Nevropati kan ha mange årsaker, noen mindre kjente enn andre. Her presenterer vi en ung mann med progredierende nevrologiske utfall over flere måneder. Årsaken viste seg å være et økende samfunnsproblem.
En mann i 20-årene ble henvist til akuttmottaket grunnet svakhet og nummenhet i beina. Han hadde i ca. tre måneder opplevd smerter og stølhet i tærne, som etter hvert bredte seg oppover leggene og videre mot lårene. Den siste måneden forut for oppmøtet oppstod det også redusert styrke og nummenhet i begge underekstremitetene, og han oppsøkte legevakt grunnet økende gangvansker. Han var veltrent og drev aktivt med idrett, men opplevde nå smerter ved belastning. Han hadde ingen smerter i hvile. Han hadde fått diagnosen diabetes mellitus type I og begynt med insulinbehandling et par måneder før de aktuelle symptomene oppstod. Sykdommen var blitt påvist i etterkant av ufrivillig vektnedgang på 25 kg (ca. 20 % av kroppsvekten) over 2–3 måneder. Han røyket ikke, anga moderat alkoholforbruk og benektet bruk av rusmidler.
Pasientens sykehistorie bestod av langsomt progredierende smerter i underekstremitetene over få måneder, ledsaget av nyoppståtte symptomer i form av nummenhet, ustøhet og lette pareser i begge underekstremitetene. Anamnesen reiste mistanke om polynevropati, men det var uklart om det dreide seg om en akutt eller mer subakutt form.
Polynevropati er en samlebetegnelse på forskjellige sykdommer som rammer perifere nerver, med ulike årsaker og fenotyper. Anamnese og blodprøver kartlegges som regel først for å indikere hvilke årsaker som er mest sannsynlige. Dersom rutineutredningen av polynevropati ikke avdekker klar utløsende årsak, bør videre utredning styres ut fra klinisk fenotype og funn ved nevrografi (1).
Polynevropati skyldes oftest metabolske, toksiske og autoimmune tilstander, men kryptogene polynevropatier utgjør sannsynligvis opp mot 50 % (1). I vestlige land er diabetes mellitus den hyppigste årsaken. Dette manifesterer seg oftest i form av en distal symmetrisk polynevropati med langsomt progredierende smerter eller nummenhet i føttene (1, 2). Vår pasient utviklet smerter og nummenhet altfor raskt etter at han fikk diagnosen diabetes mellitus type I til at dette skulle være årsaken. Han utviklet også krafttap, mens pareser som ledd i diabetesnevropati vanligvis oppstår svært sent. Behandlingsindusert nevropati (insulinnevritt) kunne vært en aktuell differensialdiagnose (3). Dette er en nevropati som hovedsakelig rammer tynne nervefibre og som skyldes rask korreksjon av blodsukker etter langvarig hyperglykemi. Tilstanden kjennetegnes av akutt debut av intense, nevropatiske smerter og autonom dysfunksjon. Pasientens smerter var imidlertid ikke svært intense, og krafttap passet heller ikke med en slik diagnose. I dette tilfellet passet bildet derfor ikke med de mest aktuelle diabetesrelaterte nevropatiformene.
Funn ved organundersøkelse og vitalia var normale, og han var afebril. Nevrologisk undersøkelse avdekket ingen endring av bevissthetsnivå eller kognitive funksjoner. Han hadde ingen hjernenerveutfall. Det var ingen tonusendringer i muskulatur, ei heller synlige atrofier eller ufrivillige bevegelser. Han hadde normalt tempo og styrke i overekstremitetene, mens undersøkelse av underekstremitetene avdekket sidelikt redusert styrke, spesielt ved ankel- og fotbevegelser (kraftgrad 4/5). Han klarte ikke å sette seg ned eller reise seg fra huk uten støtte. Smerter tilkom kun under krafttesting.
