Neuropathy can have many causes, some less well known than others. In this article, we present the case of a young man with progressive neurological deficit over several months. The cause was found to be an increasing social problem.
A man in his twenties was referred to the emergency department due to weakness and numbness in his legs. For around three months, he had been experiencing pain and soreness in his toes, which gradually spread up his legs and towards his thighs. In the last month prior to attending, he also developed reduced strength and numbness in both lower limbs, and he visited the out-of-hours primary emergency care service due to increasing difficulties walking. He had a good level of fitness and played sport actively, but was now experiencing pain on exertion. He had no pain at rest. He had been diagnosed with type I diabetes and started on insulin treatment a few months before onset of the current symptoms. The disease had been detected following an unintentional weight loss of 25 kg (around 20 % of his body weight) over 2–3 months. He was not a smoker, reported moderate alcohol consumption and denied using recreational drugs.
The patient had a medical history of gradual progression of pain in the lower limbs over a few months, accompanied by new onset of symptoms of numbness, unsteadiness and mild paresis in both lower limbs. His case history raised suspicion of polyneuropathy, but it was unclear whether an acute or more subacute form was involved.
Polyneuropathy is an umbrella term for various diseases affecting peripheral nerves, with different causes and phenotypes. Case history and blood samples are generally investigated first to identify the most likely causes. If the routine investigation of polyneuropathy does not reveal any clear causes, further investigation should be guided by clinical phenotype and neurography findings (1).
Polyneuropathy is most often caused by metabolic, toxic and autoimmune conditions, but cryptogenic polyneuropathy probably accounts for up to 50 % of cases (1). In Western countries, the most frequent cause is diabetes. This usually presents in the form of distal symmetrical polyneuropathy with slow progression of pain or numbness in the feet (1, 2). Our patient developed pain and numbness too rapidly after being diagnosed with type I diabetes for this to be the cause. He also developed loss of strength, yet the onset of paresis associated with diabetic neuropathy is usually very late. Treatment-induced neuropathy (insulin neuritis) might have been a relevant differential diagnosis (3). This neuropathy predominantly affects small nerve fibres and is caused by rapid correction of blood glucose after prolonged hyperglycaemia. The condition is characterised by acute onset of intense neuropathic pain and autonomic dysfunction. However, the patient's pain was not very intense, and his loss of strength was also not consistent with this diagnosis. Therefore, in this case, the presentation was not consistent with the most relevant forms of diabetes-related neuropathy.
Findings of a systems review and vital signs were normal, and he was afebrile. Neurological examination revealed no alteration in his level of consciousness or cognitive function. He had no cranial nerve deficit. There were no changes in muscle tone, visible atrophy or involuntary movements. He had normal movement and strength in the upper limbs, while examination of the lower limbs revealed symmetrical weakness, particularly in ankle and foot movements (strength grade 4/5). He was not able to sit down or rise from a squatting position without support. Pain only occurred during strength testing.
He was experiencing numbness in the fingertips of both hands, but this could not be reproduced during testing. There was decreased sensitivity to light touch in both lower limbs, most pronounced distally, while examination of other sensory modalities (pain, temperature, vibration, proprioception, two-point discrimination) was normal. Heel-to-shin test revealed ataxia. Deep tendon reflexes were weaker (+) in the upper limbs, but no patellar or Achilles reflexes could be elicited. Plantar reflexes were indifferent. His gait was unsteady and slightly wide-based with inadequate foot rollover. Romberg's test was negative, but he struggled with static weight-bearing (i.e. standing straight upright). There were no skin changes or deformities in the feet.
The patient's case history and clinical findings raised suspicion of Guillain-Barré syndrome. Therefore, the patient was admitted to the Department of Neurology for further investigation. Guillain-Barré syndrome is an acute immune-mediated polyneuropathy, which ranges in severity from mild weakness or sensory disturbances to a devastating course with development of paralysis and respiratory failure in a matter of days. Guillain-Barré syndrome was relevant since the condition usually starts with pain and relatively symmetrical weakness in the distal lower limbs, as in our patient, but can also extend towards the arms, in the worst case scenario to the torso and respiratory muscles. The patient's numbness and absent tendon reflexes supported this differential diagnosis.
