 minutter etter innkomst ble det via perifer vene gitt heparin 2 500 IE og bolus med 50 mg alteplase (Actilyse). Ti minutter etter oppstart kom det puls-givende sinusrytme 100–130 slag/min. Systolisk blodtrykk steg til 100–120 mm Hg, hun ble sedert og pustet spontant på tube.

    Trombolytisk behandling gis sjelden i akuttmottaket ved vårt sykehus, da de fleste pasienter med hjerteinfarkt og ST-elevasjon overføres direkte til perkutan koronar intervensjon. Det ga derfor en viss forsinkelse at medikamentet måtte klargjøres og hentes fra en annen avdeling. Alteplase (Actilyse) virker ved å løse opp tromber ved at det aktiverer plasminogen til plasmin. Det har høy affinitet til fibrin. Ved anbefalte doseringer har det begrenset effekt på koagulasjonssystemet for øvrig. Nødvendige operative inngrep er derfor ikke kontraindisert etter gitt trombolytisk behandling (1). Det ble gitt lavere mengde heparin enn det som er angitt i retningslinjer (initialt 150 IE/kg) (2), betinget i en noe hektisk situasjon i mottakelsen.

    Radiolog mente at lokal fibrinolytisk behandling direkte i a. pulmonalis ikke ville gi tilstrekkelig rask effekt. Thoraxkirurg fant indikasjon for kirurgisk fjerning av trombemasser dersom situasjonen fortsatt var ustabil. Det var frem til dette tidspunktet gitt kolloid væske i form av hydroksyetylstivelse (Voluven) 1 000 ml og Ringer-acetat 3 500 ml. Blodgassanalyse som ble tatt ti minutter etter gjenopprettet sirkulasjon, viste uendret acidose (blodgass 5, tab 1). I Trondheim er thoraxkirurgisk enhet (St. Elisabeth) lokalisert 2 km fra mottakelsen. Pasienten ble overflyttet dit og tilstanden var relativt stabil før og under transporten. Etter overflytting til operasjonsbordet falt systolisk blodtrykk til cirka 40–50 mm Hg.

    Kirurgisk behandling

    Kirurgisk behandling

    Ny transtorakal ekkokardiografisk undersøkelse på operasjonsbordet viste uendrede funn. Sentralt venetrykk var 33 mm Hg (normalt < 10 mm Hg). Pasienten var på dette tidspunkt kritisk dårlig, og det ble utført akutt sternotomi (noe lettblødende i feltet). Etter standard heparinisering ble det startet ekstrakorporal sirkulasjon og nedkjøling til 32 °C. Man valgte å foreta operasjonen med standard hjertekirugisk prosedyre med avklemming av aorta og kald krystalloid kardioplegi. A. pulmonalis ble åpnet med et langsgående snitt opp langs truncus pulmonalis og ut mot venstre lungearterie. Det var betydelige mengder koagler sentralt i lungearteriene. Med kateter ble det sugd ut flere grove og delvis organiserte tromber fra begge lungearterier, noen var sannsynligvis flere dager gamle (fig 3). Ved åpning av aortatang fikk pasienten spontan sinusrytme.

    Med hemoglobinmål på 10 g/100 ml ble det gitt 7 enheter SAGMAN-blod. Grunnet mye blodsiving i operasjonsfeltet også etter reversering av heparin med standard dose protamin, ble det gitt 2 enheter trombocyttkonsentrat og 7 enheter ferskfryst plasma. Traneksamsyre (Cyclocapron) 3g ble deponert i operasjonsfeltet. Da pasienten ble koblet fra hjerte-lunge-maskin, fant man tegn til dilatert høyre ventrikkel med dårlig bevegelse. Man startet derfor levosimendan (Simdax)- infusjon (0,2 µg/kg/min) uten bolus og samtidig noradrenalin for å opprettholde adekvat perfusjonstrykk. Dette førte raskt til betydelig bedre kontraksjoner, høyre ventrikkels dimensjon ble redusert og det kunne foretas ukomplisert frakobling av hjerte-lunge-maskin. Ved avsluttet kirurgisk intervensjon var sentralt venetrykk 13 mm Hg og blodgassanalyse viste en halvering av laktatverdien (blodgass 7, tab 1). Gjennom hele forløpet var det maksimalt dilaterte pupiller.

