Merkel cell carcinoma

    ()

    sporsmal_grey_rgb
    Article

    Merkel cell carcinoma is an uncommon but aggressive tumour with a high metastatic potential. A rapidly growing, non-tender cutaneous tumour on sun-exposed areas of the body in older patients should raise suspicion of the condition. It may be necessary to combine the patient history with clinical, radiological and pathological findings in order to make the correct diagnosis. Excision with a 1–2 cm margin, direct closure and simultaneous sentinel-node biopsy should be performed without delay. Adjuvant radiation therapy of the tumour site may be relevant. After the diagnosis is made, assessment and treatment should take place in hospitals with special experience of the condition.

    Merkel cell carcinoma is a rare, aggressive form of skin cancer that can grow rapidly and has a high risk of local recurrence and metastasis at an early stage. The disease most commonly occurs on sun-exposed areas of the skin (1). At the time of diagnosis, a third of patients have regional lymph-node involvement and one in ten patients has distant metastases (2–4). The tumour cells were previously thought to originate from Merkel cells, which are neuroendocrine cells found in the basal layer of the epidermis (2), but their origin is considered to be unexplained (5).

    The incidence of Merkel cell carcinoma is increasing (6, 7). In Norway, 146 cases were recorded in the period 2001–2010, and 265 cases in the period 2011–2020 (Data Delivery Unit, Cancer Registry of Norway, personal communication). Sun exposure is a predisposing factor (8, 9). Other disposing factors are advanced age, fair skin type, immunosuppression and Merkel cell polyomavirus infection (1, 10). Merkel cell polyomavirus is detected in 80 % of patients with Merkel cell carcinoma (10, 11). Polyomavirus-negative Merkel cell carcinoma is associated with a more aggressive course and worse prognosis (12).

    The disease is rare, and there is a lack of prospective randomised studies of treatment and follow-up. International guidelines are based on retrospective studies. Several international guidelines (4, 13) are based on recommendations published by the National Comprehensive Cancer Network (NCCN) (3). In terms of treatment and prognosis, Merkel cell carcinoma has many similarities with malignant melanoma, but unlike malignant melanoma Merkel cell carcinoma is highly sensitive to radiation. In addition, tumour diameter is a significant factor for tumour staging in Merkel cell carcinoma. Correct initial assessment and treatment are critical for the prognosis. Oslo University Hospital probably has the most experience in managing patients with this disease in Norway.

    Our impression is that knowledge about the initial assessment and treatment of Merkel cell carcinoma is lacking among many doctors. The purpose of this article is to give a brief overview of the diagnostic work-up and treatment of Merkel cell carcinoma. It is aimed at doctors in the specialist and primary healthcare service and is based on Scandinavian and international guidelines, as well as our own clinical experience.

    Initial diagnostic work-up

    Initial diagnostic work-up

    Clinically, Merkel cell carcinoma is often misinterpreted as squamous cell carcinoma, basal cell carcinoma or a benign condition such as a cyst, lipoma or fibroma (1). A rapidly growing, non-tender, reddish-purple cutaneous nodule on sun-exposed areas of skin in elderly or immunosuppressed patients should raise suspicion of Merkel cell carcinoma (1) (Figure 1).

    If Merkel cell carcinoma is suspected, diagnostic excisional biopsy of the entire tumour is recommended (4). Margins are not specified in the guidelines, but in our opinion excisional biopsy should be performed in the same way as for skin lesions suspected to be melanoma, with a 2–5 mm margin into normal skin and with an underlying cuff of subcutaneous fat (14). In the case of lesions located in sites where scarring might be cosmetically disfiguring or lesions that cannot be excised in their entirety, punch biopsies can be taken where the tumour is thickest, but not from ulcerated areas. Clinical tumour diameter is crucial for staging (15). Lesion diameter should be measured before excision because shrinkage of formalin-fixed tissue may lead to underestimation of tumour diameter (3, 16).

    When resected tissue is sent to pathology, the referral should state that Merkel cell carcinoma is suspected, as well as the location and clinical tumour diameter. Immunohistochemical examination is needed to differentiate Merkel cell carcinoma from primary and secondary small-cell undifferentiated carcinoma, lymphoma, melanoma, sarcoma and skin metastasis from small-cell lung cancer. Most Merkel cell carcinomas are positive for the marker CK20 and negative for TTF-1. A minimum panel of markers should include CK20, LCA, Melan-A or S-100 and TTF-1 (4). Additional recommended markers are CK7, AE1/AE3, chromogranin, synaptophysin and Merkel cell polyomavirus, as well as potentially NF and SATB2 (5). Other markers should be investigated based on entities to be ruled out. It may be challenging to reach a diagnosis, particularly if there are divergent results from immunohistochemical examination.

