Rapid and thorough assessment of acute neuropsychiatric symptoms is essential for effective treatment. Here we describe a patient with a distinctive but relatively rare disease.
A man in his forties presented to the out-of-hours emergency healthcare service with a 3-day history of lethargy, fever and headache, and was advised to contact his general practitioner (GP) the following day. Clinical examination by the GP proved unremarkable, and tests for infection were negative. CRP was within the reference range, <5 mg/L, and an influenza-like illness was suspected.
Four years earlier, the patient had been diagnosed with a B-cell lymphoma following the discovery of a large tumour in his abdomen. He received six cycles of chemotherapy (doxorubicin, cyclophosphamide, vincristine and prednisolone) at three-weekly intervals, followed by two courses of rituximab, and then radiotherapy. He experienced no recurrence of the lymphoma and had otherwise been in good health with no regular medication use.
Two days after the patient first sought medical advice, his wife awoke during the night to find him wandering around the bedroom, picking at things, and removing pictures from the walls. He did not respond when she spoke to him, and she saw that he had also wet himself. He was admitted to hospital via the out-of-hours emergency healthcare service with acute confusion. On arrival at hospital, he was speaking a language which was neither his native tongue nor Norwegian, in which he was also fluent. He scored 14 on the Glasgow Coma Scale due to disorientation. Physical examination was unremarkable, and he had normal vital signs: blood pressure 133/65 mm Hg, regular pulse of 93 beats/minute and SpO2 of 97 %. He was afebrile, had no stiffness in the neck, and no focal neurological deficits. Blood tests revealed sodium 131 mmol/L (reference range 136–146) and a sedimentation rate of 17 mm (<13), but otherwise normal values, including CRP <5 mg/L.
Neuropsychiatric symptoms such as confusion and personality changes can have somatic causes. In addition to infection, it is important to consider endocrinological, metabolic, autoimmune and neoplastic diseases (1). Our patient had mild hyponatraemia, which could be relevant to his symptoms of headache and altered consciousness. However, serum and urine osmolality were normal, and hyponatraemia was therefore ruled out as the underlying cause.
An acute head CT revealed no intracranial pathology. Viral encephalitis was suspected, and the patient underwent a lumbar puncture the same night. Treatment was initiated with acyclovir 10 mg/kg intravenously × 3 prior to the results of the CSF analysis becoming available.
Encephalitis is an inflammation of the brain parenchyma accompanied by clinical signs and symptoms of cerebral dysfunction. Typical manifestations include impaired consciousness and cognitive function as well as changes in personality and/or behaviour (2, 3). Viruses, bacteria, fungi and parasites can all cause encephalitis. The aetiology remains unknown in up to half of cases (4). Herpes simplex virus is responsible for 50–75 % of cases of viral encephalitis (2). The standard workup in cases of suspected encephalitis is lumbar puncture with CSF analysis including differential cell counts, measurement of glucose and protein levels, polymerase chain reaction (PCR) tests for suspected causal agents, and possibly assays for encephalitis antibodies, as well as imaging and electroencephalography (EEG) (2).
Over the course of his first 4–5 hours in hospital, the patient became increasingly restless and agitated, and eventually stopped responding to others. His body temperature rose to 39.1°C, blood pressure fell to 90/60 mm Hg and his pulse was 76 beats/minute. Sepsis was suspected, and he was transferred to the intensive care unit. Treatment was started with intravenous antibiotics, specifically cefotaxime 3 g × 4 and ampicillin 3 g × 4 for suspected bacterial meningoencephalitis.
CSF showed marginally elevated protein levels at 0.52 g/L (<50) and pleocytosis with 55 cells/mm3 (<3), while his CSF/serum glucose ratio was 0.66 (> 0.6). Flow cytometric analysis revealed no evidence of malignancy, with 92 % lymphocytes and 8 % monocytes. A rapid test for herpes simplex 1 virus (HSV-1) was positive.
More than 95 % of those with herpes simplex encephalitis (HSE) show CSF lymphocytic pleocytosis (2). However, this may be absent in immunosuppressed individuals, especially at early disease stages (2). The gold standard for diagnosis is detection of herpes DNA in CSF via PCR. This has a sensitivity of 96 % and a specificity of 99 % in adults (2).
The rapid test used in our patient has sensitivity and specificity of over 90 % (5). If the PCR test is negative but herpes simplex encephalitis is still suspected, repetition of the lumbar puncture and CSF analysis is recommended after three days (2).