Han opplevde nummenhet i fingertuppene på begge hender, men dette kunne ikke gjenfinnes ved testing. Det var redusert sensibilitet for lett berøring i begge underekstremitetene, mest distalt, mens undersøkelse av andre sansemodaliteter (smerte, temperatur, vibrasjon, leddsans, topunktsdiskriminering) var normale. Kne-hæl-prøve avdekket ataksi. Det var svakere dype senereflekser (+) i overekstremitetene, mens patella- og akillesrefleksene ikke kunne utløses. Plantarrefleksene var indifferente. Han hadde ustø, lett bredbaset gange med dårlig fotavvikling. Rombergs test var negativ, men han slet med den statiske vektbelastningen (dvs. å stå rett oppreist). Det var ingen hudforandringer eller deformiteter i føttene.
Anamnesen og kliniske funn reiste mistanke om Guillain-Barrés syndrom. Pasienten ble derfor innlagt ved nevrologisk avdeling for videre utredning. Guillain-Barrés syndrom er en akutt immunmediert polynevropati, der alvorligheten varierer fra lett svakhet eller sensoriske forstyrrelser til et stormende forløp med utvikling av paralyse og respirasjonssvikt i løpet av få dager. Guillain-Barrés syndrom kunne passe godt, siden tilstanden vanligvis starter med smerter og relativt symmetrisk svakhet distalt i underekstremitetene, som hos vår pasient, men kan også bre seg oppover armene, i verste fall til overkroppen og respirasjonsmusklene. Pasientens nummenhet og utslukkede senereflekser støttet denne differensialdiagnosen.
Klassisk Guillain-Barrés syndrom har imidlertid et monofasisk forløp, der symptomene utvikler seg innen fire uker og når et platå. Hos vår pasient hadde smertene pågått i over tre måneder. Kronisk inflammatorisk demyeliniserende polynevropati (CIDP) er en viktig differensialdiagnose som bør vurderes ved progredierende polynevropatier i mer enn åtte uker (4). I likhet med Guillain-Barrés syndrom er dette en immunmediert polynevropati. Symptomene likner svært mye med distale sensoriske utfall, svake eller utslukkede reflekser samt muskelsvakhet. Tilstanden rammer imidlertid oftere både proksimal og distal muskulatur, både i armer og bein, mens vår pasient hadde størst svakhet i ankler og hofter.
Vi fant indikasjon for spinalpunksjon med infeksjonsprøver, elektromyografi (EMG)-nevrografi, nerveantistoffer og billedundersøkelser av sentralnervesystemet. I tillegg anså vi malignitetsutredning som nyttig, ettersom pasienten hadde hatt et vekttap på 25 kg.
Standard blodprøver ved polynevropati viste lavt hemoglobin på 13,1 g/dL (referanseområde 13,4–17,0) og grensehøyt gjennomsnittlig cellevolum i de røde blodcellene (MCV) på 96 fL (82–98). HbA1c var lett forhøyet på 46 mmol/mol (20–42). Ellers var det normale nyre-, lever-, galle- og tyreoideaprøver. Han hadde lave nivåer av vitamin B12 (135 pmol/L (150–650)) og vitamin B9/folat (6 nmol/L (> 7)). Proteinelektroforese viste ingen M-komponent som tydet på amyloidose eller malign blodsykdom. Antistoffer mot gangliosider, myelinassosiert glykoprotein (anti-MAG), glutaminsyredekarboksylase (anti-GAD) samt paraneoplastiske antistoffer var alle negative.
Spinalpunksjon dagen etter innleggelse viste normale funn av leukocytter (< 4 × 106/L), glukose og protein (< 0,45 g/L) i cerebrospinalvæsken. Det var ikke påvist B. burgdorferi eller nevrotrope virus (herpes simplex-, varicella-zoster-, Ebstein-Barr- og cytomegalovirus).
Nevrografi, også utført dag 2, viste tilnærmet manglende motoriske svar distalt i begge underekstremitetene, mens elektromyografi viste redusert rekruttering samt beskjeden denervasjonsaktivitet i alle undersøkte muskler i underekstremitetene (m. vastus lateralis, m. tibialis anterior og m. gastrocnemius caput mediale). Funn av lave amplituder ved nevrografi og denervasjonsaktivitet ved elektromyografi tydet på en aksonal påvirkning. Sensorisk nevrografi fra underekstremitetene viste normale funn, bortsett fra manglende svar fra begge n. plantaris medialis. Nevrografi og elektromyografi viste normale funn i overekstremitetene, foruten generelt lett forlengede F-responser, tydende på en beskjeden motorisk affeksjon også i overekstremitene.
