En tidligere frisk kvinne i 50-årene kontaktet fastlegen på grunn av en plagsom kul på hånden som hadde utviklet seg over et års tid. Den endelige diagnosen overrasket de involverte og er til ettertanke for både fastleger og spesialister.
Pasienten viste fastlegen en spontant oppstått kul, omtrent 5 × 5 mm stor, midt i venstre håndflate. Kulen hadde vokst langsomt og var øm å ta på. Når hun støtte borti den, kjentes en ilende smerte utover mot tommelen. Fastlegen gjorde ultralydundersøkelse og konkluderte med at tumoren var forenlig med et ganglion.
Kuler på hendene er vanlige problemstillinger i allmennpraksis. De aller fleste kuler i hånd og håndledd er benigne og gir ikke grunn til bekymring (1, 2). Ganglier er vanligst. De utgår fra leddkapsler eller seneskjeder (seneskjedeganglion) og er oftest lokalisert dorsalt ved håndleddet. Primærbehandlingen bør ikke være kirurgi, da kulene ofte går tilbake av seg selv, og residiv etter kirurgi er vanlig. Ved varige og betydelige plager er aspirasjon eller kirurgisk eller endoskopisk fjerning aktuelt.
Nest etter ganglion er tenosynovial kjempecelletumor den vanligste bløtdelstumoren i hånden. Ut over ganglion og kjempecelletumor, som til sammen utgjør brorparten av bløtdelstumorer i hendene, er lipomer, granulomer og fibromer vanlige benigne solide bløtdelstumorer (2).
Små overfladiske og asymptomatiske kuler på hendene kan observeres uten noen tiltak. Pasienter med typiske symptomgivende ganglier, som nevnt ovenfor, eller små overfladiske kuler som ikke involverer dypereliggende strukturer, kan henvises til lokalt sykehus eller håndkirurg for fjerning uten ytterligere diagnostikk. Ved usikker diagnose bør man vurdere videre utredning. Kuler som vokser raskt, gir uvanlige symptomer eller har dypere beliggenhet, må utredes. Det samme gjelder når det er mistanke om at tumor ligger tett på større nerver eller kar. I slike tilfeller er MR-undersøkelse anbefalt. Ultralyd kan identifisere væskeinnhold og er først og fremst verdifullt for å skille overfladiske ganglier fra solide tumorer. Røntgen bør tas ved mistanke om skjelettaffeksjon. Nasjonal kompetansetjeneste for sarkom ved Oslo universitetssykehus har utarbeidet et flytskjema for hvilke pasienter med bløtvevstumorer som skal utredes med MR-undersøkelse, og hvilke som skal henvises til sarkomgruppe (3) (figur 1).
Fastlegen henviste pasienten til ortoped ved lokalsykehus. Ortopeden fant indikasjon for eksplorasjon og fjerning av kulen i lokalbedøvelse med arbeidsdiagnosen ganglion. Idet operatøren peroperativt berørte tumor, kjente pasienten intens stråling mot tommelen og oppover i armen. Tumor syntes å bestå av nervevev og kunne likne et schwannom. Ettersom det likevel ikke var snakk om et ganglion, ble inngrepet avbrutt uten at tumor var fjernet.
En ubehagelig, men nesten uunngåelig situasjon i kirurgien er at man forventer å finne noe, men finner noe helt annet. I dette tilfellet ble man overrasket over ikke å finne et ganglion, men en tumor som lå i eller på en stor nerve. Kombinasjonen av manglende anestesi og en mer komplisert tumor enn antatt gjorde at man ikke fortsatte kirurgien. I slike tilfeller er det riktig å avbryte disseksjonen, ta vevsprøve til histologisk analyse hvis mulig og henvise pasienten til sarkomsenter.
Pasienten ble deretter henvist til MR-undersøkelse ved privat klinikk og videre til ortopedisk avdeling ved regionsykehus. Etter MR-undersøkelsen beskrev radiologen en kontrastladende, velavgrenset bløtdelstumor like ved eller på nervus medianus ved utgangen av karpaltunnelen. Konklusjonen var at tumor var forenlig med et scwhannom, men at annen tumor ikke kunne utelukkes (figur 2 og 3).
Schwannom er sammen med nevrofibrom den vanligste benigne perifere nerveskjedetumoren. Et schwannom utgår fra schwannske celler i nerveskjeden, vokser som regel eksentrisk og er velavgrenset. Nevrofibrom utgår også fra nerveskjeden, men skiller seg fra schwannom blant annet ved konsentrisk vekst og mindre tydelig avgrensning. Ved nevrofibrom går nervefibre ikke sjelden gjennom tumor, og disseksjon kan derfor være utfordrende. Benigne nerveskjedetumorer er ofte smertefulle og med eller uten nevrologiske utfall (4). Symptomatiske perifere nerveskjedetumorer i hånden bør som regel fjernes kirurgisk.