An EGG was performed the day after admission as part of the workup for suspected encephalitis (Figure 1).
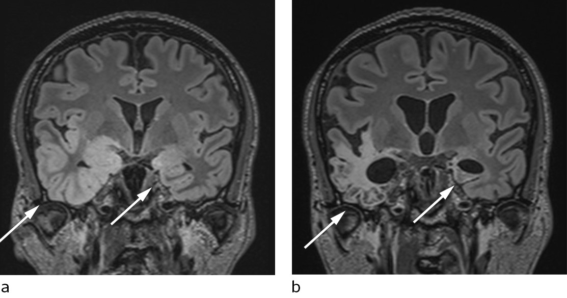
The EEG showed pathological slowing of background activity and bursts of delta activity in temporal regions, consistent with encephalitis (6, 7). A head MRI performed six days after admission showed widespread changes over the temporal lobes, including the hippocampus, typical of herpes encephalitis (8) (Figure 2, Figure 3a).
The patient's CSF tested positive for herpes simplex by PCR, while CSF microscopy and culture were negative. Blood cultures were negative for bacterial growth, and antibiotics were therefore discontinued on day 5. Treatment with acyclovir was continued.
After ten days, the patient once again began to speak in full sentences and was moving about independently. However, he remained cognitively impaired, and another lumbar puncture was therefore performed after two weeks. His CSF again tested positive for herpes simplex by PCR, and treatment with acyclovir was continued. The patient showed modest signs of improvement during his hospital stay and was discharged to a rehabilitation centre in his home municipality after almost a month in hospital.
Fifteen days after discharge, the patient became increasingly agitated. He began to show bizarre behaviour (attempting to eat a potted plant), was prone to bursting into tears, and spoke only in his native tongue. By this stage he was in rehabilitation, and acyclovir had been discontinued seven days earlier. He was readmitted to the neurology department. Upon admission, he was not oriented to situation and showed little cooperation during an examination. Vital signs were normal and there were no signs of infection.
Recurrence of herpes simplex encephalitis occurs in 5–27 % of cases (2). Norwegian guidelines recommend treatment with acyclovir for 14 days. Another lumbar puncture should be considered before treatment is discontinued, and longer treatment may be appropriate. On rare occasions, poor treatment response may reflect the emergence of resistance to acyclovir. In such cases, treatment should be switched to foscarnet (2).
Treatment was restarted with intravenous acyclovir 10 mg/kg every 8 hours. CSF analysis revealed persistent mild pleocytosis, with 12 cells/mm3, total protein of 0.56 g/L and a CSF/serum glucose ratio of 0.66. A herpes simplex rapid test was negative this time, as was a PCR test. A CSF sample was sent to the neuroimmunological laboratory at Haukeland University Hospital to be screened for antibodies associated with encephalitis.
Other differential diagnoses for episodes of mental absence and bizarre behaviour include focal epilepsy, with impaired awareness resulting from temporal lobe involvement. Emotional symptoms occur frequently upon disruption of temporolimbic systems. Autoimmune encephalitis should also be considered. Anti-N-methyl-D-aspartate receptor (NMDAR) encephalitis is a form of limbic encephalitis that is associated with epilepsy and neuropsychiatric symptoms. The condition can be triggered by herpes simplex encephalitis, with recent studies showing that up to 27 % of affected individuals may develop the disorder (9, 10).
An EEG the next day showed some improvement, but remained abnormal with slowing of background activity. Such changes are not typical of herpes simplex encephalitis. No epileptiform activity was seen. Six days after admission, immunomodulatory therapy with intravenous immunoglobulin (IVIG) – 2 g/kg for five days – was started for suspected autoimmune encephalitis. Although high-dose steroids are the first-line treatment for autoimmune encephalitis, it was felt that these might exacerbate the patient's psychosis-like symptoms.
A week after initiation of immunoglobulin therapy, high NMDA receptor antibody titres were confirmed in the patient's CSF. Another brain MRI four weeks after the first showed increasing hyperintensities in both temporal lobes. This finding is not specific to either herpes encephalitis or autoimmune encephalitis (11).
Two weeks after readmission, the patient was transferred to the psychiatric department because of difficulty managing his psychosis. He was experiencing delusions and was aggressive and agitated. He had several episodes of inappropriate and challenging behaviour, and on one occasion the police had to be called. He had shown little improvement on immunoglobulin therapy and was therefore started on high-dose steroids in the form of methylprednisolone tablets, 16 mg × 4, immediately after transfer to the psychiatric ward. However, these did not produce any improvement either. Four weeks after the immunoglobulin therapy, second-line treatment was started with 1 000 mg rituximab, administered intravenously in two doses two weeks apart.