However, classic Guillain-Barré syndrome takes a monophasic course, with symptoms developing within four weeks and then plateauing. Our patient's pain had persisted for over three months. Chronic inflammatory demyelinating polyneuropathy (CIDP) is an important differential diagnosis that should be considered in cases of progressive polyneuropathy lasting more than eight weeks (4). As with Guillain-Barré syndrome, this polyneuropathy is immune-mediated. It has very similar symptoms involving distal sensory deficit, diminished or absent reflexes, as well as muscle weakness. However, the condition usually affects both proximal and distal muscles, in both the arms and legs, whereas our patient had weakness predominantly in his ankles and hips.
We found an indication for lumbar puncture with investigation for infectious diseases, electromyography (EMG)/neurography, neuronal antibodies and imaging of the central nervous system. In addition, we considered that investigation for malignancies would be useful since the patient had lost 25 kg in weight.
Standard blood tests for polyneuropathy showed low haemoglobin of 13.1 g/dL (reference range 13.4–17.0) and borderline-high mean corpuscular volume (MCV) of 96 fL (82–98). HbA1c was slightly elevated at 46 mmol/mol (20–42). Renal, hepatic, biliary and thyroid parameters were otherwise normal. He had low levels of vitamin B12 (135 pmol/L (150–650)) and vitamin B9/folate (6 nmol/L (> 7)). Protein electrophoresis showed no monoclonal protein indicating amyloidosis or haematological malignancy. Anti-ganglioside, anti-myelin-associated glycoprotein (anti-MAG), anti-glutamic acid decarboxylase (anti-GAD) and paraneoplastic antibodies were all negative.
Lumbar puncture the day after admission revealed normal findings for leukocytes (< 4 × 106/L), glucose and protein (< 0.45 g/L) in cerebrospinal fluid, without detection of B. burgdorferi or neurotropic viruses (herpes simplex, varicella zoster, Epstein-Barr and cytomegalovirus).
Neurography, also performed on day 2, found almost no motor response distally in both lower limbs, while electromyography revealed decreased recruitment and sparse denervation activity in all muscles examined in the lower limbs (vastus lateralis, tibialis anterior and medial head of gastrocnemius muscles). Findings of low amplitudes on neurography and denervation activity on electromyography indicated axonal injury. Sensory neurography of the lower limbs showed normal findings, apart from an absence of response from both medial plantar nerves. Findings of neurography and electromyography were normal in the upper limbs, except for slightly prolonged F-responses in general, indicating moderate motor involvement in the upper limbs as well.
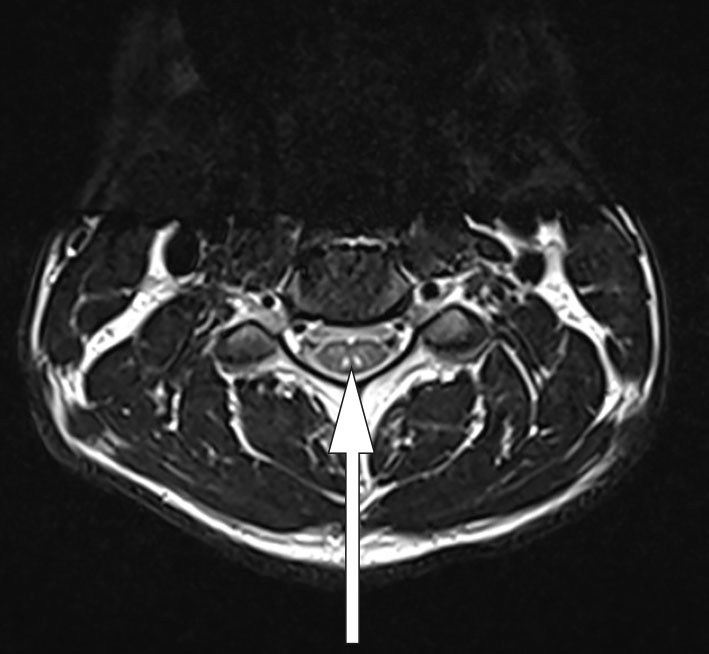
On contrast-enhanced MRI of the central nervous system on day 5, a sagittal section of a T2-weighted image showed a subtle high signal intensity in the spinal cord at C2/C3 (Figure 1), and an axial section showed contrast accumulation at the dorsal column (Figure 2). However, there was no uptake of contrast along lumbar nerve roots or the conus medullaris.