Pasienten var plaget av kulen og ble tilbudt operasjon i narkose. MR-bildene ble forevist radiologer ved regionsykehuset. Arbeidsdiagnosen var et schwannom i relasjon til nervus medianus. Etter å ha spaltet karpalligamentet kom vi inn på tumor, som lå på medianusnerven der den forgrener seg utover i hånden. Tumor var ca. 10 × 10 mm og velavgrenset, og lot seg fridissekere fra nerven med unntak av den motoriske thenargrenen, som gikk tvers gjennom tumor og måtte reseseres. Nervegrenen lot seg sy uten behov for nervegraft. Makroskopisk syntes vi tumor liknet mest på et schwannom, men på grunn av innvekst i nerven var nevrofibrom en nærliggende differensialdiagnose. Vevspreparat ble sendt til histologisk analyse.
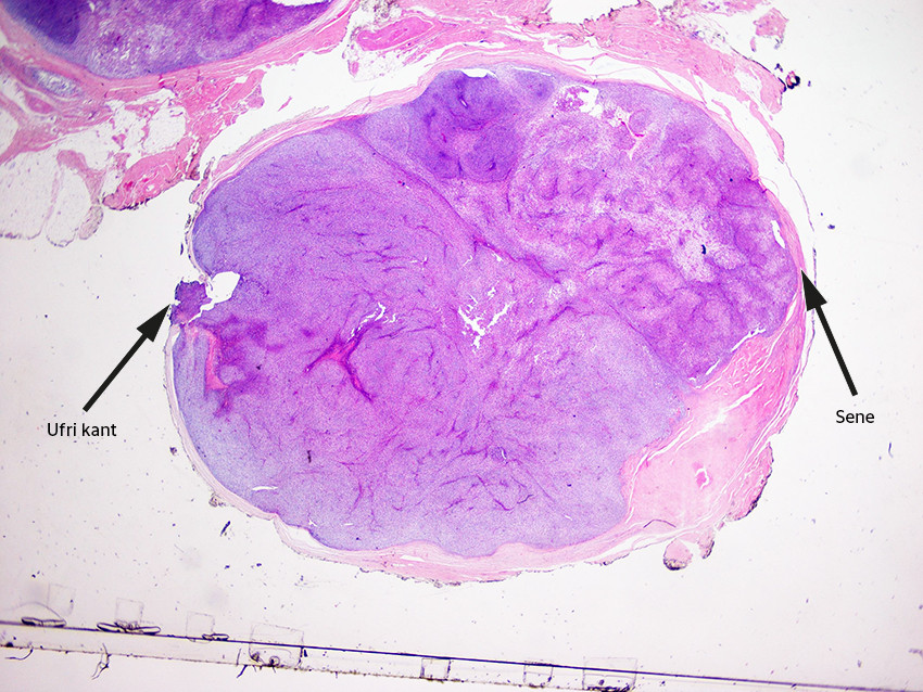
Få dager senere kom foreløpig svar fra patologen om at morfologisk passet bildet med en malign tumor, der både synovialt sarkom og malign perifer nerveskjedetumor er differensialdiagnostiske muligheter. Det var tumorvev i reseksjonskanten i et lite område. Immunfenotypiske undersøkelser bekreftet at man hadde å gjøre med synovialt sarkom, fransk malignitetsgrad 3 (figur 4 og 5).
Overraskelsen vi fikk, har fått betegnelsen whoops-kirurgi (etter engelsk whoops procedure), som beskriver en utilsiktet marginal eksisjon av en tumor som viser seg å være et sarkom. Bekymringen er at dette kan spre tumorceller og vanskeliggjøre en senere og mer radikal eksisjon. Fenomenet ble først problematisert i 1985, og er ganske vanlig, spesielt ved mindre tumorer uten typiske maligne karakteristika (5, 6).
Pasienten ble umiddelbart informert om biopsisvaret og henvist til sarkomsenter. De preoperative MR-bildene ble gransket på ny av tumorradiologer. De konkluderte med at det var solid vaskularisert tumor langs nervus medianus og ikke noe typisk «target sign» eller «fascicular sign», som ofte ses ved benigne nerveskjedesvulster. Noen mer presis diagnose kunne ikke stilles basert på de preoperative MR-bildene. CT toraks, CT abdomen og ultralyd av glandler i aksillen viste ingen tegn til metastaser. Ny MR-undersøkelse av hånden viste ingen tumorrest. På grunn av tumors beliggenhet tett på stor nerve og sener ble ikke utvidet reseksjon anbefalt. Pasienten ble gitt postoperativ strålebehandling, 2 Gy × 30, for å minske risikoen for lokalt residiv. Ved siste kontroll hadde sårene etter strålebehandlingen tilhelet. Pasienten hadde ingen plager med nervesmerter og ingen nerveutfall.