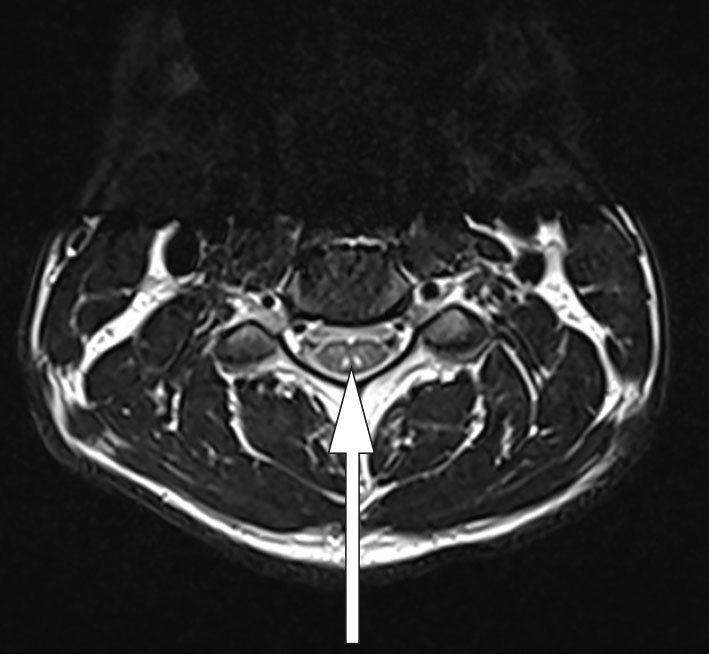
Ved kontrastforsterket MR-undersøkelse av sentralnervesystemet dag 5 viste T2-vektet bilde et subtilt høysignal i medulla på C2/C3-nivå på sagittale snitt (figur 1), og det var kontrastopplading tilsvarende bakstrengen på aksiale snitt (figur 2). Derimot var det ingen kontrastopptak langs lumbale nerverøtter eller conus medullaris.
CT-undersøkelse av toraks, abdomen og bekken før utskrivning dag 8 viste ingen patologi.
Grunnet pasientens B12-mangel forsikret vi oss om at han ikke var vegetarianer, hadde plager tilknyttet mage og tarm, brukte syredempende medisiner eller metformin. På gjentatt spørsmål om rusmidler oppga han nå at han brukte hasj i moderate mengder, men ingen andre.
Funnene tydet på nerveskader både i medulla og i underekstremitetene. Ettersom det ikke var forhøyet protein i spinalvæsken eller kontrastopplading lumbalt på MR-undersøkelse, var funnene ikke forenlig med Guillain-Barrés syndrom. MR-undersøkelse av ryggmargen (figur 2) viste såkalt omvendt V-tegn (inverted V-sign) eller «kaninører». Dette er benevnt som subakutt kombinert degenerasjon og er karakteristisk for demyelinisering av bakstrengen på bakgrunn av B12-mangel (5).
Funnene ved EMG-nevrografi ble totalt sett tolket som forenlige med en akutt/subakutt polynevropati i underekstremitetene med aksonal påvirkning av hovedsakelig motoriske nerver. Dette ble i likhet med den kliniske presentasjonen oppfattet som uvanlig for diabetesnevropati. Det var heller ikke typiske demyeliniserende funn som ved en klassisk form for Guillain-Barrés syndrom eller kronisk inflammatorisk demyeliniserende polynevropati. Funnene kunne imidlertid stemme overens med sjeldne aksonale varianter av Guillain-Barrés syndrom.
Hittil hadde man funnet en triade av sentrale og perifere nerveskader samt B12-mangel uten påvist bakenforliggende årsak. Den kliniske presentasjonen hadde stabilisert seg under oppholdet, og smertene hadde blitt borte. Dette styrket mistanken om at han hadde vært eksponert for noe nevrotoksisk før innleggelse. Han ble på nytt spurt om det kunne være andre rusmidler involvert, men avkreftet dette. Siden B12-mangel er rapportert i litteraturen som mulig bivirkning av lystgass, ble dette foreslått som mulig utløsende årsak. På direkte spørsmål om lystgass oppga han et forbruk på opptil 2–3 kolber hver helg det siste halvåret. Siden lystgass ikke er ulovlig, anså han det ikke som et rusmiddel og hadde derfor unnlatt å fortelle om dette.
