Rask og adekvat utredning av akutte nevropsykiatriske symptomer er avgjørende for effektiv behandling. Her beskriver vi en pasient med en karakteristisk, men relativt sjelden sykdom.
En mann i 40-årene hadde i tre dager vært slapp med feberfølelse og hodepine. Han kontaktet legevakt, som ba ham kontakte fastlege dagen etter. Hos fastlegen viste klinisk undersøkelse normale funn, og det var ingen avvikende infeksjonsprøver. CRP var i referanseområdet, < 5 mg/L. Tilstanden ble oppfattet som influensalignende sykdom.
Fire år tidligere hadde pasienten fått påvist en stor tumormasse i buken, som viste seg å være et B-cellelymfom. Behandlingen av dette var kjemoterapi (doksorubicin, syklofosfamid, vinkristin og prednisolon) med tre ukers intervaller i totalt seks sykluser, etterfulgt av to kurer med rituksimab og så stråleterapi. Siden hadde han vært residivfri. Han var ellers frisk og brukte ingen faste medisiner.
Om natten to dager etter kontakten med legevakten våknet hans kone av at pasienten vandret rundt på soverommet, plukket på ting og tok ned bilder fra veggen. Han svarte ikke på tiltale og hadde tisset på seg. Via legevakt ble pasienten innlagt på sykehus med problemstillingen akutt forvirring. Da han ankom sykehuset, snakket han et fremmedspråk han behersket, som vel å merke verken var norsk, som han også snakket flytende, eller morsmålet. Glasgow Coma Scale-skåren var 14 på grunn av desorientering. Somatisk undersøkelse ga normale funn, og han hadde fine vitalia: blodtrykk 133/65 mm Hg, regelmessig puls på 93 slag/minutt og SpO2 på 97 %. Han var afebril, ikke nakkestiv, og man fant ingen fokale nevrologiske utfall. Bortsett fra s-natrium på 131 mmol/L (referanseområde 136–146) og senkningsreaksjon (SR) på 17 mm (< 13) var blodprøvene normale, inkludert CRP, som var < 5 mg/L.
Nevropsykiatriske symptomer som forvirring og personlighetsendringer kan ha somatiske årsaker. I tillegg til infeksjon bør endokrinologisk, metabolsk, autoimmun og neoplastisk sykdom også vurderes (1). Det ble hos pasienten funnet en lett hyponatremi som var relevant å vurdere i forhold til symptomer med hodepine og endret bevissthet. Osmolaliteten i serum og urin var imidlertid normal, og hyponatremi ble ikke vurdert som årsak til det kliniske bildet.
Computertomografi (CT) av hodet tatt akutt avdekket ingen patologi intrakranialt. På mistanke om viral encefalitt ble han deretter spinalpunktert samme natt. Det ble startet behandling med aciklovir 10 mg/kg intravenøst × 3 før spinalvæskesvar forelå.
Encefalitt er en inflammasjon i hjerneparenkymet med kliniske symptomer og tegn på hjernedysfunksjon. Redusert bevissthet og kognitiv funksjon samt endret personlighet og/eller atferd er typiske manifestasjoner (2, 3). Både virus, bakterier, sopp og parasitter kan forårsake encefalitt. I opptil halvparten av tilfellene forblir årsaken ukjent (4). Herpes simplex-virus forårsaker 50–75 % av de virale encefalittene (2). Standard utredning ved mistanke om encefalitt er spinalpunksjon med analyser av spinalvæske med differensialtelling av celler, glukose og proteinnivåer, PCR-undersøkelser av mistenkte agens og eventuelt måling av encefalittantistoffer, samt billeddiagnostikk og EEG (2).
I løpet av de første 4–5 timene ble pasienten mer urolig og plukkete og svarte etter hvert ikke på tiltale. Kroppstemperaturen steg til 39,1 °C, blodtrykket falt til 90/60 mm Hg og pulsen var 76 slag/minutt. På mistanke om sepsis ble han overflyttet til intensivavdelingen. Der ble det startet ytterligere behandling med intravenøs antibiotika i form av cefotaksim 3 g × 4 og ampicillin 3 g × 4 med tanke på bakteriell meningoencefalitt.
Svar på spinalvæskeanalyser viste et marginalt forhøyet proteinnivå på 0,52 g/L (< 50). Det forelå pleocytose med 55 celler/mm3 (< 3), og forholdet mellom glukosenivået i spinalvæsken og serum var 0,66 (> 0,6). Flowcytometri, med 92 % lymfocytter og 8 % monocytter, avdekket ingen tegn til malignitet. Hurtigtest for herpes simplex 1-virus (HSV-1) var positiv.