Diskusjon
Bløtvevssarkom i hånden er ekstremt sjeldent og en alvorlig diagnose. Det er tidligere estimert at mindre enn 1 % av maligne tumorer i overekstremitetene oppstår i hånden (7). Senere studier har vist noe høyere forekomst (8). En fulltids håndkirurg kan i løpet av et arbeidsliv forvente å se tilstanden én til to ganger (1). Forekomsten av bløtvevssarkom i hånden antas å være 1 per 1 250 000 per år, noe som skulle tilsvare tre til fire tilfeller i Norge per år (9). Et sarkom i hånden er ofte smertefritt ved diagnosetidspunktet og uten spesielt karakteristiske trekk. Håndflaten er vanligste lokalisasjon i hånden (9). På den annen side hevdes det at sarkom i hånden har tendens til å være aggressivt og gir en dårligere prognose enn sarkom av tilsvarende størrelse andre steder på kroppen (10, 11). MR har forholdsvis lav sensitivitet og er avhengig av undersøkelsesprotokollen (12). Diagnosen sikres ved biopsi og histologisk analyse (13). Som i vårt tilfelle stilles diagnosen oftest etter at tumor er fjernet (6).
Behandlingen er i de fleste tilfeller ekstremitetsbevarende vid eksisjon fulgt av strålebehandling med eller uten kjemoterapi. Vid eksisjon av tumorer i hånden er imidlertid ofte problematisk på grunn av nærhet til nerver og sener med avgjørende betydning for håndfunksjonen. Ved lokalisasjon nær viktige nerver kan marginal eksisjon være aktuelt, selv om mer radikal eksisjon er vesentlig for å redusere sjansen for lokalt residiv (6, 9). Synovialt sarkom, som var diagnosen i vårt tilfelle, er kjent for å være vanskelig å diagnostisere klinisk og radiologisk, og har høy residivrate. Residiv selv etter mer enn ti år er dokumentert (14). Femårsoverlevelse ved bløtvevssarkom i hånden er estimert til 80–90 % (9, 15).
Denne kasuistikken illustrerer utfordringene ved diagnose og håndtering av en veldig sjelden tilstand. Med fasit i hånden kan vi trekke noen lærdommer og spørre: Var det noe ved anamnesen eller det kliniske bildet som burde gjort oss oppmerksomme på at kulen faktisk representerte en malign tilstand? Pasientens beskrivelse av «utstrålende smerter til tommel» kunne reist mistanke om nervepåvirkning. Vår oppfatning er at ultralydundersøkelse kan ekskludere en typisk, overfladisk cyste, men har begrenset verdi for vevskarakteristikk ved en iso- eller hypoekkoisk bløtvevslesjon og ved oppfylninger dypt for fascien. Hensikten med MR-undersøkelse ved en liten bløtdelslesjon er å få mer informasjon enn ved klinisk undersøkelse, både om presis lokalisasjon og vevskarakteristikk.
Lokalisasjonen var helt uvanlig både for ganglion og de vanligste solide tumorer, men kunne passe med schwannom. Anamnestisk hadde kulen ikke vokst spesielt raskt, og symptomene var ikke alarmerende. Den beskjedne størrelsen og utseendet vakte ikke mistanke om aggressiv vekst, og den primære tolkningen av MR-bildet talte for en benign tumor. Samlet sett var det ingen opplagte elementer som pekte i retning av malignitet. Denne erkjennelsen er ganske vanlig ved sarkom i hånden og illustrerer utfordringen man har i møte med en pasient med kul i hånden (9). De aller fleste kuler i hånden er benigne. Unntaksvis forekommer imidlertid maligne tilstander forkledd som noe harmløst.
Kasuistikken illustrerer ikke desto mindre «følgefeil» i behandlingskjeden fra fastlege til spesialist. Fastlegen henviste pasienten med mistanke om et ganglion. Kirurgen på lokalsykehuset opererte pasienten ut fra arbeidsdiagnosen ganglion, men innså peroperativt at det liknet mer på et schwannom. Regionsykehuset opererte pasienten i den tro at tumor var et schwannom, hvilket viste seg å ikke være riktig. Det er nærliggende å slutte at vurderingen fra henviser la sterke føringer for den diagnostiske – eller snarere manglende differensialdiagnostiske – tankegangen i neste ledd.
