Foster med hydrops hos kvinne fra Vietnam

    ()

    sporsmal_grey_rgb
    Artikkel

    En 34 år gammel førstegangsgravid kvinne i svangerskapsuke 27 ble henvist til Kvinneklinikken ved Sentralsjukehuset i Rogaland på grunn av magesmerter. Hun hadde vært kvalm og kastet opp og hadde ikke klart å spise de siste fem dagene. Hun og hennes mann kom fra Vietnam, de var ikke i slekt med hverandre og visste ikke om spesielle sykdommer i familien. Ved starten av svangerskapet var blodtrykket hennes 100/60 mm Hg, hemoglobinverdien var 11,3 g/ 100 ml (referanseområde 12 – 14,9 g/100 ml) og ferritinkonsentrasjonen i serum var 56 µ g/l (referanseområde 17 – 200 µ g/l). Hun hadde fått jerntilskudd. Blodtypen var A rhesus pluss.

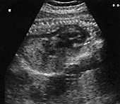
    Blodtrykket ved innkomst var 140/90 mm Hg, urinen gav svakt utslag på protein (dipstiks 1+), hemoglobinverdien var 10,5 g/ 100 ml, MCV 73 fl (referanseområde 80 – 99 fl), trombocytter 252 × 109/l (referanseområde 150 – 450 × 109/l), CRP< 10 mg/l (referanseområde< 10 mg/l), ASAT 129 U/l (referanseområde 10 – 35 U/l), ALAT 151 U/l (referanseområde 10 – 35 U/l), LD 775 U/l (referanseområde< 425 U/l), kreatinin 81 µ mol/l (referanseområde 60 – 125  µ mol/l) og urinsyre 440  µ mol/l (referanseområde 120 – 480  µ mol/l). Ultralydundersøkelse viste ascites og ødem hos fosteret (fig 1). Hjertet var forstørret, det var lite fostervann og placenta var stor.

    Som mulige diagnoser tenkte man på virusinfeksjon, preeklampsi, misdannelser hos fosteret, immunisering eller malaria.

    Virusinfeksjoner kan gi anemi hos foster, og dermed føre til utvikling av hydrops foetalis (ascites, pleuravæske og ødem). Spesielt er parvovirus B19 kjent for å kunne forårsake dette (1). Dette ble først regnet som den mest sannsynlige diagnosen.

    En alvorlig form for preeklampsi er HELLP-syndrom (hemolysis, elevated liver enzymes, low platelets). HELLP-syndrom gir anfall med smerter i øvre del av magen. Blodprøver viser tegn på hemolyse med høy verdi av LD og lav verdi av haptoglobin, forhøyede verdier ved leverfunksjonsprøver og fall i antall blodplater. Tilstanden kan bli farlig for mor og barn, og den eneste sikre behandlingen er å forløse kvinnen (2). Vår pasient hadde symptomer og tegn som gav mistanke om HELLP-syndrom. Antall blodplater var normalt, men det kan det være tidlig i forløpet.

    Alloimmunisering kan gi anemi og hydrops foetalis. Dette er vanligst mot faktor D. Pasienten hadde blodtype A rhesus pluss og kunne derfor ikke utvikle immunisering mot faktor D. Immunisering mot andre faktorer forekommer, men gir sjelden alvorlig reaksjon hos fosteret (3). Malaria kan gi alvorlig sykdom både hos mor og foster (4). Kvinnen kom fra et område av verden der malaria er vanlig, men hun hadde ingen sykehistorie typisk for malaria.

    Allmenntilstanden ble verre i løpet av første døgn. Leverfunksjonsverdiene steg, ASAT til 261 U/l og ALAT til 288 U/l. Urinsyreverdien steg til 586  µ mol/l, og nyrefunksjonen ble redusert (kreatinin 158  µ mol/l). LD steg til 1 073 U/l og haptoglobinverdien var< 0,1 g/l (referanseområde 0,2 – 2,4 g/l). Trombocyttantallet falt til 114 × 109/l.

    Man vurderte å sende pasienten til Nasjonalt senter for fostermedisin i Trondheim for å undersøke fosteret nøyere. Men mor var så syk at det ble nødvendig å sette i gang fødselen. Hun fødte ei jente med vekt 1 400 g. Barnet hadde apgarskåre 4 etter ett minutt, 2 etter fem minutter og 1 etter ti minutter. På grunn av barnets uttalte hydrops ble det ikke gjort forsøk på gjenoppliving. Placenta var ødematøs og veide 970 g. Mor fikk ha barnet hos seg til det døde. Det ble ikke tatt prøver av barnet mens det levde fordi man ville at mor og barn skulle få være i fred.