Hos over 95 % av dem med herpes simplex-encefalitt (HSE) finner man pleocytose dominert av lymfocytter i spinalvæsken (2). Dette kan imidlertid mangle hos immunsupprimerte, spesielt i tidlig fase av sykdommen (2). Diagnostisk gullstandard for diagnosen er påvisning av herpes-DNA ved polymerasekjedereaksjon (PCR) i spinalvæske. Metoden har en sensitivitet og spesifisitet på henholdsvis 96 % og 99 % hos voksne (2). Hurtigtesten som ble benyttet her, har sensitivitet og spesifisitet på over 90 % (5). Dersom PCR-undersøkelsen er negativ, men man fortsatt mistenker herpes simplex-encefalitt, anbefales repunksjon og nye analyser etter tre dager (2).
Som ledd i videre utredning av mistenkt encefalitt ble det utført et elektroencefalogram (EGG) dagen etter innleggelse (figur 1).
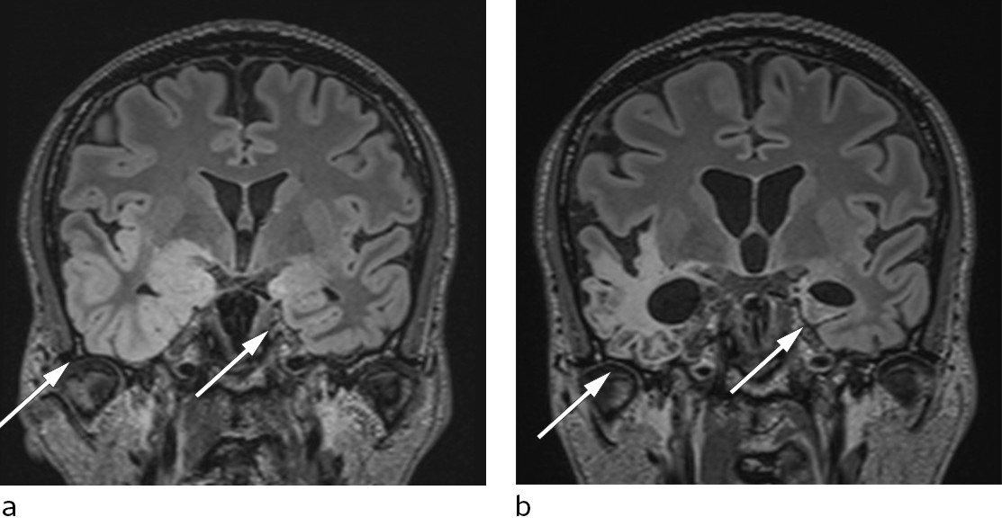
Denne viste patologisk langsom bakgrunnsaktivitet og utbrudd av deltaaktivitet i temporale regioner. Funnet var forenlig med encefalitt (6, 7). MR-undersøkelse av hodet, som ble utført seks dager etter innleggelsen, viste utbredte forandringer temporalt, inkludert i hippocampus, hvilket er typisk for herpesencefalitt (8) (figur 2, figur 3a).
PCR-undersøkelse av herpes simplex i spinalvæske var positiv, mens spinalvæskemikroskopi og dyrkning var negative. Det var ingen vekst av bakterier i blodkulturer. Antibiotika ble seponert på dag 5, mens aciklovirbehandlingen ble kontinuert.
Etter ti dager begynte pasienten igjen å snakke i hele setninger, og han var oppegående. Han var imidlertid betydelig kognitiv svekket, og det ble tatt en ny spinalpunksjon etter to uker. Ny PCR-test i spinalvæske var fortsatt positiv for herpes simplex, og behandling med aciklovir ble forlenget. Pasienten viste beskjedne tegn til bedring under sykehusoppholdet og ble utskrevet til en rehabiliteringsinstitusjon i hjemkommunen etter nesten en måned på sykehus.
15 dager etter utskrivning ble pasienten økende urolig, fikk bisarr atferd (spiste av potteplante), var gråtlabil og snakket kun på sitt morsmål. Han var da på rehabilitering, og aciklovir var blitt avsluttet syv dager tidligere. Han ble på ny innlagt på nevrologisk avdeling. Ved innkomst var han ikke orientert for egen situasjon og samarbeidet dårlig ved undersøkelse. Vitalia var normale, og det forelå ingen økte infeksjonsparametere.