    Embolisme stimulerer fibrinolyse som kan gi blødningskomplikasjoner. Fibrinolysen hemmes av traneksamsyre. Ved større blødning og ved forbruk av koagulasjonsfaktorer, ved for eksempel trombedanning kan det bli underskudd på koagulasjonsfaktorer. Disse kan substitueres med ferskfryst plasma. Hos vår pasient var Hb 8,4 g/100 ml preoperativt, men blødning peroperativt og rikelig elektrolyttholdig væske gjorde at man ga blod for å holde hemoglobinnivået på ca 10 g/100 ml.

    Vår pasient hadde en sviktende høyre ventrikkel som følge av a. pulmonalis-obstruksjon. Levosimendan (Simdax) er en såkalt kalsiumsensitiserer. Det gir positiv inotrop effekt ved å bedre binding mellom intracellulært kalsium og troponin C som gir en mer effektiv kobling av aktin-myosin-filamenter. Det gir også åpning av ATP-avhengige kaliumkanaler og har en viss hemming av fosfodiesterase. Dette hindrer nedbrytning av cAMP, og begge mekanismer gir vasodilaterende effekt. Vi har klinisk erfaring gjennom flere år med bruk av medikamentet i behandling av svikt av høyre og venstre ventrikkel både i forbindelse med hjertekirurgiske inngrep og medisinske tilstander. De mest fremtredende effekter er bedring i slagvolum og redusert fyllingstrykk. I de første studiene som kom, ble det anbefalt en støtdose. Dette sluttet vi med for å unngå det kraftige blodtrykksfallet man kan få på grunn av vasodilatasjon. Det er få systematiske studier på bruk ved høyre ventrikkel-svikt. Noen mindre studier viser forbedret systolisk forkortning, bedrede vevsdopplerfunn, reduksjon av nevrohormonal og inflammatorisk status med reduksjon av B-type natriumpeptid og reduksjon av det systoliske pulmonale arterielle trykket (3). Fremdeles må man bruke vasoaktive medikamenter som for eksempel noradrenalin for å motvirke blodtrykksfallet.

    Videre behandling

    Videre behandling

    Pasienten var resuscitert i cirka 45 min og vi var usikre på den cerebrale perfusjonen. Dilaterte pupiller kan ha flere årsaker, men vi valgte å unnlate full oppvarming og fortsatte aktiv kjøling med et eksternt vannbasert kjølesystem (CritiCool, MTRE, USA) med kroppstemperatur på 34 °C i 24 timer. Pasienten ble deretter overflyttet til Kardiologisk avdeling, Hjerteovervåking, det tredje postoperative døgn. Sedasjon ble stanset og hun våknet til og var mentalt adekvat i løpet av ett døgn. Hun ble mobilisert og overflyttet til lokalsykehuset ti dager etter innleggelsen. Ved utskrivning var hun cerebralt adekvat og uten nevrologiske utfall. Seks uker postoperativt ble det foretatt spiral-CT av lungearteriene og ultralydundersøkelse av underekstremitetene, med normale funn. Spirometri viste kun lett restriktivt mønster som kunne settes i sammenheng med gjennomgått sternotomi.

    Diskusjon

    Diskusjon

    Ekkokardiografi viste tegn på en hemodynamisk signifikant lungeemboli. Det er vanlig å se de funn vi gjorde: dilatasjon av høyre ventrikkel, redusert høyresidig kontraktilitet, økt diameter av høyre ventrikkel i forhold til venstre ventrikkel og deviasjon av septum mot venstre side. Man kan også se dilaterte proksimale pulmonalarterier, endret blodstrøm i utløpstractus på høyre side, trikuspidalinsuffisiens med jethastigheter omkring 3–3,5 m/s og utvidet v. cava med redusert inspiratorisk kollaps. Pasienter med normal ekkokardiografisk undersøkelse vil ha mindre sannsynlighet for signifikant lungeemboli (4). Et isolert høyre ventrikkel-infarkt vil kunne gi liknende ekkokardiografiske funn, men vanligvis ikke en slik betydelig dilatasjon av høyre ventrikkel med tegn på økte systoliske trykk.

    Ved overflytting til lokalsykehuset viste ekkokardiografi normale dimensjoner på alle kamre, god kontraktilitet av venstre ventrikkel (fig 4), noe paradoks bevegelse av septum, ingen trikuspidalinsuffisiens, lett redusert funksjon av høyre ventrikkel bedømt ut fra vevsdopplerundersøkelse av trikuspidalannulus (grenseverdier).