    Kvinnens tilstand ble raskt bedre etter fødselen, og blodprøvene ble normale i løpet av få dager. Serologiske prøver viste tidligere gjennomgåtte infeksjoner med hepatitt A-, herpes-, rubella- og cytomegalovirus. Serologiske antistoffprøver mot hepatitt B- og C-virus, toksoplasmose og parvovirus B19 var negative. Det var ikke tegn til alloimmunisering eller malaria. Bakteriologisk prøve fra livmorhalsen var negativ. Ved obduksjon av barnet fant man generelt ødem, ascites, forstørret hjerte, forstørret lever og hypoplastiske lunger. Det ble ikke funnet misdannelser.

    Kvinnen hadde alvorlig preeklampsi med utvikling av HELLP-syndrom. Sannsynligvis var preeklampsien en følge av placentasykdommen.

    Ett år senere hadde kvinnen en spontanabort i uke 8. Det ble ikke gjort utskrapning eller tatt blodprøver av henne. Det ble ikke vurdert om det var noen sammenheng med hennes første svangerskap.

    Etter enda ett år var kvinnen gravid på ny. Barnefaren var den samme. Hun ble henvist til Kvinneklinikken i svangerskapsuke 35 fordi fosteret var veksthemmet. Hun var i god allmenntilstand og hadde ikke tegn til preeklampsi. Hemoglobinverdien var 9,4 g/100 ml. Ultralydundersøkelse viste et veksthemmet foster ( −  25 %), lite fostervann og forstørret placenta. Fosterhjertet hadde fortykkede vegger og fylte ut nesten hele thorax, både aorta (fig 2) og navlevenen virket utvidet. Leveren var stor, men fosteret hadde ikke ascites eller pleuravæske.

    Fosteret var også denne gangen alvorlig sykt. Utvidede kar både på arterie- og venesiden tydet på økt blodstrøm og ikke på økt motstand i placenta. Man mistenkte at fosteret kunne ha anemi. Fosterets store hjerte tydet på hjertesvikt, men det hadde ikke utviklet hydrops. Mye tydet på at fosteret hadde samme sykdom som kvinnens første foster hadde hatt.

    Det ble tatt telefonisk kontakt med Nasjonalt senter for fostermedisin i Trondheim, og homozygot a-talassemi ble foreslått som aktuell diagnose. Denne tilstanden er vanlig i Sørøst-Asia (5), og den er i dette området årsak til minst 60 % av hydrops foetalis og til 25 % av perinatal dødelighet (6). Fostre som har den homozygote formen av sykdommen, dør oftest i siste del av svangerskapet eller like etter fødselen (6, 7). Tilstanden gir økt risiko for alvorlig preeklampsi og stor blødning ved fødselen (6).

    For å få en sikker diagnose før fødsel måtte man ta blodprøve fra navlestrengen og gjøre fraksjonering av hemoglobinet (6). Dette kan ikke gjøres i Stavanger. Foreldrenes blod var ikke undersøkt. Det ville ta flere dager å få svar på om de var bærere av a-talassemi. Hvis fosteret hadde homozygot a-talassemi, var utskiftningstransfusjon like etter fødselen nødvendig for at barnet skulle ha den minste sjanse til å overleve nyfødtperioden (6). Men barnets sjanse for å klare seg på lengre sikt ville likevel være liten (6).

    Kardiotokografisk undersøkelse viste nedsatt variasjon og manglende akselerasjoner (fig 3), noe som tydet på at fosteret var i fare. Det ble derfor bestemt å forløse kvinnen med keisersnitt samme dag og gjøre videre diagnostikk etter forløsningen.