Tilbakefall av herpes simplex-encefalitt forekommer hos 5–27 % (2). Norske retningslinjer tilsier 14 dagers behandling med aciklovir. Repunksjon bør vurderes før seponering, og forlenget behandling kan være aktuelt. En sjelden gang oppstår resistens mot aciklovir, som man kan mistenke ved dårlig behandlingsrespons. Foscarnet er da behandlingsalternativ (2).
Behandling med aciklovir 10 mg/kg intravenøst hver 8. time ble startet opp på nytt. Nye spinalvæskeundersøkelser avdekket vedvarende lett pleocytose, med 12 celler/mm3, totalprotein på 0,56 g/L og spinalvæske–serum-glukoseforhold på 0,66. Hurtigtest for herpes simplex var denne gangen negativ, og det var også PCR-undersøkelsen. Cerebrospinalvæske ble sendt til nevroimmunologisk laboratorium ved Haukeland universitetssjukehus for encefalittantistoffanalyser.
Differensialdiagnostisk kan episoder med mentalt fravær og underlig atferd indikere fokal epilepsi med bevissthetsaffeksjon utgående fra temporallapp. Emosjonelle symptomer forekommer hyppig ved forstyrrelse i temporolimbiske systemer. Autoimmun encefalitt må også vurderes. Anti-N-metyl-D-aspartat-reseptor (NMDAR)-encefalitt er en form for limbisk encefalitt som også er assosiert med epilepsi og nevropsykiatriske symptomer. Tilstanden kan trigges av herpes simplex-encefalitt, og nyere studier har vist at opp mot 27 % av pasientene som har gjennomgått herpes simplex-encefalitt, utvikler en slik tilstand (9, 10).
En ny EEG-undersøkelse dagen etter viste bedring, men den var fortsatt patologisk med langsom bakgrunnsaktivitet. Dette er dog ikke typiske forandringer for herpes simplex-encefalitt. Ingen epileptiform aktivitet ble sett. På mistanke om autoimmun encefalitt ble det seks dager etter ny innleggelse startet immunmodulerende behandling med intravenøst immunglobulin (IVIG) 2 g/kg i fem dager. Det ble da vurdert at pasientens psykoselignende symptomer kunne forverres av høydoserte steroider, som egentlig er anbefalt førstevalg for autoimmun encefalitt.
En uke etter oppstart med immunglobulinbehandling ble det bekreftet høyt titer av antistoff mot NMDA-reseptor i pasientens spinalvæske. En ny cerebral MR-undersøkelse tatt fire uker etter den første, viste økende høysignalforandringer temporalt bilateralt. Dette funnet er ikke spesifikt for verken herpesencefalitt eller autoimmun encefalitt (11).
To uker etter reinnleggelsen ble pasienten overflyttet til psykiatrisk avdeling på grunn av vanskelig håndterbar psykose. Han var preget av vrangforestillinger, var aggressiv og urolig. Det var flere episoder med utagerende og upassende atferd, og ved en anledning måtte politi tilkalles. Pasienten hadde hatt lite bedring av immunglobulinbehandlingen, og det ble derfor straks etter overføring til psykiatrisk avdeling startet høydoserte steroider i form av metylprednisolon i tablettform, 16 mg × 4. Heller ikke dette ga sikker bedring, og fire uker etter immunglobulinbehandlingen ble det startet andrelinjebehandling i form av 1 000 mg rituksimab gitt intravenøst to ganger med to ukers mellomrom.
Tilstanden stabiliserte seg etter noe tid, og man forsøkte rehabilitering i flere omganger, men pasienten gjenvant aldri tilstrekkelig funksjon til å kunne bo hjemme. Han bor nå i omsorgsbolig med stort oppfølgingsbehov. En ny MR-undersøkelse 4,5 måneder etter symptomdebut viste omfattende skade i temporallapper (figur 3b).
Diskusjon
Dødeligheten ved encefalitt er høy, spesielt dersom den er forårsaket av herpesvirus, og det er derfor viktig å starte behandling så raskt som mulig. Forsinket behandling med mer enn to dager er en uavhengig risikofaktor for alvorlig nevrologisk sekvele eller død (2). Senskader med kognitive vansker, personlighetsendringer og epilepsi forekommer hos opptil 70 % av pasientene som overlever. Rundt 40–55 % klarer å gjenoppta vanlige daglige aktiviteter (2, 9). Rask behandling med aciklovir har senket dødeligheten fra 70 % (hvis ubehandlet) til rundt 20 % (2).