Pasienten ble behandlet med 1 mg B12-injeksjoner intramuskulært i fem dager og gikk deretter over til vedlikeholdsbehandling med 2 mg B12-vitamin og 5 mg folsyretilskudd i tablettform. Han kuttet straks ut all bruk av lystgass og startet med fysioterapi. Ved kontroll seks måneder etter innleggelsen fant man fortsatt motorisk affeksjon distalt i underekstremitetene ved nevrografi-EMG, men tilnærmet helt normale sensoriske funn fra fotsålene. Klinisk hadde han hatt betydelig fremgang, med gode kraftprestasjoner og normalisert sensorikk i underekstremitetene.
Diskusjon
Global Drug Survey 2022 viser at bruken av lystgass som rusmiddel er klart økende, spesielt under pandemien (6, 7). Globalt sett angir 17 % av unge voksne å ha prøvd lystgass i rusøyemed, hvorav 42 % de siste tolv månedene (8). Nevrologiske bivirkninger med myelonevropati, subakutt kombinert degenerasjon, eventuelt med eller uten samtidig megaloblastanemi, er rapportert (7–9). Pasienten vår hadde utviklet alvorlige nerveskader etter overforbruk av lystgass, og han var en av de første av flere liknende tilfeller vi påviste med denne tilstanden ved Oslo universitetssykehus.
Patofysiologien er ikke fullt kjent, men bivirkningene kan oppstå akutt eller etter langvarig bruk. På kort sikt fortrenger lystgass oksygen og kan trigge bl.a. epileptiske anfall, arytmier samt hjerte- og pustestans (8, 10). Nevrotoksiske komplikasjoner oppstår mest ved langvarig eksponering, oftest ved at vitamin B12 (kobalamin) inaktiveres. Lystgassen oksiderer koboltionet i vitamin B12 og forstyrrer omdanningen av homocystein til metionin. Uten metionin blir ikke myelin, det isolerende laget rundt nervecellene, metylert. Dette fører til demyelinisering i både det sentrale og det perifere nervesystemet (8, 10).
Lystgassindusert nevropati beskrives typisk hos unge mennesker i 20-årene og rammer i bemerkelsesverdig grad mest underekstremitetene, med symptomer som inkluderer varierende grad av ustøhet, nummenhet og svakhet (11, 12). Nevrofysiologisk beskrives oftest en sensorimotorisk nevropati med blandet aksonal og demyeliniserende affeksjon. Funnene kan være vanskelig å skille fra en demyeliniserende nevropati (slik som Guillain-Barrés syndrom og kronisk inflammatorisk demyeliniserende polynevropati), men det er på gruppenivå beskrevet forskjeller i nevrografifunn som kan bidra i differensialdiagnostikken (13, 14). Det er imidlertid også beskrevet flere tilfeller med mer påfallende nevrofysiologiske funn i form av predominerende motorisk aksonal affeksjon i beina, liknende det man kan se ved aksonale varianter av Guillain-Barrés syndrom (15, 16). Vi har sett dette både hos denne pasienten og andre pasienter vi har undersøkt med lystgassindusert nevropati.
Lystgass (dinitrogenmonoksid, N2O) i seg selv er en svak analgetisk og sedativ gass som kan gi kortvarig lindring under medisinske prosedyrer, oftest brukt under fødsel og ved tannbehandling. Den medisinske lystgassen inneholder minst 21 % oksygen, og det er strenge krav til ventilasjon og yrkesmessig eksponering. Ved inhalering gir den en følelse av eufori, hvilket er opphavet til navnet lystgass eller lattergass og som har ført til bruk i rekreasjonell hensikt. I festsammenheng har lystgass vært lett tilgjengelig som krempatron (whippits), små 8 g patroner som fås kjøpt i kjøkkenbutikker. Med økende etterspørsel har det oppstått nettbutikker som tilbyr større gasskolber levert hjem på døren, typisk 615 g eller 2 kg kolber (17, 18). Vi vil presisere at disse gasspatronene og -kolbene ikke er det samme som medisinsk lystgass, disse er ublandet og ment til bruk i industribransjen eller til å lage bl.a. luftig krem. Gassen i kolbene er også under trykk og kan gi frostskader på munn og hender ved åpning. Den fylles derfor typisk inn i ballonger før inhalering, hvilket er opphavet til at det i ungdomsmiljøet har fått kallenavnet «ballonger».