CT scanning of the chest, abdomen and pelvis prior to discharge on day 8 found no abnormalities.
Due to the patient's vitamin B12 deficiency, we confirmed that he was not vegetarian, had no gastrointestinal symptoms, and was not using antacids or metformin. On repeat questioning about recreational drugs, he now reported that he used moderate amounts of marijuana, but nothing else.
The findings indicated nerve injury in both the spinal cord and lower limbs. With a non-elevated protein level in the cerebrospinal fluid and no contrast accumulation in the lumbar area on MRI, the findings were not consistent with Guillain-Barré syndrome. MRI of the spinal cord (Figure 2) revealed a so-called inverted V or 'rabbit ears' sign. This is referred to as subacute combined degeneration and is characteristic of demyelination of the dorsal column caused by vitamin B12 deficiency (5).
The findings of EMG/neurography were interpreted as being overall consistent with acute/subacute polyneuropathy in the lower limbs with axonal involvement of the motor nerves primarily. As with the clinical presentation, this was perceived to be atypical for diabetic neuropathy. The demyelination findings were not typical of a classic form of Guillain-Barré syndrome or chronic inflammatory demyelinating polyneuropathy. However, the findings might have been consistent with rare axonal variants of Guillain-Barré syndrome.
At this point, the findings consisted of a triad of central and peripheral nerve injury as well as vitamin B12 deficiency without any underlying cause having been detected. While admitted, the patient's clinical presentation had stabilised, and his pain had subsided. This strengthened the suspicion that he had been exposed to something neurotoxic prior to admission. He was again asked if other recreational drugs could be involved, but he denied this. Since vitamin B12 deficiency has been reported in the literature as a possible adverse effect of nitrous oxide, this was proposed as a potential cause. On direct questioning about nitrous oxide, he reported a consumption of up to 2–3 canisters every weekend for the last 6 months. Since nitrous oxide is not illegal, he did not regard it as a recreational drug and had therefore failed to mention it.
The patient was treated with 1 mg vitamin B12 intramuscular injections for five days, followed by maintenance treatment with 2 mg vitamin B12 and 5 mg folic acid supplementation in tablet form. He ceased all use of nitrous oxide immediately and started physiotherapy. At a check-up six months after admission, the patient was found to still have motor impairment of the distal lower limbs on neurography/EMG, but almost entirely normal sensory findings from the soles of the feet. He had made a considerable clinical improvement with good levels of strength and normalisation of sensory function in the lower limbs.
Discussion
The Global Drug Survey 2022 shows a clear increase in the use of nitrous oxide as a recreational drug, particularly during the pandemic (6, 7). Globally, 17 % of young adults report having tried nitrous oxide for recreational purposes and of these 42 % had tried it in the last twelve months (8). Neurological adverse effects with myeloneuropathy, subacute combined degeneration, either with or without associated megaloblastic anaemia, have been reported (7–9). Our patient developed serious nerve injury following overconsumption of nitrous oxide, and he was one of the first of several similar cases we identified with this condition at Oslo University Hospital.
The pathophysiology is not fully known, but the onset of adverse effects can be acute or follow prolonged use. In the short term, nitrous oxide displaces oxygen and can trigger epileptic seizures, arrhythmias, cardiac and respiratory arrest (8, 10). Neurotoxic complications mostly occur with prolonged exposure, usually due to inactivation of vitamin B12 (cobalamin). Nitrous oxide oxidises the cobalt ion in vitamin B12 and impairs conversion of homocysteine to methionine. Without methionine, there is no methylation of myelin, the insulating layer around nerve cells. This leads to demyelination in both the central and peripheral nervous system (8, 10).
Nitrous oxide-induced neuropathy is typically reported in young people in their twenties and notably affects mostly the lower limbs, with symptoms that include varying degrees of unsteadiness, numbness and weakness (11, 12). Reported neurophysiological findings are usually sensorimotor neuropathy with mixed axonal and demyelinating features. The findings can be difficult to differentiate from demyelinating neuropathy (such as Guillain-Barré syndrome and chronic inflammatory demyelinating polyneuropathy), but at a group level neurographic differences have been reported that may be useful in the differential diagnosis (13, 14). However, several cases have also been reported with more striking neurophysiological findings in the form of predominately motor axonal damage in the legs, similar to that seen in axonal variants of Guillain-Barré syndrome (15, 16). This was found in our patient, as well as in other patients who we have examined with nitrous oxide-induced neuropathy.