    Barnet veide 1 635 g og var 44 cm langt. Det fikk apgarskåre 5 etter ett minutt og 4 etter fem minutter. Prøve fra navlearterien viste ikke tegn til acidose, pH var 7,35 (referanse> 7,20) og BE (base excess) var −  3 (referanse>  −  12). Placenta var stor og ødematøs og veide 1 400 g. Barnet var aktivt umiddelbart etter fødselen, men ble blåblekt, slapt, fikk langsom hjerteaksjon og gispende respirasjon i løpet av det første minuttet. Det ble intubert og overtrykksventilert, og det fikk adrenalin i tube. Hjerteaksjonen tok seg opp og hudfargen ble bedre. Det var usikkerhet om barnets kjønn fordi penis var liten og scrotum var bifid og tom, men kromosomanalyse bekreftet senere at det var en gutt. Barnet hadde meget forstørret lever og milt. Karene i navlen var uvanlig store med kraftige pulsasjoner i arteriene. Ictus cordis var synlig. Det ble tatt blodprøver og gjort utskiftningstransfusjon med til sammen 290 ml blod (180 ml/kg). Dette bedret ikke barnets kliniske tilstand nevneverdig. Oksygenmetningen var bare i korte perioder over 75 %, og den viste fallende tendens til tross for instillasjon av surfaktant og behandling med høyt respiratortrykk og oscillasjonsbehandling. Intraarterielt målt blodtrykk var først tilfredsstillende, men falt etter hvert. Tilførsel av vasopressor og korreksjon av acidose hadde ingen effekt. Barnet døde etter åtte timer.

    Barnets hemoglobinverdi ved fødselen var 7,4 g/100 ml (referanseverdi hos nyfødt 14,5–22,5 g/100 ml). Blodutstryket viste tallrike kjerneholdige røde blodceller (retikulocytter var 8,7 %, referanseverdi hos nyfødt 1,1 – 5,5 %). Hemoglobinfraksjonering utført ved Haukeland Sykehus tydet på homozygot α -talassemi. Bekreftelse av diagnosen fikk man ved α -globingenundersøkelse utført ved Herlev sygehus i København. Barnet hadde homozygot α -talassemi type α -SEA, begge foreldrene var heterozygote for α -talassemi og far var også heterozygot for β -talassemi. Obduksjon viste hypertrofi av hjertet, hypoplastiske lunger og forstørret lever og milt.

    Diskusjon

    Diskusjon

    Talassemi er en hemoglobinopati. Sykdommen deles i a- og b-talassemi, alt etter om det er feil i danningen av hemoglobinets a- eller b-kjeder. Begge typene opptrer i homozygot og heterozygot form. Fosterhemoglobin består normalt av to a-kjeder og to g-kjeder (hemoglobin F), mens voksenhemoglobin består av to a-kjeder og to b-kjeder (hemoglobin A) (8). Ved den homozygote formen av a-talassemi dannes det ikke a-kjeder. Istedenfor dannes det fire g-kjeder (Barts hemoglobin). Dette patologiske hemoglobinet har så sterk affinitet til oksygen at oksygenet ikke avgis til vevene (6), og fostre med homozygot a-talassemi vil ha hypoksi fra tidlig i fosterlivet.

    Mangel på b-kjeder hindrer danningen av voksent hemoglobin, men ikke føtalt hemoglobin. Barn med homozygot b-talassemi får derfor ikke symptomer før de er omkring tre måneder gamle.

    Dersom man kan utelukke jernmangel hos moren, vil lav MCV-verdi så å si alltid bety hemoglobinopati, som oftest heterozygot a- eller b-talassemi (9). Men differensialdiagnosen mellom jernmangel og annen årsak til lav MCV-verdi kan være vanskelig. Ved samme MCV-verdi vil talassemi gi høyere hemoglobinkonsentrasjon og en jevnere størrelse av erytrocyttene enn jernmangelanemi (9). Hvis den ene i et parforhold er heterozygot for a-talassemi og den andre er heterozygot for b-talassemi, er det ikke noen fare for barnet. Det kan leve et normalt liv og være heterozygot for begge talassemitypene. Men hvis begge er heterozygote for a-talassemi eller b-talassemi, bør paret ved eventuelt svangerskap få tilbud om chorionvillusbiopsi og prenatal DNA-diagnostikk (6). Da er det nemlig 25 % risiko for at fosteret får den homozygote formen av sykdommen (10). Hvis fosteret har homozygot a-talassemi, må paret informeres om den håpløse situasjonen for fosteret og om risikoen for svangerskapskomplikasjoner for kvinnen. Paret bør få tilbud om svangerskapsavbrudd.

    Personer med heterozygot talassemi er ofte ikke klar over sin tilstand. De har en moderat mikrocytær anemi (6). Tilstanden er mest utbredt i områder der malaria opptrer endemisk (6), og bærere av tilstanden er til en hvis grad beskyttet mot malaria (8). I Hongkong er 8 % av befolkningen bærere av én av talassemitypene (5). a-talassemi er vanligst i Asia, b-talassemi er vanligst i Afrika og i middelhavslandene.