The patient's condition eventually stabilised, but although rehabilitation was attempted several times, he never recovered sufficient function to be able to return home. He now lives in supported housing where he requires intensive follow-up. An MRI scan 4.5 months after symptom onset revealed extensive damage to both temporal lobes (Figure 3b).
Discussion
Encephalitis is associated with high mortality, especially when caused by the herpes virus, and it is important to begin treatment as quickly as possible. A treatment delay of more than two days is an independent risk factor for severe neurological sequelae or death (2). Long-term sequelae including cognitive impairment, personality changes and epilepsy occur in up to 70 % of patients who survive. Around 40–55 % manage to resume normal daily activities (2, 9). Rapid treatment with acyclovir reduces mortality from 70 % (if left untreated) to around 20 % (2).
Our patient could potentially have been treated earlier, but encephalitis is challenging to diagnose, especially in the early stages. Behavioural changes accompanied by fever and headache should raise suspicion of encephalitis, but the severity of symptoms can vary, and changes in mental status may be subtle. Headache and fever can also be absent, although they are seen in most patients with herpes simplex encephalitis. Seizures occur in about half of patients (2). The annual incidence of herpes simplex encephalitis is 2–4 cases per million (8), so general practitioners will rarely encounter the condition. Prominent neuropsychiatric symptoms may contribute to patients being incorrectly admitted to psychiatric wards, which can delay diagnosis and life-saving treatment. It is therefore extremely important that clinicians suspect encephalitis and keep it in mind as a differential diagnosis.
The discovery of increasing numbers of biomarkers associated with neurological disease has helped transform our understanding of several disorders, including conditions previously thought to be psychological in nature (10, 12). The patient in this case report developed non-infectious encephalitis late in the course of herpes simplex encephalitis. As described above, anti-NMDA receptor encephalitis is a known complication of herpes simplex encephalitis. The condition was first described in 2007 as a paraneoplastic phenomenon and is a form of subacute autoimmune cerebral inflammation that typically manifests with neuropsychiatric symptoms. The prevalence of anti-NMDA receptor encephalitis has increased over time, and it is now the most common autoimmune encephalitis (3, 13–15).
Anti-NMDA receptor encephalitis typically has a prodromal phase resembling a viral infection, before symptoms such as behavioural change, delusions and psychosis become more prominent (16). If the condition is suspected, the patient's CSF should be screened for anti-NMDA receptor antibodies. Up to 14 % of those with anti-NMDA receptor encephalitis will be negative for antibodies in serum. Screening for antibodies in blood alone may therefore potentially delay diagnosis and treatment (17).
Neuronal death can probably be averted in cases of anti-NMDA receptor encephalitis if treatment is initiated promptly. Anti-NMDA receptor antibodies bind to a subunit of the NMDA receptor, leading to internalisation of the receptor and a reduced density of NMDA receptors on the cell surface. This leads to altered neuronal function, but not necessarily to cell death (18). By contrast, in herpes simplex encephalitis, reactivation of the virus leads to activation of toll-like receptor (TLR) proteins on macrophages in the brain, resulting in inflammation and cell death (19).
A confirmed diagnosis of anti-NMDA receptor encephalitis requires detection of anti-NMDA receptor antibodies in serum or CSF, plus the presence of clinical symptoms. However, in the absence of antibodies, a probable diagnosis can be made if at least four of the most common symptoms are present: behavioural changes/cognitive dysfunction, speech dysfunction, seizures, abnormal movements, impaired consciousness and autonomic dysfunction. There must additionally be findings consistent with encephalitis on EEG and/or pleocytosis in the CSF (17), and other diagnoses must be excluded.
First-line treatment for anti-NMDA receptor encephalitis consists of corticosteroids, intravenous immunoglobulins or plasmapheresis (3). About half of patients respond to this treatment (15). If there is an insufficient response in four weeks, then rituximab, cyclophosphamide and azathioprine can be used as second-line treatment (3, 15). About 80 % of patients respond to immunomodulatory therapy (3). Early treatment has been shown to be crucial for achieving good outcomes (9). In one large study, 29 % of cases resulted in severe sequelae or death (15).
In our patient, it was probably the viral encephalitis that was responsible for most of the lasting damage (Figures 3a and b).
The patient and his wife have consented to the publication of this article.’
