16.10.2017:
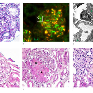
Primær systemisk vaskulitt, der inflammasjon i karveggen rammer flere organsystemer, er en sjelden tilstand hos barn. Tilstanden deles inn i undergrupper avhengig av det kliniske bildet og hvilke kar som er rammet. IgA-vaskulitt (tidligere kalt Henoch-Schönleins purpura) er den hyppigst forekommende, etterfulgt av Kawasakis sykdom, antinøytrofile cytoplasmiske antistoffer (ANCA)-assosiert vaskulitt (granulomatøs polyangitt, tidligere kalt Wegeners granulomatose, og mikroskopisk polyangitt), Takayasus arteritt og polyarteritis nodosa (1). IgA-vaskulitt er vanligvis lett å identifisere, på grunn...