A previously healthy woman in her fifties contacted her general practitioner due to a troublesome lump on her hand that had progressed over the course of a year. The final diagnosis surprised those involved and serves as a reminder to both general practitioners and specialists.
The patient showed her general practitioner a lump that developed spontaneously, approximately 5 × 5 mm in size, in the middle of the palm of her left hand. The lump had grown slowly and was tender to touch. When she knocked it, she felt shooting pains towards her thumb. Her general practitioner performed an ultrasound examination and concluded that the tumour was consistent with a ganglion.
Lumps on the hands are common issues in general practice. The vast majority of lumps in the hand and wrist are benign and give no cause for concern (1, 2). Ganglions are the most common. They arise from a joint capsule or tendon sheath (tendon sheath ganglion) and are usually located on the back of the wrist. Primary treatment should not be surgical because the lumps often resolve spontaneously, and recurrence following surgery is common. Aspiration, surgical removal or endoscopic removal is appropriate if symptoms are long-lasting and substantial.
The second most common soft tissue tumours of the hand after ganglions are tenosynovial giant cell tumours. Apart from ganglions and giant cell tumours, which together make up the majority of soft tissue tumours of the hand, lipomas, granulomas and fibromas are common benign solid soft tissue tumours (2).
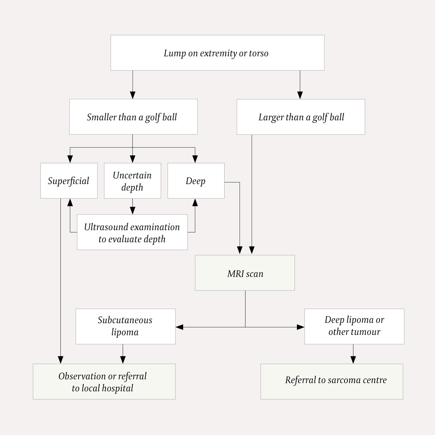
Small, superficial and asymptomatic lumps on the hands can be managed with observation and without any intervention. Patients with typical symptomatic ganglions, as described above, or small superficial lumps not involving deeper structures, can be referred to a local hospital or hand surgeon for removal without further diagnostic investigation. If the diagnosis is uncertain, further investigation should be considered. Lumps that grow rapidly, cause unusual symptoms or are more deeply sited must be investigated. The same applies if the tumour is suspected to be located close to major nerves or vessels. In these cases, an MRI scan is recommended. Ultrasound can identify fluid content and is predominantly of use in differentiating between superficial ganglions and solid tumours. X-rays should be taken if skeletal involvement is suspected. The National Competence Centre for Sarcomas at Oslo University Hospital has drawn up a flowchart to show which patients with soft tissue tumours should undergo investigation with MRI scanning and which should be referred to a sarcoma team (3) (Figure 1).
The general practitioner referred the patient to the orthopaedic department at the local hospital. The orthopaedic specialist found exploration and removal of the lump under local anaesthesia to be indicated with a working diagnosis of ganglion. When the surgeon touched the tumour peroperatively, the patient felt intense radiation to the thumb and up the arm. The tumour seemed to consist of nerve tissue and somewhat resembled a schwannoma. Since the patient did not have a ganglion after all, the procedure was discontinued without the tumour being removed.
An uncomfortable, but almost unavoidable situation in surgery is expecting to find one thing but finding something else entirely. In this case, it was surprising not to find a ganglion, but rather a tumour situated in or on a large nerve. The combination of inadequate anaesthesia and a more complicated tumour than anticipated meant that the surgery could not continue. In these cases, it is correct to discontinue dissection, take a tissue sample for histological analysis if possible, and refer the patient to a sarcoma centre.
The patient was then referred for an MRI scan at a private clinic and subsequently to the orthopaedic department at the regional hospital. Following the MRI scan, the radiologist reported a contrast-enhancing, well-defined soft tissue tumour adjacent to or on the median nerve at the outlet of the carpal tunnel. It was concluded that the tumour was consistent with a schwannoma, but that another type of tumour could not be ruled out (Figures 2 and 3).
Along with neurofibromas, schwannomas are the most common benign peripheral nerve sheath tumours. Schwannomas arise from Schwann cells in the nerve sheath, generally grow eccentrically and are well-defined. While neurofibromas also arise from the nerve sheath, there are differences to schwannomas, including concentric growth and less well-defined borders. In neurofibromas, it is not uncommon for the nerve fibres to run through the tumour, which can make dissection challenging. Benign nerve sheath tumours are often painful and sometimes cause neurological deficit (4). Symptomatic peripheral nerve sheath tumours in the hand should generally be surgically removed.