Konklusjon
Kuler i hånd og håndledd er som hovedregel benigne, og de vanligste tilstandene kan ofte diagnostiseres klinisk. Sarkom i hånden forekommer svært sjelden, men man må tenke på malignitet hvis det er noe som ikke passer med de mest typiske benigne tilstandene. MR-undersøkelse er førstevalg ved usikker diagnose og kan være avgjørende for å stille diagnose og planlegge kirurgi. Radiologer i førstelinje skal beskrive utseende og beliggenhet presist, men med nødvendige forbehold om diagnose, spesielt ved uspesifikk, liten og solid lesjon. Ved mistanke om malign tumor skal pasienten henvises til regionalt sarkomsenter. Diagnostiserte, benigne kuler uten plagsomme symptomer trenger som regel ikke opereres. Er det aktuelt med kirurgi, bør man henvise pasienten til spesialisthelsetjeneste, fortrinnsvis med håndkirurgisk kompetanse. Adekvat anestesi, blodtomhet og lupebriller er en forutsetning for optimal oversikt ved kirurgi. Kasuistikken minner oss om at tilsynelatende fredelige kuler på hendene i sjeldne tilfeller representerer en malign tilstand med alvorlig prognose.
Pasienten har gitt samtykke til at artikkelen blir publisert.
Artikkelen er fagfellevurdert.
- 1.
Murray PM. Soft tissue sarcoma of the upper extremity. Hand Clin 2004; 20: 325–33, vii. [PubMed][CrossRef]
- 2.
Sobanko JF, Dagum AB, Davis IC et al. Soft tissue tumors of the hand. 2. Malignant. Dermatol Surg 2007; 33: 771–85. [PubMed]
- 3.
Nasjonal kompetansetjeneste for sarkom, Oslo universitetssykehus. Henvisningsrutiner for bløtvevssvulster. https://oslo-universitetssykehus.no/henvisningsrutiner-for-blotvevssvulster Lest 16.6.2022.
- 4.
Guha D, Davidson B, Nadi M et al. Management of peripheral nerve sheath tumors: 17 years of experience at Toronto Western Hospital. J Neurosurg 2018; 128: 1226–34. [PubMed][CrossRef]
- 5.
Giuliano AE, Eilber FR. The rationale for planned reoperation after unplanned total excision of soft-tissue sarcomas. J Clin Oncol 1985; 3: 1344–8. [PubMed][CrossRef]
- 6.
Lin PP, Guzel VB, Pisters PWT et al. Surgical management of soft tissue sarcomas of the hand and foot. Cancer 2002; 95: 852–61. [PubMed][CrossRef]
- 7.
Muramatsu K, Ihara K, Yoshida K et al. Musculoskeletal sarcomas in the forearm and hand: standard treatment and microsurgical reconstruction for limb salvage. Anticancer Res 2013; 33: 4175–82. [PubMed]
- 8.
Nicholson S, Milner RH, Ragbir M. Soft Tissue Sarcoma of the Hand and Wrist: Epidemiology and Management Challenges. J Hand Microsurg 2018; 10: 86–92. [PubMed][CrossRef]
- 9.
Pradhan A, Cheung YC, Grimer RJ et al. Soft-tissue sarcomas of the hand: oncological outcome and prognostic factors. J Bone Joint Surg Br 2008; 90: 209–14. [PubMed][CrossRef]
- 10.
Campanacci M, Bertoni F, Laus M. Soft tissue sarcoma of the hand. Ital J Orthop Traumatol 1981; 7: 313–27. [PubMed]
- 11.
Rosenberg AE, Schiller AL. Soft tissue sarcomas of the hand. Hand Clin 1987; 3: 247–61. [PubMed][CrossRef]
- 12.
McKeon KE, Wright BT, Lee DH. Accuracy of MRI-based Diagnoses for Distal Upper Extremity Soft Tissue Masses. J Hand Microsurg 2015; 7: 61–6. [PubMed][CrossRef]
- 13.
Wong CH, Chow L, Yen CH et al. Uncommon hand tumours. Hand Surg 2001; 6: 67–80. [PubMed][CrossRef]
- 14.
Casal D, Ribeiro AI, Mafra M et al. A 63-year-old woman presenting with a synovial sarcoma of the hand: a case report. J Med Case Reports 2012; 6: 385. [PubMed][CrossRef]
- 15.
Lazerges C. Soft tissue sarcomas of the forearm, wrist and hand. Hand Surg Rehabil 2017; 36: 233–43. [PubMed][CrossRef]