    EKG. Lungeemboli kan ofte gi dynamiske EKG-forandringer, slike funn er uspesifikke og normalt EKG utelukker ikke lungeemboli (5). Det mest spesifikke funnet er S I Q IIIT III -mønster i standardavledningene med markert S i avledning I, Q i avledning III og negativ T i avledning III. Andre hyppige forandringer er høyredreining av aksen, komplett eller inkomplett høyre grenblokk og ST-forandringer i prekordialavledningene. Sinustakykardi er vanlig og supraventrikulære arytmier kan forekomme (6). ST-elevasjoner i ekstremitetsavledninger (I,II,III) og høyresidige prekordialavledninger (V1-V3) forekommer sjelden og kan være diagnostisk villedende. Vår pasient hadde høye ST-elevasjoner i avledninger tilsvarende nedrevegg (II,III,aVF) som medførte differensialdiagnostiske vurderinger opp mot hjerteinfarkt. Samtidige ST- elevasjoner i V2-V4 gjorde diagnosen mindre sannsynlig. Ved mistenkt lungeemboli må EKG-forandringer ikke vektlegges alene, men ses i sammenheng med øvrige funn.

    Retningslinjer fra 2008 klassifiserer lungeemboli ut fra tidlig mortalitetsrisiko i hhv. høy risiko og ikke høy risiko. Sistnevnte klassifiseres videre i intermediær eller lav risiko (4). Høy risiko er karakterisert av sjokk og/eller hypotensjon, sistnevnte defineres som et systolisk blodtrykk < 90 mm Hg eller blodtrykksfall > 40 mm Hg med over 15 minutters varighet. Hos dem med intermediær risiko finner man hypokinesi av høyre ventrikkel og/eller myokardskade, men ellers sirkulatorisk stabilitet (4). Hemodynamisk stabile pasienter uten tegn til dysfunksjon av høyre ventrikkel defineres til lavrisikogruppen. Høyrisikopasienter har økt totalmortalitet som man kan forvente øker ytterligere dersom det inntrer sirkulasjonskollaps (7, 8). Systemisk fibrinolytisk behandling er assosiert med hemodynamisk forbedring (4). Det foreligger få studier med kliniske endepunkter, men enkelte mindre studier viser bedre overlevelse av systemisk fibrinolyse gitt sammen med heparin enn heparin alene (9). Fibrinolytisk behandling ved intermediærrisiko lungeemboli er kontroversielt. Ved lavrisiko lungeemboli synes konvensjonell antikoagulasjonsbehandling å være tilstrekkelig (4). Lokal fibrinolyse proksimalt for embolien gjennom pulmonalkateterisering er ikke vist å gi sikkert bedre oppløsning av tromber enn systemisk infusjon (10). Kateterstyrt embolektomi og direkte fragmentering er et alternativ som kan vurderes ved absolutt kontraindikasjon for fibrinolyse eller kirurgi.

    Kirurgisk intervensjon kan være aktuelt hos pasienter med høyrisiko lungeemboli der det er kontraindikasjon mot fibrinolyse eller responsen på fibrinolyse er utilfredsstillende (4). De pasientene som synes best egnet for kirurgisk behandling, har subtotal obstruksjon av proksimale lungekar uten at det foreligger kronisk forhøyet lungearterietrykk. Ved operativt inngrep er det vist bedre overlevelse sammenliknet med repetert fibrinolytisk behandling hos dem som ikke responderer på den første dosen (11).

    Pasientens mor har antitrombinmangel, hos vår pasient er det eneste patologiske funnet lett redusert antitrombinnivå som ble tolket som betinget i forbruk. Seks måneder før hendelsen skiftet hun sin monofasiske p-pille fra en med 20 µg etinyløstradiol (brukt i to år) til en med 30 µg etinyløstradiol (Yasmin). Hun ble postoperativt anbefalt å bruke annen prevensjon enn p-piller, og erfaringsmessig er det gitt råd om liberal profylakse ved aktivitet som gir økt risiko for venetrombose. Hun ble gitt warfarin som planlegges brukt i minst to år før ny hematologisk vurdering.

    Seks dager før innleggelsen merket pasienten en påfallende dyspné. Symptomene forverret seg dagen før innleggelse, og hun hadde planlagt å gå til lege.

    Vi antar at bruk av p-piller bidro vesentlig til den aktuelle tromboemboliske hendelsen. Orale prevensjonsmidler øker risiko for tromboembolisk sykdom som øker ytterligere ved samtidig koagulasjonsforstyrrelse.

    Pasienten har gitt samtykke til at artikkelen blir publisert.

    Oppgitte interessekonflikter:

    Ingen

    Kommentarer  ( 0 )
    PDF
    Skriv ut

    Anbefalte artikler