The lump was troubling the patient, and so she was offered surgery under general anaesthesia. The images from the MRI scan were provided to the radiologists at the regional hospital. The working diagnosis was a schwannoma involving the median nerve. After division of the carpal ligament, we reached the tumour, which was located on the median nerve where it branches into the hand. The tumour was approximately 10 × 10 mm and well-defined, and could be dissected from the nerve, apart from the thenar motor branch, which went through the tumour and had to be resected. The nerve branch could be sutured without requiring a nerve graft. On macroscopic examination, the tumour most resembled a schwannoma, but due to invasion of the nerve neurofibroma was a close differential diagnosis. A tissue specimen was sent for histological analysis.
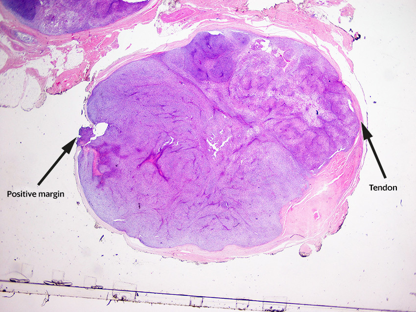
A few days later, the provisional results from pathology reported that morphology was consistent with a malignant tumour, with both synovial sarcoma and malignant peripheral nerve sheath tumour being possible differential diagnoses. There was tumour tissue at the resection margin in one small area. Immunophenotyping confirmed that the patient had a synovial sarcoma, French malignancy grade 3 (Figures 4 and 5).
The term given to describe the unplanned marginal excision of a tumour that turns out to be a sarcoma is a whoops procedure, due to the surprise experienced. The concern is that it may spread tumour cells and complicate subsequent, more radical excision. The phenomenon was first discussed in 1985 and is quite common, particularly with smaller tumours with no typical malignant characteristics (5, 6).
The patient was immediately informed about the biopsy result and referred to a sarcoma centre. The preoperative images from the MRI scan were re-assessed by radiation oncologists. They concluded that there was a solid vascularised tumour along the median nerve with no typical 'target sign' or 'fascicular sign' as often seen in benign nerve sheath tumours. It was not possible to make a more precise diagnosis on the basis of the preoperative MRI images. Chest CT, abdominal CT and ultrasound of axillary nodes revealed no signs of metastases. A repeat MRI scan of the hand showed no residual tumour. Due to the tumour's location adjacent to a major nerve and tendons, an expanded resection was not advised. The patient received postoperative radiotherapy, 2 Gy × 30, to reduce the risk of local recurrence. At the next follow-up, the wounds had healed following the radiotherapy. The patient had no nerve pain or neurological deficit.
Discussion
Soft tissue sarcoma of the hand is extremely rare and a serious diagnosis. According to previous estimates, less than 1 % of malignant tumours in the upper extremities occur in the hand (7). More recent studies have found a slightly higher incidence (8). A full-time hand surgeon can expect to see one to two cases of the condition in the course of their working life (1). The incidence of soft tissue sarcoma of the hand is estimated to be 1 per 1,250,000 individuals per year, which would equate to three to four cases in Norway per year (9). Sarcomas of the hand are often painless at the time of diagnosis with no particular characteristic features. The palm of the hand is the most common location in the hand (9). However, it has been reported that sarcomas in the hand tend to be aggressive and have a worse prognosis than similarly sized sarcomas in other anatomical regions (10, 11).
MRI has a relatively low sensitivity and is dependent on the examination protocol (12). The diagnosis should be confirmed by biopsy and histological analysis (13). As in our case, the diagnosis is most frequently made after the tumour has been removed (6).
Treatment in most cases is limb-sparing with excision followed by radiotherapy with or without chemotherapy. However, excision of tumours in the hand is often problematic due to proximity to nerves and tendons that are crucial to hand function. For tumours located close to important nerves, marginal excision may be appropriate, although more radical excision is essential to reduce the risk of local recurrence (6, 9). Synovial sarcoma, which was the diagnosis in our case, is known to be difficult to diagnose clinically and radiologically, and has a high rate of recurrence. Recurrence has been documented even after more than ten years (14). Five-year survival in patients with soft tissue sarcoma of the hand is estimated at 80–90 % (9, 15).
This case report illustrates the challenges of diagnosing and managing a very rare condition. With the benefit of hindsight, we can learn some lessons and ask: Was there anything in the case history or clinical presentation that should have made us aware that the lump was actually a malignancy? The patient's description of 'pain radiating to the thumb' might have raised suspicion of a nerve involvement. Our view is that ultrasound examination can exclude a typical superficial cyst, but is of limited value for tissue characteristics in isoechoic or hypoechoic soft tissue lesions and masses deep to fascia. The purpose of MRI scanning of a small soft tissue lesion is to gain more information than with a clinical examination, both about precise location and tissue characteristics.
The location was highly unusual both for a ganglion and the most common solid tumours, but might have been consistent with a schwannoma. According to the case history, the lump had not grown particularly rapidly, and the symptoms were not alarming. The modest size and appearance did not raise suspicion of aggressive growth, and the initial interpretation of the MRI image suggested a benign tumour. Overall, there were no obvious aspects pointing to malignancy. This recognition is quite common with sarcomas of the hand and illustrates the challenges posed by a patient with a lump in their hand (9). The vast majority of lumps in hands are benign. In exceptional cases, however, malignancies can mimic benign tumours.