Vår pasient kunne kanskje ha blitt behandlet tidligere, men encefalittdiagnosen er utfordrende, spesielt i tidlig fase. Atferdsendringer assosiert med feber og hodepine bør vekke mistanke, men det er variabel grad av symptomer, og mentale forandringer kan være subtile. Hodepine og feber kan være fraværende, men forekommer hos majoriteten av dem med herpes simplex-encefalitt. Kramper forekommer hos om lag halvparten (2). Den årlige insidensen av herpes simplex-encefalitt er 2–4 per million innbyggere (8), så gjenkjennelse i allmennpraksis er ikke erfaringsbasert. Dominerende nevropsykiatriske symptomer kan bidra til at pasienter feilaktig blir innlagt i psykisk helsevern, noe som vil forsinke diagnostikk og livsviktig behandling. Det er derfor av stor betydning at klinikere mistenker encefalitt og har det i mente som en viktig differensialdiagnose.
Funn av stadig flere biomarkører assosiert med nevrologisk sykdom har bidratt til endret forståelse av flere sykdomstilstander, også tilstander man tidligere har antatt at skyldtes psykologiske forhold (10, 12). Pasienten i denne kasuistikken fikk sent i forløpet av en herpes simplex-encefalitt en ikke-infeksiøs encefalitt. Anti-NMDA-reseptorencefalitt er som tidligere nevnt en velkjent komplikasjon til herpes simplex-encefalitt. Tilstanden ble første gang beskrevet i 2007 som et paraneoplastisk fenomen og representerer en form for subakutt autoimmun hjernebetennelse som typisk manifesterer seg med nevropsykiatriske symptomer. Det har vært en økende prevalens, og anti-NMDA-reseptorencefalitt er nå den hyppigste autoimmune encefalitten (3, 13–15).
Klinisk ser man ved anti-NMDA-reseptorencefalitt en viruslignende prodromalfase før symptomer som atferdsendring, vrangforestillinger og psykose blir fremtredende (16). Ved mistanke om tilstanden bør spinalvæsken undersøkes for spesifikke antistoffer. Opptil 14 % av dem med anti-NMDA-reseptorencefalitt mangler antistoffer i serum. Dersom det kun analyseres antistoffer i blodet, vil man potensielt forsinke diagnose og viktig behandling (17).
Ved anti-NMDA-reseptorencefalitt kan sannsynligvis nevrondød avverges dersom behandling iverksettes raskt. Anti-NMDA-reseptorantistoffer binder seg konsistent til en underenhet av NMDA-reseptoren, noe som blant annet resulterer i internalisering av reseptoren og redusert tetthet av NMDA-reseptorer på nervecellenes overflate. Dette fører til endret nervecellefunksjon, men ikke nødvendigvis til celledød (18). Ved herpes simplex-encefalitt derimot vil reaktivering av virus føre til at proteiner av typen toll-lignende reseptorer (TLR) på makrofager i hjernen aktiveres, og det oppstår inflammasjon og celledød (19).
En sikker diagnose av anti-NMDA-reseptorencefalitt krever påvisning av anti-NMDA-reseptorantistoffer i serum eller spinalvæske sammen med kliniske funn. Ved fravær av antistoffer kan likevel en sannsynlig diagnose stilles ved forekomst av minst fire av de mest vanlige symptomene: atferdsendring/kognitiv dysfunksjon, språkforstyrrelse, kramper, bevegelsesforstyrrelse, redusert bevissthet og autonom dysfunksjon. I tillegg må det foreligge funn av encefalitt-forandringer på EEG-undersøkelse og/eller pleocytose i spinalvæsken (17). Andre diagnoser må være ekskludert.
Førstelinjebehandling ved anti-NMDA-reseptorencefalitt er kortikosteroider, intravenøse immunglobuliner eller plasmaferese (3). Rundt halvparten responderer på slik behandling (15). Rituksimab, syklofosfamid og azatioprin benyttes som andrelinjebehandling dersom det innen fire uker er manglende respons (3, 15). Om lag 80 % vil respondere på immunmodulerende behandling (3). Tidlig behandling har vist seg avgjørende for prognosen (9). I en større studie ble det registrert alvorlige sekveler og død hos 29 % av tilfellene (15).
Hos vår pasient var det nok allikevel den virale encefalitten som ga størst permanent skade (figur 3a og b).
Pasienten og hans kone har gitt samtykke til at artikkelen blir publisert.