The article has been peer-reviewed.
- 1.
Isaac ML, Larson EB. Medical conditions with neuropsychiatric manifestations. Med Clin North Am 2014; 98: 1193–208. [PubMed][CrossRef]
- 2.
Piret J, Boivin G. Immunomodulatory Strategies in Herpes Simplex Virus Encephalitis. Clin Microbiol Rev 2020; 33: e00105–19. [PubMed][CrossRef]
- 3.
Dalmau J, Armangué T, Planagumà J et al. An update on anti-NMDA receptor encephalitis for neurologists and psychiatrists: mechanisms and models. Lancet Neurol 2019; 18: 1045–57. [PubMed][CrossRef]
- 4.
Vora NM, Holman RC, Mehal JM et al. Burden of encephalitis-associated hospitalizations in the United States, 1998-2010. Neurology 2014; 82: 443–51. [PubMed][CrossRef]
- 5.
Tansarli GS, Chapin KC. Diagnostic test accuracy of the BioFire® FilmArray® meningitis/encephalitis panel: a systematic review and meta-analysis. Clin Microbiol Infect 2020; 26: 281–90. [PubMed][CrossRef]
- 6.
Freund B, Ritzl EK. A review of EEG in anti-NMDA receptor encephalitis. J Neuroimmunol 2019; 332: 64–8. [PubMed][CrossRef]
- 7.
Husari KS, Dubey D. Autoimmune Epilepsy. Neurotherapeutics 2019; 16: 685–702. [PubMed][CrossRef]
- 8.
Jayaraman K, Rangasami R, Chandrasekharan A. Magnetic Resonance Imaging Findings in Viral Encephalitis: A Pictorial Essay. J Neurosci Rural Pract 2018; 9: 556–60. [PubMed][CrossRef]
- 9.
Armangue T, Spatola M, Vlagea A et al. Frequency, symptoms, risk factors, and outcomes of autoimmune encephalitis after herpes simplex encephalitis: a prospective observational study and retrospective analysis. Lancet Neurol 2018; 17: 760–72. [PubMed][CrossRef]
- 10.
Prüss H. Autoantibodies in neurological disease. Nat Rev Immunol 2021; 21: 798–813. [PubMed][CrossRef]
- 11.
Zhang T, Duan Y, Ye J et al. Brain MRI Characteristics of Patients with Anti-N-Methyl-D-Aspartate Receptor Encephalitis and Their Associations with 2-Year Clinical Outcome. AJNR Am J Neuroradiol 2018; 39: 824–9. [PubMed][CrossRef]
- 12.
Sechi E, Flanagan EP. Antibody-Mediated Autoimmune Diseases of the CNS: Challenges and Approaches to Diagnosis and Management. Front Neurol 2021; 12: 673339. [PubMed][CrossRef]
- 13.
Slettedal I, Dahl HM, Sandvig I et al. Ung jente med psykose, kognitiv svikt og kramper. Tidsskr Nor Legeforen 2012; 132: 2073–6. [PubMed][CrossRef]
- 14.
Engen K, Agartz I. Anti-NMDA-reseptorencefalitt. Tidsskr Nor Legeforen 2016; 136: 1006–9. [PubMed][CrossRef]
- 15.
Titulaer MJ, McCracken L, Gabilondo I et al. Treatment and prognostic factors for long-term outcome in patients with anti-NMDA receptor encephalitis: an observational cohort study. Lancet Neurol 2013; 12: 157–65. [PubMed][CrossRef]
- 16.
Dalmau J, Tüzün E, Wu HY et al. Paraneoplastic anti-N-methyl-D-aspartate receptor encephalitis associated with ovarian teratoma. Ann Neurol 2007; 61: 25–36. [PubMed][CrossRef]
- 17.
Graus F, Titulaer MJ, Balu R et al. A clinical approach to diagnosis of autoimmune encephalitis. Lancet Neurol 2016; 15: 391–404. [PubMed][CrossRef]
- 18.
Greenlee JE, Carlson NG, Abbatemarco JR et al. Paraneoplastic and Other Autoimmune Encephalitides: Antineuronal Antibodies, T Lymphocytes, and Questions of Pathogenesis. Front Neurol 2022; 12: 744653. [PubMed][CrossRef]
- 19.
Kigerl KA, de Rivero Vaccari JP, Dietrich WD et al. Pattern recognition receptors and central nervous system repair. Exp Neurol 2014; 258: 5–16. [PubMed][CrossRef]