Nonetheless, the case report does illustrate 'sequential errors' in the chain of treatment from the general practitioner to the specialist. The general practitioner referred the patient with a suspected ganglion. The surgeon at the local hospital operated on the patient based on the working diagnosis of ganglion, but realised peroperatively that it looked more like a schwannoma. The regional hospital performed surgery on the patient in the belief that the tumour was a schwannoma, which turned out to be incorrect. It is reasonable to conclude that the assessment from the referrer heavily influenced the diagnostic reasoning (or rather lack of differential diagnostic reasoning) in the next link of the chain.
Conclusion
Lumps in the hand and wrist are generally benign, and the most common conditions can often be diagnosed clinically. Sarcomas of the hand are extremely rare, but malignancy must be considered if there are any inconsistencies with the most typical benign conditions. MRI scanning is the first-line investigation if the diagnosis is uncertain and can be critical for making a diagnosis and planning surgery. Radiologists performing first-line investigations should describe the appearance and location precisely, but with the necessary reservations about the diagnosis, particularly for non-specific, small and solid lesions. Patients suspected of having malignant tumours should be referred to a regional sarcoma centre. Diagnosed benign lumps without troublesome symptoms generally do not require surgery. If surgery is appropriate, the patient should be referred to a specialist health service, preferably with expertise in hand surgery. Adequate anaesthesia, bloodless field and loupes are required for optimal visualisation during surgery. The case report reminds us that apparently benign lumps on the hand may, in rare cases, be malignancies with serious prognoses.
The patient has given consent for the article to be published.
The article has been peer-reviewed.
- 1.
Murray PM. Soft tissue sarcoma of the upper extremity. Hand Clin 2004; 20: 325–33, vii. [PubMed][CrossRef]
- 2.
Sobanko JF, Dagum AB, Davis IC et al. Soft tissue tumors of the hand. 2. Malignant. Dermatol Surg 2007; 33: 771–85. [PubMed]
- 3.
Nasjonal kompetansetjeneste for sarkom, Oslo universitetssykehus. Henvisningsrutiner for bløtvevssvulster. https://oslo-universitetssykehus.no/henvisningsrutiner-for-blotvevssvulster Accessed 16.6.2022.
- 4.
Guha D, Davidson B, Nadi M et al. Management of peripheral nerve sheath tumors: 17 years of experience at Toronto Western Hospital. J Neurosurg 2018; 128: 1226–34. [PubMed][CrossRef]
- 5.
Giuliano AE, Eilber FR. The rationale for planned reoperation after unplanned total excision of soft-tissue sarcomas. J Clin Oncol 1985; 3: 1344–8. [PubMed][CrossRef]
- 6.
Lin PP, Guzel VB, Pisters PWT et al. Surgical management of soft tissue sarcomas of the hand and foot. Cancer 2002; 95: 852–61. [PubMed][CrossRef]
- 7.
Muramatsu K, Ihara K, Yoshida K et al. Musculoskeletal sarcomas in the forearm and hand: standard treatment and microsurgical reconstruction for limb salvage. Anticancer Res 2013; 33: 4175–82. [PubMed]
- 8.
Nicholson S, Milner RH, Ragbir M. Soft Tissue Sarcoma of the Hand and Wrist: Epidemiology and Management Challenges. J Hand Microsurg 2018; 10: 86–92. [PubMed][CrossRef]
- 9.
Pradhan A, Cheung YC, Grimer RJ et al. Soft-tissue sarcomas of the hand: oncological outcome and prognostic factors. J Bone Joint Surg Br 2008; 90: 209–14. [PubMed][CrossRef]
- 10.
Campanacci M, Bertoni F, Laus M. Soft tissue sarcoma of the hand. Ital J Orthop Traumatol 1981; 7: 313–27. [PubMed]
- 11.
Rosenberg AE, Schiller AL. Soft tissue sarcomas of the hand. Hand Clin 1987; 3: 247–61. [PubMed][CrossRef]
- 12.
McKeon KE, Wright BT, Lee DH. Accuracy of MRI-based Diagnoses for Distal Upper Extremity Soft Tissue Masses. J Hand Microsurg 2015; 7: 61–6. [PubMed][CrossRef]
- 13.
Wong CH, Chow L, Yen CH et al. Uncommon hand tumours. Hand Surg 2001; 6: 67–80. [PubMed][CrossRef]
- 14.
Casal D, Ribeiro AI, Mafra M et al. A 63-year-old woman presenting with a synovial sarcoma of the hand: a case report. J Med Case Reports 2012; 6: 385. [PubMed][CrossRef]
- 15.
Lazerges C. Soft tissue sarcomas of the forearm, wrist and hand. Hand Surg Rehabil 2017; 36: 233–43. [PubMed][CrossRef]