Artikkelen er fagfellevurdert.
- 1.
Isaac ML, Larson EB. Medical conditions with neuropsychiatric manifestations. Med Clin North Am 2014; 98: 1193–208. [PubMed][CrossRef]
- 2.
Piret J, Boivin G. Immunomodulatory Strategies in Herpes Simplex Virus Encephalitis. Clin Microbiol Rev 2020; 33: e00105-19. [PubMed][CrossRef]
- 3.
Dalmau J, Armangué T, Planagumà J et al. An update on anti-NMDA receptor encephalitis for neurologists and psychiatrists: mechanisms and models. Lancet Neurol 2019; 18: 1045–57. [PubMed][CrossRef]
- 4.
Vora NM, Holman RC, Mehal JM et al. Burden of encephalitis-associated hospitalizations in the United States, 1998-2010. Neurology 2014; 82: 443–51. [PubMed][CrossRef]
- 5.
Tansarli GS, Chapin KC. Diagnostic test accuracy of the BioFire® FilmArray® meningitis/encephalitis panel: a systematic review and meta-analysis. Clin Microbiol Infect 2020; 26: 281–90. [PubMed][CrossRef]
- 6.
Freund B, Ritzl EK. A review of EEG in anti-NMDA receptor encephalitis. J Neuroimmunol 2019; 332: 64–8. [PubMed][CrossRef]
- 7.
Husari KS, Dubey D. Autoimmune Epilepsy. Neurotherapeutics 2019; 16: 685–702. [PubMed][CrossRef]
- 8.
Jayaraman K, Rangasami R, Chandrasekharan A. Magnetic Resonance Imaging Findings in Viral Encephalitis: A Pictorial Essay. J Neurosci Rural Pract 2018; 9: 556–60. [PubMed][CrossRef]
- 9.
Armangue T, Spatola M, Vlagea A et al. Frequency, symptoms, risk factors, and outcomes of autoimmune encephalitis after herpes simplex encephalitis: a prospective observational study and retrospective analysis. Lancet Neurol 2018; 17: 760–72. [PubMed][CrossRef]
- 10.
Prüss H. Autoantibodies in neurological disease. Nat Rev Immunol 2021; 21: 798–813. [PubMed][CrossRef]
- 11.
Zhang T, Duan Y, Ye J et al. Brain MRI Characteristics of Patients with Anti-N-Methyl-D-Aspartate Receptor Encephalitis and Their Associations with 2-Year Clinical Outcome. AJNR Am J Neuroradiol 2018; 39: 824–9. [PubMed][CrossRef]
- 12.
Sechi E, Flanagan EP. Antibody-Mediated Autoimmune Diseases of the CNS: Challenges and Approaches to Diagnosis and Management. Front Neurol 2021; 12: 673339. [PubMed][CrossRef]
- 13.
Slettedal I, Dahl HM, Sandvig I et al. Ung jente med psykose, kognitiv svikt og kramper. Tidsskr Nor Legeforen 2012; 132: 2073–6. [PubMed][CrossRef]
- 14.
Engen K, Agartz I. Anti-NMDA-reseptorencefalitt. Tidsskr Nor Legeforen 2016; 136: 1006–9. [PubMed][CrossRef]
- 15.
Titulaer MJ, McCracken L, Gabilondo I et al. Treatment and prognostic factors for long-term outcome in patients with anti-NMDA receptor encephalitis: an observational cohort study. Lancet Neurol 2013; 12: 157–65. [PubMed][CrossRef]
- 16.
Dalmau J, Tüzün E, Wu HY et al. Paraneoplastic anti-N-methyl-D-aspartate receptor encephalitis associated with ovarian teratoma. Ann Neurol 2007; 61: 25–36. [PubMed][CrossRef]
- 17.
Graus F, Titulaer MJ, Balu R et al. A clinical approach to diagnosis of autoimmune encephalitis. Lancet Neurol 2016; 15: 391–404. [PubMed][CrossRef]
- 18.
Greenlee JE, Carlson NG, Abbatemarco JR et al. Paraneoplastic and Other Autoimmune Encephalitides: Antineuronal Antibodies, T Lymphocytes, and Questions of Pathogenesis. Front Neurol 2022; 12: 744653. [PubMed][CrossRef]
- 19.
Kigerl KA, de Rivero Vaccari JP, Dietrich WD et al. Pattern recognition receptors and central nervous system repair. Exp Neurol 2014; 258: 5–16. [PubMed][CrossRef]