Inntil nylig var lystgassfester mest assosiert med nattklubber i Syden, men de siste årene har bruken blitt vanligere i Skandinavia (19–21). I Danmark har problemet blitt så stort at politiet har satt 18-års aldersgrense for kjøp av lystgass (22). I Norge er det ulovlig å selge lystgass som rusmiddel, men det regnes ikke som narkotika. Kolbene importeres og videreselges derfor anonymt via enkelte sosiale mediekanaler.
Siden den berusende effekten er kortvarig og man ikke får bakrus, kan mange tro at lystgass er ufarlig. Men det er falsk trygghet. Hallusinasjoner og desorientering oppstår hos 20–30 % av brukerne, mens vedvarende nevrologiske bivirkninger er rapportert hos 4–5 %, oftest debuterende rundt seks måneder etter jevnlig inntak (7, 11). De med høyt inntak over tid synes å få mer alvorlig sykdom, noe som tyder på at nerveskadene er doseavhengig (8, 11). I russammenheng er gjennomsnittlig daglig dose ca. 40 g, men hos storbrukere kan dette være så mye som 800 g (7, 8). Den nevrotoksiske terskelen varierer fra person til person, men samlet totaldose over tid på om lag 65 kg vil i de aller fleste tilfeller gi de mest alvorlige, sykehuskrevende nerveskadene (11). Sannsynligvis vil noen være mer sårbare for å utvikle symptomer raskt, bl.a. de med lave B12-lagre fra før (eksempelvis ved vegetarisk diett, underernæring og alkoholoverforbruk) (8, 11).
Ved mistanke om overforbruk av lystgass anbefales måling av B12-verdien i blod, men ved normale verdier bør man kontrollere metylmalonsyre og homocystein, siden dette kan indikere funksjonell B12-mangel (9, 11). Det finnes ikke etablert behandling, men seponering av lystgass og høydose B12-injeksjoner initialt er anbefalt, deretter bør vedlikeholdsbehandling med perorale tilskudd vurderes (8, 10). Flere tilfeller tyder på at prognosen er best ved rask igangsettelse av behandling, men bedringen skjer sakte, og tilstanden er ikke alltid reversibel (8, 10, 11). Siden lystgass fortsatt er et lovlig middel, må helsepersonell være oppmerksomme på at ikke alle pasienter vil opplyse om dette ved spørsmål om bruk av rusmidler. Ved mistanke om akutt/subakutt nevropati hos yngre mennesker bør det spørres spesifikt om bruk av lystgass.
Pasienten har gitt samtykke til at artikkelen blir publisert.
Artikkelen er fagfellevurdert.
- 1.
Mygland A. Kronisk polynevropati–utredning og diagnostikk. Tidsskr Nor Laegeforen 2007; 127: 291–5. [PubMed]
- 2.
Jensen TS, Karlsson P, Gylfadottir SS et al. Painful and non-painful diabetic neuropathy, diagnostic challenges and implications for future management. Brain 2021; 144: 1632–45. [PubMed][CrossRef]
- 3.
Gibbons CH, Freeman R. Treatment-induced neuropathy of diabetes: an acute, iatrogenic complication of diabetes. Brain 2015; 138: 43–52. [PubMed][CrossRef]
- 4.
Verboon C, van Doorn PA, Jacobs BC. Treatment dilemmas in Guillain-Barré syndrome. J Neurol Neurosurg Psychiatry 2017; 88: 346–52. [PubMed][CrossRef]
- 5.
