04.09.2012:
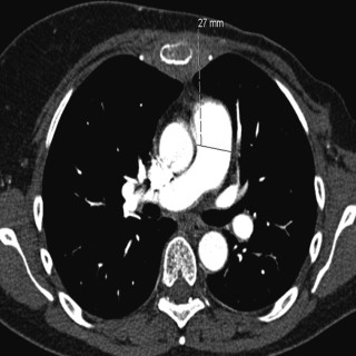
Pulmonal hypertensjon er en kompleks og multidisiplinær sykdom, der klassifisering og retningslinjer for diagnostikk og behandling ble revidert i 2009 (1, 2). Middeltrykket i arteria pulmonalis er per definisjon ≥ 25 mm Hg i hvile bedømt med høyresidig hjertekateterisering. Ved prekapillær form for pulmonal hypertensjon (gruppe 1, 3, 4, og 5) er innkilt lungearterietrykk ≤ 15 mm Hg og reflekterer normale trykk i venstre atrium. Dette er i motsetning til postkapillær pulmonal hypertensjon med > 15 mm Hg (gruppe 2), som uttrykk for økt fylningstrykk på venstre side av hjertet. Inndelingen i fem...