    Homozygot b-talassemi gir alvorlig anemi, men disse pasientene kan leve hvis de får hyppige blodtransfusjoner (8). Homozygot a-talassemi er den mest alvorlige formen. Ved homozygot a-talassemi består mer enn 95 % av fosterets hemoglobin av fire g-kjeder. Det er til nå bare beskrevet enkelttilfeller hvor barn har overlevd etter eksperimentell behandling (6). Man har forsøkt transplantasjon av føtale stamceller til foster (11) eller beinmarg til nyfødt (12). Bruk av vev fra aborterte fostre til medisinsk behandling har ikke vært utført i Norge. En norsk kvinne fikk i 1993 stilt diagnosen homozygot a-talassemi hos fosteret sitt, og fosteret ble forsøkt behandlet med stamcelletransplantasjon i Huddinge i Sverige. To etiske komiteer der hadde vært positive til stamcelletransplantasjon. Transplantasjonen var ikke vellykket, men fosteret overlevde og barnet er blitt behandlet med blodtransfusjoner. Saken utløste debatt i norske medier om de etiske betenkelighetene med denne form for behandling (13). Regjeringen Bondevik foreslo i desember 1999 å forby bruk av vev fra aborterte fostre, men ville vurdere bruk av stamceller nærmere (14). Flertallet i en arbeidsgruppe nedsatt av Sosial- og helsedepartementet har i en rapport fra april 2000 vurdert at bruk av stamceller fra aborterte fostre kan være etisk forsvarlig (15). Det ble nylig kjent at man ved Huddinge sjukhus har klart å behandle et foster med immunsvikt med stamcelletransplantasjon (16). Man har også forsøkt intensiv transfusjonsbehandling av barn (6), men også dette gir risiko for alvorlige bivirkninger, og behandlingen er på det eksperimentelle plan (17).

    Karakteristiske ultralydfunn ved anemi hos foster er forstørret hjerte (18), forstørret lever, utvikling av hydrops foetalis og fortykket placenta (7). Det finnes utallige tilstander som kan være assosiert med føtal hydrops (19). Tabell 1 gir en oversikt over de vanligste årsaker. Ved utredningen bør man undersøke fosterets anatomi og sirkulasjon, karyotype, blodstatus og infeksjonsstatus. Enkelte årsaker til hydrops kan behandles prenatalt. Fostre med anemi kan få blodtransfusjoner, og væskeansamlinger kan dreneres. Det er viktig å måle blodstrømmen både på arteriell og venøs side med dopplerultralyd (20). Blodstrømsmålinger i tidlig graviditet hos fostre med a-talassemi har vist økt blodstrøm i aorta og gjennom pulmonalklaffen, og hjertets minuttvolum er større enn normalt (21). I en nylig publisert studie har man påpekt den høye diagnostiske verdien av å måle maksimal blodstrømshastighet i a. cerebri media ved føtal anemi (22).

    Tabell 1  

    Årsaker til hydrops hos foster

    • Anemi

      •   Alloimmunisering

      •   Hemoglobinopati

      •   Føtomaternell blødning

      •   Føtoføtalt transfusjonssyndrom

      •   Forbrukskoagulopati

    • Kardiovaskulær sykdom

      •   Hjertefeil

      •   Arytmi

      •   AV-shunt

    • Infeksjoner

      •   Parvovirus B19

      •   Cytomegalovirus

      •   Herpes simplex-virus

      •   RS-virus

      •   Toksoplasmose

      •   Varicellavirus

    • Kromosomavvik

      •   45 X

      •   Trisomi

      •   Translokasjon

      •   Triploiditet

    • Andre utviklingsavvik

      •   Tumor

      •   Skjelettdysplasi

      •   Metabolsk sykdom

    Lærdommen ved denne sykehistorien er at det må foretas en nøye utredning ved føtal hydrops. Homozygot a-talassemi er en vanlig årsak hos personer fra Sørøst-Asia. I Rogaland bor det omtrent 1 300 mennesker fra Vietnam, og minst 60 av disse forventes å ha heterozygot a-talassemi. Gravide kvinner fra disse områder av verden bør henvises til spesialavdeling hvis de har mikrocytær anemi uten jernmangel, tidligere sykehistorie med uforklarlig perinatal død eller har hatt alvorlig preeklampsi.

    Sykehistorien understreker også hvor viktig det er å utrede barn som dør like etter fødselen. Man bør forsøke å ta blodprøver, inklusive karyotyping, mens barnet ennå er i live, og barna bør obduseres. Slike undersøkelser er ofte avgjørende for planlegging og oppfølging av senere svangerskap.

    Kommentarer  ( 0 )

    Anbefalte artikler