Sotirchos ES, Saidha S, Becker D. Neurological picture. Nitrous oxide-induced myelopathy with inverted V-sign on spinal MRI. J Neurol Neurosurg Psychiatry 2012; 83: 915–6. [PubMed][CrossRef]
- 6.
Vollhardt R, Mazoyer J, Bernardaud L et al. Neurological consequences of recreational nitrous oxide abuse during SARS-CoV-2 pandemic. J Neurol 2022; 269: 1921–6. [PubMed][CrossRef]
- 7.
Kaar SJ, Ferris J, Waldron J et al. Up: The rise of nitrous oxide abuse. An international survey of contemporary nitrous oxide use. J Psychopharmacol 2016; 30: 395–401. [PubMed][CrossRef]
- 8.
Winstock AR, Ferris JA. Nitrous oxide causes peripheral neuropathy in a dose dependent manner among recreational users. J Psychopharmacol 2020; 34: 229–36. [PubMed][CrossRef]
- 9.
Oussalah A, Julien M, Levy J et al. Global burden related to nitrous oxide exposure in medical and recreational settings: A systematic review and individual patient data meta-analysis. J Clin Med 2019; 8: 551. [PubMed][CrossRef]
- 10.
Xiang Y, Li L, Ma X et al. Recreational Nitrous Oxide Abuse: Prevalence, Neurotoxicity, and Treatment. Neurotox Res 2021; 39: 975–85. [PubMed][CrossRef]
- 11.
Largeau B, Karam A, Potey C et al. Myeloneuropathy induced by recreational nitrous oxide use with variable exposure levels. Eur J Neurol 2022; 29: 2173–80. [PubMed][CrossRef]
- 12.
Yu M, Qiao Y, Li W et al. Analysis of clinical characteristics and prognostic factors in 110 patients with nitrous oxide abuse. Brain Behav 2022; 12: e2533. [PubMed][CrossRef]
- 13.
Qin X, Kang L, Liu X et al. Acute nitrous oxide-induced neuropathy mimicking Guillain-Barré syndrome. J Peripher Nerv Syst 2022; 27: 189–96. [PubMed][CrossRef]
- 14.
Li Y, Zhang X, Zhao C. Electrophysiological characteristics of patients with nitrous oxide abuse. Neurol Res 2021; 43: 793–801. [PubMed][CrossRef]
- 15.
Berling E, Fargeot G, Aure K et al. Nitrous oxide-induced predominantly motor neuropathies: a follow-up study. J Neurol 2022; 269: 2720–6. [PubMed][CrossRef]
- 16.
Redmond J, Cruse B, Kiers L. Nitrous oxide-induced neurological disorders: an increasing public health concern. Intern Med J 2022; 52: 740–4. [PubMed][CrossRef]
- 17.
Smartwhip. https://smartwhip.com Lest 24.7.2022.
- 18.
Fastgas. https://fast-gas.com Lest 24.7.2022.
- 19.
Midtskog RE, Honningsøy KH. Ungdommer tilbys ballonger med lystgass i Syden. NRK 21.6.2016. https://nrk.no/norge/ungdommer-tilbys-ballonger-med-lystgass-i-syden-1.13006360 Lest 26.7.2022.
- 20.
Simensen HM, Hegnar EM. Ryster Stockholm. Dagbladet 27.5.2022. https://www.dagbladet.no/nyheter/ryster-stockholm/76193033 Lest 24.7.2022.
- 21.
Stor lystgassbeholder funnet på Tronvik – politiet ber foreldre snakke med unge om rus. Moss avis 13.7.2022 https://www.moss-avis.no/stor-lystgassbeholder-funnet-pa-tronvik-politiet-ber-foreldre-snakke-med-unge-om-rus/s/5-67-1548735 Lest 26.8.2022
- 22.
Heiervang C. Danskene setter 18-års aldersgrense på gasspatroner. Aftenposten 6.6.2020. https://www.aftenposten.no/oslo/i/Adedoq/danskene-setter-18-aars-aldersgrense-paa-gasspatroner-ikke-noe-leketoey-for-barn-sier-professor Lest 24.7.2022.
Jeg ville bare takke for publikasjonen. Dette var en lærerik case.