Nitrous oxide (dinitrogen monoxide, N2O) is itself a weak analgesic and sedative gas that can provide short-term relief during medical procedures, and is most commonly used during childbirth and dental treatment. This medical grade nitrous oxide contains at least 21 % oxygen, and there are strict requirements regarding ventilation and occupational exposure. When inhaled, it produces a feeling of euphoria, which is the origin of its name laughing gas or happy gas and has led to its recreational use. As a party drug, nitrous oxide has been readily available as whipped cream cartridges (whippits), small 8 g cartridges that can be purchased in kitchen supply shops. As demand has increased, online shops have sprung up offering home delivery of larger gas canisters, typically 615 g or 2 kg canisters (17, 18). We would like to emphasise that these gas cartridges and canisters are not the same as medical grade nitrous oxide, since they are not mixed with oxygen and are intended for industrial use or to whip cream. The gas in the canisters is also pressurised and can cause frostbite to the mouth and hands when opened. Therefore, the gas is typically filled into balloons prior to inhalation, earning it the nickname of 'balloons' among young people.
Until recently, nitrous oxide parties have been mostly associated with nightclubs in the Mediterranean, but in recent years its use has become more common in Scandinavia (19–21). In Denmark, the problem has become so great that the police have set an age limit of 18 years for the purchase of nitrous oxide (22). In Norway, it is illegal to sell nitrous oxide as a recreational drug, but it is not considered to be a narcotic. Therefore, the canisters are imported and resold anonymously via certain social media channels.
Since the intoxicating effect is short-acting and does not cause a hangover, many people may believe that nitrous oxide is harmless, but this is a false sense of security. Hallucinations and disorientation occur in 20–30 % of users, while persistent neurological adverse effects have been reported in 4–5 %, usually starting around six months after regular intake (7, 11). People with high intake over time seem to develop more severe disease, which indicates that the nerve damage is dose-related (8, 11). The mean daily dose when used as a recreational drug is approximately 40 g, although it can be as much as 800 g in heavy users (7, 8). The neurotoxic threshold varies between individuals, but in nearly all cases a cumulative total dose over time of about 65 kg will cause the most severe nerve injury requiring hospitalisation (11). It is likely that some people are more susceptible to rapid development of symptoms, including those with pre-existing vitamin B12 deficiency (for example, people with a vegetarian diet, malnutrition or excessive alcohol consumption) (8, 11).
If excessive use of nitrous oxide is suspected, it is recommended that blood levels of vitamin B12 be measured. However, if vitamin B12 levels are normal, methylmalonic acid and homocysteine should be assessed since they may identify functional vitamin B12 deficiency (9, 11). There is no established treatment, but cessation of nitrous oxide and high-dose vitamin B12 injections are recommended initially, after which maintenance treatment with oral supplementation should be considered (8, 10). Several cases indicate that the prognosis is best when treatment is initiated rapidly, but improvement is slow and the condition is not always reversible (8, 10, 11). Since nitrous oxide is still legal in Norway, healthcare professionals must be aware that not all patients will report it when asked about use of recreational drugs. Use of nitrous oxide should be specifically enquired about in cases of suspected acute/subacute neuropathy in young people.
The patient has given consent for the article to be published.
The article has been peer-reviewed.
- 1.
Mygland A. Kronisk polynevropati–utredning og diagnostikk. Tidsskr Nor Lægeforen 2007; 127: 291–5. [PubMed]
- 2.
Jensen TS, Karlsson P, Gylfadottir SS et al. Painful and non-painful diabetic neuropathy, diagnostic challenges and implications for future management. Brain 2021; 144: 1632–45. [PubMed][CrossRef]
- 3.
Gibbons CH, Freeman R. Treatment-induced neuropathy of diabetes: an acute, iatrogenic complication of diabetes. Brain 2015; 138: 43–52. [PubMed][CrossRef]
- 4.
Verboon C, van Doorn PA, Jacobs BC. Treatment dilemmas in Guillain-Barré syndrome. J Neurol Neurosurg Psychiatry 2017; 88: 346–52. [PubMed][CrossRef]
- 5.