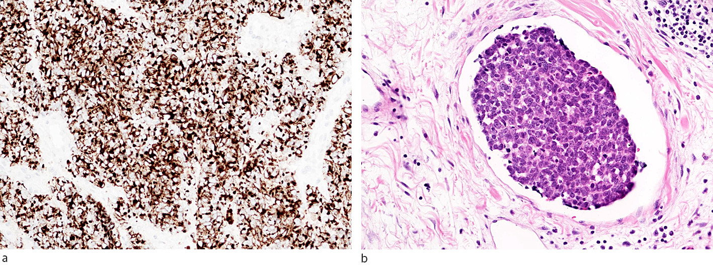
    It may be necessary to combine the case history, clinical, radiological and pathological findings in order to make the correct diagnosis. Satellite tumours and micrometastases are often seen adjacent to the primary tumour. Tumour thrombi are present in a high proportion of patients, and it can be difficult to achieve free margins, even if the tumour is removed with clinically good margins (Figure 2).

    The AJCC (American Joint Committee on Cancer) system is used for staging Merkel cell carcinoma and is based on tumour diameter, invasion of surrounding structures (muscle, fascia, cartilage or bone), regional lymph node involvement and distant metastases (3, 15, 16) (Table 1). The principal parameters for correct patient management are tumour diameter, depth of invasion and peripheral and deep margin status. Other parameters to be reported are tumour thickness, vascular infiltration, local satellite metastases, mitoses, tumour-infiltrating lymphocytes and Merkel cell polyomavirus status. One or more of the following characteristics identify a patient as high risk: head/neck primary site, immunosuppression, tumour diameter > 2 cm or lymphovascular invasion (3).

    Table 1

    Staging of Merkel cell carcinoma using the AJCC (American Joint Committee on Cancer) system, version 8 (16).

    Stage

    Criterion

    I

    Primary lesion diameter ≤ 2 cm

    II

    Primary lesion diameter > 2 cm or invasion of underlying structures

    III

    All primary lesions with involvement of regional lymph nodes

    IV

    All primary lesions with distant metastases

    Following a diagnosis of Merkel cell carcinoma, further investigation and treatment should take place in a hospital setting where there are surgeons, pathologists and oncologists with experience in this type of cancer and where the oncology department has expertise in radical radiotherapy in the head/neck region.

    Surgical treatment

    Surgical treatment

    The aim of surgical treatment is radical excision of the primary lesion. There are no randomised studies evaluating adequate excision margins (3, 17). In a retrospective study of 6,156 patients with localised Merkel cell carcinoma, a clinical excision margin of over 1 cm was associated with improved survival compared to a margin of 1 cm or less. No further increase in survival was found with margins larger than 2 cm (18). International guidelines recommend tumour excision with 1–2 cm margins including tissue down to the underlying muscle fascia, perichondrium or periosteum (3, 4, 19).

    In the face, adjacent vital structures and cosmetic considerations determine the boundaries for excision margins. Reconstruction requiring tissue undermining or flap surgery is not recommended until verification of clear margins (3). Adjuvant radiotherapy of the tumour site is often appropriate. If adjuvant radiotherapy of the tumour site is planned, margins narrower than 1–2 cm are acceptable, enabling direct wound closure rather than reconstruction with skin grafting (3). Surgical treatment should be coordinated so that sentinel lymph node biopsy is performed at the same time as wide excision. Oslo University Hospital (Radiumhospitalet) aims for a 1 cm excision margin in stage I and a 2 cm margin in stage II disease (Table 1).

    Clinical assessment of regional lymph nodes should take place as part of the preoperative examination of all patients with suspected or confirmed Merkel cell carcinoma. Patients with palpable regional lymph nodes should undergo ultrasound-guided fine needle aspiration biopsy. A third of patients without palpable lymph nodes have microscopic lymph node metastases (20), and sentinel lymph node biopsy is recommended in these patients (3, 4, 19). It is a prerequisite of sentinel lymph node biopsy that the patient can tolerate general anaesthesia. The technique for sentinel lymph node biopsy is the same as for cutaneous melanoma (14). Sentinel lymph nodes are identified by intradermal radioisotope injection around the tumour or scar. Scintigraphy or SPECT/CT (single photon emission computed tomography) is used to identify regional sentinel lymph nodes, which are removed in the same procedure as wide excision of the primary tumour. The diagnostic work-up of sentinel lymph nodes includes use of immunomarkers for the antibodies with the highest expression in the primary tumour of the patient, usually CK20 and NSE (13). In cases where metastasis in regional lymph node is detected, CT or PET-CT is used to screen for distant metastasis. Figure 3 shows a proposed initial work-up and treatment of Merkel cell carcinoma.