Sotirchos ES, Saidha S, Becker D. Neurological picture. Nitrous oxide-induced myelopathy with inverted V-sign on spinal MRI. J Neurol Neurosurg Psychiatry 2012; 83: 915–6. [PubMed][CrossRef]
- 6.
Vollhardt R, Mazoyer J, Bernardaud L et al. Neurological consequences of recreational nitrous oxide abuse during SARS-CoV-2 pandemic. J Neurol 2022; 269: 1921–6. [PubMed][CrossRef]
- 7.
Kaar SJ, Ferris J, Waldron J et al. Up: The rise of nitrous oxide abuse. An international survey of contemporary nitrous oxide use. J Psychopharmacol 2016; 30: 395–401. [PubMed][CrossRef]
- 8.
Winstock AR, Ferris JA. Nitrous oxide causes peripheral neuropathy in a dose dependent manner among recreational users. J Psychopharmacol 2020; 34: 229–36. [PubMed][CrossRef]
- 9.
Oussalah A, Julien M, Levy J et al. Global burden related to nitrous oxide exposure in medical and recreational settings: A systematic review and individual patient data meta-analysis. J Clin Med 2019; 8: 551. [PubMed][CrossRef]
- 10.
Xiang Y, Li L, Ma X et al. Recreational Nitrous Oxide Abuse: Prevalence, Neurotoxicity, and Treatment. Neurotox Res 2021; 39: 975–85. [PubMed][CrossRef]
- 11.
Largeau B, Karam A, Potey C et al. Myeloneuropathy induced by recreational nitrous oxide use with variable exposure levels. Eur J Neurol 2022; 29: 2173–80. [PubMed][CrossRef]
- 12.
Yu M, Qiao Y, Li W et al. Analysis of clinical characteristics and prognostic factors in 110 patients with nitrous oxide abuse. Brain Behav 2022; 12: e2533. [PubMed][CrossRef]
- 13.
Qin X, Kang L, Liu X et al. Acute nitrous oxide-induced neuropathy mimicking Guillain-Barré syndrome. J Peripher Nerv Syst 2022; 27: 189–96. [PubMed][CrossRef]
- 14.
Li Y, Zhang X, Zhao C. Electrophysiological characteristics of patients with nitrous oxide abuse. Neurol Res 2021; 43: 793–801. [PubMed][CrossRef]
- 15.
Berling E, Fargeot G, Aure K et al. Nitrous oxide-induced predominantly motor neuropathies: a follow-up study. J Neurol 2022; 269: 2720–6. [PubMed][CrossRef]
- 16.
Redmond J, Cruse B, Kiers L. Nitrous oxide-induced neurological disorders: an increasing public health concern. Intern Med J 2022; 52: 740–4. [PubMed][CrossRef]
- 17.
Smartwhip. https://smartwhip.com Accessed 24.7.2022.
- 18.
Fastgas. https://fast-gas.com Accessed 24.7.2022.
- 19.
Midtskog RE, Honningsøy KH. Ungdommer tilbys ballonger med lystgass i Syden. NRK 21.6.2016. https://nrk.no/norge/ungdommer-tilbys-ballonger-med-lystgass-i-syden-1.13006360 Accessed 26.7.2022.
- 20.
Simensen HM, Hegnar EM. Ryster Stockholm. Dagbladet 27.5.2022. https://www.dagbladet.no/nyheter/ryster-stockholm/76193033 Accessed 24.7.2022.
- 21.
Stor lystgassbeholder funnet på Tronvik – politiet ber foreldre snakke med unge om rus. Moss avis 13.7.2022 https://www.moss-avis.no/stor-lystgassbeholder-funnet-pa-tronvik-politiet-ber-foreldre-snakke-med-unge-om-rus/s/5-67-1548735 Accessed 26.8.2022
- 22.
Heiervang C. Danskene setter 18-års aldersgrense på gasspatroner. Aftenposten 6.6.2020. https://www.aftenposten.no/oslo/i/Adedoq/danskene-setter-18-aars-aldersgrense-paa-gasspatroner-ikke-noe-leketoey-for-barn-sier-professor Accessed 24.7.2022.
Jeg ville bare takke for publikasjonen. Dette var en lærerik case.