    Following the initial surgical treatment and assessment of regional lymph nodes, discussion of further treatment should take place at a multidisciplinary team meeting (3). In case of regional lymph node metastasis, the meeting should decide whether to recommend lymph node dissection, with or without adjuvant radiotherapy, or radiotherapy alone. Recent studies suggest that radiotherapy may be an alternative to lymph node dissection for patients with regional lymph node metastasis. A non-randomised study of 163 patients with sentinel lymph node metastasis found no difference in 5-year survival between the group that underwent completion lymph node dissection with or without adjuvant radiotherapy and the group that received radiotherapy alone (21). A non-randomised study of 50 patients with regional lymph node metastasis found that lymph node dissection followed by radiotherapy and radiation monotherapy produced equivalent results (22).

    Radiotherapy

    Radiotherapy

    American guidelines from the National Comprehensive Cancer Network recommend observation for non-immunosuppressed patients with primary lesion diameters of less than 1 cm without lymphovascular infiltration who have undergone wide excision with clear margins. Adjuvant radiotherapy of the tumour site should be considered for all other patients (3). German guidelines recommend that radiation be considered for all disease stages (4).

    Oslo University Hospital recommends adjuvant radiation of the tumour site for primary lesions with a diameter over 2 cm and for primary lesions with a diameter less than 2 cm that have been removed with positive or narrowly clear margins, and where re-excision is not possible. The recommended total radiation dose is 50–60 Gy, depending on tumour size and histological grading (23). Radiotherapy should be initiated as soon as possible and no later than four to six weeks following primary excision (3, 13). Primary radiotherapy can be offered to patients who for various reasons are not candidates for surgery.

    Regional lymph node radiotherapy should be considered for patients in stages II–III who have not undergone lymph node dissection or if sentinel lymph node biopsy is not possible. Adjuvant regional lymph node radiotherapy following lymph node dissection can be considered if there is extracapsular extension (13). In addition, we have performed adjuvant regional lymph node radiotherapy in cases with multiple metastases and narrow margins following lymph node dissection.

    Drug treatment

    Drug treatment

    Chemotherapy usually has a high response rate in metastatic Merkel cell carcinoma. The duration of response is short with a median duration of two to nine months. Treatment is associated with a high risk of serious adverse events such as haematological or gastrointestinal toxicity, renal failure, sepsis and death (3, 24). Patients with metastatic disease without significant comorbidities should be considered for chemotherapy. First-line therapies in metastatic disease are combination regimens with platinum and etoposide (PV regimen), or alternatively anthracycline, cyclophosphamide and vincristine (ACO/ECO regimen) in the elderly and patients in poor general condition.

    In a study of 88 patients with metastatic Merkel cell carcinoma with disease progression following chemotherapy, the immune checkpoint inhibitor avelumab had a response rate of 33 % after a median follow-up time of 41 months (25). The anti-PD-L1 antibody avelumab has been available as second-line treatment of metastatic Merkel cell carcinoma since 2021. Other immune checkpoint inhibitors such as pembrolizumab and nivolumab have been shown to be effective in Merkel cell carcinoma (26, 27), but are not approved for use in Norway.

    Electrochemotherapy is a palliative, local treatment combining chemotherapy with electric pulses. The electric pulses are supplied through electrodes placed in the tumour. Electrochemotherapy is mainly used to alleviate symptoms in exudative or foetid skin lesions (28). Isolated limb perfusion can be an alternative for in-transit metastases or unresectable recurrence in extremities (13, 29, 30). Both electrochemotherapy and isolated limb perfusion are performed under general anaesthesia. In Norway, these treatment modalities are centralised to Oslo University Hospital, Radiumhospitalet.

    Follow-up

    Follow-up

    Patients with Merkel cell carcinoma have a high risk of local and regional recurrence and distant metastases, and should receive regular follow-up, principally at an oncology department. The median time to recurrence is 8–9 months, and 90 % of recurrences occur within 24 months (3).

    Follow-up should include inspection of skin and palpation of lymph nodes. Imaging should be used on an individual basis, depending on clinical findings and risk profile. For patients with Merkel cell polyomavirus antibodies, increasing antibody titer can be an early indicator of recurrence (31), but this has not been incorporated into guidelines. At Oslo University Hospital, patients receive follow-up with an oncologist every three months for one to two years, then every six months for up to five years. The follow-ups include inspection of skin and palpation of lymph nodes, as well as a blood sample for analysis of the tumour marker neuron-specific enolase (NSE), which is a marker for disease activity in neuroendocrine cancer, including Merkel cell carcinoma (32). Radiological examination with CT or PET/CT is recommended annually for the first two years or as indicated. Patients with many sun-induced skin changes can be referred to a dermatologist.

    The article has been peer-reviewed.

    Comments  ( 0 )
    PDF
    Print

    Recent Articles